易栓症合并慢性血栓栓塞性肺高血压1例
穿白衣楼主
2016-06-02 14:26

来源自:心在线网站

 【病史】

现病史


26岁男性,6月前出现活动后气促,伴咳嗽、咳痰,3周前活动耐量进一步下降,平地步行100~200米即出现气促不适。2周前于当地医院行肺动脉CTA示:双肺动脉栓塞,左上肺、右中肺、右下肺马赛克灌注,右室稍增大,少量心包积液。下肢深静脉超声示:右侧腘静脉部分血栓形成。当地医院开始给予低分子量肝素、华法林抗凝治疗,国际标准化比值(INR)未达标。

既往史

既往无大创伤或下肢创伤史,无矫正外科手术史,无长期制动史,无激素替代治疗史,无脾切除术史,无脑室心房分流/起搏器置入史,无甲状腺疾病史,无恶性肿瘤史,无肾脏疾病史,无左心疾病史,无慢性肺病史。

用药史和过敏史

低分子量肝素4000 IU Q12h,华法林2.5 mg Qd;无药物过敏史。

个人史及家族史

未婚,职业为公司职员;不吸烟、不饮酒、无违禁药物使用史;久居本地。无心肺疾病,无静脉血栓栓塞症病史,无猝死家族史。

【体格检查】

生命体征:体温36.5℃,心率90 bpm,血压108/64 mmHg,呼吸频率14次/分。无口唇紫绀。无颈静脉怒张。双肺呼吸音清,未及干湿啰音。心尖搏动点位于第5肋间左锁骨中线外0.5 cm,P2亢进,心脏各瓣膜区未及心脏杂音。无腹型肥胖,无肝脾肿大。无下肢水肿,腓肠肌无压痛,无杵状指、趾。

问题1. 入院时查D-二聚体4975 ng/ml,超声心动图:右房、室增大,右室壁增厚,三尖瓣环收缩期位移(TAPSE)20 mm,左室内径缩小,室间隔左移,右肺动脉增宽,肺动脉腔内见异常回声附着,估测肺动脉收缩压40 mmHg。肺通气/灌注显像:双肺多发肺段性血流灌注受损,通气正常,肺通气灌注不匹配。下肢深静脉超声:右小腿腓静脉血栓。以下哪项为该患者最准确的初步诊断?

A. 急性肺栓塞

B. 复发性肺栓塞

C. 慢性血栓栓塞性肺高血压(CTEPH)

D. 复发性肺栓塞,合并CTEPH可能

专家解读

正确答案是:D.复发性肺栓塞,合并CTEPH可能。

根据2014年欧洲心脏病学会(ESC)急性肺栓塞诊治指南,患者存在右下肢深静脉血栓形成,肺动脉增强CT结合肺通气/灌注显像可以确诊肺栓塞。

根据2015年ESC肺高血压诊治指南,患者出现活动后气促病程6个月(Ⅱa-C级推荐),超声心动图提示存在右心扩大,右室壁增厚等右心室重构征象,存在三尖瓣反流速率2.9 m/s且室间隔左移、左室内径缩小等肺高血压高度可疑征象,考虑诊断CTEPH可能,但患者接受抗凝治疗时间仅2周,抗凝强度未达标,D-二聚体仍显著升高,提示仍存在新鲜血栓形成,需在有效、规律抗凝3个月后在肺高血压专科诊治中心完善右心导管检查、肺动脉造影以明确诊断(Ⅰ-C级推荐)。

问题2. 以下哪项超声心动图指标最有助于肺高血压的诊断?

A. 左室射血分数

B. 右心房内径

C. 右心室内径

D. 三尖瓣反流速率

E. 左心室偏心指数

专家解读

正确答案是:D.三尖瓣反流速率。

2015年ESC肺高血压诊治指南建议:根据静息时三尖瓣反流速率及其他提示肺高血压的超声心动图指标,将超声心动图发现肺高血压的可能性分为低度、中度、高度(表1)(表2)。

http://webres.medlive.cn/upload/000/284/125

http://webres.medlive.cn/upload/000/284/126

 

 

问题3. 本例患者为26岁男性,既往无大创伤或下肢创伤史,无矫正外科手术史,无长期制动史,无激素替代治疗史,无脾切除术史,无脑室心房分流/起搏器置入史,无甲状腺疾病史,无恶性肿瘤史,无肾脏疾病史,此时患者需要进行哪些检查以完善肺栓塞诊断?

A. 遗传性易栓症筛查(包括抗凝蛋白缺陷、凝血因子缺陷、纤溶蛋白缺陷、代谢缺陷及凝血因子水平异常)

B. 抗磷脂抗体综合征筛查

C. 常见恶性肿瘤指标筛查

D. 以上均是

专家解读

正确答案是:D.以上均是。

患者为年轻男性,肺栓塞起病前1.5至3月内无明确一过性或可逆性危险因素(如创伤、手术、长期制动、激素替代治疗、严重感染等),首先要考虑易栓症可能。

易栓症分为遗传性及获得性两类,其中遗传性易栓症包括以下5类:① 抗凝蛋白缺陷:抗凝血酶缺乏症,蛋白C缺乏症,蛋白S缺乏症;② 凝血因子缺陷:活化蛋白C抵抗症(因子V Leiden突变),凝血酶原G2021A突变,异常纤维蛋白原血症等;③ 纤溶蛋白缺陷:异常纤溶酶原血症,组织型纤溶酶原激活物缺陷症,纤溶酶原活化抑制物-1增多症等;④ 代谢缺陷:高同型半胱氨酸血症(MTHFR突变)等;⑤ 凝血因子水平升高。而获得性易栓症中常见的为:抗磷脂抗体综合征,恶性肿瘤,骨髓增殖性疾病,肾病综合征等。

【诊疗经过】

入院后查ANA抗体谱(-),ANCA(-),狼疮抗凝物全套(-),抗心磷脂抗体(-),血同型半胱氨酸正常,停用华法林次日晨起查血浆蛋白S活性8%,血浆蛋白C活性54%,抗凝血酶III活性正常,肿瘤标记物未见明显异常。

患者血浆蛋白S及蛋白C活性明显下降,在考虑华法林影响的同时需高度怀疑遗传性易栓症可能。停用华法林,换用直接Xa因子抑制剂-利伐沙班15 mg Bid抗凝治疗,监测D-二聚体于5天后降至977 ng/ml,提示利伐沙班抗凝治疗有效,继续监测D-二聚体变化,3周后利伐沙班减量为10 mg Bid维持治疗。

3个月后患者如约来院随访,查血浆蛋白S活性29%,血浆蛋白C活性恢复正常,抗凝血酶III活性正常,确诊蛋白S缺乏症。复查D-二聚体575 ng/ml,肺动脉CTA示双肺动脉各叶段多发充盈缺损。肺灌注显像示双肺多发性肺段性血流灌注受损,与3月前肺灌注显像比较无明显改变。超声心动图示右房室增大,较3月前有所回缩,右室壁增厚,TAPSE 20 mm,三尖瓣反流速率4.1 m/s,左室内径大致正常,室间隔左移(图1)。

http://webres.medlive.cn/upload/000/284/127

 


患者进一步完善右心导管检查,详细血流动力学数据见(表3)。

http://webres.medlive.cn/upload/000/284/128

 


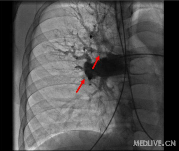
肺动脉造影示:左、右肺动脉扩张,管壁僵硬,右肺下叶动脉开口闭塞,远端血流灌注缺失;右肺上叶前段及中叶分支可见多发狭窄,远端血流灌注呈节段性减低(图2);左肺下叶内前基底段开口重度狭窄,余基底段动脉亚段以下分支可见多发狭窄性病变,远端血流灌注明显减低(图3)。

http://webres.medlive.cn/upload/000/284/129

 

http://webres.medlive.cn/upload/000/284/130

 


问题4. 本病例下一步应该如何处理?

A. 单纯终身抗凝治疗

B. 肺高血压靶向药物治疗

C. 经皮腔内肺动脉成形术(PTPA)

D. 终身抗凝治疗+评估肺动脉内膜剥脱术(PEA)指征

E. 终身抗凝治疗+肺高血压靶向药物治疗

专家解读

正确答案是:D.终身抗凝治疗+评估PEA指征。

结合右心导管肺循环血流动力学数据,患者有效、规律抗凝治疗3个月后肺动脉平均压43 mmHg(≥25 mmHg),肺小动脉楔压10 mmHg(≤15 mmHg),肺通气/灌注显像不匹配,肺动脉增强CT示双肺多发充盈缺损,肺动脉造影示双肺动脉多发狭窄性病变,确诊CTEPH。

根据2015年ESC肺高血压诊治指南中CTEPH治疗流程(图4),推荐患者接受终身抗凝治疗,同时由一个多学科组成的CTEPH治疗团队进一步评估PEA可行性。

http://webres.medlive.cn/upload/000/284/133

 


问题5. 肺动脉内膜剥脱术的手术适应证及禁忌证各有哪些?

专家解读


不同于部分急性肺栓塞患者所进行的肺动脉取栓术,PEA只有将肺动脉内膜与中膜剥离才能达到手术效果。PEA指征是由多方因素综合决定的,目前为止尚无统一标准。其决定因素包括合适的患者,团队的经验及可利用的资源,当然其中很重要的一点是患者接受PEA的获益风险比。PEA基本条件包括术前WHO心功能分级Ⅱ~Ⅳ级,肺动脉病变主要累及双肺动脉主干、叶动脉及段一级分支。年龄大并非PEA的禁区,同时肺血管阻力升高及右心室功能不全也并非PEA的禁忌证。

问题6. 如果无法进行肺动脉内膜剥脱术,患者下一步应该如何处理?

专家解读

无法进行肺动脉内膜剥脱术的患者应该在终身抗凝治疗基础上,考虑加用肺高血压靶向药物治疗,同时可以考虑行经皮腔内肺动脉成形术。1项大型随机、双盲、安慰剂对照、多中心临床试验及其延长期试验证实,鸟苷酸环化酶激动剂-利奥西呱可以让无法手术或术后复发/残余肺高血压的CTEPH患者在提高运动耐量,降低肺血管阻力等方面获益,但在到达临床恶化事件时间上与对照组无明显差异。在2015年ESC肺高血压诊治指南中该药被推荐用于治疗无法手术或术后复发/残余肺高血压患者(I-B级推荐)。

目前经皮腔内肺动脉成形术尚未被广泛应用,但已获得越来越多业内人士的关注。日本同行是这方面的翘楚,其通过改进操作流程,引进血管内成像技术等方式大大减少了再灌注肺水肿的发生率。中国在这方面也已积累了一定的经验。目前该项技术仍建议由有经验的肺血管专科诊治中心操作。

打开医脉通app阅读全文,体验更佳
确认
内科
外科
其他
打开APP,参与评论互动