成人腹型过敏性紫癜1例并文献复习

来源:中国临床医学影像杂志 2023.01.28
我要投稿

作者:周林,张绍金,黄英,陈红,成都医学院第三附属医院成都市郫都区人民医院放射科

 

过敏性紫癜(HSP)又称IgA血管炎,是儿童最常见的血管炎,成人的发病率为3.4/1000000~14.3/1000000,常见临床表现为非血小板减少性紫癜、关节炎和腹痛,具有腹痛症状者被称为腹型过敏性紫癜(AAP)。现报道1例成人AAP,旨在提高对该病的诊断水平。

 

1.病例

 

男,71岁,于当年8月29日入院,入院2天前无明显诱因出现下腹部疼痛,呈持续性胀痛,阵发性加剧,无恶心、呕吐,无肛门停止排气排便,无畏寒、发热,无呕血、便血,无腹泻。入院查体:T:36.3℃,P:99次/分,R:19次/分,BP:140/101mmHg,全身皮肤未见皮疹;腹部外形正常,右下腹见一长约10cm纵行瘢痕。触诊:下腹部压痛、反跳痛及肌紧张,无波动感。腹部未触及包块,Murphy征阴性。听诊:肠鸣音活跃。

 

实验室检查:白细胞21.66×109/L,中性粒细胞20.21×109/L,单核细胞0.8×109/L,血小板计数507×109/L,IgA6.41g/L,抗O抗体25IU/mL,类风湿因子14.60IU/mL,大便隐血实验阳性,尿常规无明显异常。1年前于当地医院因“小肠病变”行部分小肠切除术。

 

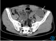
CT平扫、增强表现:平扫显示胃幽门管、多处小肠壁呈节段性环形增厚,管腔变窄,以小肠为著,最厚处管径约为4.6cm、肠壁约为1.7cm,肠壁密度降低CT值约为18HU,肠腔内积液CT值约为16HU;受累肠壁浆膜面模糊不清,所属肠系膜、网膜脂肪间隙显示模糊,呈片絮状改变;肠系膜区及腹膜后、肝胃间隙多个淋巴结显示,腹盆腔积液(图1)。

 1.png

图1AAPCT平扫表现。图1a:腹部平扫CT横断位显示胃幽门管增厚(实线箭头所指),密度降低,管腔变窄,浆膜面模糊;肝周间隙积液(虚线箭头所指)。图1b,1c:显示多处小肠壁呈节段性环形肿胀、增厚(箭头所指),肠壁密度降低,肠管横断位呈“双线征”(图1c),肠腔变窄、积液,浆膜面模糊不清,肠周渗出、积液改变。

 

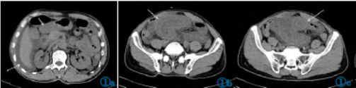
增强显示受累肠壁粘膜层及浆膜层明显强化,粘膜下层水肿并无明显强化,表现成“水靶征”,肠系膜动脉走行自然,未见充盈缺损(图2)。

 2a.png

1674862039284321.png

图2AAPCT增强表现。图2a(横断位)、图2b(冠状位)、图2c(矢状位):腹部增强CT静脉期显示多处受累小肠壁粘膜、浆膜强化,粘膜下层水肿无强化,肠管横断位呈“水靶征”(图2a)(白色箭头所指),肠周积液无强化(图2a虚线箭头所指)。图2d(VRT图像)、图2e(MIP图像)、图2f(冠状位):腹部CTA显示肠系膜动脉走行自然,未见充盈缺损。

 

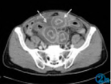
患者于检查当日(8月30日)夜间出现双侧足背、小腿伸面多发性皮下淤点,大小形态不等,颜色为深红色,压之不褪色。诊断为AAP。临床予以“甲强龙40mgivgttqd×3d”抗炎、抗过敏以及补液对症等治疗,患者腹痛明显好转,下肢皮疹明显消退,复查CT显示,肠壁水肿好转,肠腔扩张管径约为3.4cm,系膜渗出改变好转,腹盆腔积液吸收(图3)。

 3.png

图3AAP好转CT表现。腹部CT平扫显示小肠壁水肿好转,肠腔扩张(白色箭头所指),盆腔积液吸收。

 

2.讨论

 

HSP是一类最常见的小血管血管炎,可累及全身多个系统。东南亚地区最流行,并以男性多见,秋冬季节发病率是春夏季节的两倍,该病人便是秋天发病;其病因及发病机制尚不明确,可能与遗传易感性和环境因素有关。根据临床表现不同,HSP分为皮肤型、腹型、关节型、肾型、混合型,其中AAP最常见的一种类型,占50%~75%。

 

AAP典型表现为腿部、臀部出现紫癜性皮疹,以下肢伸侧面最多见,对称分布,常成批、反复发生,大小不等、可融合成片状,颜色为深红色,压之不褪,严重者可有水泡形成。AAP常表现为弥漫性腹痛,主要位于脐周或下腹部,疼痛程度不等,易误诊为外科急腹症或急性肠胃炎而错行开腹手术或延误激素治疗。血清IgA、C反应蛋白可显著升高,大便隐血实验多为阳性,凝血功能正常。

 

有研究发现近40%的AAP病人腹痛先于紫癜发生,该病例于腹痛3天后出现了紫癜。临床上欲早期诊断以腹痛为首发症状的AAP是很困难的。在CT上,AAP常表现为胃肠道多发节段性管壁损伤,以空回肠、十二指肠多见,较少见于胃及结直肠,受累管壁呈均匀环形增厚、管腔变窄,管壁密度减低,浆膜面模糊不清,呈“双环状”表现,管腔内可见积液,当积液密度增高时,常提示合并肠道内出血,肠周可见渗出、腹盆腔积液及淋巴结增大;增强后,粘膜及浆膜面呈明显强化,水肿的粘膜下层常不强化,表现为典型的水靶征或“甜甜圈”征。

 

需要注意的是,水靶征并非AAP所特有,应注意与缺血性肠病、炎性肠病等鉴别,缺血性肠病常表现为受累肠段沿肠系膜血管走行区局限分布,强化程度低于周围正常的肠管,肠系膜血管内的充盈缺损影是确诊的直接依据;克罗恩病常以终末回肠多见,表现节段性、跳跃性非对称性肠壁增厚,可伴肠周纤维脂肪增生、肠管狭窄,甚至窦及瘘管和脓肿形成,增强肠壁分层强化,肠周血管可见“木梳征”;感染性肠炎常有轻微的肠壁增厚,很少出现靶征,肠系膜周围有明显的渗出改变并伴有淋巴结增大和腹水

 

HSP最常见的并发症有肠缺血、肠穿孔和大量出血,部分病人可伴有肠套叠,极少数病人可合并HSP相关性胰腺炎。复查CT中若观察到受累胃肠管水肿减轻或消失,周围脂肪间隙渗出明显减轻,常提示临床病情好转。腹部超声检查常用于儿童HSP,但其诊断价值受肠内空气影响大,典型腹部超声表现为弥漫性的肠壁增厚、肠壁充血、肠腔内积液、肠蠕动减弱或消失以及肠周积液,若彩色多普勒提示血流信号缺失,则存在缺血和穿孔的风险。目前MR在HSP的研究中鲜有报道,Allen等发现HSP在MRI上表现肠壁增厚,肠壁粘膜面、浆膜面完整,MRA显示血管正常。

 

来源:周林,张绍金,黄英,陈红.成人腹型过敏性紫癜1例并文献复习[J].中国临床医学影像杂志,2022,33(01):66-68.