
慢性咳嗽的原因是?
一名63岁女性患有慢性咳嗽
。3个月前体健,之后干咳发热
。初始使用抗生素治疗2周。咳嗽改善,发热缓解。但是,又发生干咳。
患者主诉近期有几次咯血
,体重下降约5磅(2.3 kg),她将其归因于近期饮食改变和运动,另外还有胸痛
,气促,呼吸困难
,和明显的腰痛。
既往病史是高血压和糖尿病。家族史包括她的父亲在73岁时发生充血性心力衰竭。患者定期检查眼睛。未就诊于肺科医生。她主诉疼痛根据体力活动而变化。已经进行子宫切除术。她结婚并否认吸烟,但有持续的二手烟暴露史。
体格检查
血压,124/58 mm Hg;体温,36.8℃,心率,85 次/分。颈部检查显示锁骨上淋巴结肿大。胸部检查无明显结节、肿块、出血、皮肤回缩和腋窝淋巴结肿大。腹部柔软,无压痛。神经学检查,颅神经II至XII完好无损。
肺部评估时,可观察到喘息和肺不张
。可见呼吸功增加,之后进行胸片检查。
基于疾病史,体格检查,患者最可能的诊断是?
A. 结节病
B. 肺癌
C. 结核
D. 肺炎
=========================================================================
答案:B. 肺癌
讨论
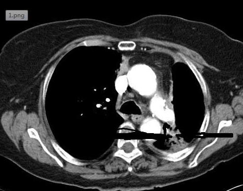
肺癌通常比较隐秘,直到晚期才会出现明显症状。在大多数患者中,需要高度的怀疑指标来正确判断这种疾病。此时,体重降低、咯血和二手烟暴露史,以及低程度发热和不规律的肺部评估,都需要对肺癌进行调查。之后,CT显示,左上叶有1.3 cm的复合结节(图1)。

图1
由于1.5 cm的低分化肺鳞癌,患者行左上肺叶切除术,纵隔淋巴结清扫术。随后放射治疗同时服用顺铂
和多西他赛
治疗,辅助放化疗。 然而,由于并发症,化疗在数剂量后停止。
患者之后因癫痫
发作入院;脑部MRI显示转移性疾病阴性,但提示可能有颞叶炎症。脑脊液检查疱疹阳性。
患者完成 6120 cGy的放射治疗。增加的化疗计划因患者体弱而延迟。她暴发带状疱疹
。每4个月进行一次随访,疾病完全缓解,左肺有稳定的残留性瘢痕。
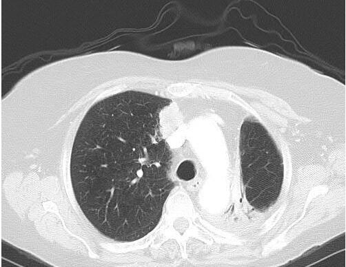
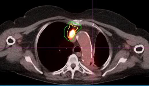
6年后,CT显示右上叶内侧有新发增强肿块,怀疑转移或新原发性肺癌(图2)。脑扫描显示转移疾病阴性。PET显示在预期区域有摄取和右肺门淋巴结有不确定的摄取(图3),但为阴性。 肺功能检查
显示FEV1为1.45 L,为65%。 一氧化碳
(DLCO)肺扩散能力为42%。 静息时饱和度正常,运动时下降至92%。

图2


图3
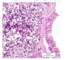
支气管镜超声检查未发现任何特异性异常。 粘膜易碎。 对右肺门淋巴结进行取样,但未获得淋巴样细胞。未见肿瘤区域特异性。
CT引导检是非诊断性的。 手术探查显示,由于纵隔侵袭和出血而无法切除的小细胞癌(图4)。 患者开始用卡铂
/依托泊苷
进行缓解化疗,在第2天和第3天口服依托泊苷治疗。她完成了这个化学疗法的四个周期,并且总体上耐受性良好。

图4
随访CT显示既往病变区域的有最小的残留密度影。 由于反应良好,进行质子治疗,因为既往的剂量,进行标准辐射是不可行的。
诱导化疗后进行巩固放射治疗。患者随后对残留的胸部肿块急性质子治疗。 她发生惊厥,并脱水,开始抗惊厥治疗了,病情稳定。大脑MRI显示右前颞部脑积水。她目前身体状况良好,并积极监测癌症。