患者女性,30岁。因局灶性节段性肾小球硬化引起终末期肾病。行透析治疗,在等待肾源3月后行尸体来源的肾移植
手术。供体为一死于脑外伤的20岁男性,取器官前入住ICU 3天。供体肾功能正常,至取肾6 h前血清肌酐
为2 mg/dL。供体生前无病变。低温缺血状态下16 h。
肾移植后48 h血肌酐由10.2 mg/dL降到7.2 mg/dL。利尿后第一个24 h内尿量
为1200cc。血肌酐保持稳定,在第三天未降低。无全身性改变。
超声多普勒:无肾动脉闭塞,肾内阻力增加。超声未见尿路梗阻。诊断为移植肾功能恢复延迟。行肾活检。
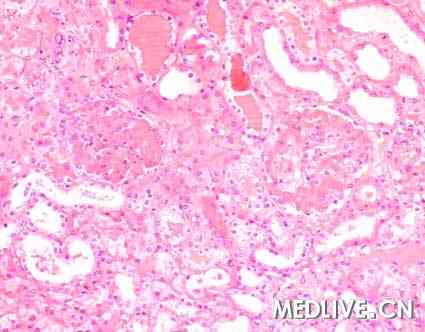
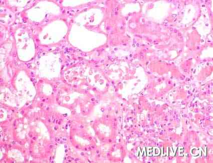
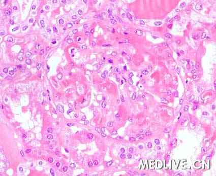
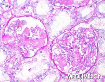
肾活检图片如图。

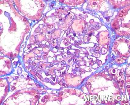
图1 HE染色,200×

图2 HE染色 200×

图3 HE染色 200×

图4 PAS染色 400×

图5 Masson染色,400×

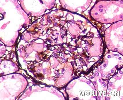
图6 六胺银染色,400×

图7 IgM(左)与C3(右)分别直接免疫荧光染色,
两者在管周毛细血管与肾小球间隙均为阴性,400×
直接免疫荧光法IgA和IgG均为阴性。C1q阳性(轻度),并且在同一肾小球有C3 和IgM沉积。免疫组化检查C4d阴性。
该病人的诊断是什么?(继续向下为诊断结果)
临床诊断:血栓性微血管病(起源于供体)
血栓性微血管病(Thrombotic microangiopathy, TMA)定义为毛细血管和(或)小动脉内血栓形成。TMA是公认的严重肾移植术后并发症之一。该病血管内溶血的临床特点并不总表现出来。该病分为新发TMA和复发TMA,多数新发TMA与环孢菌素治疗有关。病毒感染、严重肾缺血和急性血管性排斥反应是较少见原因。
肾小球毛细血管或小动脉内纤维性血栓形成可用于诊断血栓性微血管病。全身性TMA诊断依据是出现血小板减少和微血管病性溶血的证据。本例中活检结果与血栓性微血管病特征一致,但是无任何全身性溶血改变者考虑有局部TMA。
目前已经认识到有两种形式的肾移植后TMA:复发型TMA和新发型TMA。复发TMA可能发生于非痢疾形式的溶血性尿毒症综合征(HUS)病人,尤其是具有常染色体
阴性遗传即优势HUS的病人多见。具有补体H基因突变的病人几乎都要发生复发。大多数病人最终移植失败。新发TMA罕见。许多因素包括病毒感染参与了新发TMA的发生,但是大多数TMA病例是被钙调磷酸酶抑制剂或mTOR抑制剂诱发的。新发TMA的临床表现变异较大,有的病人具有HUS的临床和实验室特点,而其他病人仅仅表现为进行性的肾功能衰竭(疾病的局限形式)。预后没有复发TMA严重。将诱发疾病的药物完全停掉后许多病例的预后可能会有所改善。大约80%的病例加用血浆置换
后可能会补救移植肾。(Ponticelli C, Banfi G. Thrombotic microangiopathy after kidney transplantation. Transpl Int. 2006;19(10):789-94. [PubMed link])
环孢素A
(CsA)与TMA的关系于1981年第一次提出,只有一小部分的CsA相关的TMA病人有溶血性尿毒症综合征的临床表现,在肾活检之前诊断常常难以明确。他克莫司
和m-TOR抑制剂导致的TMA的病例也有报道。
本病例很早出现TMA,且更为主要的是,该供体的两个受体均发生了TMA,这是诊断供体源性的TMA的主要依据。另外一个受体,一位9岁的女孩具有相似的临床表现和组织学改变,但是与本病例不一样的是,该病人有轻度的血小板减少和微血管病性溶血的证据。两例病人肾功能均完全恢复,2周后行第二次肾活检,与第一次肾活检相比,仅有少许微血栓形成。两位同种异体肾移植者在移植后数个月状态均可。
在少见的累及供体肾小球的大多数病例中以及在一些至少广泛或弥漫性累及肾小球的TMA中,完整的纤溶系统能够溶解微血栓,这两例受体的表现就是证据。
该病例的病因可能与供体的临终事件和缺血再灌注损伤有关。