
神经纤维瘤病Ⅱ型合并延髓区神经鞘瘤,脑膜瘤及颈髓室管膜瘤1例
作者:宋照明,陈莹,陈周青,王中,苏州大学附属第一医院神经外科;陆小军,苏州大学附属太仓医院神经外科
患者,女,28岁,于2022年8月11日因“右上肢乏力伴左上肢麻木1年余,加重1个月”入院。2015年患者因“双侧听力下降2年余”就诊于我院,诊断为神经纤维瘤病Ⅱ型(NF2),行右侧听神经瘤及枕骨大孔占位切除术。
术后病理示:右侧桥小脑角区神经鞘瘤,枕骨大孔脑膜瘤
,波形蛋白(vimentin)弥漫阳性,上皮膜抗原(EMA)、孕激素
受体(PR)(散在+),Ki-67(+),胶质纤维酸性蛋白(GFAP)、S-100(-)。患者于2021年始自觉右上肢乏力,抬手困难,伴有左手拇指及虎口麻木,遂就诊于我院门诊。
颈椎MRI提示:脊神经增粗,椎管及双侧椎间孔见多发大小不等异常信号,较大者大小约为30mm×10mm,增强可见明显强化。患者既往无高血压、糖尿病、心脏病病史。否认有肝炎、结核等传染病史。否认毒物、放射性物质接触史。否认烟酒嗜好。患者母亲、姑姑均患有NF2。
入院查体:血压103/84mmHg,心率78次/分,神志清,言语正常,对答切题。双侧瞳孔等大等圆,对光反射灵敏,眼球活动可。右侧面瘫,右上肢抬手困难,左拇指及虎口区麻木,余肢体活动可,肌张力不高。心率齐,各瓣膜未闻及杂音。双肺呼吸音清,未闻及啰音。
头颅MRI示:大脑镰走形区域、脑表面、双侧桥小脑角及双侧中颅窝颅底多发占位,伴双侧内听道累及、双侧海绵窦侵犯、上矢状窦侵犯(图1A)。颈椎MRI示:椎间隙未见明显变窄,脊神经增粗,椎管及双侧椎间孔见多发大小不等异常信号,T1呈等信号,T2呈高信号,信号欠均匀,较大者大小约为30mm×10mm,增强可见明显强化(图1B)。入院诊断为NF2。
患者入院后完善相关辅助检查,排除手术禁忌证后在全身麻醉下取枕下后正中入路行延髓占位及颈椎髓内占位切除术。术中可见枕骨大孔水平肿瘤从左、右分别挤压延髓,右侧肿瘤附着于硬脑膜,血供丰富考虑为脑膜瘤。左侧肿瘤表面光滑,质地稍韧,与脑膜无明显粘连,考虑神经鞘瘤。向下探查脊髓C4~C5,可见肿瘤质地软,边界尚清,血供一般,考虑为室管膜瘤。
术后转入神经外科重症监护室继续治疗,头颅CT未见术区明显出血,肿瘤切除满意(图1C)。肿瘤组织病理证实左侧延髓占位为神经鞘瘤,右侧延髓占位为脑膜瘤(图1D)。免疫组化示:CD34(血管+),结蛋白(desmin)(-),平滑肌肌动蛋白(SMA)(灶+),EMA(部分+),Ki-67(4%+),PR(部分+),GFAP(-),S-100(部分+)(图1E),CD56(部分+),WT1(-),促生长素抑制蛋白受体2(SSTR2)(部分+),信号转导和转录激活因子6(STAT6)(-)。
颈椎髓内占位为室管膜瘤,免疫组化示:p53(+),表皮生长因子受体(-),S-100(散在+),vimentin(+),少突胶质细胞转录因子2(-),异柠檬酸脱氢酶
1(-),O6-甲基鸟嘌呤-DNA-甲基转移酶(+),神经元核抗原(-),微管关联蛋白2(部分+),α-地中海贫血
/X连锁智力低下综合征(+),组蛋白H3第27位赖氨酸
三甲基化(-),突触素(-),CD34(血管+),desmin(-),SMA(-),EMA(-),Ki-67(2% +),PR(-),GFAP(部分+),S-100(+),CD56(+),WT1(少量弱+),SSTR2(-),STAT6(-)。患者术后恢复良好,遵医嘱出院。


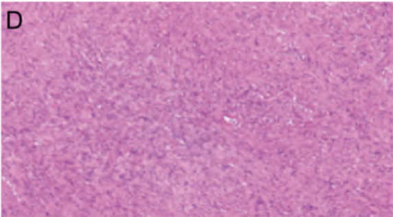
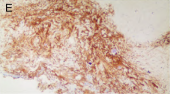
图1 患者术前及术后影像学、病理结果。A. 术前头颅 MRI 增强图像,可见双侧桥小脑角及双侧中后颅窝颅底明显强化,强化多均匀;B. 术前颈椎 MRI 增强图像,可见椎管及双侧椎间孔内多发大小不等异常信号,星明显强化,较大者大小约30 mm× 10mm;C. 术后头颅CT平扫
,术区无明显出血,肿瘤切除满意;D. 右侧延髓肿瘤组织病理结果(HE染色 x100);E. 延髓肿瘤组织S-100 免疫组化结果(x100)。
讨论
NF2是一种常染色体
显性遗传病,发病率约为五万分之一。临床上多以双侧前庭神经鞘瘤为主要特征性表现,但仍有部分NF2患者会出现其他中枢神经系统良性肿瘤。NF2患者常常面临听力丧失、神经功能受损、寿命缩短等问题,且发病年龄越早,预后越差。
目前对于NF2的临床研究及报道多集中在双侧听神经瘤上,对合并其他中枢神经系统肿瘤鲜有报道。本研究对我院1例NF2合并延髓区神经鞘瘤、脑膜瘤及颈髓室管膜瘤进行报道,为今后临床诊治提供一定帮助。NF2作为一种起源于神经鞘膜层的中枢神经系统病变,常表现为双侧听神经瘤或单侧听神经瘤伴有神经纤维瘤、脑膜瘤或胶质瘤等。这是由于染色体22q12.2发生基因突变,阻断了信号传导通路而发病。
有研究显示,目前NF2基因突变类型已超过200种,而NF2的严重程度也与其突变所在的外显子区域相关。病理变化主要为外胚层结构和神经组织的过度增生和肿瘤形成。目前对于NF2的诊断根据1987年美国国立卫生研究院会议确定的诊断标准:(1)MRI或CT证实存在双侧听神经瘤;(2)患者一级直系亲属患NF2,患者有单侧听神经瘤;(3)患者至少有以下病变中的2种:神经纤维瘤、脑膜瘤、胶质瘤、神经鞘瘤、后囊下晶状体混浊;满足上述标准任意1条,结合临床及影像学检查即可诊断为NF2。
在本研究中,患者既往有双侧听神经瘤病史,且有NF2家族史,符合NF2诊断标准。NF2患者多以双侧听神经瘤发病为特征性表现,也常合并其他神经系统肿瘤、视力
下降、皮肤相关病损等。其中,约50.0%患者合并脑膜瘤,约27.8%的患者合并神经源性肿瘤,仅约16.6%的患者合并脑膜瘤及神经源性肿瘤。
脑膜瘤是一种具有脑膜细胞分化的组织学、超微结构和免疫表型的细胞增殖导致的神经源性肿瘤,具有广泛的组织学表现和遗传畸变。与NF2相关的脑膜瘤最常发生在幕上区域的额叶、顶叶和颞叶及大脑镰,其次为椎管、脑室和视神经鞘,前颅底和中颅底的脑膜瘤较少出现。室管膜瘤是一种来源于脑室与脊髓中央管的室管膜细胞或脑内白质室管膜细胞巢的中枢神经系统肿瘤。33%~53%的NF2患者合并室管膜瘤,最常累及脊柱后窝和颈髓区,多为多发性脊髓室管膜瘤,呈珍珠样沿脊髓和马尾分布。
本病例患者颅内及椎管内多发占位,其中颈椎椎管内及延髓区占位考虑与患者此次就诊症状有关。术后病理提示为延髓区神经鞘瘤、脑膜瘤和颈椎髓内室管膜瘤。NF2患者延髓区发生脑膜瘤较为少见,该病例患者同时合并延髓区神经鞘瘤、脑膜瘤及颈椎髓内室管膜瘤,此病例更为少见。
NF2作为一种基因突变导致的全身性遗传疾病,发生肿瘤的风险明显高于正常人,目前尚无根治该病的方法,主要治疗策略为手术治疗和放射治疗。开颅手术可切除部分影响患者功能的肿瘤,改善患者生活质量,但多次手术会为患者带来一定的术后并发症。
近年来,随着放射治疗如伽马刀技术的不断进步,研究表明在治疗NF2合并脑膜瘤上,伽马刀放射治疗较传统手术治疗具有一定的优势,可减轻术后并发症,肿瘤切除也较为满意。有研究表明,表皮生长因子受体酪氨酸激酶抑制剂埃克替尼
在治疗NF2也有一定的效果。但目前药物治疗NF2效果仍有其局限性,特别是药物使用后的不良反应还需更多的临床试验进一步验证。本病例采取手术治疗策略,患者术后恢复良好。
综上所述,NF2是由于基因突变导致的遗传性疾病,根据其外显子突变的不同,患者的临床表现也不同,在临床诊断中需格外注意。本病例为少见的NF2合并延髓区神经鞘瘤、脑膜瘤及颈髓室管膜瘤,通过此报道,为NF2今后的临床诊疗提供思路。
来源:宋照明,陈莹,陈周青等.神经纤维瘤病Ⅱ型合并延髓区神经鞘瘤、脑膜瘤及颈髓室管膜瘤1例[J].江苏医药,2023,49(10):1079-1081.