经眉弓眶上入路切除鞍上区胶样囊肿一例

来源:上海医学 2025.05.13
我要投稿

作者:邓尧,方旭昊,舒卫权,赵韵,李仕红,毛仁玲,复旦大学附属华东医院

 

1. 临床资料

 

患者男,51岁,因“头痛1周余”于江苏省常州市第一人民医院就诊,MRI检查提示鞍区占位。为求进一步诊治,2021年8月12日就诊于复旦大学附属华东医院神经外科,拟诊为“鞍区肿物”收入院。入院后查体:患者神志清楚,基本生命体征平稳,眼球各向活动正常,双侧瞳孔等大等圆,对光反射灵敏,双眼视力视野检查无异常。

 

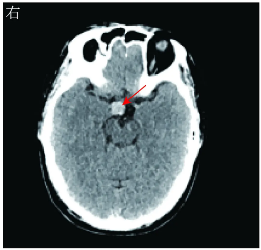
实验室检查:血常规、血生物化学(简称生化)指标,以及垂体相关激素[催乳素(PRL)、TSH、促肾上腺皮质激素(ACTH)、黄体生成素(LH)、卵泡刺激素(FSH)、生长激素(GH)、促黑素细胞激素(MSH)等)]水平均无异常。头颅CT平扫示:鞍上区偏右侧见一椭圆形稍高密度影,边界清晰,CT值为50~60 HU(图1)。

 

头颅MRI平扫示:鞍内垂体形态正常,鞍上区见不规则T1WI等信号、T2WI稍高信号影,大小约13 mm×17 mm(图2)。头颅增强MRI扫描示:鞍上区乏血供病灶,边缘清楚,结合MRI平扫结果考虑为鞍上区占位,表皮样囊肿可能(图3)。

 

完善术前各项检查,于2021年8月16日行神经内镜下经眉弓眶上入路鞍上区肿物切除术。术中分离颅底硬膜与蛛网膜粘连,探查第Ⅰ间隙内可见灰白色胶冻样黏稠状肿物,包膜边界清晰,其与周围组织无粘连。腔镊与无损伤吸引器配合,仔细分离肿物与正常组织间隙,将其吸出,并完整切除其囊壁,冲洗完全后逐层关颅(图4)。将切下的肿物及其囊壁做病理组织学检查。

  1.png

图1术前头颅CT平扫示,鞍上区偏右侧椭圆形稍高密度影(红色箭头所示)

 2.png

图2术前头颅MRI冠状位平扫示,鞍上区不规则T1WI等信号、T2WI稍高信号影(红色箭头所示)

 1733819384377584.png

图3术前头颅增强MRI扫描示,鞍上区乏血供病灶(红色箭头所示)。A冠状位B矢状位

1733819400827769.png 

图4神经内镜术中所见鞍上区病灶与周围解剖结构之间的关系。A胶样囊肿(红色箭头所示)与右侧前床突(*所示)、右侧视神经(#所示)、右侧颈内动脉(△所示)B胶样囊肿(红色箭头所示)与视交叉(▲所示)

 

患者术后无神经损伤、尿崩、脑脊液漏等手术相关并发症发生,于术后第4天出院。肿物及其囊壁病理报告(2021年8月23日):囊壁组织内衬假复层柱状纤毛上皮,诊断为鞍上区胶样囊肿(图5)。术后3个月影像学检查未见明显复发。

 5.png

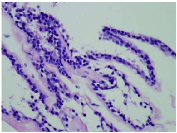
图5术后病理示,囊壁组织内衬假复层柱状纤毛上皮(H-E染色,×20)

 

2.讨论

 

胶样囊肿最早由Wallmann于1858年首次描述,以良性肿瘤为主,国内外几乎未见其恶性变的报道。胶样囊肿起源于神经系统发育中异位至中间帆的内胚层细胞,属于先天性神经上皮囊肿变异,由室管膜、脉络丛细胞起源或异位发育而来。

 

胶样囊肿外观呈球形或卵圆形,囊壁薄而光滑,内容物为灰白色或黄色黏稠的胶冻样富含蛋白质结构。病理组织学检查示:囊壁由立方柱状的假复层纤毛上皮,以及黏液杯状细胞组成,内容物主要为囊壁上皮细胞分泌的胶冻样蛋白质和胆固醇结晶,部分可见钙化和出血后沉着的含铁血黄素。

 

胶样囊肿的CT影像学表现多为等密度影或稍高密度影,少数呈低密度影。典型胶样囊肿的MRI影像学表现为T1WI呈高信号,T2WI呈等信号或低信号,边界清晰,增强MRI扫描见囊壁强化,内容物不强化。由于胶样囊肿内容物的成分(黏多糖、胆固醇和较高浓度的顺磁性物质)复杂,故MRI的影像学表现多样。本例患者头颅MRI显示的T1WI呈等信号、T2WI呈稍高信号,不完全符合上述常见的信号特点,可能与囊腔内黏多糖含量高等因素有关。

 

胶样囊肿可在长时间内无症状,生长到一定大小后,阻塞脑脊液循环通路可出现急性梗阻性脑积水症状,临床表现为间歇性剧烈头痛,伴有恶心、呕吐,视力下降,少数患者会出现中脑导水管受压致急性颅内压增高或刺激下丘脑而引发猝死。Lagman等认为,直径≥1 cm的胶样囊肿致死性较大,成年人出现头痛等前驱症状的时间更短。既往有报道,胶样囊肿自发破裂致严重的继发性无菌性脑膜炎,需要紧急手术干预。少部分患者的脑积水症状不明显,主要表现为第三脑室周围结构受压后的顺行性遗忘和幻觉等精神症状。

 

胶样囊肿的发病部位、影像学特征及临床症状不典型,诊断困难,须与斜坡区脑膜瘤、表皮样囊肿、拉克囊肿、颅咽管瘤等疾病相鉴别。本例患者胶样囊肿的发生部位罕见,位于鞍上区偏右侧,主要临床症状典型,以头痛为主,根据术后病理结果最终确诊为胶样囊肿。

 

目前国内外学者推荐,可疑胶样囊肿直径>10 mm或伴有严重的脑积水等临床症状的患者应尽快行手术治疗,而直径<10 mm且无临床症状的患者可密切随访观察,约5%~15%的无症状胶样囊肿在随访期间出现了神经系统症状恶化。

 

本例患者的胶样囊肿位于鞍上区,存在占位效应,有明确手术指征,故行神经内镜下经眉弓眶上入路鞍上区肿物切除术。经眉弓眶上入路,可利用颅底与额叶之间的天然腔隙直至鞍上区,充分发挥神经内镜手术创伤小、术中视野大、操作更精细、术后并发症少等优势,并可尽可能减少对正常神经结构的牵拉。手术应将囊肿完整剥离切除,彻底冲洗干净脑室,尽量避免术后囊肿内容物外溢所致无菌性炎症的发生,最终达到术后快速康复的治疗目标。

 

来源:邓尧,方旭昊,舒卫权,等.经眉弓眶上入路切除鞍上区胶样囊肿一例[J].上海医学,2024,47(05):270-272.