Abernethy畸形合并肝脏多发局灶性结节增生1例

来源:中国医学影像学杂志 2025.09.30
我要投稿

作者:王瑞,李君芬,兰州大学第一临床医学院;王莉莉,雷军强,兰州大学第一医院放射科;宋文艳,首都医科大学附属北京佑安医院放射科

 

1. 病例简介

 

男,19岁,主诉:体检发现肝功能异常2周。体格检查无明显异常。实验室检查:谷草转氨酶54 U/L,总胆红素48.9μmol/L,直接胆红素17.6μmol/L,谷氨酰转肽酶311 U/L,碱性磷酸酶167 U/L,前白蛋白143 mg/L,总胆汁酸44.9μmol/L,尿素2.45 mmol/L,血氨140µg/dl。血常规、凝血功能、心电图等无明显异常。

 

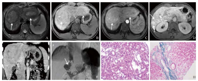
腹部超声提示:肝内多发占位性病变,门静脉异常。钆塞酸二钠增强MRI及腹部增强CT(图1A~E)均提示肝内多发局灶性结节增生可能,Abernethy畸形可能。数字减影血管造影(DSA,图1F)提示Abernethy畸形Ⅱ型。行肝脏穿刺活检明确占位性质,病理(图1G~H)诊断为局灶性结节增生。特殊染色及免疫组化显示:网织(+),胶原纤维(+),谷氨酰胺合成酶(+,强弱不等),细胞角蛋白19(细胆管+),细胞角蛋白7(部分肝细胞+),抗平滑肌抗体(+)。

 1737886119707821.png

图1 男,19岁,Abernethy畸形Ⅱ型合并肝脏多发局灶性结节增生。钆塞酸二钠增强MRI示肝内多发大小不等占位,T2WI呈环形低信号(箭,A),T1WI呈等高信号(箭,B),动脉期轻度强化(箭,C),肝胆期呈高信号(箭,D),提示病灶存在正常肝细胞;CT及DSA示门静脉直接引流入下腔静脉(E、F),门静脉左、右支纤细(E);病理镜下示肝窦扩张,肝板萎缩,部分肝细胞脂肪变性,肝小动脉数目增多且管壁增厚、管腔狭窄(箭,HE,×200,G),胶原纤维染色显示汇管区缺乏典型的门静脉,伴随多发管壁及管腔异常的小动脉(HE,×100,H);PV:肝门静脉;IVC:下腔静脉;SV:脾静脉

 

2. 讨论

 

Abernethy畸形是一种罕见的内脏静脉系统畸形,通常发生于胚胎发育的第4~10周,此阶段为门静脉和体静脉的发育阶段,表现为门静脉血液直接流入下腔静脉。根据门静脉是否进入肝脏将Abernethy畸形分为两型:I型为完全性门腔静脉分流,门静脉血液完全不流入肝脏,分Ia和Ib亚型。Ia型为门静脉先天性缺失,Ib型为肠系膜上静脉和脾静脉汇合成一支粗大静脉后汇入下腔静脉。

 

II型为门腔静脉部分分流,部分门静脉血液流向肝脏。Abernethy畸形由于门静脉血供减少、动脉血供增加引起营养代谢紊乱形成肝脏结节,包括局灶性结节增生、结节再生性增生、肝腺瘤、肝母细胞瘤和肝细胞癌。其中Abernethy畸形合并局灶性结节增生较为罕见,结节常为多发。

 

Abernethy畸形可通过腹部DSA、CT、MRI及超声诊断,合并肝脏结节时MRI诊断敏感度高于CT及超声,最终结节确诊依靠组织病理学检查。DSA可对Abernethy畸形进行分型,进而为临床进一步制订合理的治疗方案提供参考依据。本例患者年龄较小,因体检发现肝功能异常后外院增强CT诊断为肝细胞癌就诊,我院最终通过肝脏穿刺活检及影像学检查明确诊断为Abernethy畸形Ⅱ型合并肝脏多发局灶性结节增生。

 

MR特异性增强对二者具有重要鉴别诊断价值。本例患者CT及DSA均显示肠系膜上静脉与脾静脉汇合后引流入下腔静脉,CT示门静脉左、右支管径纤细,符合AbernethyⅡ型诊断。DSA未显示肝内门静脉血流,与间接门静脉造影时门静脉内压力不足有关,导致分支无法显示。为明确Abernethy畸形合并肝脏结节是否与遗传相关,有研究进行基因检测发现本病无明显的基因异常改变。

 

Abernethy畸形合并局灶性结节增生临床较罕见,Yam等报道1例14岁Abernethy畸形Ib型合并多发局灶性结节增生女性,该病例主要特点是肝内门静脉系统缺失,脾静脉与肠系膜上静脉汇入一条共同静脉后汇入下腔静脉。而本例患者CT可见纤细的门静脉左、右支,属于门腔静脉部分分流类型。局灶性结节增生需要与肝内其他类型占位病变进行鉴别诊断,由于Abernethy畸形合并肝脏肿瘤是与血供及代谢有关的良性结节,可通过影像检查及穿刺活检明确诊断。

 

本例患者MRI特异性增强中肝胆期病灶均呈高摄取,提示病灶具有肝细胞功能,是与肝细胞癌鉴别的重要参考依据,肝细胞癌由于富含肿瘤细胞缺乏正常肝细胞功能,故肝胆期呈低或无摄取。

 

Abernethy畸形治疗与门腔静脉分型、临床表现有关。症状较轻的患者可采用保护肝功能和对症治疗等内科保守治疗。Ⅱ型患者可以通过断流术或血管介入栓塞封堵交通支,从而减少门腔静脉分流。肝移植适合I型及合并严重并发症的患者。本例患者为Ⅱ型,逐渐出现黄疸及高氨血症,肝内纤维化多发且较大,建议行肝移植改善其长期预后。

 

来源:王莉莉,雷军强,宋文艳,等.Abernethy畸形合并肝脏多发局灶性结节增生1例[J].中国医学影像学杂志,2024,32(03):277-278.