牙龈弥漫性大B细胞淋巴瘤2例

来源:华西口腔医学杂志 2025.04.09
我要投稿

作者:李国莉,娄镜,谭娜,郑洪,遵义医科大学附属医院病理科

 

恶性淋巴瘤(malignant lymphoma,ML)是一种原发于淋巴系统的恶性肿瘤,可以分为霍奇金淋巴瘤(Hodgkin’s lymphoma,HL)和非霍奇金淋巴瘤(non-Hodgkin’s lymphoma,NHL)两大类。其中弥漫性大B细胞淋巴瘤(diffuse large B-cell lymphoma,DLBCL)是NHL中最常见的类型,也是口腔原发性淋巴瘤中最常见的类型。

 

发生在口腔颌面部的恶性肿瘤中,鳞状细胞癌居首位,占比高达80%以上,而ML占比不足5%,牙龈的NHL更为少见。牙龈NHL临床特点以黏膜肿块或溃疡伴疼痛为主,并不以淋巴结肿大为首发症状,因此在临床上常被误诊及误治。本文报道了2例以牙龈病变为首发症状的DLBCL,并结合国内国外2008—2023年间报道的21例牙龈DL-BCL的文献,分析其临床病理特征、诊断、治疗及预后,强调常规牙科治疗无法改善口腔疾病时,需警惕该疾病。

 

1.病例报告


1.1 病例1

 

患者1,79岁,因“右下颌牙龈痛性溃疡1个月”就诊,在右下颌牙龈黏膜面舌侧见一约1.0 cm×1.5 cm溃疡面,表面见白色假膜,触痛。双侧下颌区、头颈部、腋窝及腹股沟均未扪及肿大淋巴结。下颌骨CT平扫+增强示:软组织稍增厚。

 

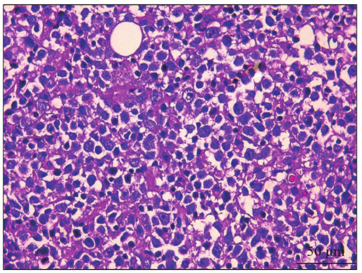
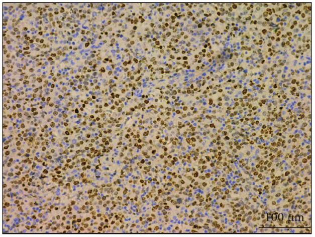
局部麻醉下取活检,苏木精-伊红(hematoxy-lin-eosin,HE)染色镜下见黏膜鳞状上皮内及下中等大至大的肿瘤淋巴细胞弥漫性生长(图1),胞质少,胞质嗜碱性、双嗜性,细胞核为卵圆形、圆形,有2~4个核仁贴近核膜,呈中心母细胞样细胞;免疫组织化学示肿瘤细胞CD20、B细胞特异性激活蛋白(paired box protein pax-5,PAX-5)、CD79a均弥漫阳性,Ki-67增殖指数约90%,CD10(图2)、Bcl-6、多发性骨髓瘤致癌蛋白(multiple myeloma oncogene 1,MUM-1)均阳性,呈生发中心B细胞型(germinal center B-cell,GCB),细胞角蛋白(cytokeratin,CK)、CD3、CD5、CD-30、CD138、周期素D1 (Cyclin D1)均阴性;荧光原位杂交技术(fluorescence in situ hybridzation,FISH)检测组织中骨髓细胞瘤病毒癌基因(cellu-lar-myelocytomatosis viral oncogene,c-MYC)表达(图3):肿瘤细胞内存在2个黄色信号或2个紧密相邻的红绿信号,提示c-MYC基因未发生断裂。

 

病理诊断:DLBCL。

 1731309589869000.png

图1 病例1的HE染色图×100。

 1731309608737253.png

图2 病例1的免疫组织化学染色图En Vision×200

 1731309622351695.png

图3 病例1的FISH基因检测结果

 

患者因年龄及全身状况差,未行手术及放化疗,病理诊断1年后死亡。

 

1.2 病例2

 

患者2,83岁,因“发现右侧上颌牙龈有一逐渐增大的蚕豆大小包块3月”就诊,在右侧上颌牙龈见一5 cm×3 cm大小包块,无明显触痛,轻微渗血,右侧面部膨隆,全身表浅淋巴结未扪及肿大。

 

局部麻醉下取活检,HE染色镜下肿瘤淋巴细胞弥漫性生长,细胞大或中等大小,缺乏黏附性,胞质丰富,嗜碱性,可见中位核仁,呈免疫母细胞样细胞(图4);免疫表型:肿瘤细胞CD20、PAX-5、CD79a均弥漫阳性,Ki-67增殖指数约90%,CD10阴性,Bcl-6(图5)、MUM-1阳性,呈活化B细胞(activated B-cell-like,ABC)型,Bcl-2(>80%阳),c-MYC (>40%阳),CK、CD3、CD-5、CD30、CD21、Cyclin D1均阴性;原位杂交EB病毒编码的小RNA (Epstein-Barr virus encoded RNAs,EBER)阴性,c-MYC分离探针FISH检测结果(图6)显示:肿瘤细胞内存在2个黄色信号或2个紧密相邻的红绿信号,提示c-MYC基因未发生断裂。

 1731309642728010.png

图4 病例2的HE染色图×400

 1731309656369591.png

图5 病例2的免疫组织化学染色En Vision×200

 1731309673148982.png

图6 病例2的FISH基因检测结果

 

病理诊断:DLBCL。

 

病理诊断1个月后死亡,未行手术及放化疗。

 

2. 讨论

 

DLBCL是成人中最常见的淋巴造血系统恶性肿瘤,具有高度侵袭性及异质性,是NHL中最常见的类型。结外NHL最常发生于胃肠道,高达40%,其次好发于头颈部,其中大多数病例发生在咽淋巴环,此外,2%~3%的淋巴结外病例可能发生在口腔和颌骨。口腔牙龈NHL是少见的,仅占所有部位NHL的0.6%,在牙龈病变中,上颌牙龈比下颌牙龈受累更常见。

 

查阅相关文献可见,2008—2023年发生于口腔牙龈的DLBCL有21例,报道具体病变部位的有8例,其中发生在上颌牙龈有5例,发生在下颌牙龈有3例,本文2例分别发生在上牙龈和下牙龈。这23例患者的平均年龄65.7岁,男女比例为1.56∶1。Kemp等报道口腔NHL的平均年龄为71岁,男女比例为1.36∶1,显示牙龈DLBCL好发年龄和性别与口腔NHL相仿。DLBCL可由低度恶性的B细胞淋巴瘤转变而来,尽管DLBCL不被认为是一种遗传性疾病,但全基因组研究已经确定了多个遗传易感位点。

 

原发于口腔牙龈的DLBCL可能与免疫功能有一定关系,据报道,一名81岁男性患者长期服用免疫抑制剂(甲氨蝶呤),口腔牙龈出现不愈合溃疡,活检诊断DLBCL,本文报道的两例患者并未服用免疫相关性药物。

 

DLBCL患者通常表现为淋巴结无痛性进行性肿大,大约30%的患者出现B症状(即发烧、体重减轻、盗汗),综合分析文献报道的21例病例及此次报道的病例,可以发现,在牙龈的DLBCL主要表现为牙龈溃疡及肿物,部分患者伴有疼痛,虽然这些病例报道有个别文章在讨论中提及了B症状,但患者均无B症状表现。

 

口腔NHL缺乏特定的影像学特征,CT影像学检查主要表现为弥漫性骨质破坏,作为口腔NHL最常见的DLBCL,牙龈DLBCL的CT影像学主要表现为软组织增厚。

 

DLBCL是一种具有侵袭性的恶性肿瘤,根据2008年世界卫生组织分类,DLBCL在病理形态学上可分为中心母细胞型、免疫母细胞型、间变细胞型等类型。DLBCL的肿瘤细胞表达广谱B细胞标记物(CD20、PAX5、CD79a),部分病例表达CD10、Bcl-6、Bcl-2、MUM-1,少数病例表达CD-43、CD30、c-MYC。

 

Hans等用组织芯片免疫组织化学方法从细胞起源方面确认,DLBCL可分为2个主要的分子亚型,包括GCB型和ABC型,当CD10单独阳性或与Bcl-6同时阳性,则认为是GCB来源;当CD10和Bcl-6都阴性,则认为是ABC来源;当CD10阴性Bcl-6阳性时,如果MUM-1阴性则为GCB,反之则为ABC。回顾分析这21例患者,可进行hans分型有19例,其中GCB型有6例,ABC型有13例,本文报道的2例分别为GCB型及ABC型。

 

口腔牙龈淋巴瘤发病率低,临床表现类似口腔牙龈常见的良性增生性病变,临床医师在诊治过程中可能会误诊及误治,错过最佳治疗时机。Ürün等报道了1例患者因牙龈疼痛就诊,拔掉牙齿,最终症状恶化,活检后诊断DLBCL。FlatowTrujillo等因牙齿松动行根管治疗及抗生素治疗4个月后,活检诊断为DLBCL。

 

Tetik等因诊断根尖周炎,通过抗炎治疗1个月后,没有任何改善,最终活检后诊断DLBCL。周武等报道了1例结内结外型并发淋巴瘤误诊为牙龈癌转移,行肿块切除术及淋巴结清扫,术后病理诊断DLB-CL。DLBCL是一种排除性诊断,世界卫生组织第5版淋巴造血系统肿瘤分类中将大B细胞淋巴瘤(large B-cell lymphomas,LBCL)分成17个特殊类型的LBCL及DLBCL非特殊类型,诊断DLBCL非特殊类型时首先要排除17个特殊类型的LBCL,包括独特解剖部位、分子或免疫表型分类的LB-CL,如果排除了这些特定的LBCL,则诊断DLB-CL非特殊类型是合适的。

 

DLBCL需要和以下疾病相鉴别:1)鳞状细胞癌是一种口腔牙龈最常见的恶性上皮性肿瘤,肿瘤细胞排列成片状或岛状,低分化鳞状细胞缺乏角化及细胞间桥,免疫组织化学表达上皮分化的标记CK可鉴别;2)高级别B细胞淋巴瘤(highgrade B-cell lymphomas,HGBL)是一组具有高度侵袭性的LBCL,世界卫生组织将具有c-MYC和Bcl-2双重重排以及高级别形态的HGBL更改为DLBCL/HGBL伴c-MYC和Bcl-2重排,将具有cMYC和Bcl-6双重排以及高级别形态的肿瘤指定为HGBL非特指型或DLBCL非特指型。

 

本文报告的2例病例组织学上虽然具有高级别的细胞形态,其中83岁患者Bcl-2 (>80%阳),c-MYC (>40%阳),但c-MYC分子重排结果阴性,排除HGBL;3)伯基特淋巴瘤起源于生发中心或生发中心后B细胞,与c-MYC基因和EB病毒感染密切相关的高度侵袭性成熟B细胞淋巴瘤,79岁患者虽然有表达生发中心CD-10、Bcl-6的标记,且Ki67指数高达90%,但组织学上缺乏星空现象,其中83岁患者原为杂交EBER阴性,两例患者均未显示cMYC分子重排,因此排除伯基特淋巴瘤;4)间变LBCL是一类CD30阳性的NHL,好发年龄30岁左右,组织学形态常会出现一些不同比例的大细胞,细胞核偏心呈马蹄形或肾形,T细胞标记物(CD2、CD3、CD5)阳性,但本文2例患者年龄较大,病理组织学形态不支持,CD3、CD5均阴性,表达B细胞标记,排除间变LBCL。

 

DLBCL是一种潜在的可治愈的恶性肿瘤,传统的治疗方案包括使用环磷酰胺多柔比星长春新碱和强的松联合化疗,利妥昔单抗可显著提高存活率。手术方法仅限于为获得足以进行完整组织学检查的样本。

 

复习21例患者文献报道可见,接受化疗、放疗或放疗结合化疗有17例,2年无进展生存率达47%,另外有2例患者活检诊断后未经任何治疗,肿块自发消退,分别为:1) FlatowTrujillo等报告的1例患者在初步活检6周后CT显示右侧上颌只有非常小的术后炎症改变,且患者疼痛在初次活检后消失,随访22个月后没有临床复发的体征或症状;2) Aoki等报道的1例病变只有0.4 cm大小的牙龈DLBCL,患者在初步活检23 d后自行消退,随访2年后,没有临床复发的迹象或症状。

 

这2例患者的肿块都相对较小,可能肿瘤的大小是其自发消退的一个因素,由于病变相对局限,在活检时易钳取到所有病变组织,且这种活检等创伤因素引起的炎症反应可导致肿瘤坏死。如果恶性淋巴瘤在活检时消退,观察即可,DLBCL的自发缓解是一种极其罕见的现象,迄今为止仅在病例报告中描述。

 

以牙龈病变为首发症状的DLBCL通过肿块的活检来诊断,尽管约90%的恶性肿瘤是鳞状细胞癌,口腔原发性淋巴瘤非常罕见,但是该疾病发病率仍在增加。临床医师在鉴别诊断该区域的病变时必须要考虑到该疾病,防止延迟疾病诊断及治疗,同时这样能避免大面积的肿块切除及淋巴结清扫,因此在诊断治疗过程中应该打破常规思维,考虑淋巴瘤的可能性,避免不必要的手术治疗,同时临床医师在首次钳取组织活检时,应一次性切取需要诊断组织学类型和进行分子检测的样本量,即使出现淋巴瘤自然消退的现象,也应有足够多的样本进行淋巴瘤基因克隆性重排检测,明确诊断。病理医师应当在其形态学的基础上,充分运用免疫组织化学及分子病理检测技术,排除相关鉴别诊断,以得到更为客观的病理诊断,为临床医师的后续治疗提供依据。

 

来源:李国莉,娄镜,谭娜,等.牙龈弥漫性大B细胞淋巴瘤2例[J].华西口腔医学杂志,2024,42(02):256-261.