
24岁女性反复发作气胸,原因为何?|病例分享
医脉通编译整理,未经授权请勿转载。
病例资料
患者为24岁女性,有反复发作的右侧气胸
病史,无吸烟史。最初出现右侧气胸采用保守治疗并完全消退;患者于六周内四次复发气胸,通过置海姆利克活瓣(Heimlich valve)出院。出院后,患者因缺氧呼吸衰竭和胸痛
加重再次入院。
体格检查
就诊时生命体征值为呼吸频率24次/分,鼻导管吸氧(4L/min)下SpO2为91%,血压为118/74 mmHg,心率为104次/分。听诊右下肺未闻及呼吸音,伴中度呼吸窘迫,其他无明显异常。
辅助检查
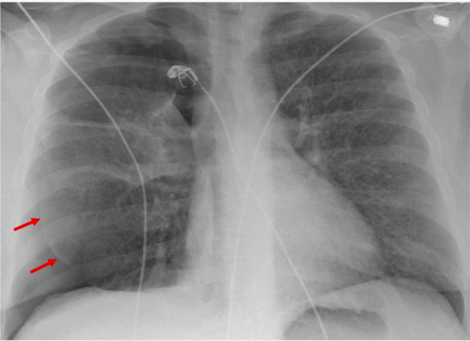
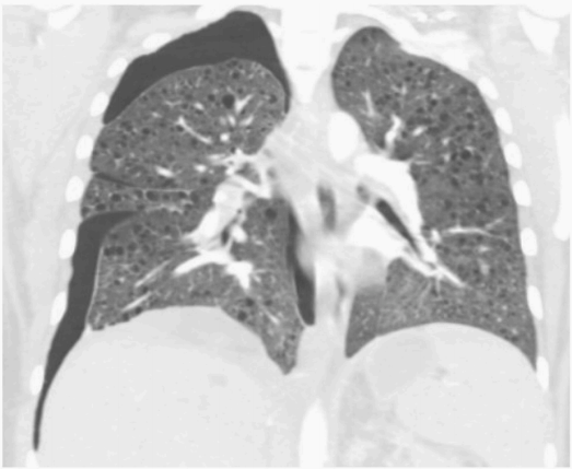
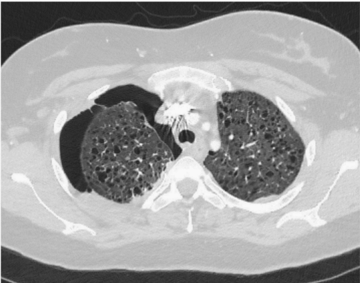
胸片显示右侧气胸,伴少量至中度积液(图1)。CT显示右侧大量气胸和同侧胸腔积液
(图2,3)。腹盆腔CT显示肝脏多发肿块,由脂肪密度组成,与肝血管平滑肌脂肪瘤及肾血管平滑肌脂肪瘤一致。右侧行胸腔穿刺,胸腔积液分析结果显示白细胞计数为4900/mm3(79%淋巴细胞),蛋白为4.7 g/L,乳酸脱氢酶为237 U/mL,甘油三酯为89 mg/dL。血管内皮生长因子-D(VEGF-D)浓度升高至4032 pg/ml。

图1 胸片显示中度右侧气胸(红色箭头)

图2 胸部冠状位CT显示右侧气胸伴双侧弥漫性囊肿和右侧少量胸腔积液

图3 胸部轴位CT显示右侧胸腔积液伴双侧弥漫性囊肿和右侧少量胸腔积液。

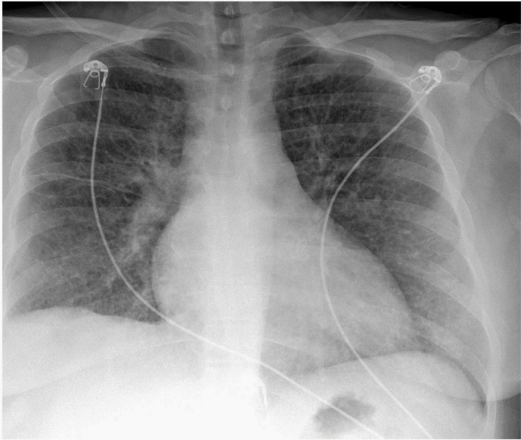
图4 胸膜固定术和拔管后四天的胸片提示右侧气胸消退
患者最终诊断为淋巴管平滑肌瘤病(lymphangioleiomyomatosis,LAM)。行胸廓造口术治疗气胸,随后对继发性自发性气胸行聚维酮碘
胸膜固定术(图4)。患者出院时成功拔除胸管,转至LAM中心接受进一步治疗。
病例讨论
淋巴管平滑肌瘤病(lymphangioleiomyomatosis,LAM)是一种罕见的、侵及全身多个系统的肿瘤性疾病,与肺部囊性破坏、乳糜性积液聚集、腹部肿瘤血管平滑肌脂肪瘤和淋巴管平滑肌瘤等有关。该病好发于育龄期女性,由平滑肌样LAM细胞异常增生引起,与结节硬化症(tuberous sclerosis complex,TSC)基因突变有关。具体可能与以下两种因素有关,TSC2/TSC1基因突变,突变基因可以导致哺乳动物雷帕霉素靶蛋白(mammalian target of rapamycin,m TOR)所介导的细胞信号通路持续活化,从而导致肺淋巴管平滑肌样细胞增生;本病主要在育龄期女性中发病,因雌激素
具有促进体细胞增生的作用,故在其发病、进展过程中雌激素可能起着重要作用。
临床上LAM常见的呼吸系统症状包括咳嗽
、气短、自发性气胸、乳糜胸、咯血
和胸痛等,多为隐匿起病。患者早期症状轻微,表现为活动后呼吸困难
,病程中可反复发生气胸和乳糜胸,常合并肾脏血管肌脂瘤等肺外表现,如本例。随着疾病的进展,肺功能进行性恶化,后期可发展为呼吸衰竭。
本病尚需与结节性硬化症
(tuberous sclerosis complex,TSC)、肺朗格汉斯细胞组织细胞增生症(pulmonary langerhans cell hyperplasia,PLCH)、其他引起呼吸困难类疾病(支气管哮喘
、肺间质纤维化)、囊性肺纤维化、肺气肿
等疾病相鉴别。其中最需要鉴别的疾病为PLCH,因两种疾病在胸部影像学上均可出现双肺多发囊腔改变;两者在流行病学上存在不同,LAM好发于育龄期女性,而PLCH好发于中青年男性吸烟者。
LAM的确诊需肺部影像学检查及临床症状符合特征性LAM表现(≥10个含气薄壁囊肿,囊肿之间界限清晰,肺容量增加或改变,其他肺部疾病无法解释)及合并以下任何一种:①肺组织病理结果符合LAM的诊断;②肾血管平滑肌脂肪瘤(AML)或淋巴管瘤有影像学检查或病理诊断依据;③胸腹腔乳糜积液;④已知或考虑的结节性硬化症;⑤VEGF-D≥800 pg/ml。
目前LAM确诊数量逐年增加,但临床治疗方法有限,包括雷帕霉素靶蛋白(mechanistic target of rapamycin,m TOR)抑制剂(西罗莫司
和依维莫司
)和肺部并发症对症治疗,以减缓肺功能下降。若有呼吸困难给予吸氧或支气管扩张剂治疗;若有并发症如气胸、乳糜胸,给予胸腔闭式引流治疗;而对于有适应证的一部分患者则需要接受肺移植
治疗。因复发性气胸和乳糜胸行手术或化学胸膜固定术在LAM患者中很常见,尽管学者认为这可能导致肺移植时并发症发生率较高,但一项小型回顾性研究表明并非如此。根据美国胸科学会(American Thoracic Society,ATS)指南,既往单侧或双侧胸膜手术(即胸膜固定术或胸膜切除术)史不是LAM患者肺移植的禁忌症。
结语
LAM较罕见,易被误诊及漏诊,治疗方法及效果尚不明确,应加强对本病的认识,提高其确诊率,早发现、早诊断、早治疗,延缓LAM患者肺功能损害,提高患者生存率及生活质量。
参考文献:
[1] Greenberg DJ, Sah A, Chopra A, Madisi N. A 24-year-Old woman with recurrent pneumothoraces. Respir Med Case Rep. 2024 Mar 27;49:102015.
[2] 成小亮,杨小东.淋巴管平滑肌瘤病治疗的研究进展[J].中国呼吸与危重监护杂志,2023,22(08):600-604.
[3] 杨渊,李森.肺淋巴管平滑肌瘤病一例并文献复习[J].临床医学研究与实践,2024,9(07):11-14.
[4] 苗田田,拉周措毛,侯枚珠.肺淋巴管平滑肌瘤5例报道及文献复习[J].中华肺部疾病杂志(电子版),2023,16(03):340-345.