
更强免疫•更长生存 | OS超4年!卡瑞利珠单抗为晚期多发转移食管癌患者带来长生存获益
近年来,以PD-1为主的免疫检查点抑制剂在食管癌
治疗领域掀起了高潮,为晚期食管癌患者带来了曙光。随着ESCORT、ESCORT-1st等多项临床试验的不断开展,免疫治疗已从晚期食管癌二线及以上治疗拓展至一线治疗,在多线应用中均展现出广阔的治疗前景,晚期食管癌患者的生存期得到显著提升。本期中国人民解放军联勤保障部队第九〇〇医院傅志超教授将分享一例经一线卡瑞利珠单抗
联合化疗以及二线靶向联合化疗后,三线治疗再次从卡瑞利珠单抗中获益的多发转移性食管癌患者,以期为免疫治疗跨线研究提供参考依据。
病例资料
基本信息:女,56岁。
主诉:进行性吞咽困难
1个月余。
现病史:患者于2019年9月无明显诱因出现进食吞咽困难。2019年11月,电子胃镜
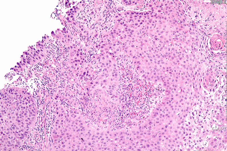
示:距门齿30cm处可见一不规则肿物,病灶占据管腔近1周,伴管腔狭窄,无法通过胃镜。病理示:食管中分化鳞状细胞癌。

图1 胃镜检查
图像(2019年11月)

图2 病理检查
图像
既往史:无特殊。
个人史及家族史:无烟酒史,余无特殊。
查体:左侧胸廓入口可触及一肿大淋巴结,质硬,无压痛,大小约5*3cm,部分融合成团。ECOG评分:1分。
辅助检查
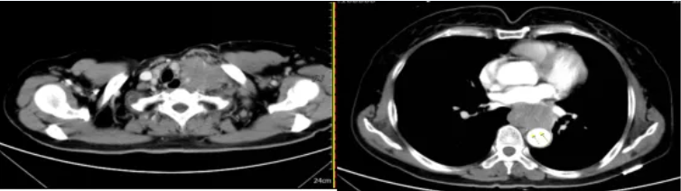
颈部、胸部增强(2019-11)CT示:
食管中下段不规则软组织肿块,考虑食管癌,伴纵隔内、左侧锁骨上、下窝及左侧腋窝、左侧颈根部及胸廓入口处多发肿大淋巴结,考虑转移瘤并侵犯食管上段。
颅脑MRI、全身骨显像
未见转移。

图3 颈部、胸部增强CT(2019年11月)
诊断
胸中下段食管鳞癌伴纵膈、腋窝淋巴结转移(cT4bN3M1,Ⅳb期)
诊疗经过
第一阶段:一线化疗联合免疫治疗+免疫维持治疗
2019年11月12日至2020年3月4日予“卡瑞利珠单抗 200mg d1/Q21d+紫杉醇
270mg d1+顺铂
115mg d1”方案免疫联合化疗6周期,疗效评价为部分缓解(PR)。
2020年3月25日至2021年2月23日行“卡瑞利珠单抗 200mg d1/Q21d”维持治疗17周期。
毒副反应:根据不良反应通用术语标准(CTCAE),毛细血管增生症(2级)、疲乏(1级)、外周神经毒性(1级)、骨髓抑制(2级)。
一线治疗无进展生存期(PFS):19个月。

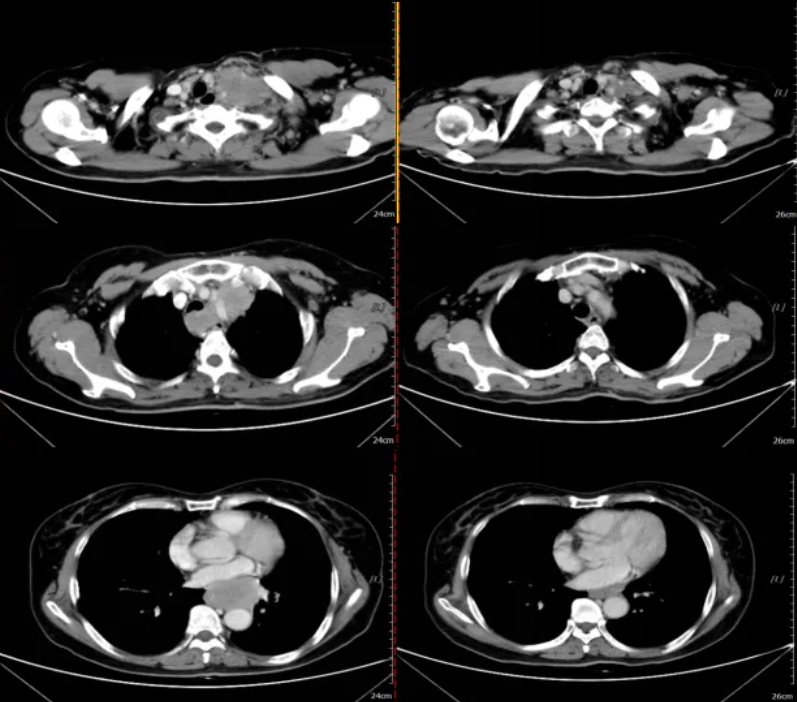
图4 一线治疗2周期后疗效评估为大PR(左:2019-11-7;右:2019-12-25)
第二阶段:二线抗血管生成靶向治疗+口服化疗
2021年3月16日复查CT提示:纵隔内部分淋巴结较前稍缩小,左侧腋窝部分淋巴结较前稍增大,左侧颈根部、左侧胸廓入口处多发淋巴结影,较前大致相仿。

图5 一线治疗后进展(左:2020-7-27;右:2021-3-15)
患者在大部分病灶控制良好的情况下,仅仅为局部淋巴结进展,考虑为寡进展。根据2021CSCO食管癌诊疗指南,推荐食管癌晚期二线予以“安罗替尼
10mg d1-d14+替吉奥 60mg bid d1-d14/Q21d”方案,即抗血管生成药物联合化疗10周期。末次治疗时间为2021年10月14日,患者自行停药后拒绝进一步治疗。疗效评价为PR。
毒副反应:按照CTCAE,疲乏(1级)、手足反应(1级)、骨髓抑制(1级)。
二线治疗PFS:14个月。

图6 二线治疗后疗效评价为PR(左:2021-3-15;右:2021-4-6)
第三阶段:局部放疗+化疗联合免疫治疗再挑战
2022年5月17日查颈部、胸部增强CT:食管中下段管壁稍增厚,较前大致相仿,左侧颈部、左侧胸廓入口处及左侧腋窝多发肿大淋巴结影,左侧胸廓入口处淋巴结较前大致相仿,余较前新增,考虑转移。疗效评价为疾病进展(PD)。

图7 左侧颈部、左侧胸廓入口、左侧腋窝CT示多发肿大淋巴结(2022-5-17)
2022年8月24日开始针对转移淋巴结行同步放化疗联合卡瑞利珠单抗治疗。姑息放疗:影像可见的左颈部及腋窝多发转移淋巴结为GTV,外放0.5cm为PGTV,95%PGTV:60Gy/30F/6w,左颈部Ⅱ、Ⅲ、Ⅳ、Ⅴ区淋巴结引流区为CTV,外放0.5cm为PCTV,95%PCTV:51Gy/30F/6w。放疗期间于2022年8月25日、2022年9月16日予“卡瑞利珠单抗 200mg d1/Q21D+白蛋白结合型紫杉醇 400mg d1+奈达铂
120mg d1”方案治疗2周期,疗效评价:PR。2022年11月至2023年4月行“卡瑞利珠单抗 200mg d1/Q21d”维持治疗8周期。
毒副反应:按照CTCAE,毛细血管增生症(1级),疲乏(1级)、外周神经毒性(1级)、骨髓抑制(1级)。
截至2024年7月1日的随访显示,目前患者疾病稳定,生活质量良好。
三线治疗PFS:至今(随访至2024年7月1日)15个月,仍在随访。

图8 放疗计划图(2022-8-23)

图9 CT评估示病灶明显缩小(左:2022-7-17;右:2022-12-6)
病例小结
患者为56岁女性,诊断为胸中下段食管鳞癌伴纵膈、腋窝淋巴结转移(cT4bN3M1,Ⅳb期)。患者一线采取紫杉醇加顺铂(TP)联合卡瑞利珠单抗治疗6周期,2周期治疗后疗效评价为大PR,随后进行卡瑞利珠单抗单药维持17周期,最长PFS达到19个月。卡瑞利珠单抗维持期间出现颈部淋巴结增大为特征的寡进展,二线治疗方案选择抗血管生成治疗联合口服化疗10周期,仍有较高的有效率,2周期治疗后疗效评价为PR,PFS为14个月,无明显不良反应。二线治疗结束7个月后,出现复发部位寡进展,再次给予局部放疗联合白蛋白紫杉醇加奈达铂和卡瑞利珠单抗的免疫再挑战,2周期后达到PR,取得了良好的效果,三线治疗PFS已超15个月。

病例点评

食管癌已是全球范围内常见的恶性肿瘤之一,据统计,我国2022年新发食管癌病例达22.4万1,部分患者发现时已出现远处转移。近年来随着免疫治疗的发展,化疗联合免疫治疗已经成为晚期食管癌的标准一线治疗2。2024 ASCO年会上,ESCORT-1st研究的最终分析结果重磅更新3,并随后发表于Cell Press旗下期刊Med(IF=17.0)上4。该研究旨在比较卡瑞利珠单抗联合化疗和单纯化疗一线治疗转移性或晚期食管鳞癌的疗效,研究结果显示,相比单纯化疗组,卡瑞利珠单抗联合化疗组显著改善了全人群的中位总生存期(OS)(15.6个月 vs.12.6个月,HR=0.70,95%CI:0.58-0.84,P<0.0001);3年OS率达25.6% vs. 12.8%;研究者评估的中位PFS为7.6个月vs. 5.8个月(HR=0.54,95%CI:0.45-0.65,P < 0.0001);2年PFS为 20.4% vs 3.4%;客观缓解率(ORR)分别为72.1%和62.1%。卡瑞利珠单抗联合化疗组2年持续缓解时间(DoR)率达23.2%,是对照组(4.5%)的5倍有余,安全性可控4。本例为Ⅳb期晚期食管癌患者,给予TP联合卡瑞利珠单抗免疫治疗,获得了良好的效果,一线PFS达到19个月。
然而晚期食管癌一线免疫治疗失败后的治疗效果仍然很差,暂无优效的二线治疗方案,其中抗血管靶向药物值得进一步探索。Huang等人开展的Ⅱ期临床研究中,ALTER1102试验评估了安罗替尼在一线治疗失败的IV期食管癌患者的疗效与安全性,安罗替尼组的中位无进展生存期(mPFS)较安慰剂组明显延长(3.02个月 vs. 1.41个月,P<0.0001)5。基于此研究,安罗替尼被2019年CSCO食管癌诊疗指南推荐为二线及以上晚期食管鳞癌患者的治疗6。汪超等人的研究表明一线治疗进展后的晚期食管癌患者使用安罗替尼联合替吉奥方案较替吉奥单药治疗有较高的mPFS(5.6个月vs. 1.4个月 P<0.05),且仅1例患者出现3级手足皮肤反应延长治疗间隔时间7,可见患者对“安罗替尼联合替吉奥”有较好的耐受性。抗血管靶向治疗联合化疗可作为一线治疗失败的晚期食管鳞癌的选择方案。本例晚期食管鳞癌患者肿瘤进展后二线治疗使用“安罗替尼联合替吉奥”方案的PFS为15个月。
传统的观点认为,食管癌治疗进展后大部分只能依赖全身治疗,往往忽视局部治疗的必要性。本例晚期食管癌患者多线治疗后出现寡进展,此时局部治疗的干预对临床预后较好,且局部治疗手段及时机尤为重要。放疗可将肿瘤转化为原位疫苗,从而释放出新抗原,通过诱导免疫原性细胞死亡来增强抗肿瘤的辅助效应,同时,放疗与免疫治疗联合会增加肿瘤新抗原的多样性和数量8,在免疫治疗继发耐药后,放疗有可能通过上述机制进行逆转。因此免疫治疗寡进展后,在原免疫治疗联合化疗的基础上加用局部放疗,仍然是较为有效的方案之一。本患者在局部病灶进展后予以局部放疗联合化疗和卡瑞利珠单抗,2周期后疗效评价为PR,免疫耐药再挑战三线PFS已达15个月,目前仍持续获益中。这一疗效数据可能与上述理论相吻合,该疗法值得进一步探索。目前已有部分关于放疗方案及剂量与免疫治疗的研究正在进行,如纳武利尤单抗
联合高剂量近距离放疗(16Gy/2F)的疗效研究(NCT02642809),以及帕博利珠单抗
联合30Gy常规分割放疗应用于转移性胃食管癌患者的Ⅱ期试验(NCT03544736),未来有望进一步应用于临床。
整体而言,本次病例患者的治疗过程及预后令人欣喜和鼓舞,免疫治疗已成为晚期食管癌患者有效且安全的治疗选择,为晚期ESCC患者带来长生存获益,在此基础上,如何将免疫治疗与抗血管靶向治疗、放疗、化疗等其他治疗手段有机结合,形成有序的治疗策略,将是治疗成功与否的关键。
参考文献:
1.Ferlay J, Ervik M, Lam F, et al. Global Cancer Observatory: Cancer Today. Lyon, France: International Agency for Research on Cancer. Available from: https://gco.iarc.who.int/today, accessed [26 June 2024].
2.2024 CSCO食管癌诊疗指南.
3.Luo H, Lu J, Bai Y, et al. Final analysis of the randomized phase 3 ESCORT-1st trial: Camrelizumab plus chemotherapy as first-line treatment for advanced or metastatic esophageal squamous cell carcinoma. 2024 ASCO Abstract 4055.
4.He M, Wang Z, Lu J, et al. Final analysis of camrelizumab plus chemotherapy for untreated advanced or metastatic esophageal squamous cell carcinoma: The ESCORT-1st trial. Med. Published online June 6, 2024.
5.Huang J, Xiao J, Fang W, et al. Anlotinib for previously treated advanced or metastatic esophageal squamous cell carcinoma: A double-blind randomized phase 2 trial. Cancer Med. 2021;10(5):1681-1689.
6.2019 CSCO食管癌诊疗指南.
7.汪超,童斯浩,肖鑫,等.安罗替尼联合替吉奥二线治疗晚期食管癌的疗效及安全性[J].安徽医学,2020,41(12):1411-1414.
8.乔辉,宋文刚,万龙,等.放疗联合免疫治疗的相关机制及研究进展[J].中华放射肿瘤学杂志,2019,(8):634-637.