
【病例解读】罕见尿道旁平滑肌瘤一例
医脉通编译,转载请务必注明出处!
平滑肌瘤是由平滑肌细胞组成的良性肿瘤,是女性生殖器官最常见的肿瘤,但是子宫外平滑肌瘤很罕见。仅有少量文献记载尿道旁平滑肌瘤。
病例报告
患者,35岁,女性。因左尿道旁肿块入院。肿块始发于5个月前,逐渐增大,接近尿道,端坐和工作时,疼痛。患者无泌尿系统病史,如排尿困难,血尿
或尿潴留,肿块无出血或分泌物产生。患者首先问诊泌尿科,因无泌尿系统疾病主诉,转诊至泌尿妇科。肿块没有累及尿道,患者无其他合并症。
体检和评估显示左尿道旁3x2cm移动性肿块。触诊柔软,光滑,疼痛,无触变,无炎症或水肿
症状。常规实验室检查表明各项指标均在正常范围内。MRI检查显示,阴道前外侧存在边界清晰的圆形病灶组织,约2cm,不均匀强化,流体限制,提示软骨/软组织阴道肿块
。

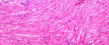
图1:苏木精-伊红染色X10

图2:苏木精-伊红染色 X 4

图3:苏木精-伊红染色X 20

图4:苏木精-伊红染色 X 40。
安排患者进行尿道镜检和肿块切除。入院时,在全身麻醉状态下行肿块切除术。尿道镜检结果无异常。肿块没有累及尿道。插入福利管,行菱形切口切除肿块。肿块完全切除后,使用3/0薇乔缝线,双层缝合管腔。手术结束时取出福利管。重复尿道镜检,结果无明显异常。组织病理学检查显示,该肿块包含平滑肌束,按分支模式排列,由血管化结缔组织分隔开。
6周后,门诊随访,患者恢复良好。
讨论
尿道旁平滑肌瘤是起源于平滑肌的良性肿瘤,极为罕见。直至最近,仅有6例此类疾病的报告。尿道(40)和阴道(250)病例报告均是有关有据可查的良性肿瘤。尿道旁平滑肌瘤发病于尿道旁间隙或膀胱阴道隔,大多无症状,有时伴有疼痛,性交困难和排尿问题。由于生长于间隙,没有累及尿道,膀胱或阴道,所以其临床表现为尿道和阴道壁平滑肌瘤。鉴别诊断包括尿道憩室,尿道粘膜脱垂,尿道肉芽肿,巴氏腺囊肿,加特那囊肿,尿道癌和阴道壁囊肿。
6例治愈的患者,其年龄介于32-49岁之间,受不同大小的尿道平滑肌瘤的影响。MRI是主要的检查方法,其次是组织活检和完全切除术手术,而完全手术切除术是最常用的治疗手段。患者预后良好,目前为止,没有恶性转化报道,复发病例也很罕见。由于可以完全切除,一般认为,尿道旁平滑肌瘤具有非复发性。因此,对于所有疑似尿道旁平滑肌瘤的肿块,建议经阴道前壁,行切除术。
医脉通编译自:Algreisi F, Ghazi A, Badr H, Batool M. Rare case of paraurethral leiomyoma. Int J Reprod Contracept Obstet Gynecol 2016;5:4475-7.