三叉神经痛诱发窦性停搏1例

来源:中国微侵袭神经外科杂志 2020.04.15
我要投稿

作者:河北大学医学院(白泽通、郝良超、曾昭穆);河北大学附属医院神经外科(郑克彬、史彦芳)

 

三叉神经痛是一种常见的脑神经疾病,主要是指三叉神经分布区内出现的反复发作性剧痛,其表现多样,常与其他痛性疾病难以鉴别。2018年4-5月河北大学附属医院神经外科采用经皮穿刺微球囊压迫术(PBC)治疗1例三叉神经痛诱发窦性停搏病例,报告如下。

 

1.病历摘要

 

女,62岁;因右侧颜面部间断疼痛2年余入院。2年前病人出现右侧眶上及颞部疼痛,疼痛为针刺样,呈发作性;4个月前病人疼痛症状加重,并波及眶下。到本院就诊神经内科,查体无神经系统阳性体征。诊断:神经性头痛。血常规、电解质、肝肾功能等均未见异常。头部MRI示:左侧椎动脉末端迂曲延长,延髓左侧受压。

 

心电监测提示:疼痛发作时可见心脏停搏。24h动态心电图回报:窦性心律不齐,房性早搏,成对房早,短阵房速,交界性逸搏,室性逸搏,一度房室传导阻滞,窦性停搏,有52次大于2.0s停搏,最长约15.76s。心内科会诊建议行起搏器植入术。

 

神经外科会诊:不除外中枢性心跳骤停、三叉神经痛,建议行手术治疗。于外院行起搏器植入术,术后4个月内,病人规律口服加巴喷丁,疼痛稍有缓解,为求进一步治疗返院。查体:触及右眼外眦时诱发疼痛。心电监测示:疼痛发作时为起搏心律。24h动态心电图示:窦性心律,房性早搏,房早连发,短阵房速,室性早搏,心房起搏,心室起搏,心室起搏真融合,心室起搏假融合,双腔起搏假融合。头部CT未见明显异常。诊断:原发性三叉神经痛。

 

行PBC,术中穿刺针经卵圆孔进入Meckel腔时,心率由90次/min骤降至70次/min,表现为起搏心率,术毕心率恢复至80次/min左右。术中可见球囊呈典型梨形形态,术中效果满意,压迫150s后撤出球囊。术后病人痛感即刻消失,持续心电监测均为窦性心律。次日出院。2d后返院诉面部麻木、咀嚼肌无力,3个月后症状缓解,期间疼痛无再发。

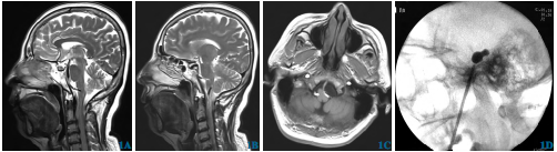
 1586911352834782.png

图1 经皮穿刺微球囊压迫术治疗三叉神经痛诱发窦性停搏病人。1A、1B术前MRI矢状位;1C术前MRI轴位,可见迂曲椎动脉压迫延髓;1D术中可见球囊呈典型梨形

 1586911368754882.png

图2 三叉神经痛诱发窦性停搏病人在起搏器植入前后心电图。2A术前Ⅱ导联:三叉神经痛发作时出现大于2.8s长间歇;2B术后Ⅱ导联:三叉神经痛发作时出现连发房性早搏后长间歇,出现起搏心律。2C术后Ⅱ导联:三叉神经痛发作时表现为持续起搏心律

 

2.讨论

 

三叉神经痛表现多样、常涉及头面及下颌等部位,导致与其他痛性疾病极易混淆,其中误诊为牙痛、偏头痛、紧张性头痛者较为多见。本文报道的该病人首次就诊时被误诊为“头痛”,后据其典型临床表现,修正诊断为三叉神经痛。其右眼外眦为“扳机点”,寒冷刺激、咀嚼、洗脸、刷牙等均可诱发剧烈疼痛。关于三叉神经痛病因研究尚未完全明确,目前血管压迫是最被接受和认可的发病原因,其中以小脑上动脉的压迫最为常见,另外多发性硬化、蛛网膜囊肿或黏连等也可导致三叉神经痛。

 

2.1窦性停搏的病因分析

 

①通过影响迷走神经张力:窦性停搏常见病因之一为迷走神经张力增高或颈动脉窦过敏。疼痛刺激、精神紧张是诱发血管迷走神经反射的重要原因。该病人发病时疼痛剧烈,且因病情迁延不愈,发作时情绪过度紧张,发作过程诱发迷走神经张力增高,进而引起心动过缓,甚至窦性停搏。而在这个过程里,迂曲的椎动脉对延髓区的压迫可能是引起迷走神经兴奋性增高的重要原因。

 

②通过诱发三叉-心脏反射(TCR):三叉神经分布区域受到刺激或牵拉时,会引发三叉神经-心脏反射,其可表现为心率失常、异位起搏、房室传导阻滞、心动过缓、晕厥、呕吐,甚至心跳骤停。这可能与三叉神经感觉核的冲动,通过网状结构内部神经元影响与之相连的支配心肌的迷走神经运动核有关。

 

该例病人MRI显示迂曲椎动脉压迫左侧延髓,可能影响延髓心血管中枢的调节功能(病人行起搏器植入术前频发、表现多样的心律失常支持这一推论,且影像学表现也与之相符),在一定程度上降低诱发TCR的刺激阈值,仅疼痛发作即可诱发此反射,进而引起病人心动过缓,甚至心跳骤停。

 

2.2诊疗经验

 

病人MRI检查结果示迂曲椎动脉压迫延髓,向上走行时与REZ区关系紧密,考虑三叉神经痛为血管压迫所致。且病人MRI检查可除外三叉神经鞘瘤、多发性硬化等继发性原因,支持原发性三叉神经痛诊断。病人因药物治疗不满意二次返院时,有强烈手术诉求。因病人年龄偏大、经口进食差、营养状况不佳、心肺功能一般等因素,建议其行PBC。病人术中心律骤降,出现起搏心律,考虑因刺激三叉神经诱发TCR所致。而PBC术前行心脏起搏器植入术则有效避免术中因TCR所致的心脏停搏以及其他恶性心律失常所带来的严重后果,杜绝术中心脏意外事件的发生,是必要的术前准备之一。

 

来源:白泽通,郑克彬,郝良超,曾昭穆,史彦芳.三叉神经痛诱发窦性停搏1例[J].中国微侵袭神经外科杂志,2019(04):178-179.