
甲泼尼龙联合吗替麦考酚酯治疗口腔黏膜类天疱疮1例
作者:熊小琴,高峰,孟文霞,南方医科大学口腔医院(口腔医学院)牙周黏膜病科
1. 病史采集
患者,女,50岁,患者主诉1年来全口牙龈反复流脓并极易出血,疼痛影响进食。曾行病理及直接免疫荧光检查,诊断为“口腔黏膜类天疱疮
”,服用“甲泼尼龙
(36 mg,qd,晨服)”、“硫酸羟氯喹
(0.1 g,bid)”等药物,治疗效果甚微,遂转至笔者所在科室进一步诊治。既往史:高血压
史,否认食物及药物过敏
史,家族史无特殊。
2. 临床检查
全口颊舌侧牙龈广泛糜烂,上皮大面积剥脱,脓性渗出明显,极易出血,稍触痛,尼氏征(+),其余黏膜未见异常(图1),未见明显皮损
。

图1 50岁女性口腔黏膜类天疱疮患者初诊时口内病损照片
3. 实验室检查与诊断
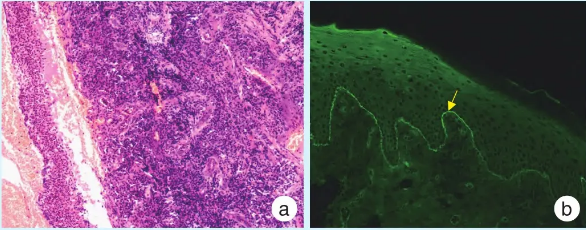
病理学检查:黏膜糜烂、上皮缺失,黏膜下层见致密浆细胞
及淋巴细胞浸润(图2a)。血清学检查:抗BP180/BP230/Dsg1/Dsg3等抗体检测均未见明显异常。直接免疫荧光:上皮基底膜带见C3线状(+)(图2b)。其余肝肾功能、血糖、微量元素及全身CT检查
等均未见异常。结合患者临床表现及直接免疫荧光线性阳性结果,并排除全身疾病后,诊断为口腔黏膜类天疱疮。

图2 50岁女性口腔黏膜类天疱疮患者组织病理学及免疫荧光检查结果
4. 治疗
患者于笔者所在科室就诊之前,已行甲泼尼龙联合硫酸羟氯喹治疗,1个月后未见明显缓解。
参考类天疱疮诊疗共识,结合患者全身情况及体重,予以甲泼尼龙(36 mg,qd,晨服)及沙利度胺胶囊
(50 mg,qd,睡前服),补钙护胃,就诊当日行全口牙周冲洗,牙周袋内上派力奥,地塞米松磷酸钠注射液稀释含漱3次/d,患者治疗近半个月后上颌前牙区唇侧牙龈上皮剥脱范围较前缩小;双侧下颌后牙区未见明显脓液渗出,原下颌舌侧牙龈糜烂面已基本愈合,36/37/46/47颊侧牙龈及前庭沟黏膜上皮剥脱,表皮糜烂(图3)。

图3 糖皮质激素
联合沙利度胺胶囊治疗50岁女性口腔黏膜类天疱疮2周后有改善但控制缓慢
逐渐缓慢减量,期间辅助牙周基础治疗,虽有改善但控制效果不理想,易复发,甲泼尼龙减量至(24 mg,qd)时出现牙龈再次糜烂复发,上下前牙区唇侧黏膜、双侧下颌后牙区颊侧黏膜及对应前庭沟及44/45舌侧牙龈黏膜的充血糜烂面较前广泛,且双颊后份黏膜也出现了不规则充血糜烂面。患者担心糖皮质激素副作用不考虑增加甲泼尼龙剂量方案,后联合使用MMF(0.5 g/次,bid),两周后随访,病损愈合控制较理想。
甲泼尼龙联合MMF使用8周后,甲泼尼龙减量至(12 mg,qd),MMF减为(0.5 g,qd),复诊时口内未见明显病损及新发水疱(图4),后按照类天疱疮治疗原则进行减量维持。目前已使用甲泼尼龙(8 mg,qd,晨服)以及MMF(0.5 g,qd)维持治疗6个月,仍在随诊中,患者病情稳定未见新发病损,口内黏膜未见明显损害,未见明显副作用。

图4 糖皮质激素联合MMF治疗50岁女性口腔黏膜类天疱疮8周后患者症状改善明显
来源:熊小琴,高峰,孟文霞.甲泼尼龙联合吗替麦考酚酯
治疗口腔黏膜类天疱疮1例报道及文献回顾[J].口腔疾病防治,2024,32(08):614-619.