
全丽娜教授:匹妥布替尼联合方案助力老年DLBCL患者实现快速缓解
弥漫大B细胞淋巴瘤
(DLBCL)是最常见的恶性淋巴瘤
亚型,中位诊断年龄约为57岁1。其中,老年DLBCL患者复发风险高,常伴多种合并症,对治疗的耐受性较差,导致整体治疗效果欠佳,治疗难度较大2-3。因此,亟需优化老年DLBCL患者的治疗策略。近年来,随着DLBCL研究的不断深入,布鲁顿酪氨酸激酶抑制剂(BTKi)等新型药物及联合治疗方案展现出显著的治疗潜力。在此,医脉通特邀哈尔滨医科大学附属肿瘤医院全丽娜教授分享3例匹妥布替尼
治疗老年DLBCL患者的诊疗经过,旨在为临床实践提供指导。
病例1:匹妥布替尼治疗初治高龄DLBCL患者获CR
患者,女,84岁
现病史:
因“发热
、乏力1个月”,对症抗炎治疗无效,骨髓穿刺提示淋巴瘤,遂于2025-3-24来院治疗。
查体:
T:38.5℃,一般状态差,平卧于床,双肺啰音,下肢浮肿,肌力2级。
既往史:
心梗病史。
实验室检查:
血常规
:WBC 8.74×109/L,Hb 78g/L,PLT 32×109/L
生化:ALT 90U/L,AST 75U/L,GGT 179U/L,LDH 1024U/L,β2-MG 6.5mg/L
铁蛋白:803ng/mL
细胞因子:IL-2 7.16pg/mL,IL-4 3.42pg/mL,IL-10 132.33pg/mL,TNF-α 8655pg/mL
NK细胞活性:10.38%
sCD25:12877pg/mL
影像学检查:
病理检查
:
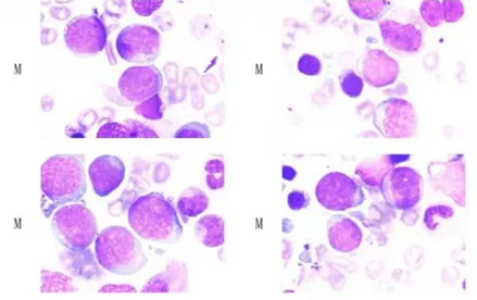
骨髓穿刺:异常淋巴细胞占32%,胞体偏大,核染色质呈粗颗粒状,胞浆色蓝,量偏多,可见核仁,部分细胞呈空泡样改变;不除外淋巴瘤白血病
。

图1 骨髓细胞形态学表现
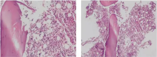
骨髓活检:CD20+B淋巴细胞占40%,可见轻度纤维化(MF2级),符合弥漫大B细胞淋巴瘤,伴纤维化,部分可见窦内浸润。

图2 骨髓活检病理表现
疾病诊断
非霍奇金淋巴瘤
IV期 弥漫大B细胞淋巴瘤(non-GCB)/白血病(侵及骨髓、IPI 4分 高危、ECOG 4级),贫血
、血小板减低、淋巴瘤相关噬血细胞综合征
、胸腔积液、脾大、肝功异常、高血压
、高脂血症
、多发腔隙性脑梗死
、脑白质病变、脑萎缩。
治疗历程
一线治疗:
2025-3-26至2025-06-18,予5个周期Pola-R+匹妥布替尼(维泊妥珠单抗
90mg ivgtt d0,利妥昔单抗
300mg ivgtt d1-2,匹妥布替尼 200mg qdpo d1-21),每个周期21天,2周期后达血液学缓解,4周期后疗效评估示骨髓完全缓解(CR)。治疗后患者生活质量显著改善,从被动照料、卧床不能活动到下地活动、维持日常生活。治疗期间第1周期出现过便血,停药观察后继续用药未再出现不良事件,轻度手指麻木感,可耐受。
表1 治疗后患者血清细胞因子、LDH等指标变化情况

病例2:匹妥布替尼治疗多部位受累R/R DLBCL患者实现快速缓解
患者,男,62岁
现病史:
2021-04患者无明显诱因出现右侧持续性鼻塞,逐渐加重,偶有涕中带血,后于外院行鼻息肉切除术+内镜下上颌窦、筛窦、额窦病损切除术,病理提示弥漫大B细胞淋巴瘤。为进一步治疗至本院就诊,患者一般状态良好,饮食睡眠可,大小便正常,无盗汗,近1月体重无明显减轻。
既往史:
心梗病史。
病理检查
本院病理会诊示:(右鼻腔)非霍奇金B细胞淋巴瘤,符合弥漫大B细胞淋巴瘤,生发中心外活化B细胞表型,伴浆母细胞分化。免疫组化示:CD20(+),CD79α(+),CD3(-),CD21(-),CD10(-),Bcl-6(部分+),MUM1(+),Bcl-2(+),C-MYC阳性细胞约30-40%,CD30(-),CD38(+),CD138(-),Lambda(很少+),Kappa(很少+),Ki-67阳性细胞约70%。原位杂交:EBER(个别+)。
疾病诊断
弥漫大B细胞淋巴瘤IV期复发,侵及眼眶内及眶周软组织、鼻咽部、右侧睾丸、多处骨质,IPI 2分;不稳定性心绞痛
、冠状动脉粥样硬化性心脏病
、冠状动脉支架植入后状态、高血压、脑梗死个人史。
治疗历程
一线治疗:
2021-09至2022-01,予R-CHOP(利妥昔单抗+环磷酰胺
+多柔比星
+长春新碱
+泼尼松
)方案治疗6个周期,最佳疗效达CR。
2025-04患者因“左眼进行性视物模糊,左眶周肿物”就诊,再次活检病理提示DLBCL,考虑疾病复发。
二线治疗:
2025-04-21至2025-06-11,予Pola-BR+匹妥布替尼方案(维泊妥珠单抗 120mg ivgtt d0,苯达莫司汀
150mg ivgtt d1-2,利妥昔单抗 600mg ivgtt d0,匹妥布替尼200mg qdpo d1-21)治疗3个周期(每个周期21天),2周期后即达PR。用药后患者症状明显改善:视力
逐渐恢复至正常,眶周肿物消失,睾丸肿物消失,腰背部疼痛显著好转。治疗期间患者消化道反应严重,胸闷胸痛
,考虑可能与既往心梗病史相关。

图3 Pola-BR+匹妥布替尼方案治疗前后患者的影像学表现
病例3:匹妥布替尼治疗BTKi耐药、高龄中枢DLBCL患者仅1周期即达PR
患者,男,84岁
现病史:
2023-9患者无明显诱因出现头晕,就诊于当地医院,按脑水肿
对症治疗后略好转。2023-11患者头晕、呕吐
症状加重,出现言语笨拙,就诊于外院,检查提示脑占位,行穿刺活检提示淋巴瘤。为进一步诊治,至本院就诊。
既往史:
房颤
病史多年。
影像学检查
头增强MRI:脑内多发水肿。
病理检查
病理检查示:(颅内)弥漫大B细胞淋巴瘤。免疫组化:CD20(+),MYC(+,40%重度程度+),BCL-2(+),BCL-6(+),MUM1(+),CD3(-),CD21(-),CD30(-),CD10(-),Ki-67(约80%)。
疾病诊断
原发中枢神经系统淋巴瘤
,弥漫大B细胞型
治疗历程
一线治疗:
2023-12-16至2024-04,予ZR(泽布替尼
+利妥昔单抗)方案治疗6个周期,过程顺利,无不良反应,第5周期评估病情,病灶较前明显缩小。随后采用泽布替尼维持治疗,定期复查示疾病稳定。
2025-4患者因“右侧上肢及下肢无力”就诊于当地医院,检查提示泽布替尼耐药,考虑淋巴瘤复发可能。
二线治疗:
2025-05-23至2025-07,予匹妥布替尼+塞利尼索
+利妥昔单抗(匹妥布替尼 200mg qdpo d1-21,塞利尼索 40mg biw po,利妥昔单抗 600mg ivgtt d0)方案治疗3个周期(每个周期21天),1周期后达部分缓解(PR)。用药后患者症状明显改善:言语笨拙改善,可以下地活动,手部精细动作好转。治疗期间出现一过性消化道不良反应,经治疗后好转。

图4 匹妥布替尼+塞利尼索+利妥昔单抗方案治疗前后患者的头部MRI表现
全丽娜教授点评
DLBCL好发于老年人群,异质性较大且治疗患者的比例随年龄增长而下降,多种疾病特征、基线身体状况、临床管理等因素导致老年患者具有不良的预后结局4。近年来,免疫治疗及小分子药物的出现改变了DLBCL的治疗模式,给老年患者带来了更多的治疗选择,其中BTKi展现出巨大潜力。
BRUIN研究是一项多中心、开放标签的Ⅰ/Ⅱ期临床试验,旨在评估匹妥布替尼在B细胞恶性肿瘤患者中的疗效和安全性。研究结果表明,在DLBCL患者中,匹妥布替尼初步显现出良好的疗效与安全性5。《BTKi治疗B细胞恶性肿瘤中国专家共识》进一步指出,对于不适合标准化疗的老年、虚弱患者,推荐采用BTKi联合减量化疗或无化疗方案6。
本文报道了3例具有代表性的老年DLBCL患者的诊疗过程(包括初治超高龄患者、免疫豁免区复发患者以及原发中枢神经系统淋巴瘤患者),充分证明了匹妥布替尼在复杂临床场景中的突破性价值。在84岁初治超高龄患者中,采用Pola-R-匹妥布替尼方案治疗2周期即实现血液学缓解,4周期达骨髓完全缓解,关键炎症指标显著改善,生活质量从卧床依赖恢复至自主活动。对于62岁复发累及睾丸、眶周等免疫豁免区的难治病例,Pola-BR-匹妥布替尼方案治疗2周期即实现多病灶消退及症状逆转。在84岁原发中枢神经系统(CNS)淋巴瘤患者中,匹妥布替尼联合塞利尼索+利妥昔单抗成功逆转泽布替尼耐药,治疗1周期达PR,神经功能显著恢复。这些临床案例凸显了匹妥布替尼的三大核心优势:其一,非共价结合机制不依赖BTK蛋白C
481位点,可克服共价BTKi的获得性耐药;其二,高效穿透血脑屏障及免疫豁免微环境,为传统化疗难以干预的特殊部位病灶提供新策略;其三,在超高龄群体中仍保持优异安全性,为患者安全治疗保驾护航。
BRUIN研究与真实世界病例共同证实,匹妥布替尼在老年及复杂DLBCL患者中具有快速、深度的缓解能力和良好的安全性。展望未来,需深入探索其基于生物标志物的精准化应用、与新型免疫制剂的联合治疗潜力,并积累长期真实世界生存质量数据。匹妥布替尼的临床实践,正深刻改变着老年DLBCL的治疗格局,推动个体化、低毒高效的靶向治疗成为现实。
专家简介

全丽娜 教授
哈尔滨医科大学附属肿瘤医院血液淋巴内科
医学博士/博士后
主任医师/血液淋巴内科病房副主任/硕士生导师
黑龙江省健康科普专家库专家
中国中西医结合检验医学会 流式细胞分析诊断专委会常务委员
黑龙江省抗癌协会 淋巴瘤专业委员会常务委员
黑龙江省老年医学会 血液学专委会常务委员
中国抗癌协会血液肿瘤专业委员会 中国临床流式联盟委员
中国医药教育学会骨髓瘤
专业委员会委员
从事血液系统疾病诊疗工作;淋巴瘤和骨髓瘤相关的科研工作
以第一作者/通讯作者发表SCI文章及国内核心期刊文章11篇
主持中国博士后课题1项、国家癌症中心攀登基金1项、多项省厅局级及横向课题
获黑龙江省医疗新技术及哈医大医疗新技术一等奖项1项、二等奖2项