全部科室

内科
心血管内科 神经内科 消化内科 肝病科 内分泌科 肿瘤科 血液科 精神科 呼吸科 肾内科 风湿免疫科 感染科
外科
普通外科 神经外科 胸心外科 泌尿外科 骨科 整形外科 麻醉科 器官移植
其他
妇产科 儿科 眼科 耳鼻咽喉科 口腔科 皮肤性病科 急诊/重症 影像科 检验科 疼痛科 罕见病平台 病理科
肾内科
输入搜索关键词
首页
直播
会议
资讯
专家
指南
病例
知识库
品牌信使
公式
专栏
妊娠期突发肾衰伴严重溶血,为何胎盘功能指标提示“无异常”?
病史摘要:患者为31岁女性,孕2产1,妊娠28 + 5周,突发高血压、严重急性肾损伤及蛋白尿。入院前血压及各项实验室指标正常,前次妊娠曾患先兆子痫。 诊疗过程:查体未提及。实验室检查示血清肌酐显著升高,伴大量蛋白尿,有血小板减少及微血管病性溶血性贫血,肝酶基本正常,排除HELLP综合征。ADAMTS13酶活性为56.8%,排除TTP,自身抗体筛查阴性,未发现感染或药物诱导因素。C3、C4正
血栓性微血管病
急诊危重
浏览 105 | 讨论 0
12岁女孩移植肾功突然“崩溃”,肌酐飙升8倍!罪魁祸首竟潜伏在常规皮肤治疗中
病史摘要:12岁女性患者,9年前因新生儿期缺血性损伤、肾静脉血栓致CKD 5期,行DD肾移植手术。主诉乏力、咳嗽及呕吐4天。1周前因右侧急性中耳炎服阿莫西林,4天前出现症状。长期服用免疫抑制等多种药物,近2个月服西咪替丁治疗足部寻常疣。既往有新生儿期肾静脉血栓及缺血性肾损伤史、肾移植术史。 诊疗过程:入院检查血肌酐、尿素氮、血尿酸升高,他克莫司谷浓度高,病毒载量等阴性。诊断为急性肾损伤
急性肾损伤
移植物排异反应
[高]尿酸血症
急诊危重
浏览 130 | 讨论 0
肾炎治疗中的意外:血钾与肾功正常,为何突发心脏传导“罢工”?
病史摘要:43岁男性患者,因关节痛、面部红斑、乏力及心悸就诊。近期出现关节痛、面部红斑及乏力,尿液分析有大量潜血及蛋白尿。自身抗体检查多项阳性,补体水平降低。既往无心脏疾病史,既往心电图无电生理异常。 诊疗过程:经会诊及肾活检诊断为IV型狼疮性肾炎,开始接受免疫抑制治疗并预防性加用复方磺胺甲噁唑。次日患者突发心悸,心电图诊断为二度I型房室传导阻滞,实验室检查肾功能及电解质正常。考虑心律
狼疮肾炎IV型
罕见病
浏览 164 | 讨论 0
12岁患儿顽固性蛋白尿,为何常规免疫荧光检查竟无所获?
病史摘要:12岁西班牙裔女性患者,2022年确诊全身型幼年特发性关节炎(sJIA),接受托珠单抗治疗后病情控制良好。2023年(sJIA诊断后1.5年,病情稳定11个月时)首次出现蛋白尿,2024年尿蛋白/肌酐比值(UPC)持续在1 - 1.5 mg/mg。 诊疗过程:体格检查发现患者血压正常。实验室检查显示UPC持续异常,血清补体水平正常,抗核抗体、抗双链DNA抗体阴性。肾脏超声未见
膜性样肾小球病伴隐匿性IgG-κ沉积
罕见病
浏览 88 | 讨论 0
肺癌靶向治疗期间突发心肾受损,是药物毒性还是另有隐情?
病史摘要:患者为67岁东亚裔女性,主诉肺腺癌靶向治疗过程中出现全身水肿1个月余。2013年确诊肺腺癌并行左肺上叶切除术,2018年疾病复发后接受吉非替尼治疗,2023年病情进展,基因检测有T790M耐药突变,换用奥希替尼治疗。2024年4月出现全身水肿,既往有左肺上叶切除术及长期肺癌靶向治疗史。 诊疗过程:实验室检查提示心肌酶轻度升高、重度蛋白尿及低白蛋白血症,心脏超声示左心室收缩功能轻度
AL型淀粉样变
疑难
药物不良反应
浏览 93 | 讨论 0
高龄风湿性多肌痛合并肾病综合征一例
病史摘要:78岁男性,长期卧床。因“发热伴气促”急诊入院,入院前一晚突发发热、呼吸急促及全身不适。既往有2型糖尿病、骨关节病等多种疾病,长期服用多种药物。 诊疗过程:入院查体生命体征平稳,右肺下有啰音等。检查发现多项异常,如贫血、低蛋白血症等。诊断为风湿性多肌痛并发肾病综合征。治疗上予头孢曲松抗感染、呋塞米利尿、补充铁剂等,针对PMR给予泼尼松10mg/d口服并联合补钙等。3天近端肌痛等改
风湿性多肌痛
典型
浏览 1359 | 讨论 0
当狼疮肾炎「伪装」成胃病:25岁女性患者的临床特征与病理启示
病史摘要:25 岁已婚女性,无既往病史。主因疼痛性口腔溃疡、呕吐、皮疹、疲劳和体重减轻就诊。近一个半月有口腔溃疡及吞咽困难,曾按咽炎治疗,持续呕吐,口服阿育吠陀药物后出现皮肤色素沉着病变,因药物性皮炎多次住院。存在食欲下降、疲劳、体重减轻,四个月前有足背水肿后自行消退。无家族癌症或血液病史。 诊疗过程:体格检查见体型瘦弱,有脱发、足背水肿、多处色素沉着病变及口腔念珠菌病,生命体征平稳,腹部
狼疮肾炎
典型
浏览 697 | 讨论 0
从心衰到神经损伤:一例罕见"脚气病"案例,给慢性肾病患者的饮食敲响警钟
病史摘要:65岁男性,因双足水肿及步态障碍入院。8年前因血肌酐升高和高血压诊断为慢性肾脏病,此后限制蛋白质摄入。入院前3个月出现行走不稳、气促、水肿,予呋塞米治疗未缓解,病情进展至依赖轮椅。 诊疗过程:入院查体见双下肢水肿、触痛,血压、心率正常。实验室检查提示肾功能、电解质异常。神经电生理检查显示神经传导异常,影像学检查提示心功能相关指标异常。初步诊断为极端饮食限制导致的脚气病性心肌病与神
脚气性心脏病
罕见病
浏览 310 | 讨论 1
先治疗还是先活检?膜性肾病危重患者的治疗困境与解决之道
病史摘要:33 岁男性,无既往病史。主诉咳嗽、左侧胸膜性胸痛、呼吸困难 2 个月,体重减轻 3 千克。有吸烟、饮酒史,曾按社区获得性肺炎治疗,转诊结核病科检查阴性,否认多种相关症状,系统回顾无特殊。 诊疗过程:入院检查生命体征,呼吸系统检查右肺底呼吸音减弱,胸片有阴影,初查白细胞计数升高。胸部 CT 发现多处栓塞梗死,立即抗凝。超声心动图提示右心室功能障碍。进一步检查确诊肾病综合征、膜性肾
膜性肾病
急诊危重
浏览 690 | 讨论 3
肾移植术后21年,肌肉酸痛2日——横纹肌溶解
病史摘要:69岁男性患者,因CKD5期于1996年行同种异体肾移植术,术后采用多种免疫抑制方案治疗。既往有慢性乙肝病史,长期服用恩替卡韦。期间肾功能指标有变化,多次调整抗排异治疗方案。2017年再次肾穿刺活检后调整用药,出院后出现肌肉酸痛,遂入院进一步评估。诊疗过程:入院查体生命体征平稳。辅助检查显示多项指标异常,肌酸激酶显著升高。诊断为移植肾功能不全、肾移植术后、慢性乙型病毒性肝
移植肾功能不全
肾移植术后
横纹肌溶解
疑难
浏览 314 | 讨论 0
肾移植术后2年余,尿泡沫增多3个月——BK病毒相关肾病
病史摘要:63岁男性患者,10余年前肾穿刺提示局灶节段性及球性肾小球硬化,肌酐渐升,于2013年1月行血透治疗,2月在我院行同种异体肾移植术,术后恢复良好。近期抗排斥治疗方案为泼尼松5mg qd,吗替麦考酚酯0.75g bid,他克莫司1mg bid,移植后肌酐维持在90-100μmol/L。近3个月肌酐进行性升高至232μmol/L,无发热、肾区疼痛,尿量无减少,精神、饮食、睡眠及二便正常
肾移植术后
肾脏疾病
疑难
浏览 326 | 讨论 0
肾移植术后9年余,尿中泡沫增多7年,加重1天——急性排除反应
病史摘要:40 岁男性患者,2006 年起规律血透,2007 年行同种异体肾移植术,术后恢复可,规律服用抗排异药。近 2 年出现少量蛋白尿,近期抗排斥治疗方案为泼尼松、吗替麦考酚酯、他克莫司。2016 年 9 月 13 日门诊随访尿蛋白较前明显增加,无发热、肾区疼痛及尿量减少,为进一步诊治入院。既往无高血压、糖尿病等病史,否认传染病史。诊疗过程:入院查体生命体征平稳,心肺腹无异常,
急性排斥反应
慢性肾脏疾病
疑难
浏览 261 | 讨论 0
肾移植术后5个月,尿泡沫增多1个月——移植肾功能不全
病史摘要:26 岁男性患者,2002 年起尿泡沫增多,肾穿提示部分肾小球硬化,肌酐渐升,2007 年起规律血透。2014 年 6 月 5 日行同种异体肾移植术,术后肾功能恢复良好。2014 年 11 月 26 日当地检查肌酐 240μmol/L,无发热,尿量 1000ml/d,遂入院。既往慢性肾功能不全十余年,规律血透 7 年余,有肾穿刺活检术、动静脉瘘成形术、肾移植术史,对头孢类药物过敏。
慢性肾脏疾病
疑难
浏览 179 | 讨论 0
眼肿痛伴恶心、呕吐1个月——恶性高血压
病史摘要:32 岁男性,无高血压、糖尿病、传染病、手术及药物过敏史,否认家族遗传性疾病史。1 个月前出现右眼肿痛伴恶心、呕吐,外院眼科考虑“右眼青光眼可能”,测血压升高,内科就诊复测血压仍高,伴有头晕、头痛等症状。曾降压治疗未复测血压,因“肾功能异常”入院进一步治疗,起病后食欲轻度减退,睡眠、二便及体重无明显变化。 诊疗过程:查体生命体征平稳,无明显异常。多项检查提示肾功能减退、大
高血压性肾损害
恶性高血压
膜性肾病
疑难
浏览 313 | 讨论 0
夜尿增多,尿泡沫增多,双下肢侧面皮疹伴水肿——紫癜从何而来
病史摘要:61岁男性患者,2个月前无诱因出现夜尿增多、腰部酸胀、尿色发黄、泡沫增多,当地检查尿潜血阳性、蛋白阴性,肾功能正常。20余天前双下肢伸侧面出现暗红色皮疹伴水肿、恶心等症状。既往有肝炎、车祸外伤史,否认慢性病史及药物过敏史。起病以来,患者精神可,食欲差,体重下降5kg。 诊疗过程:查体见双下肢II度水肿、瘀点瘀斑。辅助检查提示多项指标异常,初步诊断为急性肾损伤、肾炎综合征等
急性肾损伤
肾炎综合症
疑难
浏览 492 | 讨论 0

胡哲

上海交通大学医学院附属瑞金医院

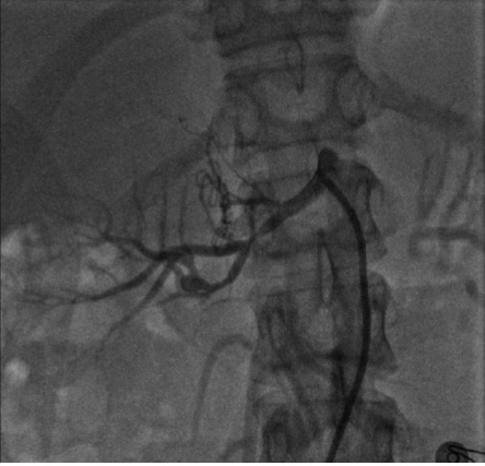
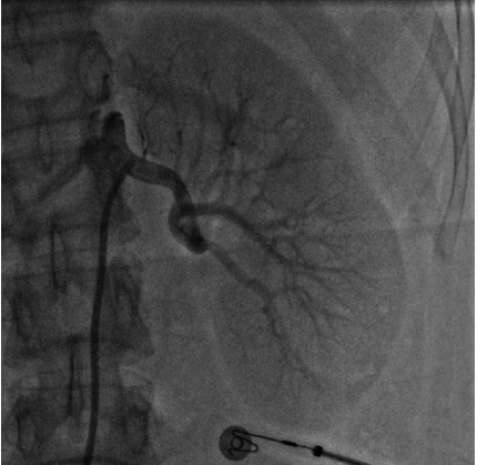
年轻女性,重度高血压伴低血钾
病史摘要:患者为 21 岁女性,1 天前因头晕测血压发现重度升高,无其他不适。1 个月前有上呼吸道感染症状,后出现颌下淋巴结肿大。既往体健,无慢性疾病、传染病、手术外伤等病史,月经规律。家族中外祖母有高血压,否认一级亲属高血压及其他遗传性疾病史。 诊疗过程:入院查体无明显异常体征。辅助检查提示血钾低,醛固酮、肾素活性增高,尿蛋白微量。肾脏、肾上腺等超声部分未见明显异常,眼底为 I
右肾动脉狭窄
肾血管性高血压
疑难
浏览 494 | 讨论 0

Carl Salzman

哈佛医学院精神科

老年抑郁,肾功能下降,哪些抗抑郁药更安全?
病史摘要:82 岁女性患者,有复发性抑郁障碍,曾用艾司西酞普兰和舍曲林治疗效果不佳,近 7 年使用安非他酮缓释剂型 300 mg/d 处于缓解状态。躯体病史有高血压和 2 型糖尿病,目前控制良好。现肾功能下降,估算肾小球滤过率为 55 mL/min,达慢性肾脏病 3 期标准。诊疗过程:体格检查及辅助检查结果未提及。目前面临的问题是患者肾功能下降,需判断继续使用安非他酮缓释剂型的安全
疑难
浏览 255 | 讨论 0
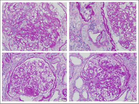
老年膜增生性肾炎,小心这类疾病!
病史摘要:76 岁男性患者,主因“眼睑及四肢水肿 1 年余”入院。1 年余前无诱因出现上述症状,伴泡沫尿,当地治疗无效。半年前出现尿频。既往有陈旧性脑梗死、高血压、高脂血症、高尿酸血症、腰椎椎管狭窄病史,有 50 年吸烟史。诊疗过程:入院查体生命体征平稳,无明显阳性体征。化验提示多项指标异常,血免疫固定电泳见 M 蛋白等。影像学检查发现多器官病变。肾穿刺病理诊断为膜增生样肾小球肾炎
单克隆免疫球蛋白病
肾小管病变
肾病综合征
罕见病
浏览 1373 | 讨论 0
当糖尿病遇上纤维性肾小球肾炎:一例罕见肾病的诊疗全解析
病史摘要:53 岁男性患者,因“慢性肾病随访”就诊。现病史有肾病范围蛋白尿、双下肢凹陷性水肿。既往患 2 型糖尿病 20 年,接受胰岛素治疗,伴有糖尿病非增殖性视网膜病变、高血压、慢性肾病 3 期及良性前列腺增生。诊疗过程:实验室检查肌酐 254mmol/L 等,尿液分析有镜下血尿、尿蛋白 3+等。肾脏超声双肾大小正常等。肾活检光镜符合局灶性增殖性肾小球肾炎及糖尿病肾病特征;电镜系
纤维性肾小球性肾炎
罕见病
浏览 164 | 讨论 0
一例血清ANCA阳性IgA肾病的诊治体会
病史摘要:34 岁女性,主因“发现血肌酐升高 2 月余,尿检异常半月余”入院。2 月余前因贫血就诊发现血肌酐升高,伴咳嗽、咳痰等,间断中药治疗,复查血肌酐、尿蛋白等指标有波动。既往无高血压等病史,有剖腹产史。自发病以来,精神、食欲尚可,睡眠欠佳。诊疗过程:入院查体生命体征平稳,无明显阳性体征。化验提示多项指标异常,血 P-ANCA 弱阳性等。胸部 CT 等检查有相应异常。肾穿刺病理
IgA肾病
罕见病
浏览 1441 | 讨论 0