罕见的葫芦状胆囊,病因为何? | 临床实战

来源:医脉通 2023.03.06
我要投稿

作者:周娟 邵鸣 肖玉珍 山西省永济市肝胆胃病专科医院

本文为作者授权医脉通发布,未经授权请勿转载。


导读


正常的胆囊形似梨状,或长得像茄子状,但本病例胆囊却呈葫芦状。下面让我们跟随笔者看一下,今天这个奇异的胆囊是怎么回事?


患者资料


田某,女,58岁,主因“肝功能异常1年”入院。


现病史:1年前于北京某医院体检时查出肝功能异常(ALT、AST:70U/L),未予重视及诊治。3月前感乏力、腹胀、烧心、反酸、腹部不适,就诊于当地市人民医院复查结果示:TB:15.8µmol/L,ALT:208 U/L,AST:215U/L,ALP:102 U/L,GGT:78 U/L;血脂:TC:5.82mmol/L,TG:1.79mmol/L,HDL-C:2.33mmol/L。腹部彩超:肝、胆、脾、胰及双肾大小,图像未见明显异常。随后就诊于当地另一所医院检查:肝功能:AST:244.8U/L,乳酸脱氢酶:276U/L,CK-MB:21U/L;免疫球蛋白三项:IgA:4.33g/L­,IgG:23.29g/L­,IgM:2.08g/L;C3、C4:未见异常。Anti-HEV-IgM:阴性;Anti-HAV-IgM:阴性;HCV-RNA:<50IU/ml,自身免疫性肝病抗体:抗核抗体:核均质型1:100;抗线粒体M2抗体:12.52 RU/ML;给予双环醇片(一次50mg、3次/天)及复方甘草酸苷片(一次2片、3次/天)服用,服药后肝功能指标仍未恢复正常,自发病以来,患者精神欠佳,饮食量减少,夜间睡眠欠佳,大、小便基本正常。


既往史:染发史3年,平均1月1次;长期睡眠欠佳,未予治疗。否认高血压、心脏病、糖尿病病史,否认外伤史。否认伤寒、结核等传染病史。否认手术、输血史。否认药物、食物过敏史。


个人史:生于原籍,无其他特殊嗜好。无外地久居史,无疫区长期居住史。无工业性毒物、粉尘及放射性物质接触史。家庭关系和睦,无冶游史,无重大精神创伤史。


月经史:月经量、色正常,无特殊记载。

婚育史:适龄结婚,育有1女,配偶及女儿身体健康。

家族史:否认家族中有相关疾病史。


入院后辅助检查


肝功能:ALT:77U/L,AST:286U/L,ALP:119U/L,GGT:125U/L,ChE:5020.1U/L,Alb:38.3g/L;


Glu:5.43mmol/L;
血脂:TC:5.96mmol/L,HDL-C:2.41mmol/L,LDL-C:2.57mmol/L;
甲、乙、丙、丁、戊型肝炎标志物:阴性;


血常规:WBC:3.91×109/L,RBC:3.96 ×1012/L,HGB:136g/L,PLT:101×109/L;
凝血系列:PT:13.19 (Sec),INR:1.10;


铁蛋白:2142.41ng/ml;

铜蓝蛋白:20.9mg/dL;


腹部彩超示:1.肝实质光点略增粗?   2.胆囊壁毛糙;
胃镜:慢性非萎缩胃炎伴胆汁反流   建议:治疗后复查胃镜;


上腹部增强CT示:1.肝右叶顶部钙化灶   2.左肾静脉与腹主动脉后汇入下腔静脉   3.葫芦状胆囊   4.十二指肠淤积(请结合临床)


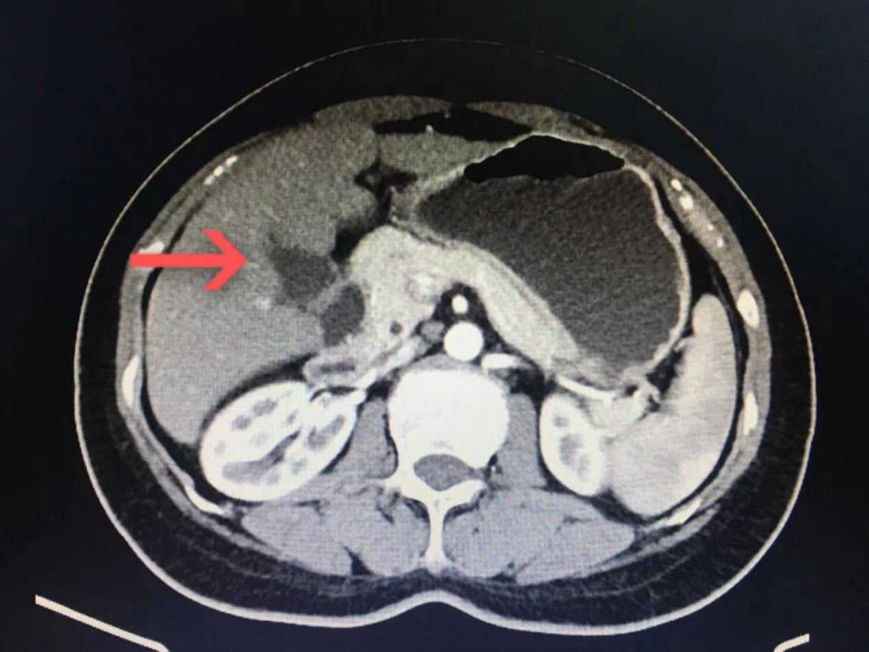
图1-葫芦状胆囊.png

图1  箭头标志处为葫芦状胆囊


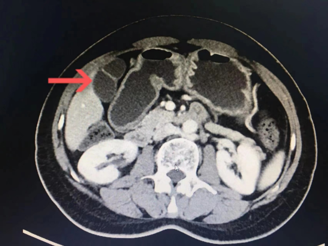
图2-葫芦状胆囊.png

图2  箭头标志处为葫芦状胆囊


初步诊断:1.药物性肝损害   2.胆汁反流性胃炎   3.高脂血症   4.睡眠障碍


此病历特点:

1. 肝功能异常;

2. 存在胆汁淤积;

3. 有胆汁反流性胃炎;

4. 葫芦状胆囊;


此患者的胆汁淤积、十二指肠淤积、胆汁反流性胃炎是否与葫芦状胆囊有关,不得而知;因患者为明确肝功能异常的原因,无胆汁淤积的症状(如:黄疸、皮肤瘙痒)及体征(皮肤黄染、大便呈陶土色),给予保肝、抑酸、调脂、改善睡眠等药物治疗。目前仍在治疗随访中。


讨论


葫芦状胆囊为罕见的胆囊畸形,因先天发育或后期炎症诱发胆囊结构发生变异,胆囊被分割呈大小不等的类似“葫芦”状的结构;常见于胆囊先天畸形,也可见于慢性胆囊炎,合并胆囊腺肌瘤病,为胆囊增生性疾病,多为慢性增生,女性多见,多为良性病变,有一定的癌变机率;不同于炎症引起的瘢痕组织增生,也不具有肿瘤性增生的破坏性趋势;临床症状不明显,多于体检时发现。胆囊腺肌增生会形成粘膜内憩室,增生的胆囊不能正常收缩,容易淤积,继发感染,导致泥沙样结石的聚集,形成结石、引起胆囊炎、胆囊息肉等疾病;通过药物或手术治疗可治愈;对于合并胆囊反流性胃炎者可给予抗胆汁淤积的药物治疗。治疗前评估胆囊的收缩功能,胆囊收缩功能正常的定期复查肝功能及腹部彩超;胆囊收缩功能不正常的,或引起严重的临床症状或胆囊畸形,处理并发症及切除畸形胆囊,可选择创伤小、术后恢复快、住院时间短、遗留瘢痕小的腹腔镜胆囊切除术。


葫芦状胆囊易并发胆囊炎、胆囊结石、胆源性胰腺炎、胆管炎、胆囊扭转,需要引起大家的重视。此患者目前没有胆囊结石,是否与疾病发现的早,还没有形成胆囊结石有关系。随着社会的高速发展,生活节奏快、工作压力大,不吃早餐已成为许多工作达人的常态,再次提醒大家,在日常生活中,保持心情愉悦,戒烟、戒酒,三餐规律进食,可促使胆囊定时收缩、排空,建议养成良好的生活饮食习惯,减少高脂肪、高热量饮食的摄入,增加膳食纤维饮食,尤其重视早餐的重要性,适量多喝水,避免久坐少动,加强运动锻炼,此类高危人群,要定期体检,保护好我们的胆囊。


呵护胆囊,从健康饮食每一天开始!