哮喘背后的“隐形杀手”—ABPA|以影识病

来源:医脉通 2023.04.04
我要投稿

医脉通编译整理,未经授权请勿转载。

 

病史资料

 

患者,女,64岁,因1周以来呼吸困难咳嗽就诊。已知患者存在支气管哮喘,28年来一直在服药。患者生命体征稳定,听诊示双侧哮鸣音,无发热咯血或体重减轻。

 

影像学表现

 

胸片:显示不均匀的放射性阴影,累及气管旁两侧上部区域,呈V形。右肺门增大,右肺门旁可见类似的放射性阴影,主要累及右肺中叶,显示典型的手套指征(图1)。

 

图1.png

图1 不均匀的放射性阴影(白色箭头),累及气管旁两侧上部区域,呈V形,右肺门增大,右肺门旁可见类似的放射性阴影(黄色箭头)

 

胸部CT:中央支气管扩张(圆柱状支气管扩张)(图2),扩张支气管内可见均匀高密度区,可能为高密度黏液影(hyperattenuating mucus,HAM)(图3、4),周围可见吸收性/阻塞性肺不张,累及双上叶和右中叶。肺门周围区域中央段支气管近端变窄(可能因黏液堵塞而继发),双肺上叶可见少量大小不一的小叶中心结节。结合以上,其影像学表现与变应性支气管肺曲霉病(Allergic Bronchopulmonary Aspergillosis,ABPA)相符。

 

 图2.png

图2 非增强CT示中央支气管扩张(白色箭头)

 

 图3.png

图3 非增强CT示中央支气管扩张,其内可见均匀高密度区/集合(白色箭头),可能为HAM

 

 

 

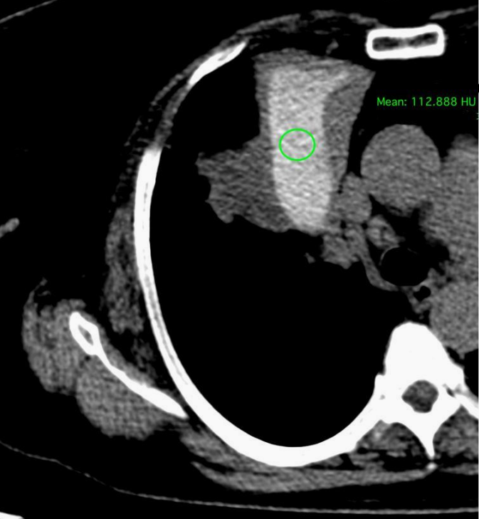
 图4.png

图4 非增强CT示扩张支气管内平均HU~ 112的HAM

 

 

病例讨论

 

ABPA是曲霉过敏引起的一种变应性肺部疾病,表现为支气管哮喘和反复出现的肺部阴影,可伴有支气管扩张。与其他过敏性疾病常见于儿童不同,ABPA发病率在成年人中更高。ABPA 较常发生于哮喘和肺囊性纤维化患者,还可发生于其他肺部疾病患者,例如支气管扩张症慢性阻塞性肺疾病等。

 

ABPA 常表现为控制不佳的哮喘、中央性支气管扩张或肺部反复感染,多为发作性喘息,咳嗽、咯痰,部分患者有咯血、胸痛症状。如本例患者初诊时呼吸困难和咳嗽,但部分患者可无典型的哮喘样症状,需提高对该病的认识,避免漏诊或误诊。

 

胸部CT常见表现为肺部浸润影和实变影,具有一过性、反复性和游走性的特点。ABPA具有一定特征性的其他影像学包括黏液嵌塞、支气管扩张、小叶中心结节、马赛克征等。气道黏液嵌塞在 ABPA很常见,在HRCT上可表现为“牙膏征”或“指套征”或“树芽征”,这在本例中也得到体现。此外,HAM在ABPA的诊断和鉴别方面具有重要价值,不仅表明患者存在严重免疫疾病,而且提示患者存在复发风险。

 

诊断ABPA应根据相应的临床特征、影像学表现和血清学检查结果,主要包括:哮喘或慢性咳喘病史;血清总IE 升高,通常>1 000 U/ml;血清曲霉 slgE 升高,或皮肤试验曲霉速发反应阳性;血清曲霉 sIgG升高;胸部影像学检查显示支气管扩张。其他有助于诊断的临床特征或辅助检查还包括咳黏液栓、外周血嗜酸性粒细胞增多、痰培养曲霉阳性、胸部影像学检查显示黏液嵌塞征和(或)片状游走性阴影等与ABPA一致的肺部阴影。

 

ABPA的治疗目标包括控制症状、预防急性加重、防止和减轻肺功能受损。药物治疗是基础,可通过应用激素和抗真菌药物进行治疗。患者应尽量避免接触曲霉等变应原,脱离过敏环境对于控制症状、减少急性发作非常重要。

 

 

结语

 

ABPA可表现出多种临床和影像学表现,其中存在哮喘病史和HRCT表现为中央性支气管扩张及HAM对诊断具有提示性。对疑似ABPA的患者,应行支气管肺泡灌洗、血清学、免疫学等检查进行临床评估和确诊。

 

参考资料

1. Sai Shankar MG,et al.Allergic Bronchopulmonary Aspergillosis (ABPA) with High Attenuation Mucus (HAM).eurorad.org/case/18009.

2.  中华医学会呼吸病学分会哮喘学组. 变应性支气管肺曲霉病诊治专家共识(2022年修订版)[J]. 中华结核和呼吸杂志,2022,45(12):1169-1179.

3. 李杰,王增智.变应性支气管肺曲霉菌病5例临床分析[J].心肺血管病杂志,2022,41(04):375-379.