罕见部位原发中枢神经系统淋巴瘤1例

来源:临床神经病学杂志 2025.03.25
我要投稿

作者:杨雪坤,王业鹏,潘盼,李晓红,山东第一医科大学附属中心医院

 

原发CNS淋巴瘤(PCNSL)临床少见,诊治困难,临床上易漏诊、误诊。PCNSL好发部位70%~80%位于幕上,如大脑半球(尤其额叶、颞叶)深部脑白质、丘脑/基底节区、胼胝体和脑室周围,少数累及后颅窝、软脑膜和脊髓,极个别位于脑室内,鞍区为其罕见好发部位。现将我院收治1例鞍区PCNSL患者报道如下。

 

1. 病例

 

患者,女,65岁,因“头痛13 d, 加重伴右眼视物不清1 d”于2022年8月31日入院。患者入院前13 d开始出现右侧额颞部头痛,为持续性跳痛,程度较轻,1 d前头痛较前加重,伴右眼视物不清,恶心、呕吐,至我院神经内科门诊就诊,为系统诊治收入病房。既往有“高血压病”、“冠心病”病史,口服药物治疗,否认糖尿病病史。

 

入院查体:神清,语利,双侧瞳孔等大、等圆,右眼眼睑下垂,右眼球下视障碍,右眼视力下降,右侧瞳孔直接对光反射减退,间接对光反射灵敏,左侧瞳孔及光反射正常,未及眼震。双侧鼻唇沟对称,伸舌不偏,四肢肌力Ⅴ级,四肢肌张力正常。腱反射(++),Babinski征双侧(-),感觉、共济无异常,脑膜刺激征(-)。

 

辅助检查:皮质醇(08:00)59.87 nmol/L(正常值166~507 nmol/L),皮质醇(16:00)91.00 nmol/L(正常值73.8~291 nmol/L),生长激素0.93 ng/mL(正常值0.126~9.88 ng/mL),催乳素26.19 ng/mL(正常值4.79~23.30 ng/mL),促甲状腺激素0.191 mIU/L(正常值0.27~4.20 mIU/L),促肾上腺皮质激素(16:00)2.29 pmol/L。

 

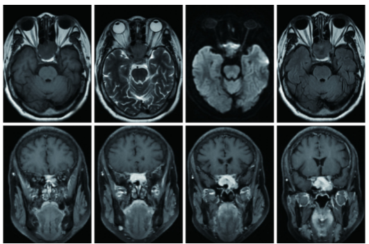
血细胞分析、C反应蛋白、红细胞沉降率、降钙素原、凝血常规、血电解质、肝肾功能、血清肌钙蛋白T测定、血清乳酸脱氢酶、β2-微球蛋白、HIV抗体/抗原等未见明显异常。头颅CT示鞍区稍低密度影,考虑占位性病变;头颅MRI示蝶窦内异常信号,建议副鼻窦强化扫描,MRA示脑动脉硬化,MRV未见异常;垂体MRI示鞍区占位累及海绵窦及蝶窦;鼻窦增强MRI示T1WI呈等信号,T2WI呈等信号,DWI呈稍高信号,Flair呈等信号,增强扫描后可见明显强化,累及两侧海绵窦,鞍底塌陷,正常垂体未见显示,双侧上颌窦、蝶窦粘膜增厚,明显强化,考虑垂体大腺瘤(图1)。

 1.png

图1 患者鼻窦MRI检查结果

 

入院后,患者头痛及右眼视物不清较前加重,伴右眼胀痛、鼻腔干燥不适。综合考虑诊断为鞍区占位,无功能垂体大腺瘤可能性大。给予止痛、改善循环、营养神经、减轻脑水肿等对症治疗。因患者视力进一步减退,右眼手动30 cm,左眼视力较前下降,故行垂体肿瘤切除术,术后头痛较前缓解,左眼视物较前清晰。

 

术后病理学检查结果符合弥漫大B细胞淋巴瘤,非生发中心源,免疫组化示CD20(+),CD79a(+),Ki-67(+,90%),Bcl-6(+),Bcl-2(+),CD3(-),CD5(-),C-Myc(+,约40%),CD30(-),MUM-1(+),CD10(-),CD15(-),CD21(部分弱+),S-100(-),EB病毒编码的小RNA(EBER)原位杂交检测结果为阴性(图2)。

 1730591632844093.png

图2 术后病理学检查结果。A:HE染色可见肿瘤细胞密集排列(×200);B:免疫组化染色示CD20(+)(×200);C:免疫组化染色示CD79a(+)(×200);D:免疫组化染色示Ki-67(+,90%)(×200)。

 

诊断:PCNSL。2022年9月19日行PET-CT示鞍区占位术后10 d,提示鞍区、右上颌窦病变均为活动性淋巴瘤病灶:全身多骨骼/骨髓浸润不能除外。18F-脱氧葡萄糖PET-CT全身检查(颅脑至股上段)无其他明显异常发现。2022年9月21日行骨髓穿刺示骨髓增生活跃,骨髓象未见明显异常,骨髓活检示骨髓增生大致正常,粒红巨三系造血细胞增生,未见淋巴细胞明显异常,免疫分型报告示淋巴细胞占有核细胞的6.28%,B细胞占有核细胞的1.31%,表型未见明显异常。

 

2022年9月23日行腰椎穿刺示CSF中未见淋巴细胞,并给予鞘内注射,具体为甲氨蝶呤10 mg+阿糖胞苷50 mg+地塞米松5 mg; 2022年9月24日行利妥昔单抗-来那度胺(R2)+大剂量甲氨蝶呤(HD-MTX)方案化疗,同时给予营养心肌、护胃、止痛、亚叶酸钙解救等药物治疗。

 

2022年9月28日出院,院外继续口服来那度胺25mg/d×10 d,定期住院化疗。患者分别于2022年10月22日、2022年11月21日返院化疗,头痛较前缓解,病情稳定。2022年11月17日复查头颅增强MRI示鞍区术后,蝶窦内见片状长T1、T2信号,增强扫描未见明显强化。

 

鞍区可见占位性病变,累及海绵窦及蝶窦,T1WI呈等信号,T2WI呈等信号,DWI呈稍高信号,Flair呈等信号,增强扫描后可见明显强化,累及两侧海绵窦,鞍底塌陷,正常垂体未显示,双侧上颌窦、蝶窦粘膜增厚,明显强化。

 

2. 讨论

 

PCNSL是一种罕见的原发结外非霍奇金淋巴瘤亚型,约占全部非霍奇金淋巴瘤的1%,弥漫大B细胞淋巴瘤是其最常见的病理类型。PCNSL临床罕见,年发病率为0.005‰。近年来,PCNSL发病率呈逐年上升趋势,特别是在老年人中。PCNSL病情发展迅速,数周内即可出现神经系统症状,包括局灶性神经系统缺陷(56%~70%)、精神状态及行为改变(32%~43%)、颅内压升高的症状(32%~33%)、癫痫发作(11%~14%)。

 

PCNSL临床表现缺乏特异性,首发症状多与肿瘤生长部位和范围有关。本例患者急性起病,病情进展迅速,早期出现颅内压升高的表现,随后出现视觉症状,符合PCNSL的临床表现。

 

当患者出现神经系统症状时应接受诊断性脑部影像学检查,MRI是首选的成像方式。PCNSL影像学表现为孤立性病变或多灶性病变。PCNSL病变在T1WI图像上呈等信号至低信号,在T2WI图像上呈等信号至高信号,并均匀增强。病灶通常仅被中等程度的水肿包围,并且经常局限于弥散加权图像上。

 

病灶强化形态多样,典型强化形态可为脐凹征、缺边征(亦称咬征)、劈裂征、马蹄征、鼠尾征、握拳征、尖角征、蝶翼征及卫星征等。本例患者病灶较大且位于鞍区,受周围组织挤压,影像学形态不典型。立体定向或者开放性脑活组织检查为临床诊断PCNSL的金标准。

 

由于糖皮质激素可造成病灶缩小而影响诊断,患者接受脑活组织检查前,应避免使用糖皮质激素。当患者无法进行上述检查时,可完善CSF细胞学及流式细胞术检查。本例患者由于视力进一步下降,遂行手术切除肿瘤,术后症状较前缓解。

 

PCNSL目前缺乏标准治疗方案,手术切除一般仅限于立体定向活检及紧急解除压迫。全脑放射疗法也因其产生的神经毒性不被大多数医生所选择。HD-MTX为主的联合诱导化疗已广泛应用于临床。

 

研究表明,R2治疗PCNSL表现出显著的活性。这一研究成果支持R2联合HD-MTX为基础的化疗作为PCNSL一线治疗的疗效评估。本例患者采用R2联合HD-MTX方案化疗,头痛较前减轻,视力有所好转,2个月后复查未见复发,目前病情稳定。

 

综上所述,鞍区PCNSL临床罕见,在鞍区占位中,最常见的病因为垂体瘤,其次为脑膜瘤、颅咽管瘤、生殖细胞瘤、脊索瘤、Rathke囊肿,PCNSL属于鞍区占位的罕见病因。且此病例影像学形态不典型,故而易误诊、漏诊,确诊主要依据组织病理学检查结果,通过多学科协作可提高其诊治率。

 

来源:杨雪坤,王业鹏,潘盼,等.罕见部位原发中枢神经系统淋巴瘤1例[J].临床神经病学杂志,2024,37(02):135-137.