罕见病例:24岁检出先天性小脑缺失
fjh021325008楼主
2014-09-22 10:10

在《新科学家》(New Scientist)杂志在线发布了一个神经外科病例。患者为24岁女性,因眩晕与恶心症状入院,CAT检查后发现该女子先天性小脑缺失。

http://webres.medlive.cn/upload/000/185/090

 

http://webres.medlive.cn/upload/000/185/091

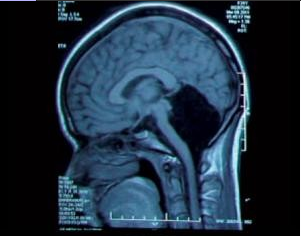
图示:上图空洞处显示小脑缺失,下图为正常脑部(供读者对比)
        该病例来源于山东省济南军区的中国解放军总医院。患者告诉医生,在生活中走路状态下存在步态不稳的现象。而患者母亲告诉医生,说她直到7岁的时候才学会走路,在6岁的时候才能清楚的说话,进行正常的语言表达。
        当医生拿到患者的CAT结果后,一眼就发现,在影像所示的脑部解剖结构中,整个小脑部分空洞。该部位无实质性组织,取而代之的是满满充盈的脑脊液。
        小脑位于大脑两个半球的下方,由更小的、更紧凑的褶皱组织构成,在影像学中可看到与其它脑部组织的明显差异。小脑占据脑容量约10%的部分,但包含了50%的神经元。
        来自中国医院的医生们认为,以前从未听说过脑部缺失的病例,不管是先天性还是源于手术切除的后天性。毕竟大多数此类畸形的患者在幼年时就会死去,而缺陷情况只能在尸体解剖的时候才发现。
        小脑的主要作用是控制肢体的随意运用和平衡,也被认为与人们的学习具体动作和说话能力相关。小脑病变可导致严重的精神障碍、运动障碍、癫痫等。然而在本病例中,该名女子先天性缺失整个小脑,却仅仅表现为轻中度运动不足和轻度的语言障碍(诸如稍微含糊不清的发音)。她的医生认为“比预期症状轻微的多”,并表示“这个病例证明了大脑的显著可塑性”。
        这个病例非常有趣,令我们理解了大脑回路的运转弥补了小脑缺失造成的功能障碍。患者的医生表示,本应由小脑负责的功能很可能已被脑皮质代替,脑部扫描可揭示这一答案。

 

打开医脉通app阅读全文,体验更佳
确认
内科
心血管内科 神经内科 消化科 肝病科 内分泌科 肿瘤科 血液科 精神科 呼吸科 肾内科 风湿免疫科 感染科
外科
普通外科 神经外科 胸心外科 泌尿外科 骨科 整形外科
其他
麻醉科 妇产科 儿科 眼科 耳鼻咽喉科 口腔科 皮肤性病科 急诊/重症 影像科 检验科
打开APP,参与评论互动