这个肺炎的原因你能想到吗?罪魁祸首竟是患者日常的特殊习惯|病例分享

来源:医脉通 2023.05.11
我要投稿

医脉通编译整理,未经授权请勿转载。


病例资料

 

患者女性,89岁,主诉:咳嗽、咳痰5年余,近2个月加重,患者有服用祛痰药和益生菌,并于呼吸内科就诊。

 

既往史:患者有儿童哮喘、鼻窦炎、经尿道膀胱肿瘤切除术史;家族史无特殊,无吸烟史,无明显吸入性暴露史。

 

体格检查:初诊时生命体征如下,体温36.9℃;血压126/50 mm Hg;血氧饱和度97%。其他体格检查未见异常。

 

 

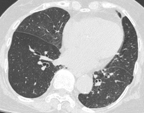
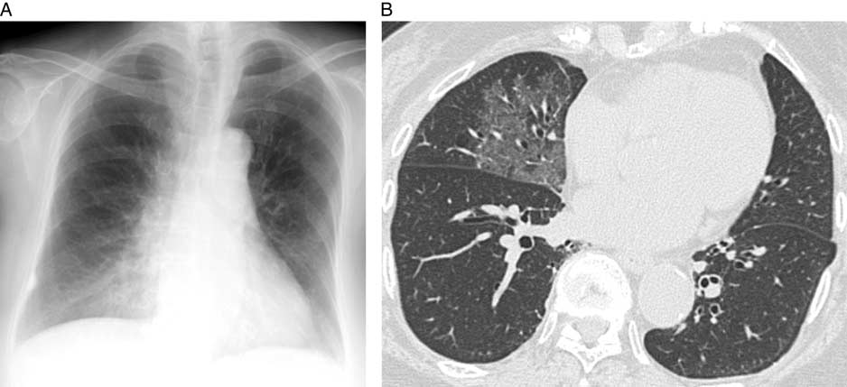
辅助检查:常规实验室检查各项指标均在正常范围内。初诊时胸片显示右下肺透明度降低,CT肺窗示右中叶的磨玻璃影(GGO),胸膜下区保留(图1)。CT软组织窗示GGO内未见脂肪衰减。

 

图片1.png

图1 初次时的胸部成像。A.胸片显示右下肺透明度降低;B.CT肺窗示右中叶GGO,胸膜下区保留。

 

 

“疑云重重”:医生初步怀疑患者为支气管哮喘,给予吸入糖皮质激素和长效β受体激动剂治疗,此后症状得到缓解。但CT表现在4个月后恶化(图2A, B)。疑似为肺泡蛋白沉积症(pulmonary alveolar proteinosis,PAP),进一步行支气管镜检查。支气管肺泡灌洗液呈浑浊白色液体,随后由PAP专家进一步评估。

 

图片2.png

图2 随访胸部CT图像。A和B. 4个月后的CT示右中叶和双下叶GGO(箭头),伴小叶间隔增厚(箭头);C.5个月后CT示GGO,双侧下叶(圈子)出现新的小叶中心结节。

 

“拨云见日”:转诊至上一级医院,5个月后患者CT检查示GGO,双侧下叶出现新的小叶中心结节(图2C)。抗粒细胞-巨噬细胞集落刺激因子抗体证实为阴性。这些结果提示可能为外源性类脂性肺炎(exogenous lipoid pneumonia,ELP)。因此,再次仔细回顾患者社会史发现,患者在电视节目中了解到“油拔法”(源于印度民间的保健方法,将食用油在口腔内旋转一段时间,然后吐出来,类似于漱口),于是每天用芝麻油漱口数次,希望美化嗓音。根据CT表现并结合其生活习惯,医生怀疑患者吸入了芝麻油,并进行吞咽造影检查。用液体漱口时,发现液体进入梨状窝,提示患者可能因芝麻油漱口而误吸。

 

为明确诊断行支气管镜检查,支气管肺泡灌洗液呈淡黄色,分2层(图3A)。 苏丹III染色检测肺泡巨噬细胞中含有油脂成分(图3B, C),最终诊断为用芝麻油漱口引起的ELP。在指导患者戒掉此习惯3个月后,其病情及CT表现逐渐改善(图4)。


图片3.png 

图3 A.支气管肺泡灌洗液呈双层;B.显微镜下通过Giemsa染色(箭头)检测到大量有胞内脂质空泡的泡沫巨噬细胞;C.显微镜下苏丹III染色示有胞内脂质空泡的泡沫巨噬细胞(箭头)。

 

 图片4.png

图4 停用芝麻油漱口3个月后,胸部CT示肺实质异常基本改善。

 

病例讨论

 

ELP是罕见的肺炎形式,是指油脂类物经呼吸道误吸入肺内所致的肺部急慢性炎症。急性ELP通常是在短时间内吸入大量油脂类物质导致的。慢性ELP通常是由于长时间(反复)吸入动物脂肪、矿物油或植物油所致。当口服脂类物质且同时具备误吸危险因素时,易导致ELP,且吸入时往往无呛咳症状,不易被发现,临床可有咳嗽、咳痰、发热呼吸困难等非特异性症状。本例患者仅有咳嗽、咳痰的表现。患者使用芝麻油漱口引起ELP,先前也有类似病例报道,误吸风险高的群体特别是老年人应注意预防,谨慎使用口服脂类物质。

 

影像学上,ELP的胸部CT常见表现包括实变、线状混浊、结节/肿块和伴有小叶间隔增厚的GGO。低密度实变或结节(CT值范围为-150~-30 HU)为其特征性表现。然而,由于周围炎性渗出物的叠加,导致在部分患者实变或结节影中不易观察到比较明显的脂肪低密度区,增加了影像诊断难度。本例中,患者胸部CT图像也显示GGO中没有脂肪衰减。

 

此外,CT示GGO伴小叶间隔增厚可出现于各种疾病,包括感染性、肿瘤性、特发性、吸入性和出血性疾病尤其注意ELP与细菌性肺炎、肺癌、肺结核等疾病鉴别。本例中ELP和PAP的鉴别有时也有难度,因为其表现出慢性临床进展和相似的影像学表现。据以往报道,ELP的肺实质异常常见双肺多发,右肺中下易累及。在本例中,GGO见于右中叶和双下叶,与之前报道一致,这些结果提示ELP的发生可能与患者摄入时的体位有关。ELP的确诊可依据支气管肺泡灌洗、经支气管镜活检或术后病理检查。肺泡灌洗液中可观察到游离的脂质或含有脂质的肺泡巨噬细胞,或肺组织镜检见到含脂质的巨噬细胞,同时细胞学苏丹Ⅲ染色常为阳性。本例患者病理表现符合ELP。

 

目前,ELP尚缺乏有效的治疗手段,因此,重在预防。ELP在治疗上应避免持续暴露,并加强脂类物质的排出,机械排痰、拍背促咳、体位引流等方法简便有效。静脉注射免疫球蛋白、激素和抗生素的综合治疗对ELP有一定效果。抗生素治疗仅当合并微生物感染时使用有效。肺泡灌洗也是一种有效的治疗手段。长期内科治疗无效者,可行局部肺叶切除术。

 

 

结语

 

ELP在临床上并不多见,且缺乏典型的、特异性的临床表现,需注意识别,尤其了解患者是否有吸入病史。有油脂接触史,具有吸入风险的老人和儿童,较具特征性影像学表现,痰液和支气管肺泡灌洗液及组织病理学标本中含脂质巨噬细胞等是明确诊断ELP的重要因素。

 

参考文献:

1. Yamada A, Kagawa T, Nishimoto Y,et al Exogenous Lipoid Pneumonia Caused by Gargling With Sesame Oil: A Case Report. J Thorac Imaging. 2022 Nov 1;37(6):W97-W100.

2. 吴吉丽,赵爱斌,马雪婷等.误吸石蜡油致外源性类脂性肺炎一例[J].结核与肺部疾病杂志,2023,4(01):88-90.

3. 何林,李小明,朱小华.8例外源性类脂性肺炎的临床特点分析及文献复习[J].当代医学,2021,27(20):114-116.