【答案公布】男,67岁,右侧腰部亚急性疼痛

来源:医脉通 2016.08.04
我要投稿

医脉通编译整理,转载请务必注明出处。


病历资料


男,67岁,右侧腰部亚急性疼痛,游走性疼痛迁移至至右下腹及耻骨上区,加重1周。


患者自述疼痛为痉挛性、强度波动性疼痛,就诊当天出现急性恶化。


然而,在急诊科等待15分钟后,他的疼痛完全消失了。


患者否认有任何相关的恶心、呕吐、腹泻、黑便、便血、血尿、排尿困难。


生命体征和腹部体格检查正常。


此外,实验室测试、包括尿检均正常。


床边超声检查无胆囊异常或肾结石;但提示肝脏异常。


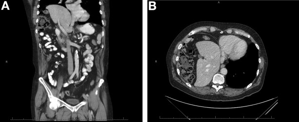
为进一步诊断,腹盆部CT扫描如图所示(图A,B)。


患者离开急诊科,至门诊进行定期随访。



根据该患者的临床和影像结果,你认为最可能的诊断是什么?(诊断正确或分析思路清晰、有理有据者将酌情给予积分奖励)


答案公布


正确答案:间位结肠综合征


腹部CT图像显示间位结肠的标志,通常在肝曲,以及肝和右膈。这被认为是一个附带的影像学发现,一般无症状;然而,当出现临床症状如腹痛、腹胀、腹胀、厌食,便秘,或恶心时,它被称为间位结肠综合征。间位结肠综合征在一般人群中发病率为0.25%-0.28%。[2]


间位结肠综合征的病因肝脏的韧带过长,薄弱、缺无等发育异常,使肝脏下移并与膈肌之间的间隙增宽,以至结肠嵌入之间。其他发生间位结肠综合征的危险因素包括慢性便秘,肝硬化,腹水,肥胖。


男性发生间位结肠综合征的概率是女性的4倍,且老年人中多见。间位结肠综合征的诊断需满足以下影像学标准:右膈必须高于肝脏,肠部必须被空气膨胀以表明假性气腹,肝脏上缘必须在左侧膈肌水平以下。[1]


间位结肠综合征通过密切观察进行保守治疗。结肠固定术可以治疗复发症状。本综合征所引起的严重并发症包括盲肠、横结肠、脾曲扭转,盲肠穿孔以及膈下阑尾炎穿孔,都需要经外科干预治疗。[3]为避免不必要的诊断研究和不必要的手术干预,认识间位结肠综合征是很重要的。


参考文献:


1.Uygungul, E., Uygungul, D., Ayrik, C. et al. Chilaiditi sign: why are clinical findings more important in ED?. Am J Emerg Med. 2015; 33: 733.e1–733.e2


2.Ho, M.P., Cheung, W.K., Tsai, K.C. et al. Chilaiditi syndrome mimicking subdiaphragmatic free air in an elderly adult. J Am Geriatr Soc. 2014; 62: 2019–2021


3.Kang, D., Pan, A.S., Lopez, M.A. et al. Acute abdominal pain secondary to Chilaiditi syndrome. Case Rep Surg. 2013; 2013: 756590