全部科室
全部科室
内科
心血管内科
神经内科
消化内科
肝病科
内分泌科
肿瘤科
血液科
精神科
呼吸科
肾内科
风湿免疫科
感染科
外科
普通外科
神经外科
胸心外科
泌尿外科
骨科
整形外科
麻醉科
器官移植
其他
妇产科
儿科
眼科
耳鼻咽喉科
口腔科
皮肤性病科
急诊/重症
影像科
检验科
疼痛科
罕见病平台
病理科
影像科
输入搜索关键词
首页
直播
会议
资讯
专家
指南
病例
品牌信使
专栏
发布时间
综合排序
研究思路 | Nature背靠背:用CT影像重新定义成人胸腺的临床价值
#免疫治疗
23小时前
150浏览
48岁女子CT示左侧小脑半球脑梗死,竟从未有月经?原来是这种罕见病!
#脑梗死
23小时前
289浏览
基于NCCT影像组学预测自发性脑出血血肿扩大的研究进展
#自发性脑出血
2026.04.01
63浏览
肝内胆管细胞癌的超声造影诊断进展
#肝内胆管细胞癌
2026.04.01
220浏览
功能磁共振成像评估慢性肾脏病肾功能的临床应用进展
#慢性肾脏病
2026.03.31
322浏览
功能磁共振成像在儿童Tourette综合征中的应用进展
#抽动秽语综合征
2026.03.31
254浏览
肝内胆管癌超声造影诊断的争议、焦点与最新进展
#肝内胆管细胞癌
2026.03.30
160浏览
肺结核MRI研究进展
#肺结核
2026.03.30
140浏览
精准影像,透视“腮腺”:2026版CT与MRI检查及报告规范精要
#腮腺肿瘤
2026.03.27
1475浏览
肝泡型包虫病病灶及瘤周影像学的研究进展
#肝泡型棘球蚴病
2026.03.25
1197浏览
多元管理策略在碘对比剂外渗中的研究进展及启示
#碘对比剂
2026.03.25
380浏览
颈动脉粥样硬化斑块溃疡的临床意义及影像学研究进展
#颈动脉粥样斑块形成
2026.03.24
389浏览
多模态影像技术在冠状动脉微循环功能评价中的研究进展
#冠状动脉粥样硬化性心脏病
2026.03.24
1672浏览
社区获得性肺炎病原体影像鉴别中人工智能的应用进展
#社区获得性肺炎
2026.03.23
2626浏览
超声检查评估TIPS术后支架功能障碍的研究进展
#经颈静脉肝内门静脉-体静脉分流术[TiPS手术]
2026.03.23
545浏览
骨肿瘤样病变——表皮样囊肿
#表皮样囊肿
2026.03.22
447浏览
这样的图像咋诊断 | CT伪影
#屏气发作
2026.03.22
543浏览
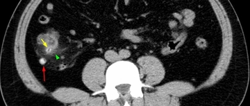
小心误诊,这可不是急性阑尾炎!
#盲肠憩室炎
2026.03.19
694浏览
深度学习影像组学在结直肠癌肝转移诊疗中的应用
#结直肠癌
2026.03.18
816浏览
多参数MRI生境成像在乳腺癌中的研究进展
#乳腺癌
2026.03.18
561浏览
时间不限
一天内
一周内
一个月内
一年内
综合排序
最新
最热