病例诊断 | 57岁男性情绪差、渐不语、日常生活能力下降近5个月余,您的诊断是?

来源:医脉通 2024.06.28
我要投稿

1. 病史信息


一般信息  男,57岁,汉族。


主  诉  情绪差、渐不语、日常生活能力下降近5个月余。


现病史  


1)  2020年7月患者因其母亲生病去世后总是感觉悲伤、难过,逐渐心情压抑,兴趣减少,乏力,自我评价低,反应迟钝,记忆力下降,经常缄默不语,偶有简单主动交流,食欲差,消瘦,日常生活可自行料理。2020年11月28日曾在门诊就诊,给予氟西汀分散片20 mg/d治疗


2)  2020年11月30日患者出现不语,不主动进食,需家人协助喂食,基本生活需家人协助料理,家人自行将氟西汀分散片加至30 mg/d时患者有明显恶心呕吐,站立不稳,手指不自主抽动,遂减量至20 mg/d,合并劳拉西泮最高0.5 mg/d,症状无明显好转,于2020年12月9日住院治疗


既往史  曾患浅表性胃炎;有血糖升高,未用药。否认手术史、外伤史等。躯体、精神疾病家族史阴性。


2. 临床检查评估


入院体格检查


1) 体温36.4 ℃,脉搏100次/min,呼吸19次/min,血压137/84 mmHg(1 mmHg=0.133 kPa),皮肤、淋巴结、心肺腹系统检查未见异常。


2) 神经系统检查:双侧瞳孔等大等圆,直径约3 mm,对光反射灵敏,颈软无抵抗,四肢肌力检查不合作,双上肢肌张力略增高,双侧指鼻试验、跟膝胫试验、闭目难立征等均不能配合,双侧腱反射对称(+++),脑膜刺激征(-),双侧巴宾斯基征(-)。


入院精神检查


轮椅推入病房,意识不清,表情显紧张,亚木僵状态,问话多无反应,多数时间卧床,有时有吐舌张口等怪异动作,常固定姿势不动,智能方面检查无法配合。


辅助检查


1) 生化26项:总蛋白62.2 g/L,白蛋白35.5 g/L,高密度脂蛋白1.56 mmol/L,钠135.1 mmol/L,总胆红素24.8 μmol/L;糖化血红蛋白6.2%;


2) 血尿常规、凝血四项、特种蛋白五项、C-反应蛋白均未见异常;


3) 甲状腺功能检查、乙肝五项、丙肝抗体未见明显异常。


4) 氟西汀血药浓度为正常范围。心电图、胸部CT未见明显异常;


5) 腹部超声示胆囊多发息肉样病变;


6) 心脏超声示三尖瓣轻度反流,左室舒张功能减低;


7) 头颅磁共振检查及脑电图等暂无法配合。


3. 入院第6天


体检较前变化体征为:双上肢肌张力略增高,双侧指鼻试验、轮替试验、跟膝胫试验等共济运动欠灵活,步态不稳,需搀扶,双侧腱反射对称(+++),双侧踝阵挛(+),双侧巴宾斯基征(-),脑膜刺激征(-),余查体同前。


精神检查:对周围情感反应显淡漠,表情呆愣,多数时间为亚木僵状态,对问话较之前有反应,张口说话困难,反复提问下可回答几个字,对医生的交谈偶尔有笑容、自嘲的表现,对大多数交谈内容反应不明确;对命令要求可有反应,但难以配合;可疑认知功能减退(患者对检查欠配合),双手姿势怪异,无自知力。


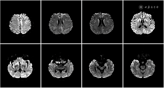
2020年12月15日头颅MRI示右侧额颞顶枕叶、左侧额叶、右侧尾状核头可见DWI高信号(见图1)。考虑患者目前存在突出的进行性认知功能下降、锥体外系及锥体束受损症状、异常头颅MRI表现,建议就诊于神经内科进一步排除引起快速进展性痴呆相关神经系统变性疾病,故于2020年12月15日转诊至外院就诊。


图片1.png

图1 2020年12月15日患者头颅MRI示右侧额颞顶枕叶、左侧额叶、右侧尾状核头可见DWI高信号


4. 患者转院后体检


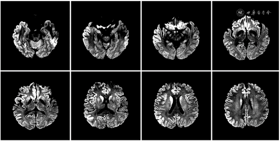
神经系统检查:无反应觉醒状态,不语,高级皮质功能检查不合作,颈强直,四肢肌张力高,双下肢腱反射(+++),右侧巴宾斯基征(+),余查体不配合。患者头颅DWI示高信号,呈“花边征”(见图2);


脑电图检查:典型的周期性三相波(见图3)。


脑脊液检查:生化、常规、脑脊液病原学检查、自身免疫性抗体检查未见明显异常;脑脊液14-3-3蛋白阳性,朊蛋白基因突变阴性。


2.png

图2  2021年1月21日患者头颅MRI示双侧尾状核、壳核、大脑半球皮质多数DWI高信号,左侧丘脑枕稍增高,呈“花边征”


3.png

图3 2021年1月11日患者脑电图示背景基本节律明显减慢,全导弥漫性不规则慢波混有尖波、三相波,全导频见周期性三相波和尖波周期性发放


群投票:如果你是首诊医生,如何诊断?

A. 紧张综合征

B. 抑郁障碍引起的认知障碍

C. 阿尔茨海默病

D. 血管性痴呆

E. 路易体痴呆

F. 克-雅病CJD


欢迎各位老师投票选择诊断

也欢迎在群内分享您的诊断思路

最终结果将在本周社群推送公布~


4M编号:MAT-CN-2324297  V0.2. 预计审批日期:2023年8月