
家族性高胆固醇血症的64层CT诊断二例
作者:陈鹤,陈宏才,席仁刚,彭万宏 武汉东西湖区人民医院磁共振室
家族性高胆固醇血症(familial hypercholesterolemia,FH)是由于低密度脂蛋白受体基因突变引起的一组显性常染色体
遗传缺陷病,以血清低密度脂蛋白升高为主要特征,伴有很高的心血管疾病发病率。50%的FH患者在60岁之前死于心肌梗死,对其早期诊断可预防相关的冠心病的发病挽救更多人的生命。当累及心血管系统时可在影像学上有特征性的表现,认识这种表现可以为临床提供有价值的诊断信息。现将临床诊断的2例FH64层螺旋CT影像特点报告如下。
病例资料
病例1,男,19岁。发现皮肤多处黄色素瘤11年,间断性胸闷气短4年,胸痛
3个月。患者长期服用月见草油
口服,高胆固醇血症未见好转,自行停服。现因夜间出现胸闷气短症状来院进一步诊治。
体检:双眼可见角膜弓,颈部、肘部、指关节、臀部、膝关节、跟腱、眼外眦等部位可见多个大小不等的黄色结节,部分融合,活动度大,无压痛。主动脉瓣第2音亢进,主动脉瓣听诊区Ⅲ/6级收缩期杂音。心电图
:V1~V5、I、AVL波T倒置。
实验室检查:总胆固醇(TC)5.74mmoL/L,高密度脂蛋白胆固醇(HDL-C)0.76mmoL/L,低密度脂蛋白胆固醇(LDLC)4.4mmoL/L,甘油三酯(Tg)0.81mmoL/L,脂蛋白(A)79.9mg/L,超敏C反应蛋白4.62mg/L。
冠状动脉造影
:左主干以及前降支、回旋支及右冠状动脉病变。MDCT示主动脉瓣上、腹主动脉、肾动脉有不同程度狭窄,左主干、前降支及右冠状动脉病变(图1~4)。

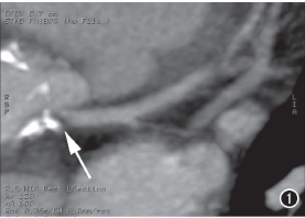
图1 左主干开口部可见钙化,管腔局限性重度狭窄(箭)。

图2 右冠状动脉开口部可见钙化,管腔局限性重度狭窄(箭)。

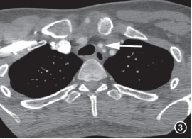
图3 头臂动脉管壁增厚,以左颈总动脉为著(箭)。

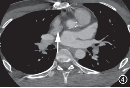
图4 主动脉瓣上管壁钙化,管径小于同水平降主动脉(箭)。
病例2,男,36岁。10d前出现发作性腹痛,程度较剧烈,每次持续10min自行缓解,伴胸闷、恶心、呕吐,有稀水样腹泻
,无粘液、脓血,体温最高达39°C。
体检:心率90次/分,血压130/75mmHg,颈部、肘部、膝关节、跟腱等部位可见多个大小不等的黄色结节,无压痛。主动脉瓣听诊区Ⅱ/6级收缩期杂音。心电图:Ⅱ、Ⅲ、AVF、V3V6ST段倒置,呈冠状动脉T波,Ⅲ、AVF病理Q波。
超声心电图: 左室下壁及后间隔基底段透壁心肌损害, 胸腹动脉瘤形成。实验室检查:TC15.4mmoL/L,HDL-C1.68mmoL/L,LDL-C12.24mmoL/L,Tg2.7mmoL/L,Lp(a)304mg/L,高敏C反应蛋白12.1mg/L,WBC11.4×109/L,中性粒细胞74.2%。
MDCT动脉造影:左主干、前降支近中段、回旋支、右冠状动脉开口部及第二转折处管壁弥漫软斑块,多发中到重度狭窄改变;主动脉及头臂动脉管壁广泛不规则增厚,管腔不规则,主动脉全程管径增宽,以降主动脉下段、腹主动脉为著,内可见附壁血栓形成(图5、6)。

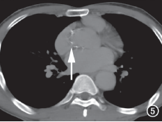
图5 主动脉瓣上管壁钙化(箭)。

图6 降主动脉管径增宽,管壁增厚,管腔不规则(箭)。
讨论
FH的临床表现:FH是由第19对染色体上的LDL受体基因的多种突变所引起的,LDL的受体缺陷引起血浆LDL代解代谢障碍、使血浆的LDL浓度异常升高。临床表现为
①高胆固醇血症:纯合子FH患者是由于从其父母各遗传获得一个异常的LDL受体基因,在患者体内没有或很少有功能性的LDL受体,因而造成患者血浆中胆固醇水平高出正常人6~8倍;杂合子LDL受体数目仅为正常数目的一半,故其血清总胆固醇水平较正常人明显升高,大部分患者血清总胆固醇水平最终可达9.1~12.9μmmoL/L;
②特征性黄色瘤:主要位于足跟、肘、膝、手背的肌腱,足部、眼睑内眦等处。纯合子在儿童时期出现,而杂合子多在30~60岁出现,为胆固醇积聚于间质间隙和组织巨噬细胞内所致;
③早发的心血管疾病:纯合子FH患者较早出现主动脉粥样硬化,多在10余岁时就出现冠心病的临床症状和体征,如得不到有效的治疗,这些患者很难活到30岁,杂合子男性患者通常在40~50岁出现冠心病症状, 而女性患者则大约比男性迟10年发生;
④阳性家族史:目前已知,其遗传方式主要是常染色体显性遗传。FH的临床诊断标准:成人胆固醇>7.8mmoL/L,16岁以下儿童胆固醇>6.7mmoL/L或成人LDL-C>4.9mmoL/L,患者或亲属有腱黄色瘤者诊断为FH,其中胆固醇>16mmoL/L,患者有腱黄色瘤者诊断为纯合子FH,未达纯合子标准者诊断为杂合子FH;对杂合子FH的诊断,DLN标准进行了详细的量化。对照以上两种诊断标准,笔者报道的两例患者均可确诊为FH。
FH的心血管疾病特征:FH以较早发生动脉粥样硬化为特征,累及部位比较特殊,常累及升主动脉根窦部、主动脉瓣及冠状动脉开口部位,引起主动脉瓣增厚钙化出现主动脉瓣狭窄
或(和)关闭不全。主动脉瓣上狭窄及冠心病常为多支病变,并以累受冠状动脉近端为特点。对于主动脉瓣狭窄及主动脉根部病变在纯合子型FH中常见,有人认为发生这种情况是由于幼年时期动脉粥样硬化引起升主动脉壁的生长障碍,LDL的高浓度可能会阻止主动脉生长基因的表达,从而影响主动脉的生长发育,而杂合子型中的主动脉瓣及主动脉根部病变是由严重的胆固醇血症加快了主动脉瓣及主动脉的退行性病变所致。
笔者所报道的2例主要累及主动脉根部及冠状动脉近端,与文献报道类似。FH的MDCT检查
及意义:FH特征性的心血管表现决定了FH患者累及心血管系统,其影像学表现也具有其特征性。表现为主动脉瓣及主动脉根部病变,如果加以注意和认识可为临床确定诊断提供可靠的诊断信息。本组2例年轻患者mDCT均显示主动脉根部钙化,具有特征性。目前64层螺旋CT已开始应用,其无创、价廉及应用范围广等优势使该技术可以及时发现FH特征性心血管病变,评估其心血管病变情况,特别是冠状动脉病变情况,指导临床及时治疗,并可以对患者进行追踪复查。
来源:放射学实践2013年10月第28卷第10期