【综述】Balo 同心圆硬化
lwyas楼主
2015-01-08 16:39

Balo 同心圆硬化常被看作是多发性硬化的一种罕见变异型。该病的患者表现为急性或亚急性神经系统症状的恶化,MRI 显示脑白质内一个或多个同心圆性多层环状病灶。以往观点认为,所有 Balo 同心圆硬化都是致命性的。然而,核磁共振的应用使得对放射学表现为 Balo 病变的患者不同的自然病史以及其与多发性硬化和其他神经系统疾病之间的相关性有了更好的认识。

重大的进展增加了对与 Balo 病变的形成相关的免疫病理发生机制的理解。然而,如何治疗急性损伤以及何时或是否开始治疗的认识尚不充分,尽管对于那些也符合多发性硬化诊断标准的 Balo 病变患者,我们的意见是采用多发性硬化疾病修饰治疗似乎也是合理的。

简介:

Marburg 在 1906 年首次描述了 Balo 同心圆硬化,但该疾病变得更广为人知是在 1928 年,匈牙利神经病理学家 Josef Baló发表了一例学生患者伴有右侧轻偏瘫之后出现视神经炎的报告,尸检显示为脱髓鞘病变,被称为同心性轴周性脑炎。

传统上认为,Balo 同心圆硬化是多发性硬化非典型表现型之一,与 Marburg 病,块状脱髓鞘,Schilder 病和急性出血热白质脑炎等一起作为一组疾病,尽管这只是当时的情况,并且这些分类的实用性——除了块状脱髓鞘之外——是有争议的。曾经 Balo 同心圆硬化是一种尸检诊断,然而,核磁共振成像技术的出现促使对疾病的更好理解,许多 Balo 同心圆硬化的患者可在一次发病之后完全或几乎完全恢复。

Balo 同心圆硬化典型表现为脑白质内分散的同心性层状病灶,并通常被描述为一个洋葱皮样或轮状外观。这种独特的表现有助于区分传统的多发性硬化的脱髓鞘病变,以及与块状脱髓鞘病变相鉴别,后者通常大于 2cm,伴有环状强化或开环强化,但没有层状结构。

许多研究的结果提供了对 Balo 同心圆硬化放射学和病理学特征的理解;然而,对于当 Balo 病变发生后其如何进展以及应该启动什么样的治疗相关的信息是缺乏的。本文的目的是描述这种疾病的临床特征,讨论其免疫发病机理和治疗方面的不确定性。

流行病学和临床特征

Balo 同心圆硬化是一种罕见的疾病,很难精确估计患病率。Balo 同心圆硬化患者平均发病年龄为 34 岁 ( 范围 3 – 62 岁 )。从一个小型系列病例报道的 MRI 数据显示女性和男性患者比例是 2:13,并且该病似乎在东亚患者中更为常见,患病率最高的人群是南方汉族人群,台湾,和菲律宾人群。这些数据可能表明 Balo 同心圆硬化存在以人群为基础的遗传易感性,尽管我们也不能排除环境的影响。

虽然该病发病没有季节性的偏好或与传染性疾病有明确的相关性,但观察性研究数据表明,自上世纪九十年代以后,菲律宾的 Balo 同心圆硬化的患者数量急剧下降,多发性硬化发病率保持稳定。一些研究人员推测这个数字的下降可能是由于菲律宾的快速“西方化”而致,在此期间考虑环境因素可能是较为重要的。

尽管患者可以表现为多发性硬化的一些经典的局灶性症状,如局灶性力弱,共济失调,感觉障碍,或复视,但Balo 病灶最常见的症状与其他任何颅内颅内病变的症状类似,包括头痛、认知损害、行为改变、少言、尿失禁、癫痫、失语、轻偏瘫等。在一项 17 例菲律宾患者的系列病例报道研究中显示,大约一半的患者有前驱期的症状,包括轻度发热,全身不适,头痛等。有时候,患者可能出现更为急性的神经系统障碍,类似于卒中的表现,在极少数情况下可能是无症状性的。

Balo 病变可被误诊为脑部肿瘤,如多形性胶质母细胞瘤或原发性中枢神经系统淋巴瘤,一些患者进行脑活检可排除肿瘤病变。其他鉴别诊断包括梗塞、脑脓肿、块状脱髓鞘。块状脱髓鞘有时是很难与 Balo 同心圆硬化相鉴别,因为后者也可发展形成块状病变簇状的外观,虽然块状病变没有簇状典型的 Balo 病变同心圆样改变。这种病变之间的相似性某种程度上模糊了两种疾病之间的区别,表明这些疾病是非典型脱髓鞘谱系疾病中的一种。

历史的观点认为,Balo 同心圆硬化认为是一种在发病后数周或数个月内逐渐进展导致严重残疾或死亡的疾病,诊断是基于尸检组织病理学的报告。然而,由于 MRI 的出现,Balo 病变的自然疾病史可以得到更充分的认识。尽管 Balo 病变可能是致命的,但逐渐增加的认识表明,许多出现 Balo 病变症状的患者可以大部分或完全恢复。

尽管这可能是因为对这些病变所致的真正临床预后的完全认识,但也可能,至少部分上,是由于早期的识别和治疗。第三个可能考虑的原因是,来自不同的疾病过程的患者预后情况较广泛,真正的 Balo 同心圆硬化是一种暴发性致命性疾病,Marburg 样以及 Balo 样病变预后较好,如传统的块状脱髓鞘或多发性硬化,有时只是作为其他脱髓鞘过程的一部分出现。

Balo 病变的发生极少与其他疾病相关。具体地说,在抗水通道蛋白  4 抗体血清反应阳性和阴性的视神经脊髓炎以及视神经脊髓炎谱系疾病中可以看到一些 Balo 病变的病例报道。此外, Balo 样的病变也可见于一例进行性多灶性白质脑病患者及一例伴皮质下梗死和脑白质病的常染色体显性遗传脑动脉病(CADASIL)患者中。

多个 Balo 样病变也见于一例有静脉注射毒品史和丙型肝炎的患者中,该患者既往采用过干扰素α治疗;脑脊液(CSF)人类疱疹病毒 PCR 检测阳性。 CSF 中这种病毒在与儿科 Balo 同心圆硬化相关,并增加了可能的病毒性因素在这些病变发生中的可能性。

影像学表现

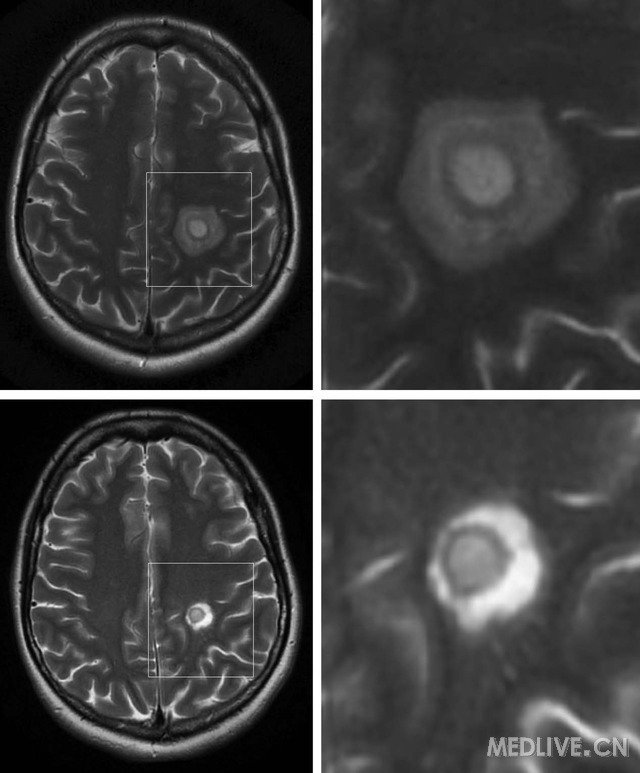
MRI 技术的进展使得 Balo 同心圆硬化能够在患者活着的时候就进行诊断。T1 加权成像显示 Balo 病变典型表现为交替等信号和低信号的同心圆样病灶;T2 加权序列显示在所谓的 T2 高信号的风暴中心周围环绕着高信号的片层样结构;尽管也可见其他复杂的结构描述,包括马赛克式,莲花座状,或康乃馨状,甚至双杠状 ( 见图 1)

http://webres.medlive.cn/upload/000/203/715

 1. MRI 显示左侧顶叶同心圆硬化病灶。A 图为 T1 加权像,B 图为 T2 加权像。

DWI 序列可见高信号,通常位于病变的边缘。病变水肿很小,MRI 增强更可能出现病变的周围,但偶尔也会多层的强化,相应的 T2 也出现高信号 层。不像典型的多发性硬化脱髓鞘病变,Balo 病变主要发生在脑白质,不累及皮层的 U 形纤维。其他的病灶部位包括基底神经节、脑桥、小脑,也有报道称脊髓和视神经受累。

Balo 或 Balo 样病灶的结构因一个或两个至几个交替的脱髓鞘条带不同而不同,其病变大小可以小至不足 1厘米,也可以大到累及整个大脑半球 ( 图 23)Balo 病变可能是多个病灶起病或孤立性病灶。连续的 MRI使得能够对新形成的 Balo 病灶的演变有深入的认识,尽管研究对于洋葱环状结构是同时出现还是从核心遵循一定的半径向外发展尚有争议。

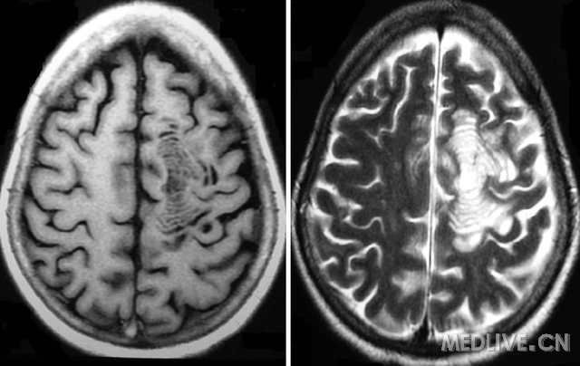
http://webres.medlive.cn/upload/000/203/716

 2. MRI 显示在采用皮质激素治疗前后左侧顶叶同心圆硬化病灶。A 和 B 图(3 倍放大)为 T2 加权像,C图和 D 图(4 倍放大)为采用静脉甲基强的松龙治疗 2 个月后的 T2 像。

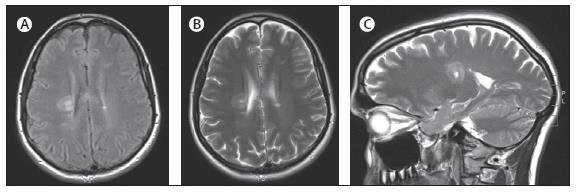
http://webres.medlive.cn/upload/000/203/717

 3. MRI 显示在右侧脑室旁白质的同心圆硬化病灶。A 图为 Flair 像,B 图为轴位 T2 像,C 图为矢状位 T2像,该例女性患者 36 岁,主因晨起出现突发左侧偏瘫就诊,起初被认为是卒中。注意在两侧大脑半球深部均出现伴随的更典型的脱髓鞘病变。

连续的影像学检查还提供了对 Balo 病变长期发展的理解和认识。有些病变可能最终失去同心圆环状结构模式,并出现弥漫性的块状脱髓鞘病变或大片斑块。其他还包括超过 1 年的持续性同心圆外观或回归到最终像一个更典型的脱髓鞘斑块的大小。

Balo 病变的核磁共振波谱成像显示胆碱 / 乙酰天门冬氨酸比率有中等程度的增加。磁化传递成像显示急性病变的病灶核心区磁化传递率显著降低,周围同心圆状病灶也有不那么明显的下降,并且随着病变的发展,周围结构的磁化传递率先下降后上升。

不像其他的急性脱髓鞘病变或高分化肿瘤,Balo 病变不会导致 PET 吸收的增加,因此这种成像技术可能是在描述诊断不清楚的病灶特征时采用标准成像基础上的一种有用的辅助手段。7 T MRI 磁敏感加权成像显示多个低信号的病灶,与微出血以及扩张的静脉表现相一致。尽管这些变化尚未通过病理学方面的确认,但表明微血管受累参与病变的发生。

病理学特征和免疫发病机理

Balo 病变的病理学特征已有很充分的描述,典型的特征包括脑白质少突胶质细胞丢失和脱髓鞘 ( 类似于多发性硬化免疫病理 III 型 ),皮层灰质并不受累 ( 不像传统的多发性硬化 )

宏观上看,病变通常比传统的多发性硬化病变体积大,其交替的环状外观可归因于相对髓鞘保留和缺失以及相对轴索不受累,可以形成所谓的洋葱皮样外观。相对髓鞘保留很少包含正常的髓鞘,而是早期或部分的髓鞘脱失,这也许是持续的髓磷脂分解的迹象,既往脱髓鞘的区域重新形成新的髓鞘。

然而,来自新生典型多发性硬化病变的尸检结果研究也可出现几乎完整的髓磷脂与脱髓鞘脱交替出现,类似于另一种更典型 II 型多发性硬化患者中 Balo 或 Balo 样病变,其特征包括在退化的髓鞘上补体沉积,伴有髓鞘重新形成的区域。星型胶质细胞病变也被作为一个 Balo 病变的标志性特征。 肥大的星形胶质细胞分布于整个病灶中,并且其出现与少突胶质细胞有密切的关系。

为什么 Balo 病变发展称片状或同心圆状?病变似乎是因为对未知刺激的反应之后在血管周围区域产生的,导致巨噬细胞和激活的小胶质细胞产生细胞因子,氧自由基或其他神经介质,诱导脱髓鞘形成。这种同心圆形的模式代表着化学介质从核心区像波浪一样像外传播 ( 图 4)

http://webres.medlive.cn/upload/000/203/718

 4. Balo 病变形成的假设模型

损伤可能是由于缺血缺氧所致,可能的机制包括线粒体呼吸链复合体 IV 及其催化组件细胞色素 C 氧化酶受抑制。当病灶形成时在其周围发现低氧诱导因子,D – 110,缺氧诱导因子 1α和热休克蛋白 70 等,这在一定程度上发挥了神经保护作用,使得在环状的脱髓鞘之间有部分髓鞘得以保留。数学模型表明,同心性分层中还有可能是由于非线性的单核细胞趋化和小神经胶质细胞对非特异性化学诱导物反应,导致在这些细胞聚集的区域脱髓鞘。

髓鞘脱失也可能与星型胶质细胞病变有关。连接素形成星形胶质细胞之间以及其与少突胶质细胞之间缝隙连接。在扩大的 Balo 病变的前缘,星形胶质细胞水通道蛋白 4 和连接素 ( 如 Cx43) 明显减少,并且与少突胶质细胞和髓鞘密切相关。这个观察表明,星形胶质细胞和少突细胞相互作用的破坏导致脱髓鞘。相关补体,免疫球蛋白沉积或抗水通道蛋白 4 抗体的缺乏使得该病的免疫病理学与视神经脊髓炎截然不同。

与多发性硬化有怎样的临床相关性?

Balo 病变和多发性硬化之间的关系还不清楚。Balo 同心圆硬化可能是多发性硬化的一个变异型或一个单独的但又相关性的疾病。显然,传统的多发性硬化和 Balo 病变不仅仅只是病理学表现方面的重合。Balo 病变可以发生在除复发缓解型之外传统的多发性硬化发生的临床过程中。至少有 55% 存在 Balo 或 Balo 样病变的患者表现为 MRI 显示的典型多发性硬化病变 ( 图 2)

 2 例由 Chaodong 及其同事报道的患者中,患者起初发生的 Balo 病变复发的时候伴有典型的多发性硬化脱髓鞘病变。此外,一些脑脊液寡克隆带阳性的 Balo 病变的患者可能继续发展为多发性硬化,这就提出了一个问题:寡克隆带阳性是否可能预测进展为多发性硬化的风险?并不是所有 Balo 病变的患者都出现寡克隆带,在一项纳入 11 例 Balo 样病变患者研究中,只有 1 例患者出现脑脊液寡克隆带的生成。

治疗

急性病灶

用来指导治疗急性症状性 Balo 病变的随机对照临床研究十分稀少,考虑到其病变的罕见性以及临床表现的异质性,这样的结果并不出人意料。大多数作者和临床医生的共识均是基于病例报告,同时也是根据我们的经验,糖皮质激素是推荐的一线治疗方法。对于那些对糖皮质激素治疗不完全反映或者无反应的病变以及相关的临床综合征,治疗方法尚不清楚。

一般来说,我们认为血浆置换似乎是合理的二线治疗选择,因为这种治疗通常是作为更典型的及块状脱髓鞘病变患者的抢救治疗。环磷酰胺,静脉注射免疫球蛋白以及免疫吸附等治疗也可用于个体患者中,有时可结合更长期的治疗方法,如硫唑嘌呤或米托蒽醌治疗。然而,这些治疗方法的可能获益或者哪一种更佳的数据尚不充分。

研究报道,在一例临床和影像不断进展的 Balo 同心圆硬化患者中,糖皮质激素,血浆置换,或静脉注射环磷酰胺等治疗后仍效果不佳后可尝试使用阿仑单抗治疗。尽管在该例患者中没有病理学检查证实是 Balo 髓鞘脱失,但 MRI 已经提示是该病。到使用阿仑单抗进行免疫诱导治疗时,患者的扩展残疾状态量表得分为 6.5分,尽管已经开始了治疗,患者仍继续恶化,并且在阿仑单抗治疗 6 个月后死亡。研究人员推测如果更早期干预是否会有较好的预后。

多发性硬化疾病修饰治疗会发挥作用吗?

用于指导已发生 Balo 病变的患者持续治疗的信息十分稀缺。我们的意见是,如果 Balo 病变发展的方式符合复发缓解型多发性硬化诊断标准中所述的时间和空间分布的特征,考虑采用多发性硬化疾病修饰疗法来治疗 Balo病变可能是合理的。然而,尚没有随机对照试验的报告,也没有多少证据可用来指导决策。

Balo 病变在临床和放射学方面是否孤立性发生可预测临床孤立综合征的发生,因此其本身是否应该及时的治疗目前还不清楚。根据我们的经验,许多孤立性 Balo 病变的患者与更传统的多发性硬化患者相比,其预后更好,因此观察和期待疗法可能是合理的。

此外,在典型的临床孤立综合征的患者中,如果不伴有额外的临床静止性病变,其复发风险相对较低。或者,如果出现了 Balo 病变且伴有额外的传统多发性硬化脱髓鞘病变和寡克隆带阳性或者两者兼有,那么转化为多发性硬化的风险似乎可能性更高。在患者及其神经内科医生进行疾病决策时,应该考虑这些因素以及不良事件发生的相对风险的治疗。

如果把 Balo 病变作为多发性硬化疾病过程的一部分进行治疗,我们支持将传统的一线疾病修饰疗法作为适当的第一步治疗选择。一些报道提到采用干扰素β进行治疗;然而,有关这种治疗方法的资料很少,在更多明确的推荐之前需要进行更进一步研究。

在一项采用那他珠单抗治疗 Balo 同心圆硬化患者的病例报道中,该例患者有多发性硬化的病史,在使用干扰素β1a 治疗后出现了 Balo 病变,在静脉注射糖皮质激素治疗后症状恶化,而在五个周期的血浆置换和五个周期的免疫吸附治疗后病情好转。患者在发病 3 个月后接受那他珠单抗治疗,在超过 3 年的随访期内无复发。

来源:网络

打开医脉通app阅读全文,体验更佳
确认
全部回复(4)
lwyas
2楼

预后

出现 Balo 病变症状的患者预后不尽相同 ( 表 )。可见临床和影像学均完全恢复的患者;然而,进展性 Balo 同心圆硬化的患者可能会死亡或遗留显著的残疾。在这两种极端情况之间的预后更常见。

. Balo 同心圆硬化患者的预后

http://webres.medlive.cn/upload/000/203/719

以单独 Balo 病灶发病的患者与那些复发缓解型多发性硬化发生中出现 Balo 病灶的患者相比较的预后研究较少。在一项纳入 10 例 Balo 样病变患者的研究中,83% 的患者出现显著的或完全性的临床改善,且没有死亡病例的报告。

在同一研究中,对 6 例 Balo 样病变患者的平均长期随访期为 1.8 年,其中 4 例患者没有更进一步的髓鞘脱失。在 5 例已经有典型的脱髓鞘病变的患者中,只有一例患者进展,并且有至少一次的脱髓鞘复发。

Chaodong 及其同事对 7 例患者的队列进行了平均为期 8 年的随访。 其中只有 3 例患者脱髓鞘复发,且在每例患者随访期内只发生了一次,这增加了 Balo 同心圆硬化患者的预后比典型多发性硬化患者预后更有利的可能性,至少在初次发病之后对治疗反应较好的患者中。

Karaarslan 及其同事在一项纳入 5 例患者平均随访 30 个月的研究中报道了类似的良好预后,所有的患者至今都没有复发。这个趋势表明在其他非典型脱髓鞘疾病如块状脱髓鞘中已经发现的较为良好的预后。然而,很明显,在这些研究中患者的数量很小,所以有关 Balo 同心圆硬化患者预后的数据需要谨慎地解释。

有部分只有单一 Balo 病变的患者会复发出现进一步的 Balo 病变。一例患者从初次发病恢复后,死于 4 年后第二次发病。有些 Balo 同心圆硬化的患者预后不良——一项纳入已发表的病例报告的综述表明,14% 的患者死亡,严重残疾,症状恶化。在一项纳入 17 例死于 Balo 同心圆硬化的患者报告中,死亡发生在该病诊断后的 5 天至 8 个月内,死亡通常是由于继发感染如肺炎所致,但有四例患者是死于脑疝。

结论和未来的发展方向

Balo 同心圆硬化是一种具有独特的影像学和病理学特征的罕见脱髓鞘疾病亚型。MRI 显示疾病的自然病史各不相同,症状性病灶急性期治疗的恢复是可能的。多发性硬化的疾病修饰治疗在某些符合多发性硬化诊断标准的患者中可能是一种有效的治疗方法,但数据比较缺乏。

尽管对 Balo 同心圆硬化在 MRI 方面的理解已有近战,但仍有几个方面的不确定性。疾病的罕见性意味不可能存在大型的研究。国际合作性研究或疾病注册研究需要达到足够数量的患者以便能够对疾病的各个方面得出结论。

这种回顾性甚至前瞻性病例分析可能有助于对发生率可能的地理变异性,与多发性硬化和其他神经系统疾病相关性的频率,预后特征以及急性和长期疾病修饰治疗等方面提供有意义的数据,进而可能有助于开发循证学治疗指南。特别是,这些数据将对理解日益增多的疾病修饰治疗如何影响 Balo 同心圆硬化以及指导治疗抉择方面十分有意义。

神经免疫学和神经病理学的进展将有望进一步阐明导致出现特征性同心圆状病灶外观的明确事件以及化学介质。尽管 Balo 同心圆硬化其本身值得研究,明确 Balo 病变免疫发病机理可能也可以为典型的多发性硬化提供更多的认识和理解。

采集对疾病的自然病史及其与其他类型多发性硬化的关系,包括复发缓解型,块状髓鞘脱等是有所帮助的。只有通过继续研究这种不太常见甚至罕见的疾病,才有可能阐明 Balo 同心圆硬化能否真正被视为一种单独的脱髓鞘疾病或是否为一种关系密切的变异型。

2015-01-08
月光
3楼

Balo病灶最常见的症状与其他任何颅内病变的症状类似,包括头痛、认知损害、行为改变、少言、尿失禁、癫痫、失语、轻偏瘫等。

2015-01-13
双子座7727
4楼

2016-03-12
东方晨曦
5楼

脱髓鞘疾病的变异

2016-09-01
内科
心血管内科 神经内科 消化科 肝病科 内分泌科 肿瘤科 血液科 精神科 呼吸科 肾内科 风湿免疫科 感染科
外科
普通外科 神经外科 胸心外科 泌尿外科 骨科 整形外科
其他
麻醉科 妇产科 儿科 眼科 耳鼻咽喉科 口腔科 皮肤性病科 急诊/重症 影像科 检验科
打开APP,参与评论互动