HIV阴性卡波西肉瘤18F-FDGPET/CT显像1例

来源:中国临床医学影像杂志 2023.06.20
我要投稿

作者:符珍敏,苑克慧,胡蓉蓉,王卉,解放军总医院海南医院核医学科

 

1.病例

 

男,70岁,因双足多发丘疹、结节3年,加重半年入院。患者2017年双足无明显诱因出现散在紫红色丘疹、结节,数量渐多,伴下肢肿胀,左侧为著。曾诊断多形红斑,予糖皮质激素治疗,疗效欠佳。半年前双手掌、手背可见类似大量紫红色丘疹、结节,伴轻压痛,逐渐加重。入院时患者精神状态良好。

 

查体:双足、双手见大量紫红色结节、丘疹,部分融合成片,表面无明显渗出、糜烂,双足、双手浮肿,左小腿著。查血:鳞癌抗原SCC2.0ng/mL、胃泌素释放肽前体73ng/L,均稍升高;艾滋病抗原、抗体测定阴性。血常规血红蛋白104g/L,白细胞及血小板计数正常,超敏C反应蛋白、降钙素原正常。

 

胸部CT提示双肺多发散在结节。彩超提示双肾囊肿、前列腺增生伴钙化、轻度脂肪肝,胆囊、脾脏、胰腺未见明显异常。为进一步诊治,行18F-FDGPET/CT显像,采用Biograph mCTPET/CT扫描仪(德国Siemens公司),18F-FDG由科室自行合成,采用HM-10型回旋加速器(日本住友公司),MF-2VIT-I多功能合成模块(北京PET股份有限公司),放射性化学纯度>95%。患者检查前禁食6h以上。

 

18F-FDG剂量为6.73mCi,注射后1h检查。PET/CT图像采集包括CT平扫和PET扫描。CT扫描参数:电压120keV,电流自动毫安秒,螺距0.6,层厚5mm。PET扫描,2min/床位。扫描范围颅顶至足底。图像采用CT扫描数据衰减矫正,图像重建采用有序子集最大期望迭代法。18F-FDGPET/CT显像示双肺见多发不规则结节,沿肺纹理分布,最大约10mm×15mm,轻度代谢增高,SUVmax为1.9,气管血管旁间质增厚;双下肢皮肤多发不规则结节状增厚,双足多见,代谢异常增高,SUVmax为8.0,伴双下肢水肿(图1)。

 1 ab.png

1cde.png

1f.png

图1 18F-FDGPET/CT显像图。图1a,1b为体部及下肢MIP图,下肢见多发异常高代谢结节;图1c,1d见双肺多发结节,大部分形态不规则,沿肺纹理分布,轻度代谢;图1e,1f见双足皮肤多发不规则、结节状增厚,代谢异常增高。

 

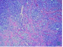
皮肤(右足外侧)病理活检:真皮层见梭形瘤细胞纵横交错排列,梭形细胞被含有红细胞的裂隙样腔隙分隔,呈筛孔状或蜂窝状,在梭形细胞质内或细胞外可见嗜伊红色透明小体,梭形细胞轻-中度异型,可见少量核分裂象,未见肿瘤性坏死。免疫组化:HHV8(个别细胞+),CD34(+),CD31(+),Fli-1(+),Ki-67(阳性率10%)。诊断:卡波西肉瘤(Kaposi’s sarcoma,KS)(图2)。

 2.png

图2病理(HE)诊断为KS。

 

2.讨论

 

KS是一种少见的以梭形细胞增生和血管瘤样结构为特征的恶性肿瘤,是起源于内皮细胞的血管性肿瘤。其发生与人类疱疹病毒8型(HHV8)有相关性。HHV8也称KS相关疱疹病毒(KSHV),非洲和中东地区阳性率为14%~86%,其中非洲撒哈拉沙漠以南区域最高,美国和北欧总体阳性率低,在HIV阳性的男同性恋者中阳性率可达30%~60%。KS根据地理分布和临床来源分为4型,分别为经典型KS、地方性KS、医源性KS和AIDS相关型KS。经典型KS通常是惰性的,主要影响老年男性,最早是由MoritzKaposi博士在地中海和东欧的老年人皮肤上发现的一种罕见的皮疹病变。

 

AIDS相关型KS是最常见的亚型,20世纪80年代初,KS在AIDS患者中的发病率超过50%。地方性KS比经典型KS更具攻击性,20世纪60年代首次在撒哈拉沙漠以南地区被发现。医源性KS在免疫抑制患者中被发现,例如接受移植手术的患者。95%以上的健康人感染HHV8后终生无症状,而免疫抑制患者感染后会出现严重症状甚至死亡,提示免疫抑制也是与HHV8协同诱发KS的重要因素之一。

 

KS的首发症状是皮肤黏膜损害,表现多样,为斑片、斑块、结节或肿物块状,按压无痛,表面有色素沉着,颜色从粉红到紫色、棕色和棕黑色。KS还可出现广泛的内脏器官受累,常见的有肺部、淋巴结,其次是胃肠道、肝、脾、骨等。关于KSPET/CT影像表现的文献多为个案报道,KS病灶高摄取18F-FDG。

 

本病例皮肤结节呈明显高代谢,SUVmax为8.0,肺结节呈轻度代谢增高,SUVmax为1.9。18F-FDGPET/CT显像可用于评估KS内脏及淋巴结受累的情况,进行初步分期,还可以用于治疗后的疗效评价。鉴别诊断方面,皮肤KS需与皮肤淋巴瘤鉴别,如皮肤MALT淋巴瘤、原发性皮肤边缘区淋巴瘤,通常表现为粉红色、红色或紫色的结节、斑块或丘疹,多见于手臂、躯干;还需与毛囊炎、黑色素细胞痣、皮肤癌等鉴别。肺部KS在CT上的特征性表现为沿支气管血管束分布的“火焰样”结节及斑片影,常伴支气管血管束及小叶间隔增粗。

 

相较于肺部淋巴瘤,肺部KS结节相对更小,边界更不规则,结节内较少出现空洞及支气管充气征;真菌感染以曲霉菌及隐球菌多见,常表现为多发实变、空洞性病变,典型肺曲霉菌空洞呈“新月征”;卡氏肺孢子虫肺炎主要表现为双肺磨玻璃影、网格影或条索影,大多数以中央部或肺门对称分布;肺结核多发生于上叶尖后段及下叶背段,具有“三多三少”的特点,即多灶性、多态性、多钙化性,少肿块性、少结节堆积性、少增强,在出现干酪样坏死的结核病灶中葡萄糖代谢程度通常较低。

 

临床上如发现患者皮肤多发褐色、紫红色结节,即使患者HIV阴性,也应考虑是否为KS,建议重点对肺、肝、胃肠道等进行影像学检查,推荐行18F-FDGPET/CT检查,用于全身评估,也可作为疗效评估的手段。本病例为老年男性,四肢多发紫红色结节,HIV检测阴性,否认使用免疫抑制剂及器官移植病史,属经典型KS。患者目前已行1周期化疗(表柔比星+异环磷酰胺),电话随访双手结节基本消失,下肢结节稍减少。

 

来源:符珍敏,苑克慧,胡蓉蓉,王卉.HIV阴性卡波西肉瘤~(18)F-FDG PET/CT显像1例[J].中国临床医学影像杂志,2022,33(04):303-304.