
应用单侧额下入路切除颅内嗅神经母细胞瘤2例
作者:赵海林,王璐璐,罗冬冬,胡骕,李丹,彭彪,广州医科大学附属肿瘤医院神经外科
1.病历摘要
病例1(图1):男性,31岁;因“嗅觉进行性减退8年,反复肢体抽搐1天”入院。入院查体:双侧瞳孔等大,对光反射灵敏,视野尚正常。肌张力正常,左侧肢体肌力Ⅳ级,右侧肢体肌力Ⅴ级。头颅CT示右额叶类圆形占位,呈等、低密度,无钙化,未见骨质破坏。
头颅T1WI示病灶呈低、等信号,T2WI为不均匀高信号,呈不均匀强化。鼻咽、头颈部MRI检查
未见鼻部侵犯及淋巴结转移。术前诊断:右侧嗅沟巨大脑膜瘤
?全麻后取仰卧位,于患侧耳屏前1cm颧弓上缘,向内上方做一弧形切口。
于关键孔及眶上缘近中线处各钻一孔,铣刀游离骨瓣后,咬除眶上缘中外2/3骨质使骨窗缘平颅前窝底,刮除额窦内黏膜。使用骨蜡封闭额窦缺口,悬吊硬脑膜后“U”形切开硬膜并翻向中线。显微镜下开放外侧裂,缓慢释放脑脊液。
自动牵开器抬起额叶即可见肿瘤包膜,沿肿瘤包膜分离显露肿瘤。脑棉充分保护瘤周正常组织后,阻断肿瘤基底血供,瘤内组织分块切除。再沿颅底硬膜外分离,将肿瘤基底与颅底硬膜一并分离,切断嗅丝。最后沿剩余包膜分离肿瘤后极,最终将肿瘤、包膜连同瘤周额底硬膜一并切除。
术毕电凝烧灼嗅沟骨质,将额部带蒂帽状腱膜连同骨膜转移至颅底,以修复颅底硬膜。术后病理:组织表面披覆纤毛柱状上皮或鳞状上皮,上皮下纤维血管组织间呈巢状分布的肿瘤细胞,肿瘤细胞小而圆,呈蓝色,大小形态较一致。
免疫组化显示神经元特异性烯醇化酶、突触素及嗜铬素A、S-100蛋白呈阳性表达,Ki-67指数为10%。术后诊断为右侧嗅神经母细胞瘤
(olfactory neuroblastoma,ONB),术后1周复查头颅MRI示肿瘤全切,视交叉受压得到缓解,无颅内积气及脑脊液鼻漏等并发症,病人术后视物模糊、肢体抽搐均明显改善,但嗅觉减退未好转。术后随访3年,头颅MRI检查未见复发。

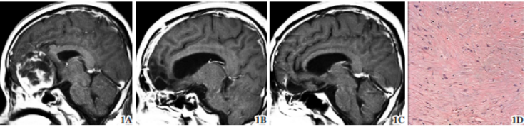
图1 男性右侧ONB。1A 术前MRI T1WI 示额底肿瘤不均匀强化,基底位于嗅沟上,向后推挤视交叉;1B 术后T1WI示肿瘤全切除;1C 术后3年T1WI示肿瘤未复发;1D 病理示肿瘤细胞呈多灶状分布,其间有结缔组织分隔(苏木精-伊红染色× 100)
病例2(图2):女性,40岁;因“反复肢体抽搐10年”入院。外院脑电图检查
未见异常,给予抗癫痫治疗后,症状无明显缓解。近2个月频繁出现颜面部抽搐,肢体抽搐加剧,故入院治疗。入院查体:双侧瞳孔等大,对光反射灵敏,视野正常,视力
稍下降,嗅觉减退。肌张力正常,双侧肌力Ⅴ级。
入院头颅CT显示右侧额叶类圆形占位,跨越中线,呈等、低密度,可见骨质破坏。头颅T1WI示病灶呈低、等信号,可见囊变,T2WI为不均匀高信号。术前诊断:右额叶占位,同上述额下入路开颅,但切口跨中线3~5cm。处理右侧占位后,继续切开大脑镰下缘,暴露对侧肿瘤,完整切除对侧占位,修补颅底。
送检组织在高倍镜下呈H-W菊形团样分布,细胞核小而均匀,核深染并可见部分核分裂,部分见灶性坏死。Ki-67指数为15%,其余免疫组化指标同上。术后诊断为右侧ONB,术后1周复查头颅MRI示肿瘤全切,肢体抽搐明显改善,但嗅觉减退未好转。术后随访5年,MRI检查未见复发。

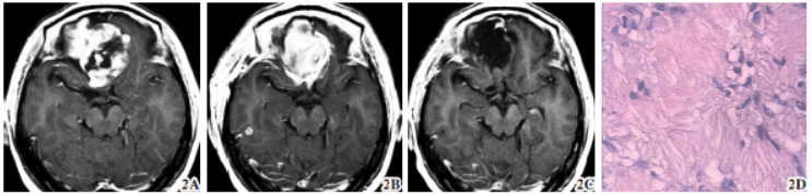
图2 女性右侧ONB。2A 术前MRI T1WI 示额底肿瘤骑跨大脑镰生长,不均匀强化,内可见囊性小腔;2B 术后T1WI示肿瘤全切除,但水肿
明显;2C 术后5年T1WI示肿瘤未复发;2D 病理示形态一致异型细胞环状排列,呈H-W菊形团样分布(苏木精-伊红染色× 400)
2.讨论
ONB起源于嗅神经感觉上皮,好发于鼻腔并可侵犯颅内,亦可仅发生于颅内,发病率约为0.4/100万。ONB起病隐匿,多数生长缓慢,临床表现以单侧鼻腔堵塞和鼻出血为主,部分病人可出现头痛
、嗅觉丧失、溢泪、视物模糊、眼球突出
、颈部肿块,极少数出现异位库欣综合征
,也可表现为抗利尿激素
分泌异常综合征。
ONB临床症状与MRI检查无特征性,临床诊断较困难。确诊需行病理检查
,分化较好的肿瘤细胞具有特征性形态:形态较一致的小细胞环状排列,形成Flexner及H-W菊形团,但分化差的肿瘤仍可与其他未分化小细胞肿瘤混淆,造成误诊。
免疫组化可见肿瘤细胞对神经元或神经内分泌细胞呈阳性反应,而对上皮抗原、淋巴细胞共同抗原、角蛋白呈阴性反应。本组2例病人均为典型H-W菊形团,为分化较好的肿瘤,诊断明确。
本研究2例颅内ONB病人应用单侧额下入路,术中可充分显露肿瘤上极及后极,方便处理嗅沟处肿瘤的基底部,有利于全切肿瘤,并可处理嗅丝等可能受肿瘤累及的部位,还可避免手术操作损伤视神经,取得良好效果。
主要手术要点:①骨窗下缘需平颅前窝底,注意保护眶上孔内重要结构。②骨蜡封闭额窦以防术后脑脊液漏及感染。③脑脊液充分释放、脑压下降后,轻柔牵开额叶,以免造成脑挫裂伤。④自动牵开器牵开脑组织,避免使用脑压板造成脑组织损伤。⑤使用脑棉保护瘤周正常组织,两套器械分离处理瘤内及瘤周组织,术者手套避免接触瘤内组织。⑥颅底硬膜需仔细切除,嗅沟骨质需电凝反复烧灼以减少肿瘤复发概率;修补颅前窝底缺损以防术后脑脊液漏。⑦经切开的大脑镰切除对侧肿瘤,避免结扎上矢状窦造成静脉回流障碍。
ONB分期多采用改良Kadish分期:A期:病变局限于鼻腔;B期:侵及鼻窦;C期:超出鼻腔和鼻窦范围;D期出现颈部淋巴结转移、远处转移。对B、C期肿瘤行术后辅助放疗,可延长生存时间。D期肿瘤术前放疗并辅助化疗,缩小肿瘤体积后再行手术治疗可提高肿瘤全切除率。本组2例ONB术中均扩大切除,病理表现为高分化,因此,术后均未行放化疗,随访期间无复发,但远期疗效仍需观察。
来源:赵海林,王璐璐,罗冬冬,等. 应用单侧额下入路切除颅内嗅神经母细胞瘤2例[J]. 中国微侵袭神经外科杂志,2021,26(8):390-391.