
双侧下颌畸形中央尖分别合并根尖周囊肿和发育性牙源性囊肿1例
作者:张世龙,苏恒
,满其文,余自力,武汉大学口腔医院
畸形中央尖(central cusp deformity)是一种牙齿形态发育异常,是由于在牙胚发育期间牙乳头在中央窝处向造釉器突起而形成,中央尖容易折断常引起根尖周炎进而形成根尖周囊肿。发育性牙源性囊肿(developmental odontogenic cyst)是由牙齿发育和/或萌出过程中的异常上皮衬里形成的囊肿;对于伴有畸形中央尖并折断合并牙源性发育性囊肿的临床较为少见。本文报道1例双侧下颌畸形中央尖,分别伴发根尖周囊肿及牙源性发育性囊肿。
1. 临床资料
1.1 基本资料
该报道经过武汉大学口腔医院医学伦理委员会审核通过(2020-A95),手术标本及结果经过患者知情并同意用于科学研究。患者男性,24岁,因“双侧下颌骨囊肿”来武汉大学口腔医院就诊。自诉1年前发现右侧下颌骨囊性病变,无明显不适,未行特殊治疗。2周前出现右下后牙肿痛。
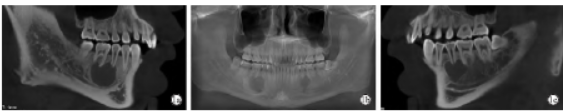
专科检查:患者面部基本对称,未触及颌下明显肿大淋巴结。口内检查见35、45牙齿畸形中央尖折断。35叩痛(-),45(±),无松动,冷热刺激未测,35、36、46牙髓电活力正常,45牙髓电活力消失。牙周检查无明显异常。牙龈黏膜无红肿,前庭沟黏膜色泽无明显异常,无触痛。CBCT 显示:左、右侧下颌骨35、36及45、46根尖区可见卵圆形囊性骨质密度减低影,边界清晰,颌骨未见明显膨胀,病变区牙根轻度吸收(图1)。血常规
检查结果正常。诊断双侧下颌骨囊性病损。
1.2 诊治经过
完善术前检查,排除手术绝对禁忌症后,术前与患者沟通治疗方案,患者要求先行囊肿刮除手术,择期完成45根管治疗。在全麻下行“双侧下颌骨囊性病变刮治术”(图2)。术后病检为:左下颌骨符合牙源性发育性囊肿伴感染;右下颌骨纤维性囊壁内见大量炎症细胞及泡沫细胞浸润,未见上皮衬里,免疫组化结果显示:TLE1(-)(图3)。
1.3 治疗及预后
拆线时创口愈合良好,无下唇麻木、疼痛等不适,并可正常饮食。2年电话随访,患者术后1月于当地医院完成45根管治疗,且术后1年于当地医院进行影像复查,术区愈合良好,骨质形成。

图1 术前CBCT检查
。1a:右侧下颌骨囊肿;1b:双侧下颌骨囊肿曲面;

图2 双侧下颌骨囊肿刮治术中照片。2a~2c:右侧下颌骨囊肿翻瓣前、囊肿刮除后、缝合术区;2d~2f:左侧下颌骨囊肿翻瓣前、囊肿刮除后、缝合术区

图3 双侧下颌骨囊肿病理切片(HE,×40)。3a:左侧下颌骨牙源性发育性囊肿;3b:右侧下颌骨根尖周囊肿
2. 讨论
畸形中央尖是一种牙齿形态发育异常,多见于下颌前磨牙,尤其是以第二前磨牙最多见,偶见于上颌前磨牙,常为对称性发生。畸形中央尖是由于牙胚发育期间牙乳头在中央窝处向造釉器突起而形成,发生率约为1%~4%,畸形中央尖的早期一般没有任何状,但由于畸形中央尖通常较为尖细,容易磨损或折断,引起牙髓感染、坏死或并发根尖周炎进而发展为根尖周囊肿。
牙源性囊肿(odontogenic cyst)是指牙齿形成器官的上皮或上皮剩余发生的一组囊肿。一般可分为发育性和炎症性两大类。前者由牙齿发育和/或萌出过程中的某些异常所致,后者则与邻近颌骨内存在的炎症灶有关。作为牙髓炎症的一种后续病变,颌骨炎症性囊肿(如根尖周囊肿等)的发生一般经历了牙齿龋坏、牙髓炎症和坏死、根尖周组织的炎症和/或免疫反应、Malassez上皮剩余增殖以及增殖上皮团块中央液化、囊性变等一系列可预测的病理过程,但目前人们对于发育性牙源性囊肿的组织来源和发病机制的认识尚不深入,许多理论仍建立在推测的基础之上。一般认为,牙源性囊肿的衬里上皮来源于牙源性上皮剩余。
本病例左侧为发育性牙源性囊肿,右侧为炎症性牙源性囊肿。畸形中央尖折断所引起根尖周囊肿(炎症性牙源性囊肿)较为常见并可以预测,但引起或伴发发育性牙源性囊肿国内鲜有报道。尽管畸形中央尖折断引起根尖周囊肿的机制较为明确,但其与发育性牙源性囊肿的关系尚未被深入研究。这种关联可能涉及复杂的发育和炎症过程,现有文献对此缺乏系统性分析,畸形中央尖的存在及其折断是否为发育性牙源性囊肿的致病因素仍未明确,这需要进一步的研究来确定其关联和潜在的病因机制。
对于发育性牙源性囊肿的组织来源和发病机制的理解仍然非常有限,很多理论仍然基于推测,这导致了对这种囊肿的诊断和治疗方案不够完善。并且,对于发育性牙源性囊肿的上皮衬里的具体来源和形成机制缺乏深入研究。这方面的不足,限制了我们对其病理过程的全面理解。
未来我们应该研究发育性牙源性囊肿的分子机制,揭示其病理机制。临床针对畸形中央尖合并发育性牙源性囊肿的临床研究数量有限,尤其本文报告的双侧下颌畸形中央尖合并不同类型囊肿的病例,更是鲜有报道。这种临床数据的匮乏限制了我们对其病理特征和最佳治疗方法的全面了解。虽然本病例通过手术治疗取得了良好的效果,但缺乏对不同治疗方案的比较。未来可以探究新技术在牙源性囊肿治疗中的应用。
总体来说,现有研究在发育性牙源性囊肿的基础机制、畸形中央尖与牙源性囊肿的关联、以及临床研究方面存在显著不足。这些不足限制了临床医生对该类疾病的全面理解和有效治疗策略的制定,需要进一步的基础和临床研究来说明畸形中央尖与发育性牙源性囊肿的关联。
来源:张世龙,苏恒,满其文,等.双侧下颌畸形中央尖分别合并根尖周囊肿和发育性牙源性囊肿1例[J].口腔医学研究,2025,41(01):64-66.DOI:10.13701/j.cnki.kqyxyj.2025.01.013.