新生儿面部环状病变
楼主
2014-03-20 15:15

  McCauliffe DP在《美国皮肤病学会杂志》上发表了一篇“新生儿面部环状病变”的病例,病例分析及译文如下:

病史
    一名1月大女婴面部患皮疹已有5天。该女婴其它体征良好,正常哺育,体重正常增长。母体妊娠过程中无异状,双亲身体健康,没有显著的既往病史。

临床特征
    该女婴面部有几处凸起环形色素沉着性病变(图2a ,b),头皮上也有类似病变。手脚掌发现有离散红斑,背部有萎缩性色素沉着性病变。心率规律,每分钟120次。

http://webres.medlive.cn/upload/000/158/907

 

图2a
新生儿红斑狼疮
面部及头皮可见多处离散环状色素沉着性病变。

http://webres.medlive.cn/upload/000/158/908

 

图2b
新生儿红斑狼疮
前额环状病变特写图,提示中央色素沉着及萎缩。

检查
    血红蛋白:10.2 g/dl (11.5–15.5 g/dl),白细胞:6.9×109/l (4.0–11.0×109/l),血小板:106×109/l(150–450×109/l).
    心电图:窦性心律正常。
    抗核抗体:阴性。
    可提取性核抗原:Ro阳性,La阴性。
    皮肤组织病理学检查:环状病变活检显示,轻度角化、基底细胞空泡变及淋巴细胞胞吐相关接触性皮炎(图2c)。
    皮肤直接免疫荧光检验法:阴性。
    母体抗核抗体:1:10。
    母体可提取性核抗原:Ro阳性

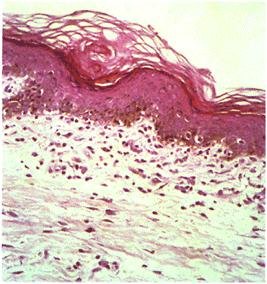
http://webres.medlive.cn/upload/000/158/909

 

图2c
新生儿红斑狼疮
皮肤组织病理学检查(H&E染色,中倍镜下观察)。
可见基底细胞空泡变及淋巴细胞胞吐相关接触性皮炎,伴有覆角化现象。

诊断
    新生儿红斑狼疮

治疗和进展
    使用温和的外用皮质类固醇治疗3周后,该女婴皮肤病变清除。残留几处炎症后色素沉着和细微萎缩性疤痕。6个月后,ENA复查显阴性,提示循环Ro抗体缺失。
    建议该女婴母亲在下次妊娠期接受密切的监测。然而,6年后她第二次妊娠没有接受监测,结果女婴早产2个月。该女婴与姐姐一样,面部皮肤有炎性病变。经过检查,其Ro抗体显阳性,其它体征良好,无心脏病。使用温和的外用皮质类固醇治疗几周后,该女婴皮肤病变得到清除。

 评论

    新生儿红斑狼疮(NLE)是胎儿通过血液循环从母体中被动获得的一种自身抗体引起的狼疮综合征。红斑狼疮新生儿大多伴有皮肤病和/或心脏病,也会伴有其它症状。女婴往往比男婴更容易患病,新生儿红斑狼疮皮肤病居多。这些皮肤病变可能出现在婴儿出生时,但往往在分娩几天或几周有时几月后发生恶化。新生儿红斑狼疮皮肤病变在紫外线照射下可能发生色素沉着或者病情加重,有病例报道经彩超胆红素血症治疗后,新生儿红斑狼疮皮肤病变发生色素沉着。
    从临床特征和病理特征看,新生儿红斑狼疮皮肤病变与亚急性皮肤型红斑狼疮相似。亚急性皮肤型红斑狼疮ENA通常显阳性并抗Ro。病变通常发生在面部,开始是红斑,后来变大形成密集的环状斑块。几周内常见自行缓解,伴随瞬态色素沉着、毛细血管扩张、表皮萎缩。新生儿红斑狼疮的组织学病变特点为基底角质细胞的空泡变性,以及真皮上部的淋巴细胞浸润。
    虽然患者没有明显的心脏病,但是约有50%的新生儿红斑狼疮病例中出现完整性心脏传导阻滞(CHB)。妊娠晚期胎儿心率缓慢提示出现完整性心脏传导阻滞。通过胎儿超声心动图检测,显示出独立心房中出现缓慢心室收缩,证实发生心脏传导阻滞。
    完整性心脏传导阻滞婴儿的死亡率可高达20%。 其新生儿红斑狼疮特征还有贫血、瞬态血小板减少,与我们收治的患者表现一致。也可伴随肝肿大,对髓外造血或充血性心脏衰竭影响较小。

学习要点
    1、婴儿同时出现环状皮损和完整性心脏传导阻滞,提示新生儿红斑狼疮。
    2、新生儿红斑狼疮是由胎儿通过血液循环从母体中被动获得的Ro自身抗体(有时候是La)引起的。
    3、孕妇应接受红斑狼疮检查,并获知妊娠过程可能会引起新生儿红斑狼疮的发生。

 
    将近80%红斑狼疮新生儿及90%红斑狼疮新生儿母亲体内存在Ro自身抗体,La抗体则较少检测到。母体产生的自身抗体通常会直接影响新生儿红斑狼疮皮肤病的病理机制,妊娠6个月后,可清除皮肤病变,同时自身抗体也逐渐耗去。

打开医脉通app阅读全文,体验更佳
确认
内科
心血管内科 神经内科 消化科 肝病科 内分泌科 肿瘤科 血液科 精神科 呼吸科 肾内科 风湿免疫科 感染科
外科
普通外科 神经外科 胸心外科 泌尿外科 骨科 整形外科
其他
麻醉科 妇产科 儿科 眼科 耳鼻咽喉科 口腔科 皮肤性病科 急诊/重症 影像科 检验科
打开APP,参与评论互动