全部科室

内科
心血管内科 神经内科 消化内科 肝病科 内分泌科 肿瘤科 血液科 精神科 呼吸科 肾内科 风湿免疫科 感染科
外科
普通外科 神经外科 胸心外科 泌尿外科 骨科 整形外科 麻醉科 器官移植
其他
妇产科 儿科 眼科 耳鼻咽喉科 口腔科 皮肤性病科 急诊/重症 影像科 检验科 疼痛科 罕见病平台 病理科
病理科
输入搜索关键词
首页
直播
资讯
指南
病例

叶建明

杭州市第一人民医院

我们切了个结节,结果病理是不典型增生!回头再看这样的病灶到底该不该手术?
病史摘要:患者主因“检查发现肺部阴影3月余”就诊。3月余前当地医院体检胸部CT发现右肺上叶磨玻璃结节,大小约8mm*7mm,无明显症状,未治疗。2025年7月5日复查大致同前,建议手术,现患者为求进一步诊治来院,拟“肺部阴影”收入院。起病以来,患者神志清,精神、胃纳、睡眠可,二便正常,体重无明显变化。诊疗过程:查体及其他辅助检查未提及。影像显示右上叶混合密度结节,有实性成分,边
典型
浏览 1023 | 讨论 0

叶建明

杭州市第一人民医院

发现才5天的肺结节为何就考虑必为肺癌?怎样的腺癌不必基因检测?
病史摘要:患者主因“发现肺部占位 5 天”入院。5 天前体检肺部 CT 发现肺结节,至我院复查胸部 CT 提示右肺中叶部分实性结节,待排肿瘤性病变。有咳嗽咳痰、乏力纳差症状,无痰中带血等不适。既往有 3 年余高血压病史,最高血压 140/80mmHg。 诊疗过程:体格检查未提及。PET-CT 检查考虑右中叶结节恶性可能性大,纵隔与肺门淋巴结炎性可能性大。气管镜病理确诊
浸润性腺癌
典型
浏览 1231 | 讨论 0
当狼疮肾炎「伪装」成胃病:25岁女性患者的临床特征与病理启示
病史摘要:25 岁已婚女性,无既往病史。主因疼痛性口腔溃疡、呕吐、皮疹、疲劳和体重减轻就诊。近一个半月有口腔溃疡及吞咽困难,曾按咽炎治疗,持续呕吐,口服阿育吠陀药物后出现皮肤色素沉着病变,因药物性皮炎多次住院。存在食欲下降、疲劳、体重减轻,四个月前有足背水肿后自行消退。无家族癌症或血液病史。 诊疗过程:体格检查见体型瘦弱,有脱发、足背水肿、多处色素沉着病变及口腔念珠菌病,生命体征平稳,腹部
狼疮肾炎
典型
浏览 428 | 讨论 0

叶建明

杭州市第一人民医院

肺癌合并冠心病多支病变,妥协做了楔形切除,结果病理低分化!怎么办?
病史摘要:75 岁患者,主诉发现右肺占位 3 月余,确诊右肺恶性肿瘤 2 月余。3 月前因发热检查发现双肺结节,后经 PET-CT、穿刺活检确诊右下肺非小细胞肺癌(腺癌)。患者有高血压 20 余年、糖尿病 1 年余、阿尔兹海默症、脑卒中 1 年余、冠心病 1 月余,曾行冠脉支架置入术。 诊疗过程:辅助检查包括胸部 CT、PET-CT、冠脉 CT 等,明确右下肺腺癌,冠
腺癌
典型
浏览 1171 | 讨论 0

靖彧

301解放军总医院

基因检测揪出 “隐藏凶手”:一例CCDC88C::PDGFRB融合基因阳性MLN-TK靶向治疗奇迹
病史摘要:15 岁男性患者,2018 年 9 月因双侧颈部淋巴结进行性肿大就诊。无其他特殊既往史。现以双侧颈部淋巴结肿大为主要表现,左侧 10cm×7cm,右侧 10cm×5cm。 诊疗过程:实验室检查示白细胞增高伴显著嗜酸性粒细胞增多、轻度贫血。左颈部淋巴结穿刺活检考虑为 T 淋巴母细胞淋巴瘤/白血病。PET/CT 显示多区域淋巴结受累等。骨髓 MICM 分型检查有相应表现。初诊为 T
淋巴系统肿瘤
嗜酸性粒细胞增加
典型
浏览 1059 | 讨论 0
先治疗还是先活检?膜性肾病危重患者的治疗困境与解决之道
病史摘要:33 岁男性,无既往病史。主诉咳嗽、左侧胸膜性胸痛、呼吸困难 2 个月,体重减轻 3 千克。有吸烟、饮酒史,曾按社区获得性肺炎治疗,转诊结核病科检查阴性,否认多种相关症状,系统回顾无特殊。 诊疗过程:入院检查生命体征,呼吸系统检查右肺底呼吸音减弱,胸片有阴影,初查白细胞计数升高。胸部 CT 发现多处栓塞梗死,立即抗凝。超声心动图提示右心室功能障碍。进一步检查确诊肾病综合征、膜性肾
膜性肾病
急诊危重
浏览 459 | 讨论 3

孙秀华

大连医科大学附属第二医院

从R-CHOP到CAR-T,双病理淋巴瘤患者的三线治疗与合并症处置
病史摘要:59岁女性患者,2019年4月无诱因出现左眼睑肿胀,外院CT诊断“左眼眶内肿物”,症状逐渐加重。既往有乙型病毒性肝炎、子宫内膜癌子宫全切术病史。无发热、盗汗及体重下降。 诊疗过程:辅助检查包括颅脑增强MRI、CT、骨髓穿刺术等,诊断为非霍奇金淋巴瘤。一线行R-CHOP方案治疗6周期,后维持治疗;病情进展后二线行GEMOX方案化疗8周期及维持治疗;再次进展后三线入组临床研究,行自体
弥漫大B细胞淋巴瘤
非霍奇金淋巴瘤
滤泡性淋巴瘤
典型
浏览 1126 | 讨论 0

陈海泉 、 郑善博

复旦大学附属肿瘤医院 、 复旦大学附属肿瘤医院

早期肺癌手术如何避免“切过头”?术中病理+CT带来更精准方案
病史摘要:本文分享两例早期肺癌手术病例。病例一为65岁男性,因体检发现右上肺纯磨玻璃结节3个月就诊,有15年吸烟史,每天1包,戒烟20年,无其他特殊疾病史。病例二为68岁女性,因体检发现右上肺混合型磨玻璃结节1年就诊,无特殊疾病史,1年前发现结节后定期随访,近期复查提示结节实性成分增多。 诊疗过程:两例患者术前胸部CT分别提示右肺上叶纯磨玻璃结节、右上肺亚实性结节,均
典型
浏览 1186 | 讨论 0
延髓肠源性囊肿临床病理分析1例
病史摘要:31岁男性,无明显诱因头痛伴恶心、呕吐1周入院,呕吐物为胃内容物,呕吐后症状无缓解,无发热等其他症状,神经系统检查无异常。诊疗过程:颅脑MRI示脑桥及延髓右前方有囊片状异常信号影,考虑良性囊肿可能。行脑桥及延髓右前方占位切除术,术中见脑桥延髓腹侧黄色囊性变,与血管神经黏连紧密。术后巨检及镜检,诊断为延髓肠源性囊肿。病人术后病情平稳,随访9个月无不适。情况总结:本
肠源性囊肿
罕见病
浏览 1262 | 讨论 0
免疫组化ALK阴性、FISH检测ALK阳性的间变性大细胞淋巴瘤
病史摘要:18 岁男性,因骶髂部疼痛 1 年余就诊。2013 年 4 月无诱因出现左骶髂部阵发性胀痛伴左下肢放射痛,外院诊为腰椎间盘突出,治疗后好转。2014 年 3 月运动后疼痛复发且加重,伴发热、盗汗。当地医院 CT 提示左侧髂骨占位病变。既往体健,无慢性病史、传染病史、手术外伤史等,个人史、婚育史、家族史均无特殊。   诊疗过程:查体见多处淋巴结肿大,左侧臀区有肿
ALK阳性间变性大细胞淋巴瘤
疑难
浏览 30 | 讨论 0

叶建明

杭州市第一人民医院

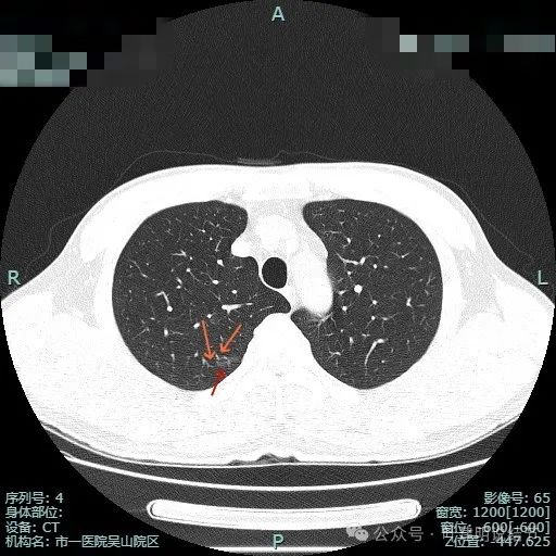
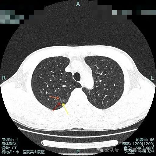
肺磨玻璃结节术后病理是不典型增生,这刀白开了吗?
病史摘要:患者主因“检查发现肺部阴影5年”就诊。5年前当地医院体检胸部CT提示肺部结节,无明显症状未治疗。2024年11月杭州市肿瘤医院复查胸部CT,右肺多枚小结节,LUNG-RADS 2,建议年度随诊。现患者无不适,为求进一步诊治入院。起病以来,患者神志清,精神、胃纳、睡眠、二便正常,体重无明显变化。诊疗过程:体格检查未提及。多次胸部CT显示右下叶磨玻璃结节,轮廓与瘤肺边界清楚,
肺不典型增生
典型
浏览 8 | 讨论 0

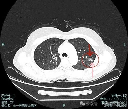
叶建明

杭州市第一人民医院

这种混合密度影像像浸润的结节缘何病理仍是原位癌伴微浸润?是否藏着混合磨玻璃结节是原位癌的奥秘!
病史摘要:69 岁男性患者,主因体检发现左肺部占位 2 年余就诊。2 年余前当地医院体检胸部 CT 提示左肺结节,当时有咳嗽咳痰,为白色粘痰,无其他不适,当地医院建议复查。2 年来症状同前,2024 年 12 月 3 日复查胸部 CT 提示左肺上叶部分实性小结节,考虑 MIA 或 IAC,现无明显不适,为求手术治疗入院。诊疗过程:体格检查未提及。辅助检查胸部 CT 提示相关结节情况
原位癌
典型
浏览 5 | 讨论 0

叶建明

杭州市第一人民医院

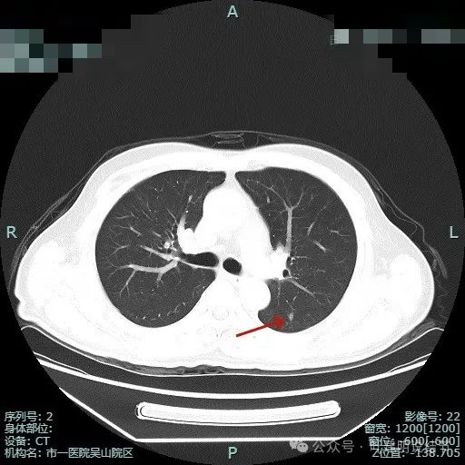
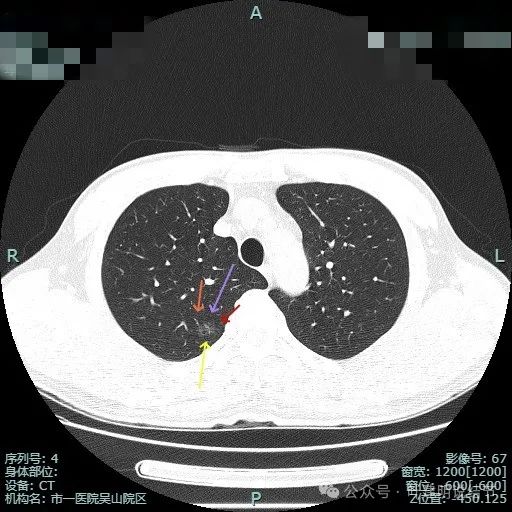
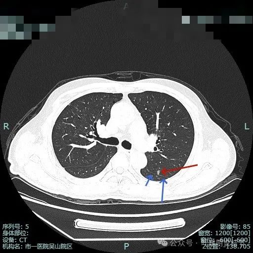
我一直认为的按密度高低来考虑病理类型危险程度,看来也有不足之处
病史摘要:患者主因“发现右侧肺部阴影3月余”就诊。3月余前当地医院体检发现右肺上叶结节,当时无明显症状。1周前于杭州市肿瘤医院复查胸部CT,提示右肺上叶磨玻璃结节,考虑MIA,偶有右侧胸部疼痛,为求进一步诊治入院。起病以来,患者神志清,精神、胃纳、睡眠及二便正常,体重无明显变化。诊疗过程:体格检查未提及。影像显示右肺上叶两处病灶,密度均较淡。临床考虑病灶2微浸润性腺癌可能性大,病灶
肺腺癌
肺不典型增生
典型
浏览 7 | 讨论 0
宫颈液基细胞学水泡状胎块误诊宫颈恶性肿瘤1例报道
病史摘要:51岁女性,围绝经期,孕2产1,月经不规律,阴道不明原因反复流血10余天。否认近期同房和怀孕,未接受宫颈癌筛查。诊疗过程:腹部检查腹软,无压痛及反跳痛,妇科查体宫颈肥大、充血。B超提示可疑子宫肌瘤,TCT诊断为宫颈鳞状细胞癌。后患者承认近期同房,血清β - hCG明显升高,血常规、肝肾功等指标支持手术,刮宫术后病理显示刮宫组织有出血和坏死,镜下可见水肿绒毛等,免疫组化染色
典型
浏览 149 | 讨论 0
多发性钙化上皮瘤1例及基因检测分析
病史摘要:12岁女性,因面部及上肢多发肿物9年余就诊,肿物无疼痛、麻木及瘙痒等不适,面部及左上肢共可触及13个大小不等肿物,位于皮下,质地硬,边界清,无压痛等。诊疗过程:彩超及颌面部MR检查提示钙化上皮瘤可能,排除手术禁忌证后局麻下切除13个肿物,术中见肿物位于皮下、包膜完整、内含钙化物等。术后病理显示多发性钙化上皮瘤并骨化,基因检测显示CTNNB1基因单核苷酸变异、插入缺失,术后
毛母质瘤
罕见病
浏览 808 | 讨论 0

叶建明

杭州市第一人民医院

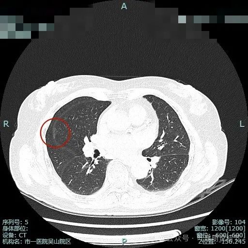
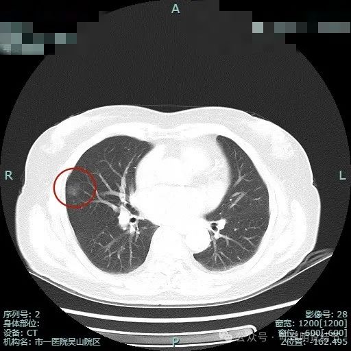
70岁老人纯磨伴血管进入穿行,术前考虑微浸润性腺癌,术后病理原位癌,白挨一刀了吗?
病史摘要:70岁患者,主诉发现右肺结节7月余。7月前因上呼吸道感染就诊发现右中肺磨玻璃样结节,伴有咳嗽咳痰、发热,抗炎治疗后症状缓解。4月前复查结节仍在,继续随访。此次至杭州市肿瘤医院复查胸部CT靶扫描,右肺中叶外侧段结节被考虑为MIA,门诊拟“肺结节”收入院。发病以来,患者精神软,胃纳一般,睡眠可,二便如常,体重无明显改变。诊疗过程:体格检查未提及。辅助检查胸部CT靶扫描发现右肺
肺原位癌
典型
浏览 20 | 讨论 0

叶建明

杭州市第一人民医院

实性小肺癌只做了楔形切除,术后病理高危低分化,需要升级手术或术后辅助治疗吗?
病史摘要36 岁女性,7 月初嗓子肿 1 周后咳嗽不止、气道不适。8 月 9 日于某市人民医院呼吸科就诊,胸部平扫 CT 发现左肺上叶尖 10mm×8mm 实性结节;8 月 11 日至某市中心医院胸外科行左肺靶扫描检查,医生建议手术;8 月 13 日回某市人民医院胸外科,医生建议观察,患者计划 10 月或 11 月单位体检时再做 CT,期间服用盐酸莫西沙星及中药调理。 诊
浸润性腺癌
典型
浏览 5 | 讨论 0

叶建明

杭州市第一人民医院

这种样子的混合磨玻璃阴影可直接切肺叶,甚至不必穿刺或活检,太典型了!
病史摘要:主诉发现肺占位半月余,复查胸部CT显示左肺上叶实性类结节影,患者从内科转入,内科已穿刺活检明确为恶性。诊疗过程:体格检查未提及。辅助检查方面,PET-CT 示左上叶尖后段占位,葡萄糖代谢增高,考虑恶性病变可能性大。影像显示病灶为混合密度,有胸膜牵拉、血管增粗等典型浸润性癌表现。杭州市第一
肺腺癌
高度分化癌
典型
浏览 6 | 讨论 0

叶建明

杭州市第一人民医院

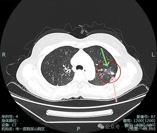
明明典型浸润性癌影像表现病理结果却是原位癌,原位癌也可表现为混合密度?
病史摘要:患者 3 个月前社区体检发现肺结节,就诊时医生考虑左上病灶基本为肺癌且倾向浸润性,因首次发现,建议口服抗炎 10 - 12 天,间隔 3 个月复查。此次复查无吸收好转及明显进展,拟手术治疗。诊疗过程:体格检查未提及。影像检查显示左上叶胸膜下混合密度结节,有血管弯征、胸膜牵拉等诸多恶性特征,下叶有次病灶。临床考虑左上叶病灶恶性且浸润性癌可能性大,建议手术。术中快速切片报腺癌
原位癌
典型
浏览 10 | 讨论 0
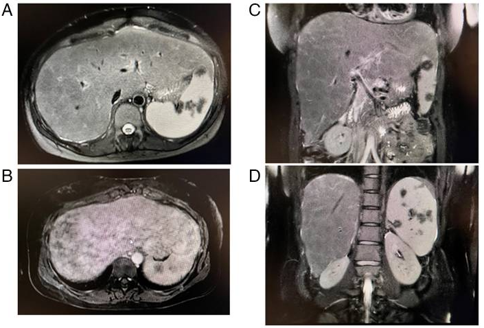
一例肝活检确诊肝结节病分享
病史摘要:患者主诉发热38 - 40˚C、关节痛、肌痛及肝功能检查结果异常。既往有强迫症和恐慌症病史,服用多种药物且依他普仑过敏。诊疗过程:体格检查显示身高、体重、血压、脉率等正常,肝脏质地坚硬可触及。实验室检查血清ACE、sIL - 2R、肝酶和胆道酶、CRP水平升高,血钙正常。CT显示纵隔淋巴结肿大和肝脾大,乙镓闪烁显像肝脏等有吸收,MRI显示肝脾肿大伴脾脏结节。肝活检见非干酪
肝结节病
典型
浏览 1982 | 讨论 0