
侧脑室旁胶样囊肿1例
作者:巫恒平,仲建全,黄燕涛,徐巧梅,吕敏丽,四川省自贡市第一人民医院放射科
患者女,62岁。因“易饥多食10年,头晕1周”入院。10年前无诱因出现易饥多食伴头晕,诊断为“2型糖尿病”。2周前无诱因出现头晕伴视物旋转及耳鸣
就诊。影像学检查:CT平扫
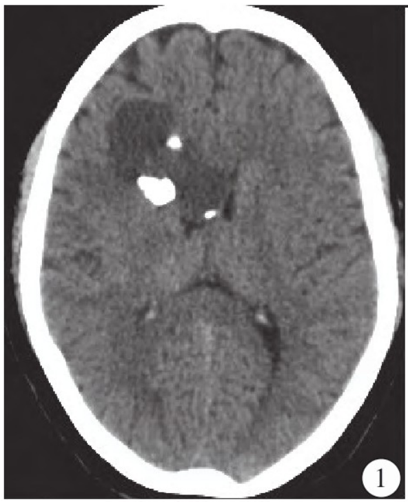
显示右侧额部直径约5.6 cm不规则混杂密度团块影,以稍低密度为主,边缘见不规则结节及斑点状钙化影,病灶深达右侧脑室旁并与侧脑室额角分界不清,右侧脑室额角受压(图1)。

图1 CT平扫显示右侧额叶及侧脑室旁最大直径约5.6cm不规则混杂密度团块影,病灶以稍低密度为主,边缘见不规则结节及斑点状钙化。
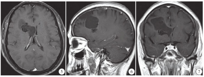
MRI平扫显示右侧额叶不规则团块状混杂信号影,大小约4.3 cm×3.7 cm×4.0 cm,呈T1WI低T2WI稍高及FLAIR稍高信号为主,其间见结节状T1WI低T2WI低FLAIR低信号,病灶向内凸向脑组织,深达右侧脑室旁(图2~4);增强扫描病灶中心无强化,部分壁轻度强化(图5~7);考虑右侧额叶囊性肿瘤性病变并钙化。

图2~4 MRI平扫显示右侧额叶及侧脑室旁不规则团块状混杂异常信号,T1WI/TRA稍低信号,T2WI/TRA呈高信号,DWI低信号,病变内见结节状低信号。

图5~7 T1WI+C/SAG/COR/TRAXIA显示中心无强化,部分壁轻度强化。
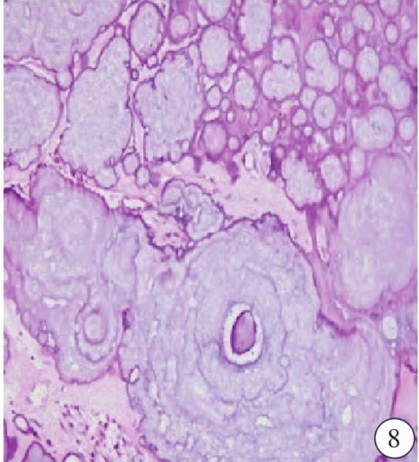
手术及病理:左侧额部硬膜张力稍高,额叶皮质表面见3.0 cm囊性病灶,病灶深居额叶白质内向脑室方向发展,囊性病灶内无确切“囊壁”膜型结构,囊液呈草黄色,其内多处钙化灶,病灶无明显包膜,仅与同侧侧脑室额角处有菲薄膜型结构相隔,病灶探查至清晰显露室间孔,脑室内光滑无病变。大体观察:囊肿界限清楚、呈单房样,其内见半透明胶冻样物质。病理镜下见囊壁被覆单层柱状细胞,部分上皮见纤毛或黏液(图8)。病理诊断:侧脑室旁神经胶质囊肿。

图8 病理镜下见囊壁被覆单层柱状细胞,部分上皮见纤毛或黏液。
讨论
胶样囊肿(Colloid cyst)是一种少见的原发性颅内良性肿瘤,一般认为胶样囊肿起源于中脑顶部原始神经上皮组织,在三脑室室管膜、脉络丛及脑上旁突发育的过程中发生变异而形成。常发生于第三脑室前部,一般较小,平均直径<1.0cm。本病的诊断主要依靠影像学检查,CT及MRI对胶样囊肿具有独特的诊断价值。
CT平扫一般呈圆形或卵圆形,密度均匀,边界清楚,囊内多为致密的粘液胶冻样蛋白成分,所以CT及MRI可以表现为特定的高密度和等高信号。2/3病灶CT呈均质高密度,1/3为等密度,低密度少见;MRI多数表现为T1WI稍高或等信号,T2WI等信号多见,部分表现为低信号或混杂信号。
胶样囊肿根据发病部位、典型的CT及MRI表现,诊断不难。本例发生于右侧额叶深部白质及侧脑室额角旁,外份达到硬脑膜,向内延伸至右侧脑室前角,形态不规则,呈囊性为主混杂密度及信号改变,伴大小不等结节状钙化,无明显包膜。文献[3]报道胶样囊肿发生部位最多见于第三脑室前部,鞍区、鞍上区、小脑蚓部有报道,本例发生于右侧额叶深部白质及侧脑室额角旁少见,且病灶较大,累及范围广,信号混杂并伴有大小不等结节状钙化,与常见胶样囊肿影像学表现有明显差异,容易误诊。
综上所述,脑内胶样囊肿虽然少见,根据典型的发病部位及影像学表现,诊断一般不难,但影像学表现不典型的容易误诊。在临床工作中应仔细分析病例的影像学表现,有利于提高特殊部位胶样囊肿的诊断正确率。
来源:巫恒平,仲建全,黄燕涛等.侧脑室旁胶样囊肿1例[J].医学影像学杂志,2024,34(02):173-174.