CGC 2020 | 刘玉兰教授:重视出血性肠炎的致病原因——阿莫西林

来源:医脉通 2020.11.10
我要投稿

由中华医学会、中华医学会消化病学分会主办,广东省医学会、中山大学附属第五医院承办的中华医学会第二十次全国消化系病学术会议于2020年10月29-31日在广东省珠海市召开。大会上,来自北京大学人民医院刘玉兰教授以“重视出血性肠炎的致病原因——阿莫西林”为主题进行了精彩的学术报告,医脉通现为您呈现如下。

————————

1605002996498916.jpg

刘玉兰,博士,教授/主任医师,博士导师。

现任北京大学第二临床学院(人民医院)副院长、消化科主任、肝病研究所副所长,

目前任WHOICD11疾病分类专家组成员,中国老年医学学会消化分会会长,中华医学会消化病学分会常委兼秘书长,消化病学分会疑难重症协作组组长,中国医师协会执行常委,海峡两岸医药卫生交流协会消化病学分会副主任委员,中国医药生物技术协会组织标本库分会副主任委员,消化学会北京分会副主任委员,消化内镜学会北京分会副主任委员,

国家自然科学基金、科技部、卫生部、教育部及北京市科委等部门相关课题及科技成果评审专家;科研工作主要从事慢性肝病,溃疡性结肠炎和‘肠肝轴领域的研究;

已发表论文近百篇,并主编书籍4部及参编多部书籍。


抗生素相关性腹泻


抗生素相关性腹泻一般与长期、大量、多种抗生素的应用有关,其最常见的临床表现为腹泻,偶尔表现为脓血便。

 

抗生素相关性腹泻可分为感染性和非感染性两种。


1.非感染性抗生素相关性腹泻


许多抗生素本身也有促胃肠道动力的作用,如红霉素阿奇霉素,这样的抗生素容易导致腹泻。


抗生素造成腹泻的另一个机制是通过对肠黏膜的损伤。部分抗生素具有一定毒性,能造成肠道绒毛萎缩,使患者出现腹泻。

 

当然,最主要还是由于抗生素造成菌群失调,使有害细菌增加,进一步通过糖酵解减少、肠腔多糖增加、渗透性增加等多种方式促进腹泻的形成。

 

2.抗生素相关性腹泻:感染性


难辨羧菌(CDI,也被称为艰难梭菌)感染引发的伪膜性肠炎是感染性抗生素相关性腹泻的成因。

 

若要诊断抗生素相关腹泻,临床医生需掌握患者的用药史(使用抗生素的种类、时间、症状),并做细菌培养。抗生素暴露时间越长,患者产生抗生素相关腹泻的可能性越大。


特殊的“抗生素相关腹泻”病例

 

患者男,67岁,突发血便,肠镜检查如图所示(并非经典的抗生素相关腹泻的肠镜表现)。患者诉,此前因有根除幽门螺杆菌(HP)的需要而服用了阿莫西林、克拉霉素


1605003221323305.png


韩国也出现了使用抗生素后肠镜下出现类似表现的报道,患者分别为13、15岁的少年,肠镜表现如下图所示。


1605003312547600.png


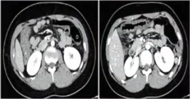
患者以便血、急腹症为主,之后于急诊就诊。CT显示升结肠、横结肠水肿,肠壁增厚。


1605003341958114.png


病理学检查可见多处炎性细胞(包括中性粒细胞、嗜酸性细胞)亲润,此外,该患者还合并了隐窝炎。


从临床表现来看,该病类似首次发作的溃疡性结肠炎(UC),但病史、病理检查结果和肠镜表现和UC并不完全一致。

 

其正确诊断也并非UC。

 

刘玉兰教授表示,其团队在2003年也报道了5例类似病例,正确的诊断为抗生素相关出血性肠炎。刘玉兰教授团队报道的5例患者之间年龄存在较大差距,其共同特征为使用阿莫西林后2-3天左右(最多不超过5天)发病,大多患者的病变以右半结肠病变为主。


起病急,但病情恢复较快,3-5天后肠镜下表现就能完全恢复至正常。

 

美国学者Toffler等和日本学者Sukurai等也分别报道了抗生素相关出血性肠炎的病例,并总结,抗生素相关出血性肠炎与伪膜性肠炎不同。

 

抗生素相关出血性肠炎的临床特点:

 

(1)急性起病,腹部绞痛和血便,症状严重;

(2)全身系统性表现少见或无;

(3)结肠镜检查证实无伪膜;

(4)病理组织学检查示仅有红细胞浸润结肠黏膜,红细胞渗出到肠腔;

(5)只需停用可疑抗生素,无需特殊治疗;

(6)病情恢复快,无并发症。

 

2006年,NEJM上的一篇文章对抗生素相关出血性肠炎进行了报道,并通过研究探索了其发病机制。


1605003379297137.png

AHC,阿莫西林相关肠炎

 

这些研究提示阿莫西林相关肠炎与肺炎克雷白菌直接相关,肺炎克雷白菌导致了该病的发生、发展。

 

产酸克雷白菌


产酸克雷白菌是一种革兰氏阴性兼氧肠杆菌,它不同于其他克雷白菌。


最近有证据表明,该菌在地表水环境、污水,土壤,植物中存在,在正常成人粪便中检出高达高达38%。


从抗生素相关性出血性肠炎患者大便中分离出的一些产酸克雷白菌的菌株(K.oxytoca菌株)产生的毒素,可引起上皮细胞死亡。

 

全株克雷伯菌能自然产生β内酰胺酶,因此对所有广谱抗生素都能产生抵抗。这种情况下使用广谱抗生素,不仅不能杀死克雷伯菌,反而可能带来潜在危害,因为抗生素(如阿莫西林)在杀死了其他细菌后,克雷伯菌的活性会大量增殖,从而对肠道产生损伤。

 

从阿莫西林衍生的一些药物的结构、作用机制并非完全相同。

 

1605003456845656.png


图中,阿莫西林和阿莫西林-克拉维酸均能导致出血性肠炎,而阿莫西林-他唑巴坦不容易导致出血性肠炎。


1605003518705363.png

他唑巴坦的抑酶强度最高

 

阿莫西林广泛用于临床

 

在我国,阿莫西林不仅应用于呼吸道感染,还是Hp治疗的一线用药,且由于其对Hp根除的疗效好,临床使用较多。

 

教授认为,由于临床上,医生对阿莫西林引起的出血性肠炎认识的不足,该病的发病率远远高于文献记载。同时,教授也呼吁大家对该病多加关注。

 

阿莫西林相关出血性肠炎的鉴别诊断

 

最后,教授总结道,正确诊断阿莫西林相关出血性肠炎的关键是——临床上在处理伴随肠道出血/便血的患者时,追问患者的用药(抗生素)史。

 

对于老年患者,须将阿莫西林出血性肠炎与缺血性肠炎作鉴别。


1605003552655115.png


UC是另一个需要与之鉴别的疾病。

 

刘玉兰教强调,阿莫西林相关出血性肠炎病还可伴随隐窝炎,很容易被误诊为UC。若在内镜下发现类似于UC的肠道外观,切勿一旦活检提示合并隐窝炎就确诊UC,并随之大量使用糖皮质激素。应进一步追问用药史,该病很有可能是阿莫西林出血性肠炎。