气管性支气管患者行胸腔镜手术的麻醉处理1例并文献复习

来源:临床医学进展 2022.02.09
我要投稿

作者:杜胜杰,赵春辉,临沂市人民医院;韩天娇,临沂市中医医院

 

1.引言

 

气管性支气管(Tracheal Bronchus,TB)是一种较为少见的支气管生长畸形。TB可以导致长期咳嗽、畸形气管侧肺炎、喘息、肺气肿,同时还容易合并其他系统的畸形,发病率在0.1%~2%之间。随着电子计算机断层扫描(Computed Tomography,CT)以及纤维支气管镜的发展,越来越多的TB患者被发现。TB患者需要进行全身麻醉手术也日渐增多。本文结合1例TB患者的胸科手术麻醉和国内外文献回顾来明确TB患者麻醉的关注点,提高麻醉安全性(病例报道已获得病人的知情同意)。

 

2.病例摘要

 

患者,男67岁,体重50kg因“发现左肺结节1年余”入我院胸外科。患者1年前胸部CT显示左肺上叶结节影。患者平素身体状况良好,“下肢静脉曲张”术后三个月。现患者双肺CT报告示:双肺纹理增多、模糊;左肺上叶小半片;右肺上叶钙化灶。胸外科大夫拟在全身麻醉下对患者行“左肺上叶楔形切除术”

 

患者进入手术室后,常规进行心电监护、脉搏氧饱和度监测,0.2%利多卡因局部浸润后桡动脉穿刺置管。患者此时心率70次/分,血压130/70mmhg,脉搏氧饱和度99%。为缓解术后疼痛用0.375%罗哌卡因行胸椎旁神经阻滞。麻醉诱导采用:丙泊酚100mg,舒芬太尼30ug,顺式阿曲库铵15mg。面罩加压给氧去氮3分钟后,用0.5%利多卡因可视喉镜下表麻患者声门及气管。继续面罩加压给氧去氮2分钟后,可视喉镜下插入双腔气管导管(37F右侧)。

 

连接呼吸机后,手控模式下听诊左肺及右锁骨中线第二肋间未闻及明显呼吸音,右锁骨中线下部呼吸音清。压力控制通气模式下,潮气量300ml,频率15次/分,气道压力35mmhg。患者气道压力高,怀疑气管导管进入过深,遂向外将拔出气管导管1cm。听诊,可闻及双肺清晰呼吸音,气道压力降至16mmhg,表明气管导管以至主气道。反复调整两次后,通气效果不满意。麻醉医生采用纤支镜,观察气管导管位置和气管的形态。

 

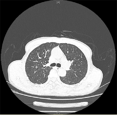
纤支镜下可观察到在隆突两侧各有一支气管开口,隆突上方右侧有一右肺上叶气管开口,考虑为TB(见图1)。查看患者术前CT示:在CT图像165(image,im165)可见右肺上叶开口于主气道(见图2),在im182可见正常的左右主支气管开口于主气道(见图3),证实该患者为TB。

 

考虑到右肺两气管开口较近,主气道无明显狭窄,并且手术为左肺上叶病损切除术,不需要整体肺叶切除,不会对左主支气管进行手术操作。决定使用37F左侧气管导管进行插管。插入左侧气管导管后,压力控制通气模式下,潮气量300ml,频率15次/分,气道压力18mmhg。手术过程顺利,楔形切除左肺上叶尖部,移送标本快速病理示纤维组织增生伴炭末沉积,部分上皮增生活跃,修补肺创面,做漏气试验示无漏气,术中并未移动气管导管。

 

术毕,将双腔气管导管拔退至主气道,行肺复张。术后十分钟,拨出双腔气管导管,送进恢复室。患者入恢复室后,未诉明显不适,听诊双肺呼吸音稍粗,指脉氧饱和度100%。患者在恢复室中未出现血氧饱和度下降,躁动不安,谵妄等症状,安返病房。

 1.jpg

图1 气管性支气管黑色箭头:隆突白色箭头:异常的右肺上叶开口

2.jpg 

图2 CT,im165,黑色箭头:异常的右肺上叶开口

 3.jpg

图3 CT,im182,正常的左右主支气管开口

 

3.讨论

 

气管性支气管的分类尚无统一标准。两分类法将TB分为移位型和额外型。移位型:右肺上叶独立开口于气管或者右肺上叶1到2段独立开口于气管,不再有其他开口于右主支气管的开口。额外型:右肺上叶既存在开口于气管的气管开口,也存在开口于右主支气管的开口。

 

Findik发现气管性支气管中额外型占12.5%,移位型占87.5%。张琳等先将TB分为双侧性及单侧性,又在此基础上做了分型:I型(标准型),气管隆突上2cm内或6cm以上的TB;II型(临界型),气管隆突起始发出的TB;Ⅲ型(极细型),发出的TB明显狭窄;IV型(盲端型),TB远端闭塞。

 

王吉等根据TB的起始部位及与右肺上叶支气管的关系把TB分为三型,I型(标准型),起自气管右侧壁或右肺支气管,开口与右肺上叶支气管有一段距离;II型(紧邻型),起自气管右侧壁,开口与右肺上叶支气管共干或紧邻,无法测量二者距离;III型(其它型),起自气管左侧壁、左肺支气管或双侧起源。此分类法几乎涵盖了所有TB种类,本文将就此分型进行讨论。

 

麻醉医师发现病人可疑TB时,可以采用多层螺旋CT(multi-slice spiral CT,MSCT)作为首选的检查方法,必要时可采用纤支镜检查。MSCT可以全方位地显示TB的起始位置、走向,评估TB气道变异程度并指导纤支镜检查。对于I型,若TB的开口位于右侧壁,可选用左侧的双腔气管插管。但应提前同手术大夫进行沟通,进行左主支气管操作时,及时拔出左侧双腔气管导管。

 

需要注意的是,当TB的开口位于右侧壁时较容易出现气囊堵塞TB的开口,容易导致术中缺氧、术后肺不张、感染等问题。麻醉前测量开口与右肺上叶开口的距离。根据实际距离来进行选择插管方式,保证气管插管的套囊不堵塞TB开口。若TB的开口起自右肺支气管,选用双腔气管导管和封堵器均可。但要注意右肺上叶开口于TB开口的位置。对于II型(紧邻型),套囊阻塞TB开口的可能性较小,可根据手术需要灵活采用封堵器或者双腔气管插管。对于III型(其它型),临床中较少发现,可根据实际情况来采用I、II型相似的处理方法。

 

气管管理是TB患者麻醉手术管理中的核心问题,要留意以下问题:①对于可以保留自主呼吸的胸科手术,可采用喉罩全身麻醉+神经阻滞。②部分TB中存在气管狭窄畸形,推荐使用小号支气管封堵器或小号的双腔气管导管。③TB中常合出生缺陷,如先心病、气管支气管软化症、无脾综合征等。应注意完善术前检查。若合并先天性心脏病,应维持血流动力学稳定,备好抢救措施。④TB要与支气管桥和气管憩室相鉴别。TB患者右上肺支气管一般自隆突上气管发出,供应右肺上叶全部或其他肺段,而支气管桥表现为右肺下叶和(或)中叶跨越纵隔同左主支气管相连接。气管憩室较短小,末端为盲端,TB为先天性发育异常,末端与正常肺组织相连接。⑤插管过程中特别注意轻柔操作,推荐可视化设备引导下进行气管插管。切忌暴力插管,否则极易造成气管损伤,急性喉头水肿等严重后果。

 

TB作为一种罕见病,应引起麻醉医师的注意。麻醉医师在麻醉前,应认真查阅患者的影像学资料,及时发现TB。对于TB患者的麻醉,麻醉医师应该制定个体化的气道管理方案,选择合理的麻醉方法。避免术中缺氧、术后肺不张、气管破裂等不良事件的发生,提高麻醉质量。


来源:杜胜杰, 赵春辉, 韩天娇. 气管性支气管患者行胸腔镜手术的麻醉处理1例并文献复习[J]. 临床医学进展, 2021, 11(4): 1455-1459.