
成人软脑膜弥漫性中线胶质瘤伴H3 K27M突变1例
作者:麦盛始,吴健,韦迪
岱,三亚市人民医院
病例女,21岁,既往体健,因“反复头痛
2月”至我院就诊,不伴天旋地转、恶心呕吐
、意识障碍
。神经系统检查
示四肢腱反射活跃,病理征及脑膜刺激征
均未引出。入院后检查:血常规
正常;抗结核
抗体:弱阳性(+/-);脑脊液检查:潘氏实验(+++),白细胞计数6×106L-1;氯化物113 mmol/L(↓),葡萄糖
4.5 mmol/L(↑),脑脊液蛋白PROT 9 539.6 mg/L(↑)。
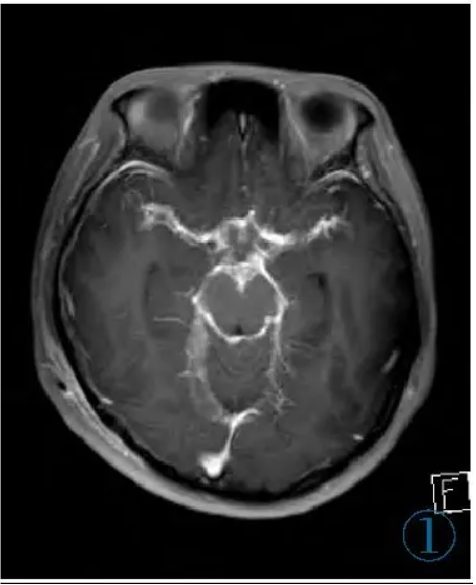
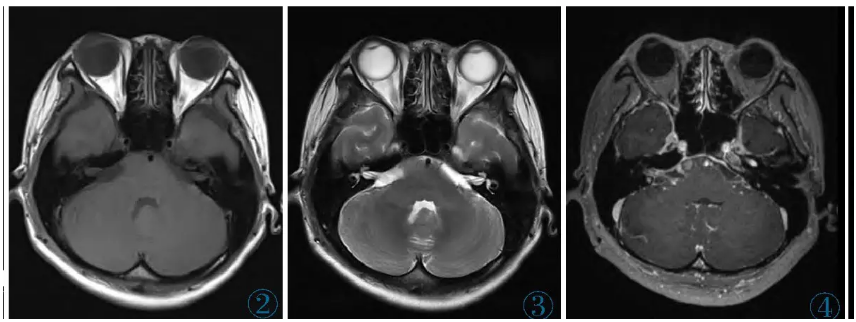
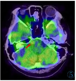
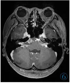
颅脑MRI示鞍上池、环池、侧裂池等区域的软脑膜呈弥漫性增厚、强化(图1),其中最大的结节凸向右侧桥脑前池,大小约11 mm×8 mm,呈宽基底与邻近脑膜相连,T1WI及T2WI呈等信号,增强扫描轻度强化,DWI未见弥散受限,PET-CT示该结节与脑膜病灶代谢轻度增高(图2~5)。脑室系统广泛扩张。左肺下叶外基底段可见数个实性小结节,边界清,直径约1~3 mm,代谢未见异常。

图1 横断位增强T1WI示鞍上池、环池、侧裂池等区域的软脑膜呈弥漫性增厚、强化。

图2~4右侧桥脑前池内见一结节呈宽基底与邻近脑膜相连,T1WI及T2WI呈等信号,增强扫描轻度强化。

图5 PET-CT示该结节与脑膜病灶代谢轻度增高(红色箭头)。
入院初步诊断为结核性脑膜炎
并脑积水
,予抗结核联合糖皮质激素
治疗及侧脑室腹腔分流等对症处理,患者头痛症状好转。1月后头痛加剧,回院复查MRI示颅内软脑膜弥漫性增厚、强化程度较前进展,脑室较前明显扩大,上述最大结节较前增大(图6)。脊柱MR示颈、胸、腰段软脊膜广泛增厚、强化,以后部明显,颈段脊髓内可见斑片状T2WI稍高信号影,边界模糊,增强扫描未见强化(图7)。

图6 1月后复查MR示软脑膜弥漫性增厚、强化情况较前进展,脑室较前扩大,结节较前增大。

图7 脊柱增强T1WI同时示软脊膜广泛增厚、强化,以后部明显。
继续给予地塞米松
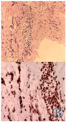
及抗结核治疗后症状无改善,为进一步明确病变性质,患者行腰椎髓外硬膜病灶穿刺活检术。活检组织病理显示:光镜下组织内小灶细胞较密集,细胞异型性明显,结合免疫组化表现,符合软脑膜弥漫性中线胶质瘤
(Diffuse midline glioma,DMG),WHOⅣ级(图8)。免疫组化:CD163(-),Olig2(弥漫+),GFAP(弥漫+),SSTR2(-),H3K27M(弥漫+),KI-67(+,约70%),S-100 (-),LCA(-)。分子基因测序提示H3F3A基因K27M突变阳性。患者拒绝进一步治疗,出院半年后死亡。

图8 活检组织病理示镜下可见脊膜软组织中小灶细胞聚集(HE),瘤细胞H3 K27M弥漫强阳性(En Vision法)。
讨论
DMG伴H3 K27M突变是2016年WHO中枢神经系统肿瘤新增分类,属WHOⅣ级。该肿瘤主要好发于儿童,发病年龄在5~11岁,偶可见于成人。目前关于H3 K27M弥漫性中线胶质瘤的影像学特征的文献有限,而且多数研究主要见于儿童病例,近年来只有零星的成人病例报道。
DMG伴H3 K27M突变的临床表现多样,主要取决于肿瘤生长位置,常表现为颅内压增高
、颅神经损害、长束征,共济失调
、运动减弱、偏瘫、步态失调等症状。病理镜下可见肿瘤细胞呈星形胶质细胞形态特点,可呈不同形态不同级别的分化,分子基因测序以H3F3A基因或HISTlH3B基因K27M突变为特点。该肿瘤侵袭性极强,病情进展迅速,预后极差,2年生存率小于10%。
通常,影像学上DMG伴H3 K27M突变发生于中线部位,并呈浸润性生长,其中脑桥、丘脑、脊髓最为常见,其他罕见部位包括第三脑室、下丘脑、松果体和小脑等中线结构处。与儿童病例不同,成人病例的最常发病部位是丘脑而不是脑干,经常累及大脑3个或更多相邻的脑叶,而且同时累及1个或更多的中线结构。
大部分DMG伴H3 K27M突变通常表现为信号均匀或不均匀的实性团块,可出现囊变、坏死、出血等改变,但瘤周水肿
一般较轻。T1WI呈低信号,T2WI及FLAIR呈高信号,增强扫描时病灶强化方式和程度差异较大,可表现为部分、环形、结节样强化,也可完全无强化。病灶在DWI上通常表现为轻-中度弥散受限,rCBV比值增加。MRS提示病变的Cho峰不同程度升高,NAA峰不同程度降低,反映肿瘤实质细胞增殖活跃。
本例DMG伴H3 K27M突变的形态与影像表现,与其他已报道的成年人病例表现形式存在明显不同。以往的病例大部分表现为中线部位脑实质的实性团块状肿物,仅有少数病例的软脑膜部分受累。而本例的脑实质内却未见明确的器质性病变,仅表现为软脑膜、软脊膜弥漫结节样增厚,同时颈段脊髓受累。
鉴于颅内有一较大结节位于桥前池软脑膜,因此我们推测肿瘤原发于桥前池或胸腰段软脑膜,并沿脑脊液播散并形成广泛的软脑膜、软脊膜种植转移。本例需与结核性脑膜炎、癌性脑膜炎等弥漫性脑膜炎以及罕见的神经系统结节病
、弥漫性软脑膜胶质神经元肿瘤等弥漫性软脑膜病变疾病进行鉴别诊断。
结核性脑膜炎是最常见的中枢神经系统结核感染,分支杆菌释放到蛛网膜下腔导致渗出物分泌增多,胶状渗出物可通过阻塞低水平的幕开口或通过导水管狭窄造成非交流脑积水。结核性脑膜炎的影像表现主要包括弥漫性基底脑膜增厚强化、脑积水和脑实质梗死。
癌性脑膜炎是一种罕见、晚期的疾病,通常发生于恶性肿瘤的终末期。癌性脑膜炎的主要特点是恶性癌细胞弥漫性累及软脑膜、蛛网膜下腔和脑脊液,主要影像表现为脑膜(室管膜、软脑膜和硬脑膜)线性强化、转移结节形成以及脑积水等。结节病是一种病因不明的多系统肉芽肿性疾病,以非干酪化肉芽肿为病理特征。
神经系统结节病是一种罕见的影响神经系统的结节病,最常见的影像学表现为脑膜和脑神经强化,下丘脑-垂体亦可受累,脑实质的病变表现为多发性皮层下和脑室周围白质病变,而脊髓亦可受累,表现为梭状脊髓受累、弥漫性或局灶性软脑膜疾病或多发性点状脊髓病变。
弥漫性软脑膜胶质神经元肿瘤以显著而广泛的软脑膜浸润性生长为特点,肿瘤细胞呈少突胶质细胞样,免疫组化以神经元分化和缺乏异柠檬酸脱氢酶
基因突变为特征。弥漫性软脑膜胶质神经元肿瘤通常好发于儿童,实性肿瘤占位效应轻,且病变呈弥漫性分布,MRI常表现为脑(脊)膜线状或小结节状的异常强化,常累及脑膜及脊髓。当上述疾病以弥漫性软脑膜病变为主要表现形式时,影像学表现通常为非特异性,鉴别诊断非常困难,最后需要依靠脑脊液细胞学和病理学来确诊。
综上所述,本例DMG伴H3 K27M突变的发病形式与影像表现十分罕见,MRI和PET-CT在病变定位、病变范围评估及邻近结构侵犯判定等方面有优势,但病理检查
和分子基因测序是诊断的金标准。本例提示了当我们在遇上以脑膜增厚、强化为主要形式且进展迅速的临床病例,且实验室检验结果并无明确的指标证实是炎性疾病时,需考虑恶性肿瘤的可能性。
来源:麦盛始,吴健,韦迪岱.成人软脑膜弥漫性中线胶质瘤伴H3 K27M突变1例[J].中国临床医学影像杂志,2024,35(10):746-747.