
脱落细胞DNA定量分析技术动态监测口腔扁平苔藓伴上皮异常增生病情及光动力治疗1例
作者:董冰洁,刘泽燏,李婷,周刚,卢锐,武汉大学口腔医院口腔黏膜科
口腔扁平苔藓(oral lichen planus, OLP)是一种临床上常见的慢性炎性口腔黏膜病,因其具有癌变风险,世界卫生组织(World Health Organization, WHO)将其纳入口腔潜在恶性疾患(oralpotentially malignant disorders, OPMDs)的范畴。OLP的治疗手段包括去除刺激因素、局部及全身药物治疗,可在一定程度上缓解病情,但仍缺乏明确的预防癌变作用。
近年来,光动力治疗(photodynamic therapy, PDT)作为一种替代疗法被应用于对常规药物抵抗、或伴有上皮异常增生的OLP,取得了良好疗效。然而目前大多数研究以病损面积变化以及患者症状改善作为疗效评价指标,无法对其癌变风险进行准确评估。脱落细胞DNA定量分析技术作为一种无创辅助检查方法,可用于OPMDs癌变及口腔癌
的早筛早诊。我们报道1例采用脱落细胞DNA定量分析技术动态监测口腔扁平苔藓癌变风险及PDT疗效的诊疗过程,以期为OLP伴上皮异常增生的精准微创诊疗提供参考。
1. 临床资料
本研究经武汉大学口腔医院医学伦理委员会批准(2022-B29)。
1.1 病史
患者,女,51岁,舌部疼痛半年余。患者半年余来舌部疼痛,使用含漱药物后症状有所减轻,但仍反复发作。否认系统疾病史及长期用药史;否认吸烟、饮酒及咀嚼槟榔史;否认药物过敏
史;否认家族史。
1.2 临床检查
双侧舌缘浅淡白色条纹,伴充血萎缩;双颊少许白纹,充血糜烂不显(图1)。其余口腔黏膜未见明显异常,口内未见银汞充填材料及修复体。皮肤及指(趾)甲未见明显异常。

图1 初诊口腔病损表现。1a: 右舌缘病损;1b: 左舌缘病损;1c: 右颊病损;1d: 左颊病损
1.3 辅助检查
双侧舌缘甲苯胺蓝染色点状阳性、自体荧光检查见荧光缺失。脱落细胞学检查示:左舌缘可见3个DNA倍体异常细胞,右舌缘未见DNA倍体异常细胞(图2)。

图2 双侧舌缘病损辅助检查。2a: 右舌缘甲苯胺蓝染色;2b: 左舌缘甲苯胺蓝染色;2c: 右舌缘自体荧光检查;2d: 左舌缘自体荧光检查;2e: 右舌缘脱落细胞学检查;2f: 左舌缘脱落细胞学检查
血常规
、血糖、凝血功能、肝肾功能均未见异常;梅毒螺旋体
血清学试验、HIV-Ag/Ab、乙肝五项
、丙肝抗体检测均为阴性。
在排除病检禁忌证后,经患者知情同意,局麻下切取双侧舌缘病损组织行病理检查
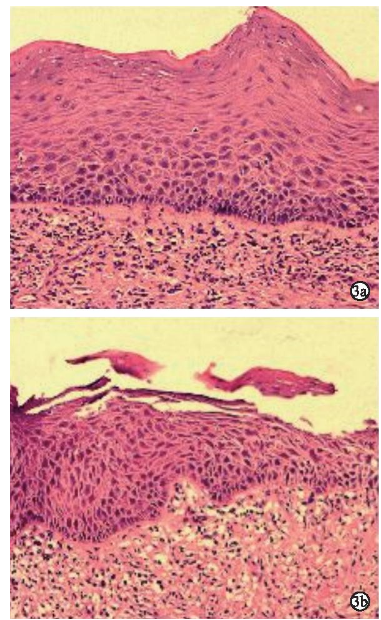
。左舌缘病理检查示上皮表面过度不全角化,局部上皮萎缩,伴中度异常增生,固有层内淋巴细胞呈灶性浸润;右舌缘病理检查示上皮表层不全角化,部分上皮基底膜液化变性,固有层内淋巴细胞呈灶性浸润(图3)。
1.4 诊断
根据WHO口腔癌协作中心2021年专家共识意见中的诊断标准,结合临床及组织病理学表现,诊断为OLP,左舌缘伴中度异常增生。
1.5 治疗计划
与患者充分沟通治疗方案后拟行左舌缘PDT,同时联合口腔局部药物治疗,定期随访监测病情变化。
2. 治疗及随访过程
患者共接受3次PDT,每周1次。具体治疗方案如下:将5-氨基酮戊酸
散剂加入医用保湿凝胶新鲜配置为20%的溶剂,敷育2 h后,使用波长为635 nm的半导体激光照射1000 s,功率密度为100 mW/cm2,总体能量密度达到100 J/cm2。每次治疗后使用复方硼砂含漱液,含漱,每日3次;复方甘菊利多卡因凝胶
,局涂,每日3次;同时嘱患者保持口腔卫生,忌辛辣刺激食物。
PDT后1个月复诊,患者疼痛症状减轻。双侧舌缘见浅淡白纹,伴轻度充血;双颊浅淡白纹,充血糜烂不显;左舌缘脱落细胞学检查未见DNA倍体异常细胞(图4)。继续予以复方硼砂含漱液含漱,每日3次。
PDT后3个月复诊,患者无明显疼痛不适。双侧舌缘及双颊见浅淡白纹,充血糜烂不显;同时双侧舌缘脱落细胞学检查均未见DNA倍体异常细胞(图4)。嘱患者每3个月定期复诊。

图3 双侧舌缘组织病理学检查(苏木精-伊红染色,×40)。3a: 右舌缘组织病理检查;3b: 左舌缘组织病理检查

图4 左舌缘病损随访过程。4a: 左舌缘初诊病损表现;4b: 左舌缘PDT治疗1月后表现;4c: 左舌缘PDT治疗3月后表现;4d: 左舌缘初诊脱落细胞学检查;4e: 左舌缘PDT治疗1月后脱落细胞学检查;4f: 左舌缘PDT治疗3月后脱落细胞学检查;
3. 诊疗难点分析
本病例患者因舌部疼痛半年余就诊,根据患者主诉症状及双侧舌缘充血萎缩的临床表现,采用口腔黏膜癌变无创检查方法(甲苯胺蓝染色、自体荧光检查及脱落细胞DNA定量分析)对双侧舌缘病损进行癌变风险筛查。结合病损部位、临床表现及辅助检查结果,提示双侧舌缘病损可能具有一定的癌变风险,故而局麻下切取双侧舌缘病损组织行组织病理学检查,以明确诊断并判断其风险程度。最终诊断为OLP,左舌缘伴中度异常增生。
该病例左舌缘病损属高危型病损,需采取积极干预措施,以达到控制症状、促进愈合、预防癌变的诊疗目的。与患者充分沟通后行左舌缘PDT,定期随访监测病情变化。目前常规基于病损面积变化或患者症状改善的PDT疗效评估方法存在局限性,无法对其癌变风险进行判断。因此,本病例应用脱落细胞DNA定量分析技术来对OLP癌变风险及PDT疗效进行动态监测,并取得了良好的监测效果。
4. 讨论
OLP是一种常见的口腔黏膜慢性炎性疾病,好发于中年,女性多于男性,临床表现为双侧对称的白色网纹,伴或不伴充血、萎缩、糜烂和水疱。患者多有疼痛、粗糙不适等症状,进食辛辣刺激饮食时疼痛加重。OLP有一定的恶变倾向,Ramos-García等人发表的系统评价显示其癌变率为0.44%~2.28%。研究表明,OLP癌变的危险因素包括女性、病理伴有上皮异常增生、舌部病损、萎缩/糜烂病损等。本例患者为女性,病损部位累及舌缘,伴充血萎缩,且组织病理学检查左舌缘伴中度异常增生,提示该病例癌变风险较高,因此需要采取积极干预措施。
OLP传统治疗方式包括去除刺激因素、局部及全身药物治疗。药物治疗以局部或全身应用糖皮质激素
为主,必要时使用免疫抑制类药物,并定期随访观察,可在一定程度上缓解病情,但仍缺乏明确的预防癌变作用。对于伴有中重度上皮异常增生的OLP病损,癌变风险较高,传统上需采取外科手术切除。手术作为有创性治疗方式,可有效去除病损,但在一定程度上可造成口腔组织缺损及功能障碍,且术后仍有复发可能,难以重复治疗。
PDT是一种基于光、光敏剂和氧的相互作用,通过光动力反应选择性破坏病变组织的微创治疗新技术。与传统治疗方法相比,PDT具有安全有效、微创、选择性好、可重复治疗等优点。有研究表明,PDT对常规治疗抵抗的难治型OLP病例具有良好效果。此外,国内也有学者发表了使用PDT成功治疗OLP伴上皮异常增生的病例报告。本病例采用PDT治疗OLP伴中度上皮异常增生,取得了良好疗效,且随访过程中未见复发,提示PDT在该类病损中具有良好的临床应用前景。
目前大多数研究均以病损面积变化及患者症状改善作为PDT治疗OLP疗效评价的主要结局指标。该疗效评价方法虽直观、简便,但无法体现病损组织及细胞层面的变化。病理检查为判断病损癌变风险的金标准,但病检的有创性使其难以在随访过程中重复应用。因此,应建立准确、微创、可重复的检查方法用于OPMDs治疗疗效评估与随访监测。
在众多无创检测方法中,脱落细胞学检查在检测OPMDs伴上皮异常增生及癌变的灵敏度和特异度最高,同时具备快速简便、结果客观、准确、可重复等优势。在本病例的诊断过程中,双侧舌缘脱落细胞DNA定量分析结果与病理检查提示的风险一致,同时治疗前后的变化趋势也与患者的病情变化相符合。因此提示,脱落细胞DNA定量分析技术可作为OLP癌变风险及PDT疗效及病情监测的良好评估工具。
综上,通过该病例的诊疗过程,我们发现PDT治疗OLP伴上皮异常增生具有良好疗效,同时,脱落细胞DNA定量分析技术可用于OLP癌变风险评估及PDT疗效及病情的动态监测,可为建立OLP伴上皮异常增生的精准微创诊疗体系提供参考。在未来,仍需设计并开展高质量、大样本的临床研究,对脱落细胞DNA定量分析的诊断准确性及PDT治疗OLP伴上皮异常增生的临床疗效予以进一步验证与探索。
来源:董冰洁,刘泽燏,李婷,等.脱落细胞DNA定量分析技术动态监测口腔扁平苔藓伴上皮异常增生病情及光动力治疗1例[J].口腔医学研究,2024,40(04):371-374.