
一例可见杯口细胞及类奥氏小体的急性B淋巴细胞白血病
作者:崔宇晖,孟冰,邯郸市第一医院
前言
急性淋巴细胞白血病
是一种恶性克隆性造血系统肿瘤,起源于骨髓中的 B 系或 T 系淋巴祖细胞。当骨髓、外周血或其他组织中出现大量原始及幼稚淋巴细胞时,即可诊断为急性淋巴细胞白血病(又称淋巴母细胞白血病)。
案例经过
患者,男,14 岁,因 “乏力、气短、心悸
1 月余,加重伴咳嗽
、咳痰、发热
、皮肤瘀斑 1 天” 入院。血常规
示:白细胞 2.9×109/L,红细胞 2.29×1012/L↓,血红蛋白
75g/L↓,血小板 25×109/L↓;淋巴细胞 57.4%,单核细胞 15.6%;外周血推片复检后,示原始细胞比例增高,形态如下。
行骨髓穿刺,完善细胞形态学、骨髓活检及流式细胞学等检查,结果如下:
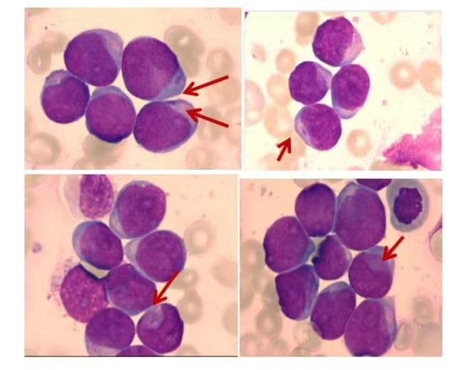
骨髓涂片

骨髓涂片可见大量原始细胞,该类细胞胞体较大,呈圆形及椭圆形,染色质粗颗粒状,胞浆可见红色短粗棒状物质(Auer 小体),且可见杯口细胞。
骨髓涂片组化染色
髓过氧化物酶染色(POX)阴性;特异性酯酶染色(CE)阴性 ;非特异性酯酶染色:(ANAE)部分细胞呈点状或局灶样阳性;糖原染色
(PAS)少部分胞浆呈颗粒状阳。
骨髓细胞免疫分型结果
异常原始 B 淋巴细胞:77.22 %
表达:CD34,CD38,CD123,CD22,CD19,CD10,CD9,
TDT,cCD79a ,HLA-DR,
不表达:CD117,CD7,CD15,CD64,CD33,CD11b,CD13,CD5
,CD2,CD20,CD4,CD14,CD36,MPO,cCD3,mCD3,CD56,
标本中可见原始 B 淋巴细胞,占有核细胞 77.22%,表型如下,符合急性 B 淋巴细胞白血病表型;请结合形态学及遗传学结果。
病理诊断结果:急性 B 淋巴细胞白血病。
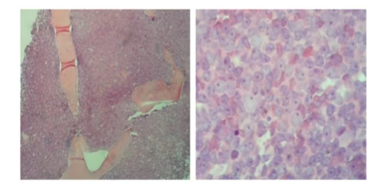
骨髓活检
HE 及 PAS 染色示骨髓增生活跃(90%),原始细胞弥漫增生,胞体大,胞浆少,核圆及不规则,染色质细致。少量粒系、红系细胞,巨核细胞偏少见,以分叶核为主。网状纤维染色(MF-1 级)。
案例分析
杯口细胞指原始细胞胞核最大径处内陷>25%,又称鱼嘴样细胞,多见于急性髓系白血病
(AML)。在我国,其主要出现于 FAB 分型中的 M1 型(急性髓系白血病未分化型)和 M2 型(急性髓系白血病部分分化型),且多与正常核型及 FLT3-ITD(FLT3 内部串联重复突变)、NPM1(核仁磷酸蛋白 1)基因突变相关。
WHO(世界卫生组织)2008 年及 2016 年版造血与淋巴组织肿瘤分型中,已将 “AML - 伴 NPM1 基因突变” 归类为 “有重现性遗传学异常的急性髓系白血病” 范畴。
目前,杯口细胞见于急性淋巴细胞白血病(ALL)的病例报道相对较少。已有研究报道显示,杯状细胞核与儿童 B 系急性淋巴细胞白血病(B-ALL)中的 IKZF1 基因缺失存在相关性;另有报道指出,成人 Ph 染色体
阳性急性淋巴细胞白血病(Ph+ALL)中,杯口状细胞可与 IKZF1 基因突变共存,提示此类细胞形态可能与淋系肿瘤的高危遗传学异常相关。本案例中,原始淋巴细胞合并杯口细胞表现,但因患者未行基因检测,暂无法明确其与哪个基因突变存在关联。
此外,本案例原始淋巴细胞中还观察到 “Auer小体”样包涵体(Auer rod-like inclusions,ARLI),该现象较为少见,部分文献中亦称之为 “类 Auer 小体”。依据传统认知,“Auer小体”是急性髓系白血病的特征性形态学标志,通常见于 FAB 分型的各亚型 AML,亦可存在于混合表型急性白血病
(MPAL)中。关于其本质,早期曾有学者推测可能为人类细胞内寄生虫、感染性微生物、核异常分叶结构或嗜苯胺蓝颗粒的病理形式,后经电镜证实,其本质是由嗜苯胺蓝颗粒聚集形成的棒状结构。在临床诊断中,“Auer小体”对明确髓系细胞的肿瘤性质具有重要诊断价值。
对于原始淋巴细胞中出现的 ARLI,目前学界尚未形成统一认知:部分学者认为其可能是免疫球蛋白(包括其轻链)或淀粉样蛋白的沉积产物;另有学者基于多种酶活性检测结果,提出此类包涵体可能起源于溶酶体。除急性淋巴细胞白血病外,ARLI 还可见于其他淋巴增殖性疾病(LPD),如慢性淋巴细胞白血病(CLL)、幼淋巴细胞白血病(PLL)的淋巴细胞中,以及多发性骨髓瘤
(MM)、反应性浆细胞
增多症的浆细胞等非髓系细胞中。

总结
在诊断急性白血病类型中,遇到“杯口细胞”及“Auer小体”样结构,其细胞化学染色不支持髓系时,也有可能是淋巴细胞白血病。骨髓细胞形态学检查是基础,我们也需紧密结合细胞化学染色、骨髓活检、流式细胞学、分子生物学及细胞遗传学特征进行综合判断。急性淋巴细胞白血病若具备典型形态,结合免疫分型等技术不难做出诊断,但当遇到不典型细胞形态时,往往需要借助 MICM 手段综合分析。
作为形态学工作者,需掌握各种细胞形态特征,知晓特殊细胞形态与流式免疫分型、分子生物学、细胞遗传学之间的关联,通过综合分析提高诊断的准确性,更好地服务于临床。
参考文献略。
来源:检验医学网