全部科室

内科
心血管内科 神经内科 消化内科 肝病科 内分泌科 肿瘤科 血液科 精神科 呼吸科 肾内科 风湿免疫科 感染科
外科
普通外科 神经外科 胸心外科 泌尿外科 骨科 整形外科 麻醉科 器官移植
其他
妇产科 儿科 眼科 耳鼻咽喉科 口腔科 皮肤性病科 急诊/重症 影像科 检验科 疼痛科 罕见病平台 病理科
消化科
输入搜索关键词
首页
直播
会议
资讯
专家
指南
病例
知识库
品牌信使
公式
专栏
汤善宏教授:舒林酸有效抑制家族性腺瘤性息肉病患者结直肠息肉进展病例报告及文献复习
病史摘要:患者为 49 岁女性,因“反复胃肠道息肉切除 17 年余,腹胀 3 天”入院。既往有多部位囊肿,曾行右侧颈部神经鞘瘤手术。家族中父亲、两个哥哥均有结肠息肉相关病史。2008 年首次发现胃底、胃体、结肠等多发性息肉,病理为胃底腺瘤性息肉,此后多次行胃肠镜检查及内镜下息肉切除术。 诊疗过程:入院查体生命体征平稳,慢性病容,上腹轻压痛。2019 年基因检测提示 A
家族性腺瘤息肉病
典型
浏览 902 | 讨论 0
中年女性反复腹痛+面部水肿,两次腹腔探查未果,最后竟靠一张化验单确诊!
病史摘要:中年女性患者,脐周绞痛20余年,伴呕吐、腹泻,数日内可自行缓解。面部、会阴、四肢等部位偶发非凹陷性水肿,可自行消退。无烟酒史,曾因不完全性肠梗阻行2次腹腔探查术,未见异常。7年前喉部水肿经治疗缓解,2年前腹部增强CT示腹盆腔积液及部分小肠壁水肿,经治疗腹痛缓解,6个月前腹痛复发,复查CT示回肠及结肠多发肠壁增厚伴少量盆腔积液。 诊疗过程:入院后腹痛自行缓解,
遗传性血管水肿
罕见病
浏览 100 | 讨论 0
阴囊水肿不止泌尿问题!全球罕见男性转移性克罗恩病1例,附诊疗策略
病史摘要:33岁男性患者,有15年回结肠及肛周克罗恩病史,伴哮喘和胃食管反流病。曾接受多种先进疗法及外科干预,英夫利西单抗治疗8年后继发性失应答,乌司奴单抗和泼尼松治疗期间因复发性穿孔性疾病伴腹腔脓肿形成接受回盲部切除术,末次手术后用利生奇珠单抗部分应答,肛周瘘管病变持续。入院前四周阴囊水肿逐渐加重,既往曾短暂出现但未达此次程度。 诊疗过程:体格检查见阴囊及阴茎近端弥
肉芽肿性淋巴结炎
克罗恩病
罕见病
浏览 170 | 讨论 0

汤善宏

中国人民解放军西部战区总医院

汤善宏教授:从1例长达3年反复恶心呕吐、乏力纳差的探秘之旅看疑难病例在多学科诊治与临床思维培养中的价值
病史摘要:75岁老年女性,主因“反复恶心、呕吐3年,再发加重3天”入院。3年前首次出现相关症状,伴头晕、乏力等,口服补钠好转;6月前复发,中药治疗欠佳;5月前突发意识障碍,补糖、升压、纠正电解质后好转;3天前受凉后再发。既往3月余前行胆囊切除术,无吸烟、饮酒史。 诊疗过程:入院查体生命体征平稳,无明显阳性体征。辅助检查示血钠重度偏低,血浆渗透压降低,为低渗性低钠血症。
腺垂体功能减退症
鞍区肿物
疑难
浏览 1185 | 讨论 0

汤善宏

中国人民解放军西部战区总医院

乙肝肝硬化患者合并肝门部胆管狭窄致梗阻性黄疸罕见病因1例
病史摘要:患者为 38 岁男性,因“发现乙肝 1 月余,腹痛 1 天”入院。1 月前诊断为“失代偿期肝硬化(脾大、腹水、门脉高压、食管静脉曲张)乙肝”,经抗 HBV、保肝治疗后症状缓解。入院前 1 天突发剑突下疼痛,进食后稍缓解,入院当日腹痛加重,伴恶心、呕吐。有吸烟及不规律饮酒史,现已戒酒,母亲因“肝硬化”去世,无慢性基础疾病、手术史、过敏史及有毒有害物质接触史。 
梗阻性黄疸
肝硬化
典型
浏览 1106 | 讨论 0
年轻女性多发肝占位:特殊的“棒棒糖”征象指引了怎样的罕见真相?
病史摘要:33岁女性患者,数月来右上腹间歇性不适,伴早饱、腹胀及恶心,症状反复后就诊。 诊疗过程:体格检查无明显异常。实验室检查肝功能及肿瘤标志物正常,尿妊娠试验阴性。腹盆部增强CT见肝内3个不明病灶;腹部MRI显示病灶有包膜皱缩、弥散受限等特征,出现“棒棒糖征”。主要诊断为肝上皮样血管内皮细胞瘤(EHE),鉴别排除转移瘤等疾病。经皮穿刺活检病理及免疫组化确诊EHE。随访8个月病灶大小
肝上皮样血管内皮细胞瘤
罕见病
浏览 891 | 讨论 0
影像学提示病灶增大,肿瘤指标却离奇下降?警惕罕见胰腺癌诊疗中的“烟雾弹”
病史摘要:61 岁男性患者,因黄疸 10 天于 2024 年 8 月就诊,不伴其他消化道症状。既往有控制良好的高血压病史,无其他慢性疾病史及癌症家族史。 诊疗过程:入院影像学检查发现胰头占位,血清 AFP 和 CA19 - 9 升高,MDT 评估为可切除胰腺癌,行根治性胰十二指肠切除术,术后病理确诊为胰腺腺泡细胞癌。术后出现胰瘘、腹腔感染及新冠感染等并发症后康复。2024 年 11 月
腺泡细胞癌
胰腺恶性肿瘤
罕见病
浏览 123 | 讨论 0
尿崩症+黄色瘤缠身,57岁男性硬化性胆管炎的罕见元凶,发病率不足百万分之一!
病史摘要:患者为 57 岁男性,因黄疸、间歇性发热及体重减轻 7 个月就诊。既往有结核性胸膜炎、高尿酸血症、肺腺癌肺叶切除术、高脂血症、冠心病等病史。10 个月前有一过性多饮多尿,3 个月前眼周及口周出现黄色皮疹并蔓延。 诊疗过程:血液检查有轻度贫血、胆汁酶及 IgG4 轻度升高。MRCP 显示肝内胆管扩张等,内镜检查未发现恶性病变。初步疑诊 IgG4 相关性硬化性胆
Erdheim-Chester病
罕见病
浏览 671 | 讨论 0
腹泻3年+小肠溃疡+黏膜萎缩,大剂量泼尼松治疗无效,这种极易漏诊的罕见病如何破局?
病史摘要:63岁男性患者,有3年慢性腹泻史,近期加重,每日排便4 - 8次,伴体重减轻5kg。诊疗过程:查体见消瘦、肠鸣音亢进,BMI 16.4kg/m²。实验室检查有多项异常,腹部CT见腹膜后血管迁曲及肠系膜淋巴结肿大,结肠镜示右半结肠炎,PET - CT示结肠炎症和轻度高代谢淋巴结,小肠镜见多发溃疡等。排除乳糜泻等疾病,血清蛋白电泳提示M蛋白水平升高。初始经验性治疗效果不佳
有临床意义的单克隆免疫球蛋白血症
罕见病
浏览 231 | 讨论 0

汤善宏

中国人民解放军西部战区总医院

汤善宏教授:平原进入高原致血栓形成相关布-加综合征及门脉血栓复杂门脉高压病例分享
病史摘要:30岁男性,因“上腹不适6月,腹胀20天”入院。6月前无诱因出现上腹部不适、进食后腹胀,外院胃镜示反流性食管炎,肝功异常,对症治疗缓解。20天前出现全腹胀、黄疸、食欲降低、双下肢水肿。既往青霉素过敏,有吸烟、饮酒史,曾长期在高原工作。 诊疗过程:入院查体生命体征平稳,全身皮肤巩膜黄染,腹部膨隆,移动性浊音阳性。辅助检查提示布加综合征、肝硬化等。诊断为慢加急性
慢加急性肝衰竭
门静脉血栓
布加综合征
典型
浏览 918 | 讨论 0
1月3次住院!61岁男性反复发热腹痛,竟揪出百万分之一的罕见消化疾病
病史摘要:61岁男性患者,因反复发热和右上腹痛1个月内3次住院。首次因发热、右上腹轻度疼痛入院,血培养检出大肠埃希菌;第二次出院4天后因高热、右上腹轻度疼痛再次入院,血培养仍为大肠埃希菌;第三次出院3天后因高热、右上腹痛加重入院,血培养依旧是大肠埃希菌。 诊疗过程:首次及第二次入院均用哌拉西林 - 他唑巴坦治疗,第三次入院实验室检查炎症指标变化大,血培养仍为大肠埃希菌
Caroli病
罕见病
浏览 975 | 讨论 1
八旬老太反酸腹泻迁延不愈,PPI治疗无效?层层剥茧终揭罕见胃病元凶!
病史摘要:82 岁女性患者,有慢性肾脏病、冠状动脉疾病等多种既往病史。因反酸症状加重伴慢性腹泻就诊,自述长期反酸,近几年加重,伴有慢性腹泻、非自愿体重减轻,腹泻为稀便、无血便、间歇性发作。曾拟诊胃食管反流病及混合型肠易激综合征,用 PPI 等治疗效果欠佳。 诊疗过程:辅助检查:多次食管胃十二指肠镜、结肠镜、腹部及盆腔增强 CT 等检查,胃活检见中度慢性炎症伴上皮反应性
胶原性胃炎
罕见病
浏览 1069 | 讨论 0
造血干细胞移植术后腹痛+黏液血便:这个极易误诊的肠道“隐形杀手”,千万别忽视!
病史摘要:患者为 36 岁男性,主诉持续性腹痛 5 个月,伴黏液血便 1 个月,后进展为不完全性肠梗阻。3 年前确诊急性 B 淋巴细胞白血病,并行异基因造血干细胞移植,移植后发生累及口腔及皮肤的急性移植物抗宿主病,使用环孢素、芦可替尼治疗至腹痛发作。 诊疗过程:实验室检查示 D - 二聚体及超敏 C 反应蛋白升高,其余正常。结肠镜见乙状结肠及直肠黏膜充血等改变,CT
移植相关血栓性微血管病
典型
浏览 178 | 讨论 0
32岁女性反复黑便+肠梗阻,难治性症状背后,竟是这种罕见慢性肠病作祟!
病史摘要:32岁女性患者,自17岁起出现难治性黑便和反复腹痛。5年前因小肠梗阻手术切除病变回肠,术后1年症状复发,伴严重贫血需定期输血。既往有阑尾切除术、消化性/十二指肠溃疡和继发性闭经,父母近亲结婚,无胃肠道疾病家族史。 诊疗过程:查体肠鸣音亢进,无压痛及肿块。实验室检查提示缺铁性贫血、低白蛋白血症等,炎症标志物轻度升高,结核及病毒感染检测阴性。CT小肠造影、双气囊
罕见病
浏览 363 | 讨论 1
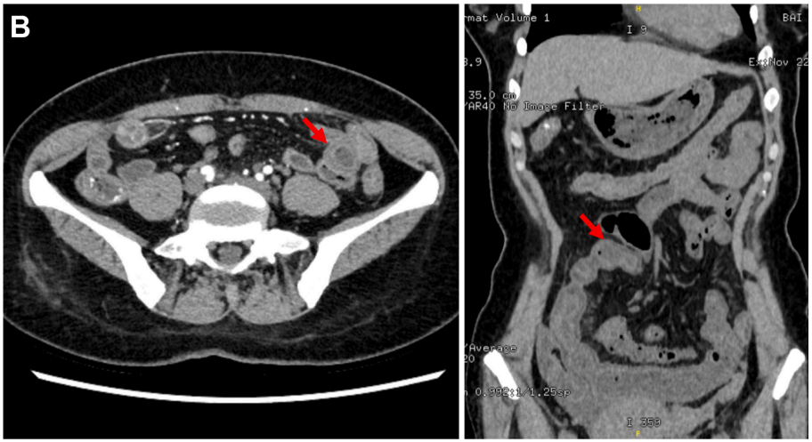
警惕!16岁青年运动员的肠梗阻之谜:真相竟隐藏在服用的“补剂”之中
病史摘要:16岁男性运动员,既往体健,因“阵发性脐周疼痛10天,新发便秘及顽固性便秘伴明显腹胀2天”就诊。无明显既往病史、手术史和家族史,否认成瘾史、服用补剂或保健品。 诊疗过程:查体示心动过速,腹部膨隆、叩诊鼓音、肠鸣音活跃,直肠指检未触及粪便。肝功能检查示胆红素、转氨酶升高,血清白蛋白处正常下限。腹部X线、增强CT未发现明确移行带,结肠镜检查未见异常,感染筛查阴性
功能性肠梗阻
慢性铅中毒
浏览 1075 | 讨论 4
从“常见溃疡”到“罕见梅毒”:74岁老人的消化性溃疡,竟藏着性传播疾病的隐情!
病史摘要:74 岁男性患者,主因“反复腹痛 2 月余、黑便 5 天”入院。2 月前外院胃镜提示胃窦及十二指肠球部复合性溃疡,曾抗溃疡治疗 8 周症状缓解后停药。近 6 个月无饮酒及非甾体抗炎药使用史,既往体健,无手术及药物滥用史,但有不安全性行为史。入院前 5 天腹痛复发伴黑便。 诊疗过程:查体上腹部压痛。实验室检查提示血红蛋白及白蛋白偏低,粪便隐血阳性,幽门螺杆菌抗
梅毒
胃和十二指肠溃疡
罕见病
浏览 374 | 讨论 0
肺移植术后吞咽困难+吞咽痛:这个罕见但可治的病因不容忽视!
病史摘要:63岁女性,HIV阴性,有双侧肺移植术、Roux-en-Y胃旁路手术史,患3a期慢性肾脏病及血清阴性类风湿关节炎。因进行性吞咽困难和吞咽痛1个月就诊,3个月前EGD检查有食管裂孔疝及疑似念珠菌病斑块,门诊发现口腔念珠菌病,口服氟康唑治疗后症状加重。 诊疗过程:入院检查白细胞减少,EGD提示D级食管炎及白色斑块,活检发现少量念珠菌,先后用氟康唑、米卡芬净治疗,
食管溃疡
罕见病
浏览 185 | 讨论 0
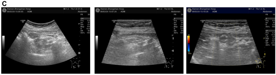
45岁男性稀便2月伴腹痛、体重下降:罕见回肠炎病因识别与病例分析
病史摘要:45岁男性,因持续2个月稀便(偶见血便)、腹痛、体重减轻2kg,由呼吸科转诊。既往有双侧肺移植、肝纤维化、胰腺外分泌和内分泌功能不全,病因是囊性纤维化(ΔF508基因突变)。 诊疗过程:查体左下腹压痛。初始血液检查部分指标轻度升高,粪便钙卫蛋白升高,多次粪便相关检查阴性。结肠镜见回肠、结肠斑片状改变,活检为活动性炎症。多项血清学及PCR检测阴性,经验性用布地
肠胃软化斑
罕见病
浏览 453 | 讨论 1

汤善宏

中国人民解放军西部战区总医院

TIPS术在特殊疾病治疗中的妙用——遗传性出血性毛细血管扩张症合并多发性肝内动脉门静脉瘘致静脉曲张出血一例
病史摘要:61岁女性患者,主因“腹胀3月,解黑便1月”入院。3月前无诱因腹胀,当地医院对症处理无效;1月前无诱因解黑便3天,伴呕吐2次血凝块。诊疗过程:查体有贫血貌,手部及舌黏膜毛细血管扩张,腹部无明显阳性体征。血常规提示贫血,肝功能基本正常,丙肝病毒RNA阴性。CT门静脉造影提示动-门静脉瘘、肝硬化伴脾大等。诊断考虑弥漫性肝内动静脉瘘、门静脉高压等,高度怀疑HHT。先行动静脉
肝内动静脉瘘
静脉曲张出血
遗传性出血性毛细血管扩张
典型
罕见病
浏览 1051 | 讨论 0
起初仅便秘腹胀,为何迅速进展为肠衰竭?这个罕见病因需警惕
病史摘要:54岁女性仓库工人,既往健康,有吸烟史,无规律用药。两年前出现胃肠道传输缓慢症状,如便秘、腹胀、腹痛。15个月后因症状加重行全结肠切除术及末端回肠造口术,术后症状未缓解,持续呕吐、腹胀,体重下降,转至本院拟行家庭肠外营养支持。 诊疗过程:体格检查握力下降。实验室检查未见明显异常,腹部CT小肠扩张,内镜无梗阻病因,口服造影剂提示肠道蠕动减退。术后标本病理显示结
肠假性梗阻
副肿瘤性神经系统综合征
肠衰竭
罕见病
浏览 442 | 讨论 0