碳离子放射治疗1例多结节型肝细胞癌

来源:现代肿瘤医学 2025.08.12
我要投稿

作者:王建花,关钊钰,张雁山,叶延程,赵致平,王馨,李小军,张红,甘肃省武威肿瘤医院

 

肝细胞癌(hepatocellular carcinoma HCC)发病率高,在发现时只有不到1 /3 的患者适合手术治疗,随着临床经验的积累,放射治疗已成为不可切除肝癌的优选方法。我们报道了一例多结节型肝细胞癌患者接受碳离子放疗并取得了良好疗效的病例。一例53 岁女性在体检时发现肝内多发结节(约14个),经穿刺病检提示中分化肝细胞癌,被转诊至武威重离子中心进行碳离子治疗,剂量为66 Gy(RBE)/10 f,4 个月时随诊复查疗效良好。碳离子放射治疗可能是多结节型肝细胞癌的优选方法。

 

1.病例报告

 

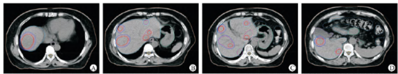
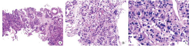
患者女性,53 岁,在体检时发现肝内多发结节(约14个),较大者位于肝右叶S8 段,大小约4.2 cm × 5.2 cm ×2.9 cm,多考虑肝癌;肝左叶囊肿(图1)。肿瘤标志物示:AFP 415 IU/mL。行超声引导下肝脏肿物穿刺活检术,穿刺病检示:(肝肿物穿刺活检组织)肝细胞癌,中分化(图2)。

 1737690687596352.png

图1 治疗前肝脏多发HCCA - G:在CIRT(2022 - 12 - 02)之前MRI T1增强的不同层面示肝内多发异常强化结节肿块(共14 个),较大者位于肝S8 段,大小约4.2 cm ×5.2 cm × 2.9 cm;H - I:DWI 示弥散受限,ADC 值1.066 mm3 /s。

 1737690702479319.png

图2 病理图片A - C:经皮肝脏穿刺示:肝细胞高度异常增生癌变,癌组织呈实性、巢状或排列呈肝索样结构,细胞大,胞质丰富,界限不清,核大小形态不一,部分核巨大,畸形怪状,核膜厚,染色质颗粒粗,核仁明显,病理性核分裂象多见,间质血管丰富(A:HE × 100、B:HE × 200、C:HE × 400)。

 

免疫组化结果显示:CD34(血管+),Glypican - 3(+),Hepatocyte(+),Ki - 67(index 约5%),CK8 /18(+),CK19(-),CK7(-)。高敏乙型肝炎病毒脱氧核糖核酸定量检测:182IU/mL。根据CSCO 指南,对于Ⅱ期的肝细胞肝癌首选TACE治疗,现患者及家属无肝动脉介入治疗意愿,想用碳离子放疗治疗。临床诊断肝恶性肿瘤;cT2N0M0Ⅱ期;BCLC 分期:B(中期);CNLC 分期:Ⅱb期;Child - Pugh 分级:A 级;KPS 评分:90 分;慢性乙型病毒性肝炎

 

经过多学科讨论,患者接受了66 Gy(RBE)/10 f 相对生物学有效性(RBE)碳离子的剂量,并给予CIK 免疫细胞治疗及“恩替卡韦”抗病毒治疗。报告此病例的伦理批准已获得武威肿瘤医院伦理委员会的伦理批准(批准号/ID 2018 - 21)。

 

患者经过院内多学科会诊后,给予碳离子治疗,靶区勾画标准:患者取仰卧位于定位板上,真空垫及热塑膜固定,体表画标记线,CT 扫描层厚为3 mm,扫描范围自气管分叉至腰5 椎体,扫描后的CT 图像传至“大图”计划系统进行靶区勾画,GTV 勾画为核磁上可见的肝脏病灶;CTV 根据4DCT在GTV 基础上外扩0.5 cm,头脚方向1.2 cm;PTV 在CTV 的基础上外扩0.3 cm,在脊髓、肋骨、食管、胃、结肠等处个体化裁剪,分为PTV1、PTV2、PTV3、PTV4。

 

要求处方剂量为PTV1 /PTV2 /PTV3 /PTV4:66 Gy(RBE)/10 f,95% 的PTV 满足处方剂量,点扫描。危及器官剂量限量,每周五次,碳离子的剂量以光子当剂量(GyE)表示,其定义为物理剂量乘以碳离子的RBE(图3)。

 

患者经碳离子治疗后的临床表现如下:①患者治疗结束后首次复查腹部MRI 提示肝脏病灶较前缩小,根据RECIST1.1 实体肿瘤疗效评价标准,疗效评价为部分缓解(partial remission,PR)(图4),下阶段将继续完成1、3、5 年的随访;②患者治疗结束后4 个月复查腹部MR 提示肝S8 段病灶较前明显缩小,大小约2.2 cm × 2.0 cm × 1.0 cm,DWI示弥散受限,ADC 值1.534 mm3 /s,其余病灶显示不明确,根据RECIST1.1 实体肿瘤疗效评价标准,疗效评价为PR(图5);③治疗前后临床各项指标比较,治疗后0.5 个月及4 个月复查时,肿瘤长径、SER、AFP 逐渐降低,而ADC 值不断升高,疗效评价均为PR,本院检查见表1。

 1737690721161335.png

图3 靶区勾画A - D:CIRT 计划使用碳离子计划[ciPlan,1.0 版,中国兰州近代物理研究所(IMP)]进行,包括生物计划优化。治疗计划包括使用碳离子治疗计划(ciTreat,1.0 版,IMP)治疗计划软件系统的生物治疗计划优化程序。

 1737690736935228.png

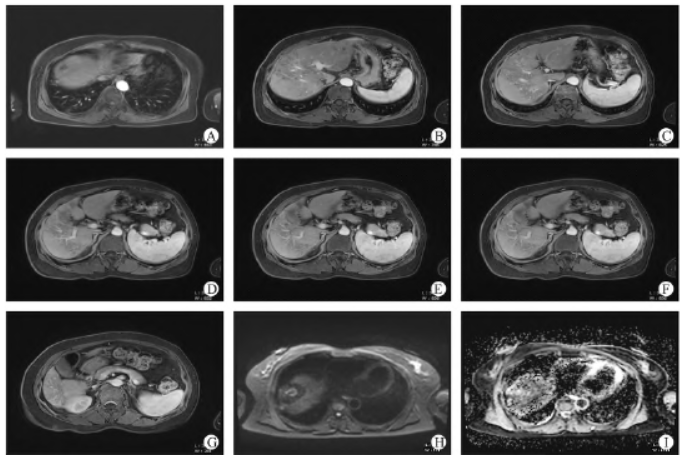
图4 CIRT 治疗后首次(2023 - 04 - 03)MRI 复查A - G:对比增强MRI T 增强肝内病灶较前明显变小,部分显示欠清,较大者位于肝S8 段,大小约3.2 cm × 2.8 cm × 2.2 cm;H - I:DWI 示弥散受限,ADC 值1.188 mm3 /s。

 1737690877251754.png

图5 治疗后4 个月第二次复查MRIA - I:肝脏大部分病灶消失,较大病灶明显缩小,无皮肤急性不良事件,且无3 级RTOG 急性效应。

 

表1 肝右叶较大病灶ADC 值、T1 值、SER、AFP 及铁蛋白变化比较

 1737690897569141.png

2.讨论

 

肝癌是全球第六大常见癌症,在中国,肝癌的发病率和死亡率均在第二位,5年总生存率为15% ~ 17%。HCC占肝癌的75% ~ 85%,可分为以下大体类型,模糊结节、单结节、单结节伴结节外生长、混杂多结节和膨胀型。早期HCC 可通过手术切除或肝移植而治愈,但因其有形成多结节病灶的倾向,在发现时只有不到30% 的患者适宜手术治疗。

 

结节型HCC 治疗难度大,易复发。据报道45% ~ 70% 的HCC 在诊断时已存在多个病灶。多个结节病灶可由多个中心发生,也可能源于同一原发灶的肝内转移。部分BCLC - B 期多结节性HCC 可选择手术切除。对于超过4 个病灶的BCLC - B 多结节性HCC,需考虑手术适应证。《EASL:肝细胞癌管理》解读(最全版)指出肝硬化HCC 切除的适应证应基于肝功能、门静脉高压、肝切除的范围、残肝体积等综合评估,应在多学科讨论中制定个性化治疗方案。

 

随着临床经验的积累,NCCN 指南及国家卫健委关于原发肝癌的诊疗规范均将放疗作为不可切除或无法实施手术肝癌的优选方法。三维适形、立体定向和粒子放疗的生存期分别为5 ~ 24 个月、17 个月和13 ~ 22 个月。碳离子放射治疗(carbon - ion radiotherapy,CIRT)癌症是近年出现的放疗新技术。

 

CIRT 治疗肝癌疗效显著,其优点是:

 

①精确的剂量分布CIRT 属高能传递射线,进入组织时,先出现一个平坦区,之后出现Bragg 峰,在射程末端释放全部能量,可以最大量杀伤肿瘤细胞,而且无论细胞周期如何,都显示出明显的杀伤效果;

 

②良好的生物效应CIRT 可直接作用于DNA 分子,破坏双链,对乏氧肿瘤亦有效。HCC 于MRI 增强时在门静脉期前增强并在其后廓清。此强化方式与HCC 肿瘤细胞分化程度及组织学类型有关。动态增强MRI 通过静脉注射钆对比剂获得图像,动态增强率(SER)代表了渗透率和灌注的变化。这种变化已被证明与肿瘤新生血管相关。

 

本研究发现HCC 在CIRT 治疗前与治疗后4 个月时比较,后者的SER 降低。HCC 患者AFP 水平升高,研究显示AFP 的变化有助于预测和评估HCC 的抗肿瘤疗效。有报道称与需行二次手术的患者相比,治疗后完全缓解患者的ADC 值升高。还有报告称肝癌病灶栓塞效果良好的病灶,经栓塞后病灶的ADC 值显著上升。

 

本例患者治疗后2 次复查时ADC 值均不同程度升高,AFP 降低,说明CIRT 治疗多结节性HCC 效果显著。SHINTARO等认为HCC 治疗后复发模式为肝内病变照射野外复发,可能与治疗前HCC 患者已出现影像技术难以检测到的微病灶,或合并肝硬化时难以辨识真正的病灶边界相关。所以我们将对此患者进行持续随仿,以便验证此14 个HCC照射野外是否会出现新的病灶。检索文献后,我们未发现有关报道CIRT 治疗多结节性HCC 的病例,所以进行报告。

 

综上所述,我们报道了一位多结节型肝细胞癌患者接受CIRT 治疗,结果表明CIRT 是一种有效的治疗选择,虽然随访时间只有4 个月,但结果令人鼓舞,我们将继续跟进和更新结果。据我们所知,这是第一例用CIRT 治疗的多结节型肝细胞癌,迄今为止取得了极好的治疗结果。因此,在这类肿瘤的确定性治疗中,可以考虑使用CIRT 进行放疗。

 

来源:王建花,关钊钰,张雁山等.碳离子放射治疗1例多结节型肝细胞癌[J].现代肿瘤医学,2024,32(05):932-936.