
实战病例 | 影像学联合ctDNA监测潜在可切除CRLM综合治疗效果及预后
约15%~20%的结直肠癌
患者在初次诊断时同时存在肝脏转移瘤。潜在可切除直肠癌肝转移(CRLM)患者约占70%~80%。针对潜在可切除CRLM,通过有效的转化治疗可使这些患者转化为可切除并能够达到R0切除或无疾病状态(NED),5年累积生存率可达到45%~50%,显著优于姑息治疗。但是,肝转移切除术后60%~70%的患者会发生局部复发或新发转移,出现复发、转移的患者长期生存显著缩短。因此,如何选择合适的患者进行转化治疗,并在合适的时机进行外科治疗?如何准确地评价综合治疗效果?如何降低肝转移切除术后的复发率?这些问题是CRLM诊疗领域亟待解决的关键性问题。
准确地定性、定量和定位诊断肝转移瘤,对于制订潜在可切除CRLM患者治疗策略至关重要。随着影像诊断技术的进步,增强CT、肝脏钆塞酸二钠
增强MRI(普美显
/EOB-MRI)联合弥散加权成像(DWI)、超声造影、术中超声从不同角度提高了CRLM诊断的准确性和综合治疗效果评价的准确性。
ctDNA来自肿瘤细胞的体细胞突变。血浆ctDNA的常见突变,与组织ctDNA高度一致,敏感性75%,特异性90%。有91.7%血浆ctDNA的常见突变在综合治疗后出现了肿瘤突变负荷(TMB)水平的显著下降。在临床治疗过程中,对连续采集的血浆样本通过二代测序(NGS)方法检测分析初始TMB的结果显示,ctDNA动态变化与TMB一致,验证了TMB可以作为CRLM综合治疗效果监测指标,并且有极高的敏感性。初步研究结果也证实,ctDNA与CRLM患者预后相关,可监测CRLM术后微小残留病变(MRD)预测肿瘤复发,是无复发生存期(RFS)和总生存期(OS)的独立预后因子。
本期通过总结实战病例,探讨影像学联合ctDNA监测潜在可切除CRLM综合治疗效果及预后的临床意义。
病史简介
男性,52岁。
主诉:发现直肠癌同时性肝转移3月余,直肠癌术后3月余。
现病史:患者3个月前因腹痛体检发现直肠癌肝转移,于2019-5-27在大连大学附属新华医院行腹腔镜
直肠癌(距肛门10cm)Dixon术。术后病理:直肠溃疡型中分化腺癌,癌组织浸透脏层腹膜,脉管见癌栓,侵犯神经,自检肠周淋巴结转移(4/20);免疫组化:P53(<10%),Ki67(+70%),S-100(神经+),CD31(血管内皮细胞+),MSH2(+),MSH6(+),MLH1(+),PMS2(+),EGFR(+),TS(部分+),D2-40(淋巴管+),pT4aN2aM1。
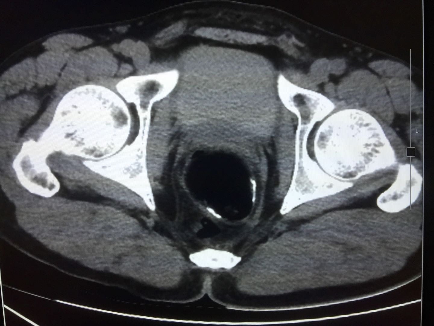
2019-6-19腹部MRI增强扫描:肝左、右叶交界区近肝门见类圆形稍长T1、中心等周边稍长T2信号径约17mm,增强后边缘强化。肝门区见增大的淋巴结影,短径约11mm。诊断意见:肝转移瘤;肝门淋巴结肿大。初始肝脏MRI增强扫描(基线影像图片1、2)。

图1

图2
2019-6-19胸部CT示左肺上叶磨病理结节。
基线CEA 5.56ng/ml、CA199 4.53U/ml。
基因检查示:KRAS 密码子2突变;NRAS、HRAS、BRAF V600E野生型;PIK3CA、UGT1A1*28野生型;HER2(-);微卫星状态:MSS。
既往史、个人史无特殊。家族史:母亲直肠癌。
初步诊断:
1.中高位直肠癌同时性肝转移cT4aN2aM1,IVa期;2.直肠癌术后;3.不全性肠梗阻。
肝转移评价
ECOG:0分;直肠癌肝转移癌CRS评分:2分(同时性、N+);单发病灶位置不好,紧邻门脉左支、左肝管及肝中静脉,潜在可切除;KRAS 密码子2突变;NRAS、HRAS、BRAF V600E野生型;MSS。
第一次MDT
1.治疗目标:达到NED状态;
2.治疗策略:转化治疗;
3.请北京大学肿瘤医院会诊。
2019.6.21(直肠癌术后3周)始,在大连大学附属新华医院行转化治疗,mFOLFOX6 1周期、mFOLFOX6+Bev 2周期。
2019-07-19暂停转化治疗,肝S4病灶疗效评价为PR。患者去北京大学肿瘤医院会诊。
病理会诊报告:(直肠)中分化腺癌,浸透浆膜层;可见脉管癌栓及神经侵犯;送检淋巴结可见癌转移(4/20),可见被膜外侵犯;免疫组化:P53(弱+10%),Ki67(+90%),S-100(神经+),CD31(+),MSH2(+),MSH6(+),MLH1(+),PMS2(+),EGFR(2+),TS(灶状+),D2-40(脉管+)。
2019-07-25北肿腹部MRI示:肝S4结节大小约10mm,倾向转移,肝门淋巴结增大,追查;肝S7血管瘤。
肝胆外一科会诊意见:1.肝S4病灶较前缩小,原约17mm,现约10mm,预判可以R0切除;2.因肝S4病灶已缩小,继续转化治疗存在病灶消失的可能性,故建议停转化治疗,待Bev停药时间满6周后手术治疗;3.术前行肝脏EOB-MRI+DWI、肝脏超声造影确认肝脏病灶;4.术前检测原发肿瘤组织标本和血液标本ctDNA作为与术后血液ctDNA检测比较的基线。
2019-09-04(停用Bev6周) 北肿 CEA 0.977ng/ml、CA199 3.98U/ml、CA724 2.26U/ml。
2019-09-05 北肿CT胸部平扫示:双肺未见结节或实变影纵隔、双肺门、锁骨上区未见明显肿大淋巴结。双侧胸膜未见异常征象。
2019-09-05 北肿腹部超声示:肝S4肝中静脉旁可见低回声结节,大小约12x9mm,边界欠清,肝门处可见多发小淋巴结,性质待定。
2019-09-08 北肿ctDNA检测:切除的原发肿瘤组织标本与对应的血液标本进行二代测序,检测肿瘤组织中642个基因是否存在突变。重点对血液中肝转移常见基因KRAS、APC、BRAF、SMAD3、KMT2B、EGFR、ERBB2、NRAS、PIK3CA、TP53相关的突变、插入、缺失、融合和扩增进行精准检测。在基线采用组织和血液来进行大panel检测可以准确评估基线TMB。
2019-09-10 北肿CT腹+盆腔增强示:肝S4稍低密度结节较前缩小,原约13x9mm,现约5mm。S7血管瘤同前,仍约7mm。
2019-09-11 北肿MR肝脏EOB-MRI+DWI示:肝S4稍长T2信号小结节较前缩小,现约7mm,DWI高信号较前减低,边缘轻度强化,肝胆特异呈低信号。肝门区淋巴结同前,短径约12x11mm。肝S7血管瘤同前。胆囊、脾、胰腺双肾及双肾上腺未见异常信号。未见腹水
。转化治疗7周后肝脏EOB-MRI+DWI(图3、4)。

图3

图4
2019-09-12 北肿肝脏超声造影示:第1次经静脉团注法注射声诺维
(SonoVue),动脉期可见肝S4肝中静脉旁病灶轻度环状强化,实质期廓清呈低增强,病灶大小约10x9mm,考虑转移灶治疗后改变。第2次经静脉团注法注射SonoVue,肝S7近膈病灶动脉期由周边向中心逐渐强化,实质期呈高增化,病灶大小约15x9mm,考虑血管瘤。
第二次MDT
1.转化治疗反应:PR,转化成功;
2.肝脏EOB-MRI+DWI和肝脏超声造影均确认为肝S4单发病灶较前缩小,原约17mm,现约7mm,可以R0切除,达到NED;
3.末次转化治疗时间为2019-07-19,现Bev停药时间满6周可行手术治疗;
4.术中超声检查肝脏;
5.在肝转移灶切除术后1周、12周、24周或48周纵向检测血液ctDNA,将术后血液TMB与术前原发灶组织基线TMB、术前血液TMB进行比较,评估肝转移灶根治术前后TMB变化,动态监测潜在可切除CRLM综合治疗效果和预后。
肝转移手术
2019.09.18 北肿肝胆外一科邢宝才教授团队在全麻下行肝部分切除(IV段)、肝门淋巴结清扫、胆囊切除术。
术中情况:
探查腹腔,未见腹水。肝脏呈化疗后蓝肝改变。术中超声检查确认转移瘤位于左肝S4。阻断第一肝门,以PMOD沿预定切除线分离肝实质,完整切除肿瘤,解剖肝十二指肠韧带,清除所属淋巴脂肪组织,显露肝动脉、门静脉及胆总管使之骨骼化。

图片5.手术

图6.术中超声

图7.手术

图8.手术标本
术后病理:
1.(肝部分S4):
中分化腺癌,结合病史和免疫组化结果,符合肠癌肝转移。
肿瘤直径约6mm大部分肿瘤细胞坏死(坏死率约为80%),符合治疗后改变。
肝切缘未见癌;未见明确脉管癌栓和神经侵犯。
2.门静脉旁淋巴结未见癌转移(0/7)。
免疫组化结果:EGFR(+),HER2(0),ki67(90%+),CDX2(+),viIIin(+),CK7(-),CK20(+);MLH1(+),MSH2(+),MSH6(+),PMS2(+)。
3.慢性胆囊炎
,胆囊断端未见炎变;胆囊周围淋巴结未见癌转移(0/1)。
2019.09.18手术前NGS检测ctDNA重要的肿瘤突变负荷(TMB)结果:直肠癌组织TMB为5.06 。
图片9.直肠癌组织TMB;血液TMB为6.74

图10.左肝部分切除术前血液TMB
2019.09.25左肝部分切除术后1周,辅助治疗前NGS检测血液ctDNA重要基因突变检测结果:血液TMB为1.12。

图11.左肝部分切除术后1周,辅助治疗前血液TMB
2019.10.18左肝部分切除术后4周,腹部MRI:肝S4部分切除术后改变。增强扫描未见异常强化结节征象;肝内血管未见充盈缺损征象,胆管未见扩张。

图片12.左肝部分切除术后4周,腹部MRI
第三次MDT
辅助治疗:
1.患者肝转移灶虽R0切除和肝门淋巴结清扫,但术前存在高危复发因素术后应选择辅助治疗;
2. 左肝部分切除术后1周,NGS检测血液ctDNA结果:血液TMB为1.12;
3.围手术期化疗(含两药化疗方案+Bev)时间不超过6个月。
2019.10.21左肝部分切除术后4周始,患者在大连大学附属新华医院行辅助治疗,第1周期mFOLFOX6方案,双周法;第2~9周期行mFOLFOX6+Bev(原转化治疗方案),双周法。辅助治疗过程中曾出现2度白细胞减少,对症升白后血象恢复。
2020.01.08左肝部分切除术后15周,辅助治疗第5周期NGS检测血液ctDNA结果:血液TMB为0.56。

图13. 辅助治疗第5周期血液TMB
术后复查、随访及监测
患者完成全部12周期的围手术期治疗,手术前后的化疗时间总长5.6个月。
2020.3.18在直肠癌根切术后9个月,左肝部分切除、肝门淋巴结清扫、胆囊切除术后6个月复查,CEA 0.59ng/ml。
腹部MRI:肝S4部分切除术后改变。增强扫描残余肝组织内未见复发征象,肝门1区未见增大的淋巴结。胸部及盆腔CT未见异常。评价结果:NED状态。

图片14. 左肝部分切除+肝门淋巴结清扫术后6个月,腹部MRI
2020.10.16左肝部分切除术后52周复查,CEA 0.69ng/ml。
腹部MRI:肝S4部分切除术后改变。胸部及盆腔CT未见异常。

图片15. 左肝部分切除+肝门淋巴结清扫术后52周,腹部MRI

图片16.原发灶根切术后66周,盆腔CT
评价结果:NED状态2020.10.31左肝部分切除术后52周,NGS检测血液ctDNA结果:血液TMB为0,与腹部MRI图像吻合。

图17. 左肝部分切除术后52周,血液TMB
综合诊疗体会
潜在可切除CRLM的治疗方案主要为转化治疗联合根治性手术及其他局部治疗。通过系统化疗±靶向药物进行转化治疗,使潜在可切除CRLM患者达到缩小肿瘤、降低CEA水平、降低CRS评分,进而使患者获得手术治疗或其他局部治疗的机会,并且能够达到R0切除或NED,提高长期生存的目标。转化治疗过程中通常要求增加MDT评估疗效的频率,一旦判断转化成功,即应果断决定手术治疗或其他局部治疗,尽量避免在转化治疗过程中出现影像学完全缓解(cCR)。因此,转化治疗后如何准确地评价治疗效果并据此改变治疗策略是临床关注的重要问题。
转化治疗效果评价主要通过CT或MRI影像学检查完成,充分的影像学评估就显得十分重要。实体瘤的疗效评价标准(RECIST)是最常用的全身系统治疗的评价标准,其主要依据肿瘤大小进行评价。MRI评价肝转移瘤的准确性显著高于增强CT、造影超声。肝脏EOB-MRI+DWI评价肝转移瘤的准确性为95.5%,对于小于1cm的病变其诊断敏感性也可达90.9%。北肿邢宝才教授团队对CRLM瘤灶,采用肝脏EOB-MRI和肝脏示卓安
术中超声造影联合扫查,敏感性和准确性超过90%。超声造影及术中超声造影检查
结果也可为制定潜在可切除CRLM的治疗策略提供重要依据。
在CT、MRI以及超声造影所提供的反映CRLM综合治疗效果的形态学信息以外,ctDNA可以提供综合治疗前后TMB的变化,对于监测潜在可切除CRLM综合治疗效果和预后十分有益,不可小觑。
对于潜在可切除CRLM患者,系统化疗±靶向药物可以诱导ctDNA显著下降,通过监测转化治疗后ctDNA的变化能够有效预判CRLM患者的化疗反应和肿瘤负荷,评估CRLM患者转化治疗效果并预判手术疗效。转化性化疗后TMB明显下降的CRLM手术治疗的患者病理显示肿瘤退缩更为明显,提示TMB水平变化可为手术治疗的CRLM患者提供更早期的疗效和预后信息,能够更有助于精确的筛选适合肝切除的CRLM患者。
CRLM作为IV期肿瘤,根治切除后行辅助化疗应该是合理的。根治切除术后1周的血液TMB变化可帮助确定最有可能需要和/或受益于辅助治疗的患者,还可监测术后微小残留病灶及术后复发。此外,在转化治疗结束/手术前、术后1周、术后3个月、术后6个月或12个月的不同时段,监测血液TMB水平的动态变化还可以在较低的肿瘤负荷下评估辅助治疗效果和提前预测肿瘤复发风险。因此,ctDNA联合增强MRI监测潜在可切除CRLM综合治疗效果和预后具有重要的临床价值。
总之,这个实战病例的总结,为潜在可切除CRLM的临床诊疗提供了很多新信息,但是这些结果还需大样本高级别的循证医学研究证实。
