老年急诊手术患者麻醉相关胃内容物反流误吸2例

来源:中国微创外科杂志 2020.06.24
我要投稿

作者:高小茹,吴长毅,北京大学第三医院麻醉科

 

胃内容物反流误吸(regurgitation and aspiration)是围术期非常严重的麻醉相关并发症。研究显示,麻醉期间误吸的发生率为1/6500,急诊手术是其主要的危险因素之一。随着社会人口老龄化,老年急诊手术患者的比例逐年增加。由于老年患者胃肠道功能减退、胃排空时间延长及合并症多,麻醉期间发生胃内容物反流误吸的几率增加。我们处理2例麻醉期间发生反流误吸的老年急诊手术患者,现报道如下。

 

1.临床资料

 

例1,男,80岁,身高171 cm,体重80kg。因“胆囊结石,急性胆囊炎”2016年12月26日急诊全麻下行腹腔镜胆囊切除术。既往反流性食管炎、Barrett食管、慢性萎缩性胃炎及心房颤动史。

 

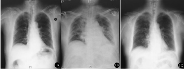
胸片(图1A)、超声心动图等辅助检查未见明显异常。B超示胆囊增大约11 cm×4.6 cm,CT示胆囊结石、胆囊体积增大、部分肠管积气。术前留置胃管,禁食12h,禁饮8h。入手术室,监测血压128/90mmHg,心率93次/min,脉搏氧饱和度(SpO2)95%,负压吸引器抽吸胃管并连接引流袋,面罩给氧去氮,依次静注丙泊酚90mg、依托咪酯16mg、舒芬太尼15μg、罗库溴铵50mg行快诱导插管。在面罩辅助通气过程中,右侧口角流出胃内容物,立即将头部转向一侧,同时将手术台从平卧位调至头低脚高位,吸引口咽腔反流物,在Macintosh直接喉镜暴露声门下置入ID8.0气管导管,气管套囊注气,行气管内吸引后接呼吸机控制呼吸,氧合指数(FiO2)100%,潮气量(Vt)560ml,呼吸频率(RR)12次/min,呼气末CO2分压(PETCO2)35mmHg。静脉给予地塞米松10mg,头孢哌酮舒巴坦3g加入100ml生理盐水静脉滴入。纤维支气管镜检查可见气管及右主支气管黏膜附有淡黄色液体,吸出部分分泌物。

 

立即行桡动脉穿刺置管监测有创动脉血压117/55mmHg,心率72次/min,SpO299%,动脉血气分析示pH值7.33,二氧化碳分压(PaCO2)48mmHg,氧分压(PaO2)137mmHg,动脉血氧饱和度(SaO2)99%。继续手术。术中麻醉维持:1.5%~2%七氟烷瑞芬太尼400μg/h,间断追加罗库溴铵20mg维持肌松。

 

手术过程顺利,手术时间95min。出手术室前胸片示双肺渗出性病变,心影饱满,左侧少量胸腔积液(图1B);动脉血气分析pH值7.43,PaCO2 39mmHg,PaO2 109mmHg,SaO2 98%。带气管导管转入ICU,采用同步间歇指令通气+压力支持通气(SIMV+PSV)模式机械通气24h,静脉注射头孢哌酮舒巴坦(3g,8h一次)抗感染1天,氨溴索化痰等治疗。入ICU后血常规白细胞13.73×109/L,中性粒细胞百分比91.6%。术后第2天拔除气管导管及胃管,转回普通病房。术后第4天胸片示双肺渗出性病变较前吸收(图1C),第5天血常规正常,第10天出院。随访6个月,未见相关并发症。

 1592955864835422.png

图1 例1术前胸片(A)提示双肺纹理增多,左上肺硬结灶,左下肺索条影,左侧胸膜增厚;术后即刻胸片(B)提示双肺纹理增多、模糊,可见片状模糊影,肺门影模糊,心影饱满,左肋膈角模糊;术后第4天胸片(C)提示双肺纹理增多、模糊,双肺斑片状模糊影较前减少,右肺门略模糊

 

例2,女,77岁,身高153 cm,体重55kg。因“右侧腹股沟嵌顿疝”2015年6月25日急诊行腹股沟疝修补术。有高血压、冠心病、脑梗死,行颈动脉支架放置术后5个月,口服硫酸氢氯吡格雷75mg每日一次,未停药。胸片(图2A)、超声心动图等辅助检查未见明显异常。术前饱胃,禁饮2h。急诊入室,监测血压146/77mmHg,心率72次/min,SpO2 99%,面罩吸氧,静脉给予咪达唑仑2mg,在超声引导下行右侧腹横肌平面阻滞(transversus abdominis plane,TAP),麻醉用药为0.3%罗哌卡因30ml。

 

麻醉成功后,消毒铺巾,突然发生胃内容物反流,立即将头部转向一侧,将手术台从平卧位调至头低脚高位,并用吸引器吸引口咽腔,此时血压137/62mmHg,心率72次/min,SpO2 95%,听诊右肺可闻及哮鸣音。继续手术。探查发现肠坏死,需行部分肠切除术,改为气管插管全麻。麻醉诱导前留置胃管,用负压吸引器抽吸胃管,吸引出胃内容物约1000ml,连接引流袋。

 

快速顺序诱导插管(rapid sequence induction and intubation,RSII),预给氧5min后,依次给予丙泊酚60mg、依托咪酯10mg、舒芬太尼10μg、罗库溴铵40mg后行气管插管,置入ID7.5气管导管,气管套囊注气,行气管内吸引后接呼吸机控制呼吸,FiO2 100%,Vt400ml,RR12次/min,PetCO2 38mmHg,即刻行桡动脉穿刺置管监测有创动脉血压140/58mmHg,心率67次/min,SpO2 100%。

 

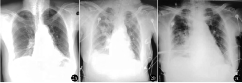
术中麻醉维持:1%~1.5%七氟烷,瑞芬太尼200μg/h,间断追加罗库溴铵10mg维持肌松。手术开始后即刻动脉血气分析pH值7.45,PaCO2 42mmHg,PaO2 172mmHg,SaO2 99%。手术过程顺利,手术时间190min,带气管导管入ICU。入ICU后血常规白细胞10.02×109/L,中性粒细胞百分比90.5%,动脉血气分析pH值7.48,PaCO2 34mmHg,PaO2 76mmHg。床旁胸片提示右下肺胸腔积液,右下肺炎症(图2B)。呼吸机辅助呼吸4天,SIMV+PSV模式,SpO2 98%~99%。静脉注射头孢哌酮舒巴坦(3g,8h一次)抗感染4天,抑酸、补液、营养治疗。术后第4天右下肺胸腔积液逐渐吸收,渗出改变较前好转(图2C),血常规正常,第5天拔除气管导管转回普通病房,第9天出院。随访6个月,未见相关并发症。

 1592955884881061.png

图2例2术前胸片(A)提示双肺纹理增多,右上肺见散在斑点状高密度影,右下肺见索条影;术后即刻胸片(B)提示双肺纹理增多,右肺可见斑片状密度增高影,右侧肋膈角模糊、浅钝;术后第4天胸片(C)提示右肺多发片状模糊影较前吸收,双侧肋膈角锐利

 

2.讨论

 

口咽部分泌物或胃内容物进入下呼吸道是危重病患者常见并发症,可导致肺炎或肺部感染。麻醉患者因镇静或意识消失,食管下括约肌张力降低,以及咽喉部保护性反射受到抑制,所以是发生胃内容物反流误吸的高危人群。本组例1反流误吸发生于全麻诱导期,例2出现在镇静意识状态下降之后。根据吸入物的性质、吸入量、吸入频率及机体对吸入物的反应差异,可诱发不同的肺部并发症,如气道阻塞、化学性肺炎或急性呼吸窘迫综合征等,严重时可导致呼吸心跳骤停。

 

本组2例误吸胃内容物后均出现动脉血氧分压显著下降(手术结束时PaO2降至109、76mmHg),肺渗出性改变,白细胞计数及中性粒细胞比例升高,表明吸入物损害肺泡-毛细血管膜屏障导致急性肺损伤(acute lung injury,ALI),经呼吸机机械通气支持、抗生素、抑酸及营养等对症治疗后康复。大部分麻醉患者并不发生误吸事件,说明存在多种促进麻醉相关反流误吸发生的诱发因素,包括胃食管反流疾病、食管运动功能障碍、吞咽困难、糖尿病、胀气或其他胃排空延迟征象、食管癌梗阻、急诊手术及饱胃等。

 

本组2例急诊手术,例1合并反流性食管炎,例2饱胃和嵌顿肠管,均显著增加麻醉相关反流误吸的几率。因此,对于老年患者急诊手术,术前应重点关注患者是否存在发生反流误吸的危险因素,进而采取相应的预防措施,减少胃内容反流误吸。急诊合并胃内容物反流误吸高危因素的老年患者的麻醉处理非常棘手。降低胃内容物反流误吸的主要措施包括控制胃内容物量和气道管理。术前禁食禁饮是控制胃内容物量常用的方法,然而对于急诊手术,常无法达到择期手术所需的禁食禁饮时间,并且当前对于有反流误吸危险因素的人群的禁食禁饮时间尚无统一标准。

 

术前放置胃管引流是减少胃内容物量的另一方法,但亦无前瞻性及随机对照研究评价其效果。Mellin-Olsen等回顾性分析5年85000例麻醉,其中25例发生误吸,均为全麻患者,且急诊手术的发生率是择期手术的4倍,但除非怀疑肠梗阻,甚至对于急诊患者,也无证据支持术前常规放置胃管引流。RSII和清醒插管是反流误吸高风险患者常用的控制气道麻醉技术。

 

本组例1虽术前禁食12h,禁饮8h,并放置胃管引流,采用常规诱导插管方法仍发生反流误吸,提示对于存在反流误吸危险因素的高风险患者需谨慎处理。若该患者采用RSII,有可能避免误吸的发生。例2饱胃,考虑合并症多,抗凝药物未停用,故采用TAP阻滞,然而在阻滞后发生反流误吸,考虑与应用咪达唑仑镇静,患者意识状态下降,咽喉部保护性反射减弱有关。因此,对于此类患者,区域阻滞麻醉时应慎用镇静药物。此外,由于该患者手术方式改变而实施全身麻醉,所以在放置胃管引流减少胃内容物量后,采用RSII控制气道,避免再次发生反流误吸。

 

误吸发生后需紧急处理,首先将患者置于头低位,情况允许可将头偏向一侧,尽可能吸出口腔及咽喉部反流物,若误吸发生于全麻诱导期则立即行气管插管控制气道。如误吸物呈颗粒状,需在支气管镜下吸出。一般以对症支持治疗为主,不推荐抗生素治疗,因为在急性期常规应用抗生素并不改善预后,并且对于糖皮质激素的使用目前也存在争议。

 

对于误吸所致急性肺损伤,需机械通气支持治疗。采用较低潮气量(根据体重预计潮气量,6ml/kg)和允许性高碳酸血症下的低通气降低10%病死率。本组2例采取上述的处理措施,并由于外科病情需要均给予抗生素治疗,均康复出院。

 

总之,尽管麻醉相关胃内容物反流误吸总体发生率较低,但对于老年急诊手术患者,术前应充分评估是否存在诱发反流误吸的危险因素,并采取相应的处理措施。

 

来源:高小茹,吴长毅.老年急诊手术患者麻醉相关胃内容物反流误吸2例[J].中国微创外科杂志,2019(07):663-665.