
AJH (IF:9.9) | 匹妥布替尼有效治疗Bing-Neel综合征,其卓越的中枢穿透特性带来临床突破

Bing-Neel综合征(BNS)是华氏巨球蛋白血症
(WM)中罕见的中枢神经系统并发症,肿瘤细胞突破血脑屏障,引起系列神经系统症状。
近期意大利学者Anna Maria Frustaci教授报道了三例BNS患者,在伊布替尼
治疗期间病情进展,经匹妥布替尼
治疗有效的临床经验[1]。这些患者均在确诊BNS前接受过至少一线针对WM的系统性免疫化疗,其中两例患者在出现BNS后接受了伊布替尼治疗,而第三例患者在使用伊布替尼治疗期间出现BNS进展。表1展示了患者的临床特征。
表1 患者开始使用匹妥布替尼时的基线特征及既往治疗史

(CTX,环磷酰胺
;R,利妥昔单抗
;DRC,地塞米松
、利妥昔单抗联合环磷酰胺;BR,苯达莫司汀
联合利妥昔单抗;ITT,鞘内治疗;MATRix,甲氨蝶呤
、阿糖胞苷
、塞替哌联合利妥昔单抗;SD,疾病稳定;CR,完全缓解;PR,部分缓解;CSF,脑脊液)
51岁确诊WM,MYD88突变,使用环磷酰胺联合利妥昔单抗治疗。
64岁诊断BNS,最初没有神经系统症状,但在左顶骨区出现皮下肿胀,诊断为BNS。脑部MRI显示皮下血肿伴淋巴瘤浸润硬脑膜。
患者在接受伊布替尼治疗30个月后发生疾病进展,出现癫痫
发作和右臂活动障碍。MRI显示左侧颞顶叶组织增加,累及顶叶硬脑膜,伴轻度软脑膜增强,硬脑膜增厚,大脑顶叶上部皮质新见局灶性信号改变提示实质损伤。左顶叶活检证实淋巴浆细胞
性淋巴瘤浸润(CD20+, CD79a+, Ki67 20%)。
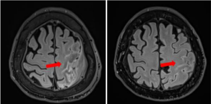
患者进行匹妥布替尼治疗3周后右臂功能完全恢复,1个月CT显示左侧顶叶肿块缩小,3个月MRI显示硬脑膜增厚减少50%(8 vs 20mm)、病灶周围水肿
和帽状腱膜下病变完全消退。颅顶区域仍可见局灶性强化灶残留。
患者接受匹妥布替尼持续治疗7个月(仍在治疗中),血液学反应为非常好的部分缓解(VGPR),临床反应CR,影像学反应PR。

图1 | 患者1接受匹妥布替尼治疗的影像学表现:MRI在基线期(左图)及治疗3个月时(右图)的对比
47岁确诊WM,MYD88突变。2013年进行DRC治疗,2016年进展进行BR治疗。
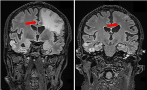
72岁确诊BNS,出现语言障碍,MRI显示双侧额叶白质T2-FLAIR高信号增强,左额叶皮质增厚伴对比增强,对侧类似异常改变复发。
患者进行伊布替尼治疗60个月后进展,表现为语言障碍。
患者接受匹妥布替尼200mg治疗2周后语言功能改善,三个月时复查脑部MRI显示脑膜及邻近皮层区域的病理性对比强化范围缩小超过50%,左额叶仅残留最小程度脑膜增强。影像学检查同时显示T2-FLAIR高信号范围显著缩小,但已伴有早期组织萎缩征象。
患者接受匹妥布替尼治疗5个月(持续中);血液学反应PR,临床反应PR,影像学反应PR。

图2 | 患者2接受匹妥布替尼治疗的影像学表现:MRI在基线期(左图)及治疗3个月时(右图)的对比
74岁确诊WM,MYD88突变
85岁确诊BNS,患者因病情急剧恶化伴活动能力下降收治入院。CT扫描和脊髓MRI显示骶管占位,至少延伸到S3-S4过渡段,长TR序列呈低密度,脑脊液检出淋巴浆细胞(流式细胞术)。
患者在接受匹妥布替尼200mg治疗的首个月期间,运动功能出现部分恢复;治疗1个月时的CT扫描显示病变组织完全消退,血液学反应PR。

图3 | 患者3接受匹妥布替尼治疗的影像学表现:CT在基线期(左图)及治疗1个月时(右图)的对比
在这三例出现BNS的WM患者中,cBTKi治疗进展后使用匹妥布替尼均显示出卓越疗效(如表2),且未观察到血液学或非血液学毒性反应。值得关注的是,匹妥布替尼治疗起效迅速(BNS相关症状在2周内改善,首次影像学应答出现在1个月内)。虽然该数据难以与其他研究进行间接比较,但就影像学应答(特别是在3个月MRI评估时),本文中病例的表现优于Castillo等报道的伊布替尼治疗的数据。
表2 患者使用匹妥布替尼时的疗效

本研究的临床及影像学数据证实,ncBTKi匹妥布替尼可有效穿透血脑屏障,为其应用于中枢侵犯的淋巴浆细胞肿瘤治疗提供了重要的线索。
陈波斌教授
复旦大学附属华山医院
目前针对WM累及中枢神经系统的患者,在cBTKi治疗失败后,尚未有明确、有效的挽救性治疗方案,凸显了该疾患的临床需求尚未满足[2]。在BRUIN研究中,ncBTKi匹妥布替尼对既往接受过cBTKi治疗的WM患者展现出显著疗效,总体人群的总缓解率(ORR)达到77.8%,中位无进展生存期(PFS)为22.1个月[3]。本次报道的病例尽管未检测血液和脑脊液中匹妥布替尼浓度,但用药后出现快速的临床应答和影像学缓解,显示了该药对于WM累及中枢神经系统(CNS)的药物活性与治疗的有效性。
药物是否能透过血脑屏障(BBB)受多重因素调控,包括药物的分子量、亲脂性、电荷特性、外排转运体相互作用以及血脑屏障的结构完整性。脂溶性药物通常更容易透过BBB,缘于BBB本身以脂质为主的疏水性结构特征。炎症或脑肿瘤等病理状态可破坏血脑屏障的完整性,导致其通透性增加。此前的研究评估伊布替尼、泽布替尼
和匹妥布替尼的理化性质,结果表明这些药物具有相似的脂溶性特征[4],有助于其被动扩散通过血脑屏障。本次报道的三个BNS病例中所观察到的临床疗效,提示匹妥布替尼能在脑部病灶部位达到具有药理学意义的有效浓度。
综上所述,匹妥布替尼不仅可能成为BNS具有前景的靶向治疗药物,其药理特性也为该药用于中枢神经系统淋巴瘤
的治疗,提供了有价值的参考依据。目前,多数靶向药物因血脑屏障的限制,难以在CNS达到有效治疗浓度,而匹妥布替尼治疗有效的案例,提示该药物或可拓展至累及CNS的淋巴浆细胞肿瘤的治疗,未来需更大样本研究来验证其有效性,并探索联合治疗的策略,以进一步提高疗效。

陈波斌教授
主任医师,博士生导师
复旦大学附属华山医院血液科副主任
华山医院宝山院区血液科执行主任
上海市医师协会血液学专业委员会委员
上海市医师协会内科学专业委员会委员
上海市抗癌协会血液肿瘤专业委员会委员
中国老年医学学会血液学分会委员
上海市医学会(第10、11届)血液学专业委员会副主任委员
中国医师协会循证医学专业委员会委员
上海市临床流行病学/循证医学专业委员会委员
中华医学会临床流行病学分会方法学组委员
国际临床流行病学网络(INCLEN)成员