
叶酸代谢相关基因突变伴Percheron动脉综合征一例
作者:孙雪鉴,兰州大学第一临床医学院;苟露斌,张皓,兰州大学第一医院放射科
1.病例资料
患者,男,18岁,因语言迟钝、记忆力下降等行为异常6d,加重伴胡言乱语1d入院。患者6d前于无明显诱因下出现间断性失忆,无语言不清,无肢体活动障碍等,至当地医院查头颅CT未见明显异常。此后患者间断出现语言含糊不清,语速明显减慢,反应迟钝,易怒等症状,头颅MR平扫及增强扫描提示双侧丘脑异常信号影,增强扫描未见明显强化;1d前出现间断胡言乱语,遂至我院。
专科查体:神志清,精神差,对答切题,记忆力、定向力下降,计算力正常。美国国立卫生研究院卒中量表(the National Institutes of Health Stroke Scale,NIHSS):3分。蒙特利尔认知评估量表(Montreal Cognitive Assessment,MoCA):24分。
实验室检查:叶酸:1.0ng/ml(正常参考值:3.1~19.9ng/ml);同型半胱氨酸(homocysteine,Hcy):107.6μmol/L(正常参考值值:0~20μmol/L);叶酸代谢相关基因检测:MTHFR(c.667C>T)TT,MTRR(c.66A>G)AG;血常规、凝血因子全项、血浆脂蛋白相关磷脂酶A2测定等未见明显异常。
心电图检查:窦性心律不齐,电轴不偏,大致正常心电图;短PR间期;部分T波改变(Ⅲ、AVF导联T波倒置)。心脏彩超示心内结构未见明显异常,左室收缩及舒张功能正常,二尖瓣、三尖瓣及肺动脉瓣反流(轻度)。右心声学造影:嘱患者行Valsava动作后,左心房内未见明显微气泡显影。脑电图示:轻度异常脑电图。
影像学检查:头颅MRI及MRA(图1~3)示双侧丘脑及左侧小脑半球多发斑片样T1WI低信号影、T2WI高信号影,T2WIFLAIR呈高信号,DWI信号随b值升高并增高,ADC呈低信号。DSA(图4)示Percheron动脉起源于左侧大脑后动脉P1段近段,右侧丘脑穿通动脉分支显影纤细,左侧丘脑穿通动脉分支血流缓慢。

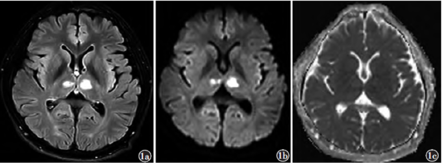
图1MR扫描a)T2FLAIR轴位示双侧丘脑斑片状高信号;b)DWI示双侧丘脑病灶高信号;c)ADC示双侧丘脑病灶低信号

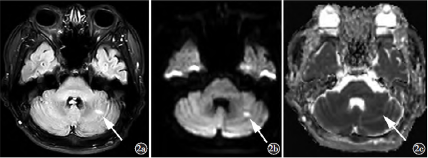
图2a)T2FLAIR轴位示左侧小脑半球斑片状高信号(箭);b)DWI示左侧小脑半球病灶高信号(箭);c)ADC示左侧小脑半球病灶低信号(箭)

图3MRA未见明显异常

图4a)DSA前后位示Percheron动脉起源于左侧大脑后动脉P1段近段(箭);b)DSA侧位示Percheron动脉(箭)
2.讨论
1)定义及临床表现
法国神经病学家Percheron于1976年提出丘脑穿通动脉存在4种解剖类型(图5),其中的IIb型指双侧丘脑穿通动脉共干并源于一侧大脑后动脉P1段,这个共同主干被称为Percheron动脉(artery of Percheron,AOP)。该动脉供应双侧丘脑旁正中区和中脑上部,若发生闭塞,可出现双侧丘脑旁正中区梗死,有时会累及中脑;其临床表现复杂多样,多为急性起病并以神经系统症状为主,如精神状态异常、记忆障碍、失语等,伴有不同程度意识障碍。

图5丘脑穿通动脉的4种解剖类型。Ⅰ型:丘脑穿通动脉分别起源于双侧大脑后动脉P1段;Ⅱa型:丘脑穿通动脉均起源于一侧大脑后动脉P1段;Ⅱb型:丘脑穿通动脉单一主干起源于一侧大脑后动脉P1段,分支分别供应双侧丘脑;Ⅲ型:丘脑穿通动脉起源于一个连接双侧大脑后动脉的“桥动脉”
2)影像学表现
据文献总结,AOP闭塞的影像特点如下:(1)早期CT检查阳性率低,主要是由于CT扫描对卒中缺血的早期征象诊断性能较低,但CT对于排除脑出血上还是很有必要。(2)MRI于急性梗死时就可见双侧丘脑旁正中部T1WI低信号,T2WI高信号,DWI和FLAIR高信号改变;若伴有中脑受累时可见中脑上部腹内侧近脚间窝处DWI和FLAIR高信号,典型者可出现中脑“V”字征。(3)AOP作为三级血管其解剖结构细小,在MRA及DSA上常较难以显示,因此脑血管造影一般不作为该病的常规检查;但对于可能存在AOP闭塞的患者,应行DSA证实。
本例患者于超急性期脑梗死行头颅CT检查呈阴性,急性期及亚急性期头颅多次MR均提示双侧丘脑存在异常信号灶,以上均基本符合既往文献报道;其后,亚急性期行DSA检查,发现该患者双侧丘脑正中动脉存在IIb型变异,并提示该处动脉血流异常,但未有严重闭塞情况,考虑可能栓子较小或位于动脉远端,导致血流缓慢,造成急性缺血、缺氧并血管痉挛等情况,从而引起动脉支配区域的梗死。
3)发病病因及治疗
目前认为造成该动脉闭塞的病因常以心源性、动脉源性、不明原因性多见。本例患者心脏超声、右心声学造影、常规心电图均未见明显异常,因此基本排除心源性栓塞可能。但在完善相关检查中发现其叶酸代谢相关基因检查出现异常,提示为TT、AG高风险型,并伴有血Hcy水平升高的表现。
有研究表明,亚甲基四氢叶酸还原酶(methylenetetrahydrofolate reductase,MTHFR)是参与体内Hcy代谢的关键酶,但其C677T基因位点易突变,突变后使MTHFR活性降低和不耐热性增加,使叶酸代谢出现障碍,并进一步导致血Hcy处于高水平;而Hcy水平过高可损伤内皮细胞,破坏血管活性物质平衡,导致血管壁增厚及管腔狭窄等情况出现,易致脑血管疾病的发生。
对于本例患者,考虑其致病原因是叶酸代谢相关基因突变,Hcy升高,引起血管损伤,最终导致患者脑血管疾病的发生。在治疗上,AOP闭塞采用脑梗死常规治疗原则,但本例患者由于在入院时已过了溶栓时间窗,因此未予溶栓治疗;经积极给予营养神经、改善循环、抗血小板聚集、补充叶酸等对症治疗5d后,复查血Hcy明显下降,其意识及神经功能基本完全恢复。
4)鉴别诊断
导致双侧丘脑出现病变的疾病很多,AOP闭塞的表现常需与以下等疾病鉴别:(1)基底动脉尖综合征:以基底动脉尖端为中心及其分支血管的血液循环障碍引起多部位损害的一组临床综合征,核心症状为瞳孔改变、眼球运动障碍。MRI常可见以丘脑、中脑和小脑为主的多发性异常信号影。(2)Wernicke脑病:由于维生素B1缺乏导致,常以急性起病,存在意识改变、眼球功能障碍和共济失调三联征等精神行为异常表现。MRI表现为双侧对称的内侧丘脑、导水管周围区域、乳头体和顶盖T2WI高信号。(3)中毒性脑病:如一氧化碳中毒,可有急性精神行为异常表现,常有相关病史、皮肤黏膜樱桃红色等表现,MRI可有基底节区或脑白质受累,T2WI和FLAIR呈高信号。
综上,诊断AOP综合征的关键点是典型临床三联征,急性意识障碍、垂直凝视麻痹、记忆力下降合并双侧丘脑梗死,可伴中脑梗死的影像学表现;同时还要根据患者的其他体征、辅助检查及既往史等与其他易造成双侧丘脑病变的疾病进行鉴别。
来源:孙雪鉴,苟露斌,张皓.叶酸代谢相关基因突变伴Percheron动脉综合征一例[J].影像诊断与介入放射学,2022,31(03):236-238.