
慢性假性肠梗阻的罕见病因——自身免疫性肠平滑肌炎诊疗启示
医脉通编辑整理,未经授权请勿转载。
导读
慢性假性肠梗阻(CIPO)是一种特殊类型的肠梗阻,由肠道动力障碍引起,无机械性狭窄。自身免疫性肠平滑肌炎(AEL)是导致人类和动物发生CIPO的原因之一。AEL患者通常对免疫抑制治疗反应良好。本文报道一例27岁中国男性AEL病例,患者在中国接受小肠移植后痊愈。
病例资料
患者,男,27岁,因反复腹胀、腹痛,近1年几乎每月均需住院接受胃肠减压治疗。
实验室检查:自身免疫相关抗体检测均正常。影像学检查:数字X线钡剂小肠造影
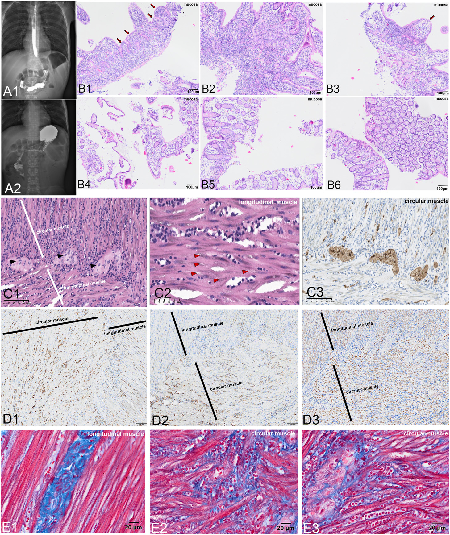
显示小肠通过时间显著延长(图1 A1-2)。全外显子组测序发现ACTG2基因突变。患者接受小肠切除及结肠活检,组织病理学显示:HE染色示黏膜慢性炎症伴局灶性淋巴细胞浸润(图1 B)。小肠切除病理可见大量淋巴细胞浸润黏膜层(尤以环肌层为著)(图1 C和D),符合2009年伦敦分类标准中淋巴细胞性平滑肌炎的病理诊断。自身免疫性肠平滑肌炎的组织形态学特征包括大量CD3⁺T淋巴细胞、CD8⁺T淋巴细胞及B淋巴细胞浸润(图1 D),以及末端回肠固有肌层平滑肌纤维变性(图1 E)。

图1 (A) 数字X线钡剂小肠造影:腹部小肠多发扩张,可见液体及气体潴留,小肠通过时间轻度延长(钡剂至回肠时间为4小时38分钟)(A1、A2)。(B) 活检组织HE染色:十二指肠水平部(B1)、降部(B2)、球部(B3)、末端回肠(B4)、升结肠(B5)及乙状结肠(B6)黏膜慢性炎症伴淋巴细胞聚集,部分绒毛变钝(红色箭头),部分绒毛上皮内淋巴细胞浸润,未见明确淋巴瘤细胞。(C) 小肠切除标本HE染色:黏膜层见大量淋巴细胞浸润,黑色三角标示正常神经节细胞(C1);平滑肌细胞内可见棕色颗粒(红色三角)(C2);小肠切除标本组织化学染色显示正常神经节细胞(C3)。(D) 小肠切除标本免疫组织化学染色:CD3⁺T淋巴细胞(D1)、CD8⁺T淋巴细胞(D2)及B淋巴细胞(D3)大量浸润肠道平滑肌层。(E) 末端回肠肌层Masson三色染色:固有肌层内平滑肌纤维变性。
治疗与转归:糖皮质激素
治疗无效,末端回肠造口术未能缓解腹胀,且造口引流量极高。术后治疗以抗感染及肠外营养
支持为主。最终,患者接受小肠移植,术后移植肠功能恢复良好。
小结
据研究者报道,这是全球首例被诊断为“自身免疫性肠平滑肌炎”并在肠移植后康复的中国成年患者。此外,根据HE染色结果(图1 C2),该患者还疑似合并棕色肠综合征,其特征为固有肌层平滑肌细胞内脂褐素沉积。
综上所述,AEL可发生于儿童及成人患者。AEL患者通常表现为无机械性狭窄的复发性肠梗阻。影像学及内镜检查
可初步识别肠梗阻并排除机械性病因。尽管内镜活检通常仅能获取黏膜及黏膜下层组织,但当发现广泛淋巴细胞浸润时,仍需考虑AEL的可能。全层肠壁活检是诊断AEL的金标准。本例患者对类固醇治疗反应不佳,可能与固有肌层纤维化相关(见图1 D)。本病例提示,对于合并肠功能衰竭的AEL患者,小肠移植应被视为一种可行的治疗选择。
参考文献:
1. Ju J, Luo M, Wang Y. A rare case report of autoimmune enteric leiomyositis and review. Asian J Surg. 2024 Sep 28:S1015-9584(24)01942-0. doi: 10.1016/j.asjsur.2024.08.202.