
淋巴瘤误诊为皮病性淋巴结炎1例
作者:黄益澄 浙江省人民医院感染病科
本文为作者授权医脉通发布,未经授权请勿转载。
病例简介
患者,女,87岁,既往高血压、冠心病病史,因“全身皮疹
伴瘙痒10月余,发热
50余天”于2017-08-16入我科。
患者10月余前无明显诱因出现全身皮疹,弥漫性潮红,伴瘙痒,无发热,自行外用药治疗(具体不详)稍好转。10月来全身皮疹伴瘙痒反复出现,多次外院就诊,予抗过敏治疗(具体不详)无明显缓解。50余天前患者出现畏寒发热,体温最高39.5℃,无咳嗽
咳痰,无腹痛腹泻
,无尿频尿急尿痛等不适。
当地医院查B超:1.脾偏厚;2.全身浅表淋巴结肿大(部分结构异常)。行左侧腹股沟淋巴结活检术,病理:病变首先考虑皮病性淋巴结炎;免疫组化:CD3滤泡间区(+),CD20滤泡(+),S-100(局灶+),CD1a(局灶+),CD10(-),CD68(+),CD4(+),CD5(+),PAX-5(-),CD23(-),CD21(-)、Ki-67(+5%)。
予头孢曲松
抗感染等治疗仍反复发热,全身皮疹伴瘙痒、脱屑(见图1),为进一步诊治来我院就诊,拟“发热待查”收住入院。

图1
查体:P 106次/分,R 20次/分,BP 154/73mmHg,T 37.5℃。神志清,精神软,全身皮肤潮红、肿胀、脱屑,颈部、腋下、腹股沟可及肿大淋巴结,约黄豆大小,可滑动,无触痛。双肺呼吸音粗,可闻及少许啰音,心律齐,各瓣膜区未闻及病理性杂音,腹软,无压痛及反跳痛
,肝脾肋下未及,双下肢轻度浮肿,左侧腹股沟淋巴结活检伤口未愈合,无明显渗液。
患者老年女性,全身浸润性红斑,慢性病程,有进行性消耗表现,而皮病性淋巴结炎属良性,治疗按特异性皮肤病处理,不会出现进行性消耗,难以解释患者整个病程,应从皮肤本身疾病和系统性疾病皮肤累及(如自身免疫性疾病[皮肌炎]、恶性肿瘤[淋巴瘤]、药物过敏、感染性疾病)两大方面重新考虑。
入院后完善相关检查,血常规
:WBC 8.42*109/L,L% 60%,E% 12%,HGB 118g/L,PLT 184*109/L,异型淋巴细胞8%;ESR 2mm/h,CRP 25.4mg/L,PCT 0.51ng/ml,Fer 405.9μg/L,β2-MG 4.4mg/L,ALB 25g/L,GLB 18.2g/L,ALT 18U/L,AST 28U/L,LDH 406U/L,ADA 18U/L,IgE弱阳性,ANA、ANCA、免疫固定电泳、肿瘤标志物、过敏原检测、EB-IgM、CMV-IgM、HIV、外周血涂片
等未见明显异常。
考虑患者常规检查已完善,予行PET-CT:1.双侧颈部、双侧锁骨区、双侧胸大肌间隙、双侧腋窝、纵隔内、双侧盆壁、双侧腹股沟多发大小不等淋巴结,FDG代谢轻度增高,SUV最大值约2.85,炎性可能,建议腹股沟淋巴结活检除外淋巴瘤可能。2.脾脏肿大,未见放射性摄取异常增高(见图2)。

图2
患者外院已行淋巴结活检,予病理会诊:“左腹股沟淋巴结”符合皮病性淋巴结炎。免疫组化:CD79a(B+)、BCL6(-)、CD3(T+)、Bcl-2(+)、CD68(灶+)、CD20(B+)、CD21(FDC+)、CD163(灶+)、CD43(T+)、CD5(T+)、CD10(-)、CyclinD1(-)、S-100(lagerhan+)、CD1a(lagerhan+)Ki67(+约5%)(见图3)。

图3
同时完善皮肤活检:“右侧腹部”镜检表皮轻度增生伴真皮浅层慢性炎细胞及少许嗜酸性粒细胞浸润。免疫组化染色结果:CD10(-)、BCL6(-)、CD3(+)、CD68(部分+)、CD43(+)、CD1a(个别+)、Langerin(个别+)、CD4(+)>CD8(+)、CD30(-)、TIA-1(+)、GranzymeB(-)、Ki67(+约10%)、CD2(+)、CD7(+)(见图4)。

图4
患者仍未明确诊断,按照《发热待查诊治专家共识》建议流程予行骨髓穿刺+活检:
骨髓常规:涂片成熟淋巴细胞比例明显偏高,占65%,慢性淋巴细胞增殖性疾病(小B细胞淋巴瘤)不能除外。
骨髓流式:异常B淋巴细胞群约占白细胞的60.46%(CD5-、bcl-2+、cyki67+、CD30-、CD22+、CD20++、FMC7+、CD23-、SSC小、FSC中等)。
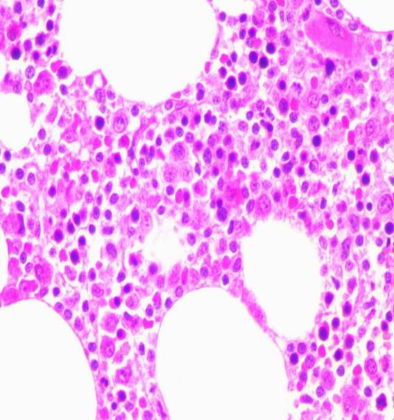
骨髓活检病理:造血细胞间可见异型淋巴细胞浸润,散在或结节状分布,部分呈窦内分布,胞体小至中等大小,核圆或轻度不规则,染色质致密;网染(1+)。
免疫组化染色结果:CD42b(巨核+)、CD79a(+)、CD3(-)、MPO(粒+)、CD20(+)、CD34(-)、CD5(-)、CD43(+)、Bcl-2(+)、Bcl-6(-)、GLUT-1(红+)、CD4(-)、CD8(-)、TIA-1(-),提示B细胞淋巴瘤累犯骨髓(见图5)。

图5
患者淋巴瘤诊断明确,皮肤病变考虑淋巴瘤继发红皮病,家属放弃进一步治疗,予自动出院。
讨论
皮病性淋巴结炎(Dermatopathic Lymphadenitis, DL)是一种局部淋巴结反应增生性疾病,继发于各种慢性皮肤炎症性疾病,在病毒性感染的患者中也有报道[1]。临床表现主要为发热、多发的无痛性淋巴结肿大、皮疹(全身性红皮病、色素沉着伴阵发性剧烈瘙痒)等,淋巴结肿大以腋窝、腹股沟、头颈部多见。典型的病理表现为朗格汉斯细胞和指突树突状细胞增生,核染色质细腻,有折叠,胞质黑色素和脂质空泡沉积,免疫组化S-100阳性达98%-100%[2-4]。明确诊断后对症治疗或定期随访即可,随着皮肤病的治愈,淋巴结肿大也随之消失。
DL常需与霍奇金淋巴瘤
、蕈样肉芽肿、系统性红斑狼疮、指状突网状细胞肉瘤、转移性黑色素瘤等疾病鉴别,淋巴结活检及免疫组化有助于鉴别[5,6]。
本例患者临床症状典型,并且有病理支持,极易造成误诊。检索文献发现淋巴瘤误诊为DL的报道不多,本例报道对临床还是有一定参考意义,提示如果碰到临床和病理不符的情况,需进一步深究,对DL患者常规行骨髓穿刺检查也是必要的。
参考文献:
[1] Acipayam C, Kupeli S, Sezgin G, et al. Dermatopathic lymphadenitis associated with human papilloma virus infection and verruca vulgaris[J]. J Pediatr Hematol Oncol,2014,36(4):e231-233.
[2] Hu N, Tan YL, Cheng Z, et al. Dermatopathic Lymphadenitis[J]. Chin Med J (Engl), 2015,128(22):3121-3122.
[3] 崔艳萍, 李乐鹏, 刘升云. 伴全身多关节痛的皮病性淋巴结炎一例[J]. 中华内科杂志,2016,55(12):956-957.
[4] 王宝庭, 张淑坤, 曹发龙. 皮病性淋巴结炎2例[J]. 中国皮肤性病学杂志, 2012,26(1):66-67.
[5] Srinivasamurthy BC, Saha K, Senapati S, et al. Fine needle aspiration cytology of dermatopathic lymphadenitis in an asymptomatic female: A case report[J]. J Cytol,2016,33(1):49-51.
[6] Winter LK, Spiegel JH, King T. Dermatopathic lymphadenitis of the head and neck[J]. J Cutan Pathol,2007,34(2):195-197.