
孤立性左侧无名静脉瘤2例并文献复习
作者:李建慧,刘延真,张洪,天津市胸科医院影像科
纵隔内血管瘤较少见,而静脉性血管瘤更为罕见。多数静脉瘤的病人都没有症状,大多为偶然发现。当病灶较大压迫邻近结构时,可有胸闷、胸痛
或呼吸困难
等症状。目前国内外报道左侧无名静脉瘤尚不太多,且多为个案报道。本文对2例左侧无名静脉瘤病人的影像表现进行回顾性分析,以提高本病的影像诊断水平,避免不必要的手术或术前穿刺出血的风险。
1. 临床资料
病例1,男性,61岁,因体检胸片提示纵隔增宽于医院进一步就诊。病人无明显症状,既往体健,无相关疾病家族史。病例2,女性,64岁,因胸闷憋气以冠心病
收入院检查,胸部CT平扫
检查发现上纵隔占位性病变。既往有高血压
、冠心病病史。2例病人相关实验室检查均无异常。影像学检查提示为静脉瘤,无手术指征,随诊观察。
2. 影像表现
CT平扫示2例的病灶均位于上纵隔,呈类圆形,边缘光滑,其后缘紧贴邻近无名静脉。病例1首次CT增强检查时经右侧肘前静脉注射对比剂,分别于30、120 s进行增强扫描,肿块于动脉期无明显强化,延迟期呈均匀强化(图1A-C)。

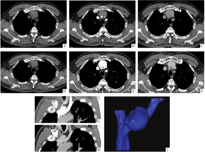
图1 病人男,61岁。A图为首次CT平扫,可见上纵隔肿块,密度均匀,CT值为40 HU,边缘光滑,大小为2.4 cm×3.7 cm×2.8 cm,紧贴左侧无名静脉。B、C图为首次CT增强扫描(经右肘前静脉注射对比剂)的动脉期和延迟期,可见肿块于动脉期无明显强化,延迟期呈均匀强化,CT值分别为69、104 HU(同期相左无名静脉CT值分别为65、102 HU)。D图为第2次CT平扫影像,表现与首次(A图)一致。E、F图为第2次CT增强扫描(经左肘前静脉注射对比剂)的动脉期及延迟期,可见肿块于动脉期明显强化,延迟期强化程度减低,CT值分别为543、142 HU(同期相左侧无名静脉CT值分别为556、131 HU)。G、H图为CT增强冠状面重建影像,可见肿块与左侧无名静脉相交通。I图为伪彩图,可见肿块位于上腔静脉左侧,紧邻无名静脉。
为进一步评估肿块与左侧无名静脉的关系,3 d后再次行CT增强扫描,此次对比剂经左侧肘前静脉注入,分别于20、120 s进行扫描。病人动脉期即可见病灶内对比剂充填,局部与邻近左侧无名静脉相交通;延迟期可见病变强化程度减低,其内密度均匀,密度与左侧无名静脉血管一致,瘤腔内无充盈缺损(图1D-I)。病例2仅行1次CT增强检查,对比剂经左侧肘前静脉注射,同病例1的第2次增强CT表现一致(图2)。

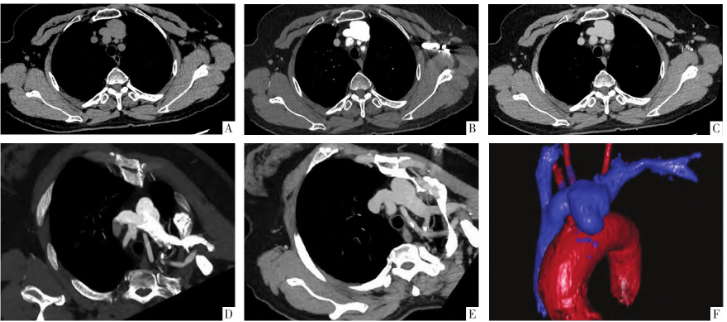
图2 病人女,64岁。A图为CT平扫,可见上纵隔肿块,密度均匀,CT值为47 HU,肿块边缘光滑,大小为2.3 cm×3.1 cm×3.9 cm,紧邻左侧无名静脉。B、C图为CT增强扫描(经左肘前静脉注射对比剂)的动脉期及延迟期,可见肿块于动脉期明显强化,延迟期强化程度减低,CT值分别为531、133 HU(同期相左侧无名静脉CT值分别为545、127HU)。D、E图为CT增强重建影像,肿块与左侧无名静脉相沟通。F图为伪彩图,可见肿块位于上腔静脉左侧,主动脉弓上方,其后方紧贴无名静脉。
3. 讨论
无名静脉瘤病因不明,可能是先天性发育异常,也可能是由于炎症、创伤、静脉血流阻塞、动静脉畸形或手术所致。绝大部分无名静脉瘤病人无明显症状,当瘤体巨大压迫周围组织时,可能会导致胸痛、呼吸困难、咳嗽
、声音嘶哑等症状。左侧无名静脉瘤比右侧的常见,形状通常呈囊状而非梭形。目前关于无名静脉瘤的治疗没有统一的标准,临床干预的目的是预防和治疗相关并发症,如血栓、肺栓塞
、破裂等。
3.1 影像学特征
无名静脉瘤病人通常胸部X线检查表现正常,瘤体较大时可表现为上纵隔增宽。当X线胸片表现有纵隔增宽或肿块时,可行CT增强检查,有助于对病变进行鉴别。既往文献报道纵隔静脉性血管瘤多表现为边界清楚的软组织肿块,多为圆形或类圆形,个别为分叶状;多数密度均匀,少数密度不均匀,当合并血栓机化时可有钙化。
CT平扫对其定性诊断比较困难,仅可显示肿块与邻近血管关系密切,密度相近。CT动态增强检查则可在一定程度上明确诊断。无名静脉瘤动脉期强化程度与对比剂注射位置有关。本研究2例病人均为左侧无名静脉瘤,选择左侧肘前静脉注射对比剂时,由于病变与无名静脉交通,早期即可见对比剂充填,强化峰值早于主动脉。随时间延长,病变强化程度降低,延迟期强化程度与邻近无名静脉一致。而选择右侧肘前静脉注射对比剂时,由于对比剂到达左侧无名静脉需要一定时间,因此病变动脉期无强化,延迟期明显强化,强化程度与邻近左侧无名静脉一致,此时容易误诊。
综上所述,CT增强检查时对比剂注射位置对于病变的诊断十分重要。无名静脉瘤有时也可以表现为无强化或不均匀轻度强化,可能是由于瘤颈较窄导致病灶强化缓慢或瘤内有血栓形成所致,这将给病变的定性诊断带来困难。结合多种CT后处理方法(如VR、MPR等),能更好地显示肿瘤的大小、形状及其与左侧无名静脉的连接关系,避免不必要的活检或手术。如果仍不能明确诊断,可以辅以其他成像技术,如数字减影血管造影
、MRI或超声检查。
3.2 鉴别诊断
无名静脉瘤主要与纵隔病变相鉴别。当无名静脉瘤表现为实性肿瘤时,主要与以下疾病鉴别:(1)非侵袭性胸腺瘤
,多为前纵隔圆形、椭圆形或分叶状肿块,呈均匀强化。有时可见坏死、囊变,病灶内或边缘可伴有钙化。(2)淋巴瘤
,纵隔内淋巴瘤密度多呈均匀软组织密度,轻至中度强化,易包绕上腔静脉及气管。(3)海绵状血管瘤
,纵隔内单发类圆形边界清楚的软组织肿块,密度较均匀。海绵状血管瘤的典型强化特征为动脉期肿块边缘或内部结节状或小片状强化,静脉期或延迟期强化范围不断增大,进行性向心填充,呈渐进性强化或血管湖样强化。
当无名静脉瘤表现为囊性肿瘤时,鉴别诊断主要包括:(1)支气管囊肿,多呈圆形或卵圆形,壁薄,囊壁可有点状或弧线状钙化;囊液因所含物质的不同呈不同密度,增强扫描囊液无强化。(2)囊性畸胎瘤,常见于30岁以下的年轻人;CT表现为囊状水样密度影,其内有时可见少量脂肪、钙化、骨骼或牙齿等组织成分;囊壁可有轻至中度强化,囊内容物无强化。(3)主动脉假性动脉瘤
,病人多有外伤或手术史;肿块表现为紧贴主动脉壁的等或稍低密度影,瘤壁欠光整,瘤体强化一般迟于正常血管腔。
3.3 小结
尽管无名静脉瘤罕见,但是如果发现纵隔肿块,应该将其作为其中的一个鉴别诊断。准确区分静脉/动脉瘤与纵隔内实性肿瘤对于避免活检或手术引起的并发症(破裂、危及生命的肺栓塞)至关重要。因此,恰当的影像学检查方法、正确的对比剂注射方案以及熟悉其影像学特征有利于明确无名静脉瘤的诊断。
来源:李建慧,刘延真,张洪.孤立性左侧无名静脉瘤2例并文献复习[J].国际医学放射学杂志,2024,47(02):236-238+246.