
脑深部电刺激术治疗痉挛性斜颈1例
作者:方琪星,李明轩,马建功,何承,任虹宇,河南大学第一附属医院神经外科
1.病历摘要
男性,56岁;因“颈部肌肉阵发性不自主收缩10年余,加重3年”入院。10年前病人无明显诱因出现左侧颈部肌肉不自主收缩。5年前进展为头颈部间断性不自主向左扭转、侧屈,同时出现口齿不利、磨齿等。
3年前症状加重,出现言语不利、吞咽困难
、左眼不自主挤眉眨眼、左侧口角抽动及眼睑痉挛等不适。病人于当地医院诊断为“痉挛性斜颈”,给予抗胆碱能药物和A型肉毒素(type A botulinum toxin,BoNT/A)局部注射,颈部扭转症状缓解。其后病人1年内3次行BoNT/A局部注射治疗,末次症状改善不明显。既往体健,否认家族中有类似疾病史。
查体:病人左侧颈部肌张力增高,左侧胸锁乳突
肌、肩胛提肌、斜方肌较右侧肥厚。病人自诉用手提捏颈部肌肉,症状可暂时好转。评估无明显手术禁忌证,于全麻监护下行MRI扫描。采用全麻+术中唤醒麻醉,术前全麻下安装Leksell-G型脑立体定向框架(瑞典,Elekta),行颅脑CT扫描后数据导入framelink5.4.0(美国,Medtronic)计划系统与MRI图像融合,选择苍白球内侧部(globus pallidus internus,Gpi)为手术靶点。
本团队利用MRI冠状位层面找到视束,沿视束往后于双侧视束消失处上方3mm即靶点处。导航系统计算靶点坐标及设计手术入路,针道需避开脑沟、脑室及血管等结构。术中采用AlphaOmega电生理记录仪(以色列,Alphalab)记录核团电信号,采用对核团电信号影响较小的右美托咪定
麻醉及术中脑电双频指数(bispectral index,BIS)监测麻醉深度,病人术中唤醒后进行核团电信号描记。
在典型电信号处分别置入(Medtronic3387-40)电极并安装临时体外刺激器。术后复查颅脑CT,与术前计划进行融合(图1),确认电极位置无偏移,观察无针道出血等严重并发症。术后即开启临时刺激器观察效果及不良反应,刺激参数设定为左侧Gpi:触点1-、2-、3+;右侧Gpi:触点8-、9-、10+;电压4.0V,频率180Hz,脉宽90μs。病人大部分症状较术前明显好转。但出现言语不清、构音障碍
等,电压降低至3.5V后病人构音障碍好转。
采用Burke-Fahn-Marsden肌张力障碍量表(Burke-Fahn-Marsden dystonia rating scale,BFMDRS)、西多伦多斜颈评分量表(Toronto Western Spasmodic Torticollis Rating Scale,TWSTRS),症状改善率=(术前评分-术后评分)/术前评分×100%。术后次日BFMDRS评分从术前64.5分降至13分,改善率达79.8%。TWSTRS评分从术前70分降至30分,症状改善率达57%。根据症状改善率情况,术后第5日手术植入永久性脉冲发生器(ActivaRC37612美国Medtronic)。随访术后1个月,BFMDRS及TWSTRS评分改善率分别为81.4%和68.6%;术后3个月BFMDRS及TWSTRS评分改善率分别为85%和71.4%。


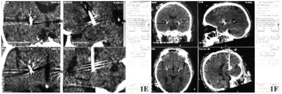
图1Gpi-DBS治疗痉挛性斜颈;1A术前左侧靶点轴位MRI定位;1B术前右侧靶点轴位MRI定位,箭头所指红点处;1C术中右侧Gpi电生理信号;1D术中左侧Gpi电生理信号,箭头为Gpi核团电信号,呈爆发性、不规则的高频放电;1E术后CT右侧电极与靶点融合;1F术后CT左侧电极与靶点融合
2.讨论
痉挛性斜颈属于局灶型肌张力障碍,其主要特征是颈部持续或间断肌肉重复性不自主收缩,导致头颈部姿势异常和(或)运动障碍,可能伴随震颤,常因随意动作诱发或加重,且伴有“溢出”的肌肉激活。痉挛性斜颈目前尚缺乏统一诊断标准,其诊断主要依靠临床症状。
本例病人存在特征性颈部间断性重复不自主扭转,异常运动方向、模式及受累肌群恒定,且病人存在痉挛性斜颈特有的“感觉诡计”现象。随着病情进展,本例病人症状范围逐渐扩大累及颜面、眼睑等处,并影响吞咽、语言功能,但又不同于Meige综合征好发于中年女性,以眼睑痉挛为首发症状,逐渐向下累及颈部的特点。
约20%病人病程中可出现颈部以外肌肉受累。痉挛性斜颈的治疗包括口服药物、选择性局部注射肉毒毒素及外科手术治疗。口服药物效果不理想,易产生耐药性且副作用较多。
上世纪90年代以来,局部应用BoNT/A成为治疗痉挛性斜颈的重要方法。通过本例病人来看,局部注射肉毒素可短期缓解症状,但由于体内产生抗肉毒素抗体或病人病情短期内加重而导致疗效下降。随着立体定向神经外科发展,脑深部电刺激术(deep brain stimulation,DBS)凭借其微创、可逆、可调控、安全性高等优点逐渐替代破坏性手术成为治疗痉挛性斜颈的首选手术治疗方法。
Gpi作为运动传导通路的中继核团,高频电刺激Gpi可功能性抑制过多的不随意运动,Gpi-DBS可使异常低频振荡去同步化,并通过诱导、重组可塑性神经获得长期益处。痉挛性斜颈病人DBS术后症状改善是逐步实现,本例病人因观察疗效术后即开启刺激器,可见症状明显改善。可能是手术微毁损效应协同高频高电压刺激,共同阻断运动神经传导通路的异常环路,增强抑制性突触传递。随访发现术后早期开机病人耐受性良好,术后程控次数较术后1个月开机减少。
综上所述:Gpi-DBS治疗痉挛性斜颈具有微创、可逆、效果良好等优点,刺激参数可根据病人症状改善情况做出调整以达到最佳疗效。以Gpi作为靶点治疗痉挛性斜颈,症状改善率稳定而持久,可作为治疗痉挛性斜颈的首选靶点。
来源:方琪星,李明轩,马建功,何承,任虹宇.脑深部电刺激术治疗痉挛性斜颈1例[J].中国微侵袭神经外科杂志,2021(04):177-178.