
案例实录:奈拉替尼采用2周剂量递增给药方案强化辅助治疗增强患者用药耐受性和依从性
目前,HER2阳性早期乳腺癌
(EBC)的标准治疗方案是手术切除后给予1年曲妥珠单抗或含曲妥珠单抗和帕妥珠单抗双靶向辅助治疗[1],但APHINITY和KATHERINE等研究结果表明,具有高复发风险的患者在H(P)单靶或双靶标准辅助治疗后仍面临长期复发风险,约有10%-20%的患者5年内出现肿瘤复发[2-4]。这可能是由于胞外结构域(ECD)截短型HER2受体不再能被抗体识别,或由于EGFR信号转导的共激活,乳腺癌细胞对曲妥珠单抗产生耐药[5],从而影响其抗肿瘤疗效。小分子TKI作用于胞内酪氨酸激酶结构域,对抗体类药物耐药的肿瘤细胞可能对TKI治疗仍保持敏感性[6],可有效克服曲妥珠单抗耐药,是治疗HER2阳性乳腺癌的新选择。
III期ExteNET研究[7-9]表明,HER2阳性EBC患者在完成曲妥珠单抗辅助治疗1年内序贯奈拉替尼
强化治疗可有效降低浸润性疾病复发风险。在安全性方面,在没有采取强制止泻预防措施的情况下,腹泻
是奈拉替尼治疗中观察到的最常见的不良事件(AEs),3级腹泻发生率为40%。CONTROL研究[10]中奈拉替尼2周剂量递增组中≥3级腹泻的发生率最低,仅13%,证明奈拉替尼强化辅助治疗过程中采用剂量递增方式给药是防治腹泻的有效策略。
本文为1例HER2阳性年轻女性乳腺癌患者,术前腋窝淋巴结转移,经过6周期TCbHP方案的新辅助治疗,术后评估病理不完全缓解,为临床高复发风险人群,因此推荐该患者术后强化辅助治疗。考虑到奈拉替尼腹泻发生率较高严重影响了患者用药的依从性,因此采用奈拉替尼的美国食品药品监督管理局(FDA)说明书[11]和国际指南[12]均建议的奈拉替尼“2周剂量递增”方案进行初始给药,患者从2025年4月9日起口服奈拉替尼辅助强化治疗,给药方案:3+4+6剂量递增给药:第一周3片/天,腹泻4-5次/天,腹泻AE评级1级,口服洛哌丁胺
后腹泻2-3次/天。第二周4片/天,每天出现腹泻2-3次,第三周开始6片/天,腹泻保持在3-4次/天,可耐受。通过3+4+6剂量递增给药患者对奈拉替尼明显耐受增加,依从性良好,目前,患者的病情保持稳定,整体状况良好。临床继续采用奈拉替尼(汉奈佳)强化辅助治疗1年。


病例介绍
患者:女,年龄34岁,未绝经
。
主诉:因发现“右乳肿物一月”于2024年3月入院。
家族史:否认家族性肿瘤病史及其他遗传病史。
既往史:平素身体健康;否认传染病史;预防接种史不详;强直性脊柱炎
10年;否认药物(食物)过敏史;否认血制品输注史;无手术史;无外伤史;否认放射性物质接触史;口服中药2年,停药10年。
现病史:患者2024年2月无意中触及右乳外上一约玻璃球大小肿物,质实,边界不清,活动度差。就诊外院行彩超提示:右乳低回声BI-RADS 4B类。肿物未明显变化,近日就诊我院门诊行彩超等检查,考虑恶性肿瘤。
查体:一般状态可,神清语明,皮肤及黏膜无苍白,浅表未及肿大淋巴结,心肺腹未闻及确切异常。
专科查体:双乳大小、形态对称,自然下垂,双侧乳腺皮肤未见明显红肿。双侧乳头位于同一水平,未见明显变形、凹陷、溢液。右乳外上方可触及一3.0*3.0cm实性肿块,质硬,边界不清,活动度差。右腋下可触及1.5*1.5cm单个活动淋巴结。左侧乳房未触及肿物、左腋下及双侧锁骨上未触及肿大淋巴结。
辅助检查:
• 乳腺彩超:
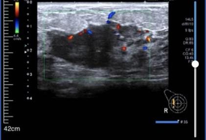
1、右侧乳腺相当于9点钟方向距乳头约39.0mm腺体层内见范围约42.5*47.3*21.8mm不均质回声区,形态不规则,边界不清晰,内见丰富血流信号。其旁见大小约7.3*5.5mm低回声区,形态欠规则,边界欠清晰,内见强光点,内见少许血流信号。
2、右侧腋下见大小约31.0*15.8mm淋巴结影像,无正常淋巴门结构,形态尚规则,边界尚清晰,内见丰富血流信号。
超声提示:右侧乳腺实性肿块:BI-RADS 4C类;右侧腋下淋巴结肿大。



图1 乳腺彩超结果(2024-03-01)
• 乳腺钼
靶
1、双侧乳腺实质呈不均匀致密型。
2、右乳外上象限可见稍高密度肿块(断层所示CC位22/66、MLO位12/68),边缘分叶,大小约27mm*21mm。右乳外上象限可见多发细小多形性钙化灶。局部呈簇状分布。右乳中外象限似可见稍高密度小肿块(断层所示CC位33/66、MLO位21/68),长径约6mm。
钼靶提示:右乳外上象限肿块伴微钙化,右乳外上象限成簇状钙化灶,BI-RADS 4C类


图2 乳腺DR结果(2024-02-29)
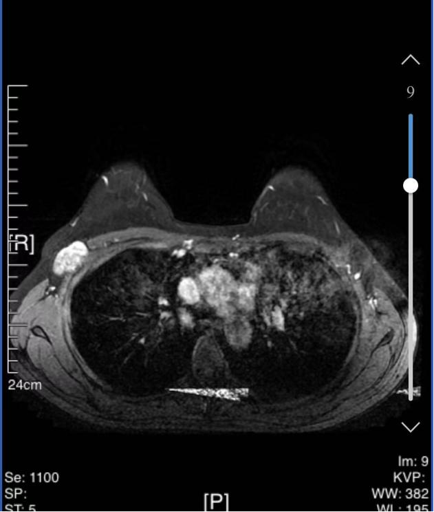
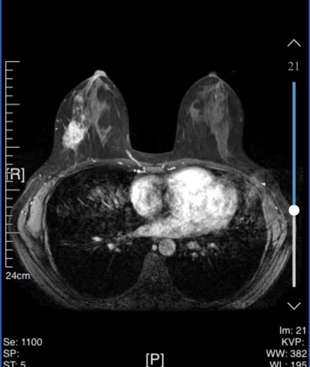
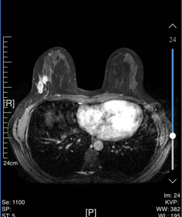
• 乳腺核磁共振(MRI):
1、右乳外侧象限见T2WI稍高信号肿物,大小约31mm*25mm*33mm,形态不规则,边缘分叶;内部强不均匀,TIC曲线初始呈快速强化,延迟期呈平台型;DWI呈高信号,ADC值为0.000811mm2/s。右腋窝见肿大淋巴结。
MRI提示:右乳外侧象限肿块及多处非肿块样强化,BI-RADS 5类;右腋窝淋巴结肿大。




图3 乳腺MRI结果(2024-03-04)
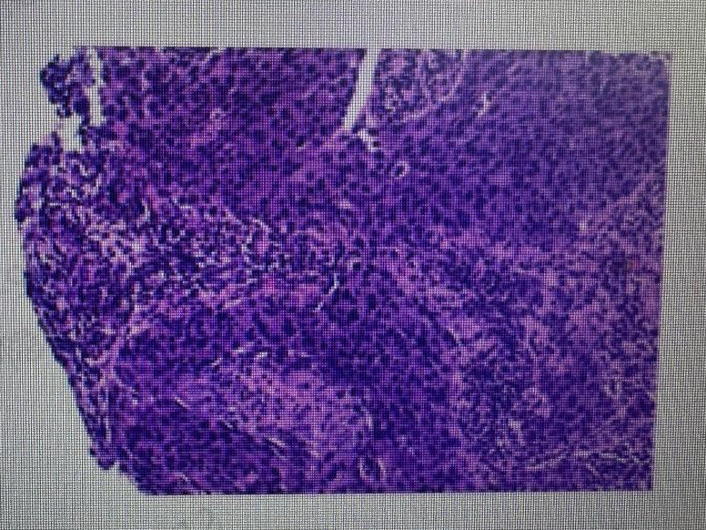
• 穿刺病理:
右乳病理诊断:右乳浸润性癌(非特殊型,组织学分级III级)
免疫组化:ER约5%弱(+),PR(-),C-erbB-2(3+),Ki-67热点区约60%(+),GATA-3(+),P63(-),CK5/6(-)
右腋下病理诊断:右腋下,乳腺癌转移
免疫组化:ER(-),PR(-),C-erbB-2(3+),Ki-67热点区约60%(+),GATA-3(+)

图4 右侧肿块穿刺病理(2024-03-04)
• 实验室检查:血常规
(白细胞、中性粒细胞计数、血红蛋白
、血小板)及心肺功能正常,肿瘤指标(CEA、CA125、CA153、CA199)均未见异常。生化天冬氨酸氨基转移酶/丙氨酸
氨基转移酶:2.22,略高。
临床诊断:右乳恶性肿瘤,外侧 cT2N1M0,IIb期;右腋下淋巴结继发恶性肿瘤。
治疗经过
一、术前新辅助治疗
2024年3月11日起行TCbHP*6新辅助化疗,具体用药:多西他赛
75mg/m2,卡铂
500mg,曲妥珠单抗注射液(首剂 8mg/kg、维持6mg/kg),帕妥珠单抗注射液
(首剂840mg,维持420mg)。
彩超评估如下:

疗效评估:PR
二、手术治疗
2024年7月22日行右乳癌改良根治术,术后病理诊断:右乳新辅助化疗后标本,见少量浸润性残留,符合Miller-Payne分级:G4,未见确切脉管神经侵犯。
淋巴结未见转移癌0/18伴化疗后反应(右水平一0/12,一枚淋巴结见确切化疗后反应;右水平二0/6)
【备注】残留癌细胞极少,经深切后仅剩单个细胞
免疫组化:ER(-)PR(-)C-erbB-2(极个别细胞3+)Ki-67 20%(+)
三、术后辅助治疗
患者新辅助评效为非病理完全缓解(non-pCR),按照2025年“《中国抗癌协会乳腺癌诊治指南与规范(2025年版)》”和“《中国临床肿瘤学会(CSCO)乳腺癌诊疗指南2025》”,推荐患者术后行恩美曲妥珠单抗
(T-DM1)治疗。患者因个人原因放弃使用T-DM1。
维持原方案,给予放疗+曲妥珠单抗联合帕妥珠单抗治疗等综合治疗1年。
四、强化辅助治疗
该患者年龄为34周岁,术前腋窝淋巴结转移,术后病理示non-pCR,为临床高复发风险人群,因此推荐该患者术后强化辅助治疗。
患者2025年3月21日HP治疗满一年,2025年4月9日起口服奈拉替尼辅助强化治疗。
给药方案:3+4+6剂量递增给药。
第一周3片/天,腹泻4-5次/天,腹泻AE评级1级,口服洛哌丁胺后腹泻2-3次/天。第二周4片/天,每天出现腹泻2-3次,第三周开始6片/天,腹泻保持在3-4次/天,可耐受。
2025年5月中旬化验提示,ALT为267U/L,高于正常值6倍,AST为95U/L,高于正常值2倍。患者停药3周并口服保肝药,复查肝功能正常后重新用药,剂量为5片/天维持一周,次周后恢复至足剂量,6片/天并维持至今。
专家点评
HER2阳性早期乳腺癌(EBC)的标准治疗方案是手术切除后化疗联合1年曲妥珠单抗或含曲妥珠单抗和帕妥珠单抗双靶向辅助治疗[1],但伴高复发因素患者术后经辅助治疗后仍面临复发风险[13-15],辅助治疗需求未充分满足。在现有治疗基础上进一步降低HER2阳性EBC患者的复发风险,保证患者高质量生活状态的长期生存,是当前临床治疗的目标。联合具有曲妥珠单抗互补活性的其他抗HER2药物强化辅助治疗或为解决方案。
奈拉替尼是口服HER1/2/4不可逆性抑制剂,通过与HER1/2/4的ATP结合域共价结合,抑制ErbB家族蛋白磷酸化和下游ERK、Akt通路活化[16]。奈拉替尼作为小分子TKI类药物,相比大分子抗HER2单克隆抗体(曲妥珠单抗、帕妥珠单抗)和抗体药物偶联物(ADC如T-DM1)更容易穿透血脑屏障,也为预防中枢神经系统(CNS)转移带来新的可能。
ExteNET研究(NCT00878709)是一项多中心、随机、双盲、安慰剂对照临床III期研究,与安慰剂组相比,在结束曲妥珠单抗治疗1年内(≤1年)接受奈拉替尼治疗的HR+患者,疗效最为显著(2年iDFS率95.3% vs 90.8%,绝对获益4.5%,HR=0.49;5年iDFS率90.8% vs 85.7%,绝对获益5.1%,HR=0.58)。高危复发风险患者(术后未达病理完全缓解)仍可从奈拉替尼辅助强化治疗中获益。基于ExteNET研究结果,众多国内外权威指南和共识推荐[1,17-18],对于HER2阳性乳腺癌患者,特别伴有高危因素,考虑在曲妥珠单抗辅助治疗后序贯奈拉替尼强化治疗。
III期ExteNET研究[7-9]结果显示,在没有采取强制止泻预防措施的情况下,腹泻是奈拉替尼治疗中观察到的最常见的AE,3级腹泻发生率为40%,4级腹泻发生率<1%,因奈拉替尼相关腹泻导致奈拉替尼停用和减量的比例分别为16.8%和26.4%。因为腹泻导致很多患者依从性较差,无法完成治疗。II期CONTROL(NCT02400476)研究[10]进一步探索了奈拉替尼强化辅助治疗过程中采用预防性止泻方式或剂量递增方式防治腹泻的策略,研究结果表明,通过剂量递增给药模式(奈拉替尼第1周:120 mg/d;第2周:160 mg/d;此后240 mg/d;洛哌丁胺按需使用)可有效降低奈拉替尼治疗相关的腹泻发生率。奈拉替尼剂量递增组中≥3级腹泻的发生率最低,仅13%。欧洲真实世界研究(RWS)ELEANOR[17]中44.4%患者使用低于240 mg起始剂量,并计划逐步增加剂量。从较低剂量开始的患者≥3级腹泻发生率较低仅为15.6%。基于CONTROL研究,FDA说明书和国际指南均建议奈拉替尼采用“2周剂量递增”方案进行初始给药,以有效降低腹泻的发生率[10-11, 20-21]。
本例患者新辅助后non-pCR,术后HP双靶一年后给予奈拉替尼强化治疗,考虑到奈拉替尼最主要的AE为腹泻,因此采用了2周剂量递增方案给药(3+4+6剂量递增给药),第一周腹泻4-5次/天,第二周每天出现腹泻2-3次,第三周腹泻保持在3-4次/天,患者耐受良好。患者从2025年4月9日起口服奈拉替尼辅助强化治疗,至今已经5.5个月依从性良好。
随着国内外多个奈拉替尼真实世界研究的开展,未来将会有更多的奈拉替尼临床使用经验,更多的乳腺癌患者将从奈拉替尼辅助强化治疗中获益。