WHO:恰加斯病已传播到世界
scaryjeff楼主
2011-05-12 09:08

重要事实

在世界范围内(主要在拉丁美洲),估计有1000万人感染克氏锥虫,即引起恰加斯病的寄生虫。

恰加斯病曾经完全局限于美洲区域――主要是拉丁美洲,但现在已传播到其它各大洲。

如果在感染后很快开始治疗,恰加斯病是可治愈的。

慢性感染患者中有多达30%形成心脏病变,多达10%形成消化道、神经或混合病变,可能需要进行专门治疗。

在拉丁美洲预防恰加斯病的最有用方法是病媒控制。

血液筛检对预防通过输血和器官移植感染是至关重要的。

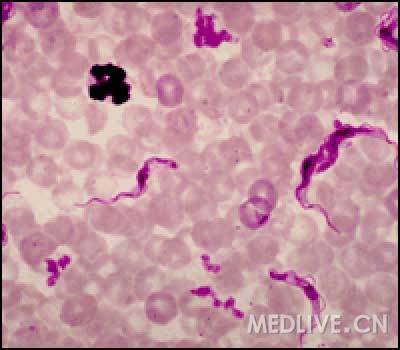
恰加斯病也称南美锥虫病,是原生动物寄生虫克氏锥虫引起的一种可威胁生命的疾病。该病主要见于拉丁美洲,多数通过锥蝽臭虫的粪便传播给人类。这类臭虫亦称吸血猎蝽,并根据地理区域,还有其它名称。

全世界估计有1000万人感染,主要在流行恰加斯病的拉丁美洲。该病高危人群多达2500万人以上。据估计,恰加斯病在2008年造成1万多人死亡。

恰加斯病以1909年第一个发现该病的巴西医生Carlos Ribeiro Justiniano Chagas的名字命名。

分布地区

恰加斯病主要发生于拉丁美洲。但是,过去10年中在美国、加拿大、许多欧洲国家以及有些西太平洋国家中也越来越多地发现病例。这主要是由于拉丁美洲与世界其它地方之间的人口流动。在较少的情况中,通过输血,纵向传播(母婴感染)或器官捐献也造成感染。

体征与症状

恰加斯病为两个阶段。最初的急性期在感染之后持续约两个月。在急性期,有大量寄生虫随血液循环。多数病例无症状或症状温和,但可包括发热、头痛、淋巴结肿大、脸色苍白、肌肉疼痛、呼吸困难、肿胀以及腹部或胸部疼痛。在被锥蝽臭虫叮咬的不足50%的人中,首先可见的典型体征可以是皮损或一侧眼睑青紫肿胀。

在慢性期,寄生虫主要隐藏在心脏和消化道的肌肉中。多达30%的患者出现心脏障碍,多达10%出现消化道(典型的情况是食道或结肠扩大)、神经或混合病变。在随后数年内,感染可导致猝死或心肌进行性损害造成的心力衰竭。

传播

在拉丁美洲,克氏锥虫主要通过吸血锥蝽臭虫受感染的粪便传播。这些臭虫一般生活在农村或郊区建筑条件较差住房的缝隙中。它们通常在日间隐藏起来,到晚上就出来活动,吸食人的血液。它们通常叮咬脸部等皮肤暴露区,而且臭虫在叮咬处附近排便。当人出于本能把臭虫粪便抹到叮咬处、眼部、口腔或任何皮肤破损处时,寄生虫就进入人体。

克氏锥虫也可通过以下途径传播:

经克氏锥虫污染的食物,例如通过接触锥蝽臭虫的粪便;

使用受感染献血者的血液进行输血;

在妊娠或分娩期间由受感染的母亲传播给新生儿;

使用受感染捐献者的器官进行器官移植;

实验室事故。

治疗

为了杀死寄生虫,可使用苄硝唑或硝呋替莫可治疗恰加斯病。如果在感染之后的急性期开始时很快用药,这两种药物治愈该病的效力几乎为100%。但是,两种药物的效率随着患者染病的时间而减弱。治疗也适用于感染复发者(例如由于免疫抑制)、先天性感染患儿以及慢性期早期病人。应当向染病的成人,尤其是无症状者,提供治疗。由于疗程较长(长达两个月)并可能出现不良反应(在多达40%接受治疗的病人中发生),应当衡量药物治疗在预防或延迟形成恰加斯病方面的可能效益。

孕妇或者肾或肝功能衰竭者不应使用苄硝唑和硝呋替莫。硝呋替莫也禁忌用于具有神经或精神障碍背景者。

此外,可能需要对心脏或消化道症状进行专门治疗。

控制和预防

没有用于恰加斯病的疫苗。在拉丁美洲预防恰加斯病的最有效方法是病媒控制。为了预防通过输血和器官移植染病,必须进行血液筛检。

最初(>9000年之前),克氏锥虫仅影响野生动物。该病后来传播到家畜和人类。克氏锥虫在南美野生动物宿主的数量较大,意味着不能根除这种寄生虫。因此,控制目标是消灭传播并为受感染和患病人群提供卫生保健。

克氏锥虫可感染若干种类的锥蝽臭虫,其中大部分见于美洲。根据地理区域,世卫组织建议采取如下预防和控制措施:

对房屋和周围地区喷洒杀虫剂;

改进房屋以防病媒成灾;

个人预防措施,例如蚊帐;

食物制备、运输、储存和食用方面的良好卫生措施;

筛查献血者;

检测器官、组织或细胞捐献者和接受者;

筛查受感染母亲的新生儿以及受感染儿童的兄弟姐妹以便提供早期诊断和治疗。

世卫组织(WHO)的反应

自1990年代以来,拉丁美洲、南锥各地区、中美洲、安第斯条约以及泛美卫生组织的亚马逊流域政府间行动在寄生虫和病媒控制方面取得了重要的成功。这些多国行动导致显著减少国内病媒的传播。此外,在整个拉丁美洲显著降低了通过输血传播的风险。之所以能够取得这些进展的原因是疾病流行会员国的坚定承诺,其研究和控制机构的力量,以及众多国际伙伴的支持。

与此同时,需要面对一系列额外的挑战:

要有可持久性,维持和巩固控制方面的进展;

在原先认为无该病的地区――例如亚马逊流域,出现了恰加斯病;

在控制工作已取得进展的地区――例如在阿根廷和玻利维亚的查科地区等,重新出现了该病;

主要由于拉丁美洲与世界其它地方之间日益增多的人口流动造成了该病的传播;

成百万感染患者要获得诊断和治疗。

为了实现消灭恰加斯病传播并在疾病流行和非流行国家为感染者/患者提供卫生保健的目标,世卫组织力图在全球级加强联网合作并强化区域和国家的能力,重点为:

加强世界流行病学监测和信息系统;

在疾病流行和非流行国家中预防通过输血和器官移植传播疾病;

促进识别用于筛检和诊断感染的诊断测试法;

扩大先天性传播的二级预防以及先天性和非先天性感染的病例管理;

促进就充分的病例管理达成共识。



    

打开医脉通app阅读全文,体验更佳
确认
全部回复(2)
神经忍
2楼

http://webres.medlive.cn/upload/000/014/846

 

http://webres.medlive.cn/upload/000/014/845

 

上张好图学习下。

2011-05-12
scaryjeff
3楼

 

回复 2楼:

好图好图

 

2011-05-15
内科
心血管内科 神经内科 消化科 肝病科 内分泌科 肿瘤科 血液科 精神科 呼吸科 肾内科 风湿免疫科 感染科
外科
普通外科 神经外科 胸心外科 泌尿外科 骨科 整形外科
其他
麻醉科 妇产科 儿科 眼科 耳鼻咽喉科 口腔科 皮肤性病科 急诊/重症 影像科 检验科
打开APP,参与评论互动